购买
下载掌阅APP,畅读海量书库
立即打开
畅读海量书库
扫码下载掌阅APP

1.2 青少年特发性脊柱侧凸及其医学成像方法

1.2.1 青少年特发性脊柱侧凸

脊柱侧凸是一种三维(3D)脊柱畸形,患者脊柱的一个或数个节段在冠状面上偏离身体中线向侧方弯曲,通常还伴有椎体的旋转和矢状面上后突或前突的增加或减少 [1] ,如图1.5(a)所示。临床表现以背部畸形为主要症状,表现为站立位姿态不对称,例如双肩不等高,一侧肩胛向后突出等,如图1.5(b)所示。

图1.5 脊柱侧凸

脊柱侧凸的患病率约为2%,其中约80%脊柱侧凸的发病原因至今未明,称为特发性脊柱侧凸,多发于青少年。青少年脊柱侧凸是影响青少年成长健康的常见疾病之一,约3%~4%的青少年有一定程度的脊柱侧凸 [2] 。青少年脊柱侧凸现已成为继肥胖症、近视之后我国儿童青少年健康的第三大“杀手”。

轻度的脊柱侧凸并不影响脊柱的灵活性、承重功能及保护脊髓的功能,而且外观上并无明显异常,因此通常不易觉察。但若不及时发现并进行治疗,在青少年时期,伴随着骨骼的生长,脊柱侧凸可能在短时间内发展加重,导致胸腔、腹腔和骨盆腔的容积减小,以及脊柱的僵硬和疼痛,对患者生活产生影响,畸形外观甚至引起青少年心理疾患。当畸形发展到一定程度时,将影响青少年心肺发育,严重的可引起心、肺功能衰竭,甚至压迫脊髓神经,导致截瘫。

临床上对青少年脊柱侧凸的诊治方法主要有跟踪观察、支具治疗和手术矫治 [2] 。在青少年时期,通过医学影像定期跟踪观察脊柱生长直到骨骼发育成熟,来及时了解畸形发展状况。一旦跟踪观察发现脊柱侧凸持续加重,应及时采取支具治疗,阻止侧凸继续发展,同时支具在一定程度上可以矫治脊柱畸形。在青少年青春期骨骼成熟前的快速生长中,脊柱的生长会使畸形的发展加速,如果治疗不及时,有可能在短期内就进展到重度脊柱侧凸。重度脊柱侧凸必须进行手术矫治。脊柱手术不仅费用高、风险大,还将导致手术后患者上半身不再长高、脊柱运动受到限制。据文献报道,门诊诊断为脊柱侧凸而最终行手术治疗的病例约占26% [3] ,其中绝大多数因早期未经治疗或治疗策略不当所致。青少年时期是脊柱侧凸治疗的重要时期,患者畸形尚未固定,一旦患者的骨骼发育成熟,脊柱侧凸的矫治也将更加困难。因此早期发现、早期正确的医疗干预,减少重度侧凸病人的数量,是青少年脊柱侧凸防治的关键。青少年是国家的未来和民族的希望,脊柱侧凸严重影响了青少年的身心健康成长,因此对青少年脊柱侧凸的诊断、治疗和治疗后评价的研究受到国内外学术界的日益重视,成为国际学术界的研究热点和前沿课题之一。

1.2.2 脊柱侧凸医学成像方法

医学解剖图像可以显示人体组织器官的空间形态和组织密度信息,即解剖结构信息。常用的解剖图像成像方式有X线成像、计算机断层扫描(Computed Tomography,CT)、磁共振成像(Magnetic Resonance Imaging,MRI)和超声成像等。对脊柱侧凸的影像学检查方法主要采用X线成像和CT,借助有辐射的X线成像或CT技术,医生可评估内部骨骼的状态及其发展变化,以采取相应的治疗措施。

1.X线成像

X线成像是应用X射线的穿透特性,把穿透人体后的X射线记录在胶片上成像,如图1.6所示。由X射线管产生的射线是一束波长长短不一的混合射线,其中波长较短的穿透力强,波长较长的容易被其他物质吸收。由于组成人体不同组织器官的物质密度不同,所以不同组织器官对X射线的吸收存在差异,把穿透人体后强度不同的X射线记录在胶片上就可以反映人体内部的组织结构。

图1.6 X线成像

由于X线图像是X射线通路上人体对X射线吸收的累积效果,所以X线成像会出现影像重叠。也就是说,大小和密度相同的组织不论在人体内前、中或后部,其在X线图像上呈现的结果是一样的,如图1.6所示。因此,X线成像不能得到人体断层图像,一幅X线图像不能完全反映组织结构的三维空间信息。

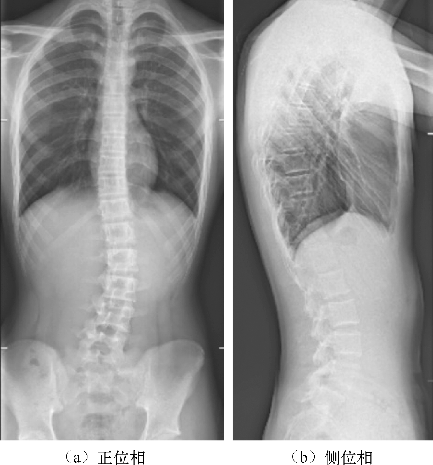
相比CT或MRI,X线成像设备费用较低,而且具有简便、快速和检查费用低等优点。脊柱侧凸的X线检查通常是对患者正、侧位成像,即获得冠状面和矢状面图像,如图1.7所示。相比CT,两幅X线成像的辐射伤害要小得多,而且能够在患者各种测试姿势下成像(直立、侧屈、前屈、坐立、仰卧等)。通常青少年患者需要每隔3~6个月复查,跟踪评价侧凸的发展,直到骨骼发育成熟。因此X线成像是目前诊断评估脊柱侧凸的首选成像模式。根据X线图像可以对侧凸的弯度、椎体旋转程度、骨骼发育程度、脊柱的柔韧性以及脊柱侧凸的分型进行评估 [1] 。但是,脊柱侧凸是三维空间的畸形,二维(2D)X线图像不能全面反映三维畸形特征,难以发现畸形在冠状面和矢状面以外的三维空间中的发展变化。医生更需要三维信息对侧凸进行更准确的诊断、治疗和治疗后评价。因此,如果能够通过常规二维X线图像获得三维脊柱形态,必将有助于医生的诊断和跟踪治疗。

图1.7 脊柱侧凸正位相和侧位相X线图像

2.CT

CT解决了X线成像的影像重叠问题,能够获得人体断层图像。CT也需要X射线。X射线管发出X射线经准直器准直后成为一窄束X射线,该X射线对人体的某一特定层面从各个角度进行投射,如图1.8所示。透过人体的X射线由探测器接收后,送到计算机进行数据处理,从投影数据(即探测器接收到的强度值)推算出图像像素对应的密度值 [4] ,从而实现对人体的断层成像。通过逐层对人体某一部位器官扫描获得一系列断层图像,对这些断层图像进行三维重建和可视化,即可获得该器官结构的三维图像。

图1.8 CT

CT的辐射伤害较大,尤其不适合用于针对青少年脊柱健康的诊断或每3~6个月的治疗后跟踪复查。此外,CT不能在患者站立姿势下进行,这将导致CT三维重建脊柱形态和站立姿势下形态的差异。研究结果表明,仰卧姿势下测量的畸形度(椎体旋转度)比站立姿势下测量大10°以上。而且,CT设备昂贵、检查过程复杂、耗费时间,难以在中小学生检查以及社区医院、中小医院中普遍使用。因此,CT主要针对需进行手术治疗的重度脊柱侧凸,以精确获得脊柱的三维影像,从而进行准确的术前或术后评估。例如:CT获取的椎弓根直径,可为选择固定技术、合适的椎弓根螺钉直径提供依据;对部分前突性胸椎侧凸,CT有助于了解胸廓畸形程度以及高度旋转的顶椎是否压迫支气管造成肺不张等问题。

除了CT,通过MRI也能够获得断层图像。但由于MRI设备昂贵、诊断费用高、检查过程复杂,并要求人体内无金属植入物,因此MRI并非对脊柱侧凸的常规检查。对婴儿型或儿童型脊柱侧凸,短时间内侧凸迅速发展,伴有局部感觉或运动缺失,这时可采用MRI检查来排除椎管内病变。

近10年来已有研究者采用B型超声成像对脊柱侧凸进行评估。超声成像主要针对软组织成像,对骨骼仅能获得部分表面的影像,使用超声波扫描脊柱能够获得椎体棘突、椎板等部位的回声信号,如图1.9所示。因此,通过在传统的B超探头的把持端固定一个定位装置,操作者手持探头扫描脊柱,能获得任意方位的图像及对应位置信息,再通过插值计算三维空间体素的灰度值,可实现全脊柱超声三维成像。但这一操作复杂,成像质量较差,对操作水平要求较高,目前临床上超声成像尚未用于对脊柱侧凸的常规检查。

图1.9 椎骨超声成像 ps8Ygn/cuN89/ZChFeDxtlRw71CgmOy3i7alXRSMgXJGWSUDZ3WNDR63LcI0kCp5

点击中间区域
呼出菜单
上一章
目录
下一章
×