



恶性骨肿瘤是发生在骨骼系统的恶性肿瘤,分为原发性恶性骨肿瘤、继发性恶性骨肿瘤和转移性骨肿瘤,包括肉瘤和癌(表5-1)。原发性恶性骨肿瘤和继发性恶性骨肿瘤种类繁多,包括骨肉瘤(osteosarcoma)、尤文氏肉瘤、软骨肉瘤、恶性淋巴瘤、恶性纤维组织细胞瘤等,其中骨肉瘤最为常见。
表5-1 恶性骨肿瘤的分类及特征好发年龄
骨肉瘤是恶性骨肿瘤的典型代表。骨肉瘤是高度恶性的肿瘤,就诊时90%的患者存在转移灶或微小转移灶,好发于四肢,传统治疗是高位截肢,但5年生存率仅5%~20%。近30年来由于化疗的应用,相关患者生存率明显提高,化疗为改善生活质量的保肢治疗创造了条件。以保肢手术为主,化疗为辅助的综合治疗已取得了既可保肢,又不增加死亡率的良好效果,逐渐成为治疗肢体恶性骨肿瘤的标准治疗手段之一。保肢手术主要包括肿瘤切除和肢体重建两部分。肢体重建的方法主要有人工假体植入、自体骨或同种异体骨移植、灭活肿瘤段骨植入等,但这些方法有许多并发症,发生率达40%~50%。
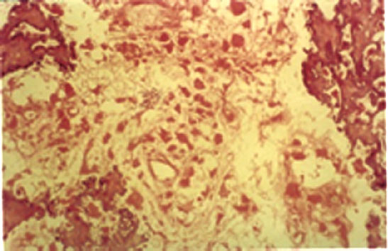
与其他保肢治疗方案相比,HIFU消融治疗是将肿瘤“切除”和肢体重建融为一体的非侵入性保肢治疗措施。HIFU消融治疗骨肿瘤的基础是肿瘤对骨组织破坏使其透声性增加,适当频率的高强度聚焦超声束易于穿过骨组织。HIFU消融治疗能使骨内外的肿瘤组织发生凝固性坏死(图5-1、图5-2),即“热切除”肿瘤,同时利用原位灭活肿瘤骨段进行肢体重建,达到非侵入性保肢治疗根治原发性恶性骨肿瘤的目的。对于不能根治的部分原发性恶性骨肿瘤和转移性骨肿瘤患者,以减瘤负荷为目的,可以缓解症状、改善生存质量、延长生存期。
图5-1 兔VX2恶性骨肿瘤治疗后病理组织学变化
左图.治疗后见骨内外肿瘤组织发生凝固性坏死,其边缘有明显的充血带;右图.光镜下见治疗区内组织疏松,肿瘤细胞核固缩、核碎裂,治疗区与非治疗区分界清楚
图5-2 人骨肉瘤治疗3周后见肿瘤细胞核消失,仅残留细胞轮廓
1.原发性和继发性恶性骨肿瘤的诊断
诊断原发性和继发性恶性骨肿瘤需要临床表现、影像学表现和病理结果结合,三者缺一不可。其外科分期采用Enneking分期,用罗马数字Ⅰ、Ⅱ、Ⅲ表示。病理诊断仅是诊断的重要依据之一,不能过分依赖。病理诊断首先推荐采用影像学技术引导下的粗针穿刺活组织检查,尽可能减少肿瘤细胞的种植和避免手术瘢痕。临床表现和影像学表现均提示为恶性骨肿瘤者,一次穿刺活检阴性者,可再次行穿刺活检,必要时可继续切开活检或切除病理检查。
2.转移性骨肿瘤的诊断
转移性骨肿瘤可根据恶性骨肿瘤的影像学表现结合原发肿瘤病灶进行诊断。病理诊断需要依靠穿刺活组织检查或切开活组织检查以及切除病理检查。如果是癌组织,即可诊断;如果是肉瘤组织,就必须结合原发肿瘤病灶进行诊断。
1.原发性和继发性恶性骨肿瘤的临床表现
患者多以发现局部包块就诊,以四肢骨多见,常见于骨端,可有外伤诱因。常表现为进行性加重的局部疼痛,夜间痛明显,常入睡后痛醒。原发性恶性骨肿瘤疼痛先于包块发生,而继发性恶性骨肿瘤包块先于疼痛出现。局部肿胀、发热感、发红、皮肤静脉怒张,常伴有邻近关节功能障碍。局部包块质硬、固定、压痛、边界不清。全身症状可有发热、消瘦、白细胞增高、血沉加快、贫血及血清碱性磷酸酶升高等。
2.转移性骨肿瘤的临床表现
主要发生在扁平骨,少部分发生在管状骨的干骺端。局部疼痛为主要表现,多无外伤诱因,功能障碍不明显。
影像学可提供肿瘤的解剖特点,并显示肿瘤对骨的侵犯。肿瘤对骨组织的破坏表现为两种基本形式:溶骨和成骨。前者表现为骨组织丢失,即骨组织减少;后者表现为不成熟骨组织形成增加。
1.原发性和继发性恶性骨肿瘤的影像表现
X线摄片:观察肿瘤的整体或大体观。根据骨质破坏类型分为成骨型、溶骨型和混合型。骨肉瘤的典型表现:成骨型骨质破坏、Codman三角、日光放射征及病理性骨折。
CT:观察骨质破坏的细节,包括骨质破坏的范围、程度、类型、瘤组织的钙化情况、邻近骨的疏松情况和软组织包块。
MRI:通过对比动态增强MRI观察髓腔内和骨外瘤软组织成分的形态和功能状态,包括肿瘤的形态和毗邻关系,水和血液成分与实性组织成分,肿瘤的血液供应特征和邻近血管的状态。
断层核素骨扫描(Single-Photon Emission Computed Tomography,SPECT):观察骨内、骨外骨性成分的功能状态和病灶范围(包括骨转移病灶)。成骨型肿瘤表现为放射性浓聚,溶骨型肿瘤表现为放射性稀疏,组织坏死表现为放射性缺损。
PET-CT:观察骨和软组织的代谢、功能状态和病灶范围(定性和定位,不定量)。恶性肿瘤表现为显像剂浓聚,需与炎症鉴别;组织坏死表现为显像剂缺乏。
2.转移性骨肿瘤的影像表现
以溶骨型破坏为多,偶有成骨破坏,如前列腺癌骨转移。局部包块少见,可伴病理性骨折。常见的原发肿瘤有乳腺癌、肺癌和前列腺癌。
SPECT:最常用,用于初步定位和定性。
X线摄片:观察长管骨的骨质破坏和病理性骨折。
CT:观察骨的破坏细节和微小骨折。
MRI:观察髓内和骨外瘤的软组织成分。
PET-CT:定位和定性。
恶性骨肿瘤种类较多,以骨肉瘤最常见,是恶性骨肿瘤的典型代表。骨肉瘤以肉瘤细胞能直接产生骨样组织或不成熟骨为特征。骨肉瘤可分原发性和继发性两种,后者是指在骨母细胞瘤、骨纤维结构不良等良性骨肿瘤或瘤样病变基础上恶变而来。骨肉瘤起始于干骺端,呈偏心性,沿髓腔纵向蔓延可累及骨干和骨骺,横向蔓延可破坏骨皮质并可在骨旁形成软组织肿块。
1.原发性和继发性恶性骨肿瘤的病理表现
瘤细胞呈恶性特征,外形有梭形、椭圆形和圆形;基质分为骨性成分(骨样基质或不成熟骨)和非骨性成分。
2.转移性骨肿瘤的病理表现
同原发癌或肉瘤。
综合治疗的原则。
1.局部治疗
包括传统手术治疗、放疗、介入治疗、经皮穿刺消融和HIFU消融。
2.全身治疗
包括化疗、靶向治疗和免疫治疗。
HIFU作为综合治疗的一种局部治疗手段,用HIFU消融(热切除)替代手术切除肿瘤,用HIFU消融的瘤段骨组织原位重建肢体,仍需遵循恶性肿瘤的综合治疗原则。
(1)对化疗敏感的肿瘤:新辅助化疗+HIFU+化疗。
(2)对放疗敏感的肿瘤:HIFU+RT或RT+HIFU。
(3)对放化疗均敏感的肿瘤:新辅助化疗+HIFU+RT+辅助化疗。
(4)对放化疗均不敏感,且血供丰富的肿瘤:介入栓塞+HIFU。
(5)血供不丰富的肿瘤:HIFU。
HIFU治疗恶性骨肿瘤有两方面的优势,即保肢治疗和姑息治疗,各有不同的适应证。
1.保肢适应证(保留肢体功能)
(1)年龄在15岁以上,骨骼生长发育已趋成熟的患者。
(2)成骨型肿瘤最大轴位径线≤12cm的患者。
(3)重要神经、血管束未被侵犯或被推挤移位的患者。
(4)估计肿瘤能够被完全消融的患者。
(5)所保留的肢体功能不比假肢差的患者。
(6)术后局部复发率与转移率不应高于截肢的患者。
(7)强烈要求保留肢体的患者。
2.保肢相对适应证(目的是为满足心理要求的保肢,不要求保留肢体功能)
(1)未达到保肢适应证,拒绝截肢的患者。
(2)成骨型肿瘤最大轴位径线≤12cm的患者。
(3)肿瘤能够被完全消融的患者。
(4)术后局部复发率与转移率不应高于截肢的患者。
(5)强烈要求保留肢体的患者。
3.姑息治疗的适应证
(1)有疼痛等症状的原发性、继发性恶性骨肿瘤和转移性骨肿瘤的患者。
(2)化疗或/和放疗敏感的肿瘤以减负荷及增敏的患者。
(3)不能手术切除的进行减瘤负荷治疗,需增加手术切除机会的患者。
(1)所患肿瘤B超不能显示的肿瘤患者。
(2)颅骨和脊椎部位的骨肿瘤患者。
(3)严重溶骨型破坏的骨肿瘤患者。
(4)广泛累及皮下组织和(或)皮肤,皮肤破溃者。
(5)皮肤有严重瘢痕或严重放射性损伤者。
(6)病理性骨折未愈合者。
(7)预计生存期不超过3个月的患者。
1.一般检查
通过体格检查、辅助检查、实验室检查及影像学检查等详细了解患者一般情况和重要器官的功能状况及受累情况;通过常规碱性磷酸酶检测了解肿瘤细胞的成骨代谢情况。
(1)体格检查:肿瘤邻近关节的主动和被动活动范围;皮肤有无受侵犯,如皮肤上是否有结节、皮肤与肿瘤是否粘连以及粘连的程度;有无手术瘢痕、手术瘢痕是否与肿瘤粘连以及瘢痕的软硬度;皮肤表面的静脉有无扩张,肢体深静脉有无回流障碍。
(2)实验室检查:血常规、尿常规、大便常规、肝功能、肾功能、血生化和血糖以及心电图检查,了解患者的一般情况和重要器官的功能状况。
(3)碱性磷酸酶检测:碱性磷酸酶增高反映肿瘤细胞的成骨代谢情况,可作为评价治疗肿瘤效果的指标之一。多数恶性骨肿瘤,特别是骨肉瘤表现为成骨活动增强,包括肿瘤细胞产生骨样组织及周围骨组织对肿瘤破坏的修复反应。
2.影像学检查
在穿刺活检前,行X线摄片、CDFI、CT、MRI、SPECT等对原发病灶和转移病灶进行检查和评估。完成肿瘤的分期,评估HIFU治疗是否能达到目标。评估肿瘤的大小,肿瘤与重要结构(如神经)的关系,以及是否有转移病灶,具体评估内容包括:
(1)肿瘤的范围及肿瘤累及骨骼的范围、骨质的破坏程度和性质(以溶骨为主或以成骨为主)以及有无病理性骨折。
(2)确定肿瘤与邻近重要神经的关系,肿瘤的血供情况。
(3)骨外肿瘤的大小、边界、血供,与邻近重要血管的关系,静脉血管内有无癌栓。
(4)确定有无卫星病灶和跳跃病灶,其他部位的骨转移病灶。
1.新辅助化疗的作用
预备手术前行全身化疗,称为新辅助化疗。作用有:①降低临床分期,为手术切除及局部消融治疗创造更好的条件;②体内药物敏感试验,为进一步的药物治疗提供重要指导;③缩小肿瘤体积,减少肿瘤血供,使肿瘤充分钙化,让肿瘤边界更清楚,便于HIFU治疗。
2.新辅助化疗方案
适用新辅助化疗常见的恶性骨肿瘤包括骨肉瘤、尤文氏肉瘤、恶性纤维组织细胞瘤、滑膜肉瘤、淋巴和神经来源的恶性肿瘤。根据肿瘤病理类型选择化疗方案,通常为1~5个疗程。
3.停止新辅助化疗的标准
(1)成骨型肿瘤:根据重要性从高到低依次是边界清楚、充分钙化、血供减少、瘤体缩小。
(2)溶骨型肿瘤:根据重要性从高到低依次是边界清楚、血供减少、瘤体缩小、充分钙化。
1.常规准备
(1)皮肤准备:治疗前1天治疗区声通道皮肤备皮,在安放治疗体位前,皮肤需脱脂、脱气。
(2)饮食:治疗前晚10时后禁食,麻醉前4小时禁饮。
(3)导尿和保留尿管:估计治疗时间超过2小时者,需在治疗前导尿并留置尿管。
2.定位
(1)确定治疗范围:在治疗床上用机载监控超声确定骨性标志、肿瘤在软组织内的范围和毗邻关系,并与其他影像学检查的结果相比较,结合影像评估结果,根据外科手术切除的范围,确定计划消融范围。
(2)确定治疗体位:根据计划消融范围,确定治疗时的体位,以及是否需结合肢体旋转以及肢体旋转的方向和程度,目的是使肿瘤能被治疗超声从多个方向照射,以达到对计划消融范围完全覆盖。
(3)选择治疗头:结合病灶的大小、位置以及体位和肢体的旋转所致的病灶位置变化,确定焦距范围,选择相匹配的治疗头。
3.制备石膏托板
(1)目的:以溶骨型破坏为主的肿瘤容易发生病理性骨折,需在治疗过程中,用石膏托板保护肢体以免发生病理性骨折。因此,在HIFU治疗这类肿瘤的前2天应常规制备石膏托板。
(2)数量:根据计划照射的方向以及石膏托板所放置的位置来确定石膏托板的数量,如计划进行四个方向的照射,需将石膏托板分别放置于照射方向的对应面,因此最少应制备四条石膏托板。
(3)宽度与长度:石膏托板不宜过宽,可通过增加厚度来满足强度需求。要求石膏托板两端长度各超过计划消融范围15cm。
(4)放置:石膏托板制备完成后,从肢体上取下,并放置于阴凉干燥处晾干,以备在HIFU治疗中使用。
4.治疗时机
(1)达到停止新辅助化疗的标准。
(2)白细胞≥3×10 9 /L。
(3)全身无感染性病灶。
(4)预防病理性骨折的措施到位。
5.麻醉选择
麻醉的主要目的是控制疼痛,防止意外运动,避免脱靶。根据肿瘤部位、治疗目的、麻醉师的经验和患者的配合度等综合考虑麻醉方式,通常以全身麻醉为多。常规根治性治疗宜选择全身麻醉,姑息性治疗选择镇静镇痛方案。
6.体位选择
(1)体位选择的原则:①声场优先,有利于治疗超声高效、安全到达靶区;②患者患肢舒适,便于长时间治疗。
(2)体位:常用俯卧位和仰卧位,偶尔用侧卧位,多数情况下还须结合肢体的内旋或外旋。一些常见部位肿瘤的推荐治疗体位如下:
①股骨下段肿瘤:选择俯卧位和仰卧位。进行俯卧位治疗时,首先需将膝关节屈曲90°,使髌骨后方的股骨下端暴露出来,以便对股骨正前方进行治疗,然后将下肢内旋和外旋,治疗股骨的前外侧和前内侧。仰卧位治疗时,除需治疗股骨的正后方外,还需将股骨内旋或外旋,治疗股骨的后内侧和后外侧。
②胫骨上段肿瘤:选择俯卧位和仰卧位。俯卧位时,首先治疗胫骨上段的正前方,结合下肢的内旋或外旋,治疗胫骨的前外侧和前内侧。仰卧位时,首先治疗胫骨的正后方,结合下肢的内旋,治疗胫骨的后内侧。
③肱骨上段肿瘤:选择俯卧位和仰卧位,有时因肿瘤体积太大,可加侧卧位进行治疗。俯卧位治疗肱骨的正前方,结合上肢的内旋和外旋,治疗前外侧和前内侧。仰卧位治疗肱骨的正后方,结合上肢的内旋或外旋,治疗肱骨的后内侧和后外侧。有时因肿瘤体积太大,上述两种体位结合肢体的旋转,仍不能对肿瘤完全覆盖,可加侧卧位进行治疗。
1.确定消融范围
(1)理论消融范围:①根治性治疗的消融范围,遵循外科手术原则,超范围消融,包括整个肿瘤、3~7cm骨组织和1~2cm软组织;②姑息治疗的消融范围是瘤内消融治疗。
(2)实际治疗范围:通过骨性标志确定治疗范围的起点,通过理论治疗范围确定治疗范围的终点。
(3)消融范围的确定方法:采用多种影像对比融合的原则,常用的影像技术包括彩超(实时引导)、X线摄片(整体骨结构)、SPECT(骨骼病灶范围定性)、CT(骨骼病灶结构定位)和动态增强MRI(软组织病灶确定)。
2.预扫描及计划
通常将θ轴设置为0°,即采用横轴位断层获得图像,在横轴位监控下进行扫描治疗。确定治疗范围起点和终点的X轴坐标后,以X轴中间位的病灶中心点的Y坐标为预扫描的Y坐标,层间距为5mm,进行预扫描,制定治疗计划。
3.治疗参数
一般选择频率0.8~1.0MHz、焦距110~135mm、扫描速度3mm/s、治疗功率60~180W。
4.扫描方式
以直线为主,点扫描为辅。
5.消融治疗方式
选择适合的超声扫描方案,以达到三维适形治疗的目的。通常选择治疗范围的两端之一作为开始治疗的层面。从治疗范围一端向另一端逐层或隔层治疗,直到所有预扫描层面都被治疗。
6.治疗剂量的调节
试探的治疗功率在胫骨前内侧选择60W,其他部位选择80W。以10~20W为单位,根据靶区灰度的变化和患者的反应调节治疗功率。也可调节扫描时间,扫描时间以直线扫描为例,用治疗的遍数来表示,可选择的范围为2~8遍,根据治疗的反应,以2遍为单位调节扫描时间。
(1)由于恶性骨肿瘤的超声影像表现复杂,应特别注意将超声图像与CT或MRI图像相比较,帮助判断肿瘤边界。
(2)多方向照射,使治疗剂量均匀地分布在整个治疗区内。注意不要遗漏某个方向的照射。
(3)监控超声不能显示神经,对神经的定位主要是根据对神经伴行动脉或静脉的确定,然后结合神经与该动脉的解剖位置关系来推断神经的位置。因此,进行HIFU治疗前必须熟悉神经与动脉和静脉的解剖位置以及它们之间的位置关系。
(4)在治疗过程中必须有专人观察神经所支配肌肉的活动,据此判断神经是否受到刺激及其程度,并指导调整方案,如调整治疗功率、扫描时间、治疗区域等。
(5)治疗以溶骨为主的骨肿瘤,在治疗中必须用石膏托板保护肢体。注意石膏托板下的皮肤有可能因穿出肢体的残余超声能量而受到损伤。
(6)治疗上肢或儿童的肢体骨肿瘤特别是钙化不良的肿瘤,照射方向的对侧面皮肤,可能会因穿出肢体的超声,受到空气的完全反射而损伤,在治疗过程中应观察治疗方向的对侧面皮肤。
(7)卫星病灶、切开活检术切口内的种植病灶和外科手术后复发的病灶可以远离主瘤而位于邻近皮肤的位置。在HIFU治疗主瘤时,其治疗超声声场通过这些病灶,对治疗超声进行反射,可导致邻近的皮肤损伤。因此,治疗过程中应注意观察这些病灶,回避它们对主瘤照射的影响。
1.术后常规观察
(1)生命体征:治疗后6h内动态监测血压、呼吸、心率、血氧饱和度的变化。极少数患者可能出现38.5℃以下的低热,持续3~5d。
(2)肝功能监测:伴碱性磷酸酶升高者,在治疗后1周内常有暂时性的ALP升高,2周内下降至治疗前水平或更低,肝功能其他指标一般无明显变化。
(3)肾功能监测:巨大肿瘤HIFU治疗后应监测肾功能指标的变化。
(4)患肢观察:常规观察肢体肿胀、血供情况和神经功能7d。
2.术后处理
(1)禁食:治疗后常规禁食6h。
(2)减轻水肿:抬高患肢,应用药物如强力脉痔灵促静脉回流;水肿严重者可用非甾体类抗炎药如消炎痛或肾上腺皮质激素(地塞米松)来抑制治疗区的局部炎症反应,从而减轻治疗区局部水肿。
(3)保护血管和神经:局部严重水肿的患者,如出现神经受压的表现,除减轻水肿治疗外,还应给予神经营养药物,促进神经功能的恢复;如出现治疗区远端肢体血循环障碍,还应给予抗凝、扩血管等治疗;如出现骨筋膜室综合征,需行外科手术治疗。
(4)骨关节保护:为保护关节韧带和防止病理性骨折,用外固定装置固定保护患肢,并结合功能锻炼。在围手术期,即HIFU治疗后2~3周内,以成骨为主的肿瘤,避免患肢负重,待局部水肿消退后,用石膏托板进行外固定;以溶骨为主的肿瘤,用石膏托板保护患肢,水肿消退后更换石膏托板。早期主要是要保护关节韧带,需用石膏托板固定6个月。前3个月完全固定,可在固定下进行固定区域内肌肉的纵向主动收缩活动;后3个月除继续进行前述的肌肉纵向主动收缩活动外,还应每天去除外固定后在他人的帮助下被动活动3次,每次30~60min,以被动屈伸关节活动为主,每次活动屈伸关节的次数不少于100次,不得用力使关节屈伸活动。6个月后在外固定支架的保护下,逐渐下床进行部分免负荷活动,同时进行关节的主动屈伸锻炼。以成骨为主的肿瘤,1年后去除外固定支架进行扶拐行走,治疗1年半后,逐渐过渡到脱离拐杖行走;以溶骨为主的肿瘤,1年半后根据X线摄片决定是否去除外固定支架。
(5)预防感染:HIFU治疗后常规给予静脉滴注抗生素3d,预防早期继发感染。
(6)辅助化疗:按计划、按时行辅助化疗。
HIFU消融治疗后常见的并发症包括病理性骨折、关节韧带松弛或断裂、皮肤损伤、神经损伤和继发感染。并发症的防治重点在预防。
1.病理性骨折
病理性骨折即被病变破坏的骨骼,在遭受轻微外力,甚至在正常应力的作用下而发生的骨折。其发生的原因:一是肿瘤对骨骼的破坏,二是HIFU对骨组织的灭活。预防的关键是严格执行HIFU消融后外固定的保护措施。病理性骨折常用的治疗方法是用手法复位小夹板外固定,但股骨的病理性骨折必须再加上骨牵引。经上述方法治疗,部分病理性骨折可以愈合。对于不能愈合的病理性骨折,可考虑手术内固定。
2.关节韧带松弛或断裂
容易松弛和断裂的关节韧带是膝关节的交叉韧带、侧副韧带或膑韧带。其发生的原因是肿瘤破坏了韧带的起点或终点和HIFU对韧带起点或终点的影响,最关键的是HIFU治疗后没有严格的执行骨关节的保护措施,使未修复的韧带过早受到过分强度的牵拉,导致韧带松弛或断裂。预防措施是严格执行骨关节外固定保护和合理进行功能锻炼。治疗以外固定为主,固定时间为3~6个月,若仍有韧带松弛者,可考虑行手术内固定。
3.皮肤损伤
皮肤损伤的原因除常见的治疗功率过高或一个层面连续扫描的时间太长外,腱膜如髂胫束,肌腱如股二头肌腱、半腱肌腱和半膜肌腱、卫星病灶和手术切口内的残留病灶等对治疗超声的反射以及手术瘢痕对治疗超声的吸收,是肢体骨肿瘤HIFU治疗皮肤损伤的常见原因。预防措施是尽量回避经过这些组织对深部病灶进行治疗,若必须经过这些组织进行治疗,治疗时必须做好实时监控,适当地降低治疗功率或缩短一次连续扫描时间,使用合理的治疗剂量。另外,在治疗上肢、儿童和瘦小患者的肢体肿瘤时,若治疗超声入射方向的对侧面皮肤暴露在空气中,经过病灶后的残余超声能量,遇空气完全反射使皮肤损伤,这种皮肤损伤程度常较轻。预防措施是用脱气水覆盖或持续浇注治疗超声入射的对侧面皮肤。皮肤损伤的治疗根据皮肤损伤程度按外科原则进行处理。
4.神经损伤
神经损伤的原因有局部水肿压迫神经和HIFU治疗直接造成神经损伤。前者表现为治疗结束后神经功能无障碍或障碍轻,然后随水肿的加重而加重,待水肿消退后,神经功能逐渐恢复。后者表现为治疗结束时神经功能障碍最严重,随着时间的延长,神经功能逐渐部分或完全恢复或不恢复。对于前一种原因的预防是积极抑制治疗后的局部炎症反应,促进静脉回流;后一种原因预防的关键是在确定神经的位置,使用合理的治疗剂量,在治疗中严密观察神经功能,根据神经功能变化及时调整治疗方案。神经损伤后无特殊治疗方法,可给予神经营养药,促进神经生长和锻炼帮助神经功能恢复。
5.继发感染
在凝固性坏死肿瘤组织被完全吸收纤维化以前,一旦细菌进入治疗区就可能发生治疗区的继发感染,细菌常来源于菌血症或局部感染的直接扩散。预防的关键是增强体质和注意自我保护,预防感染性疾病的发生和局部外伤。一旦有菌血症的诱因,如拔牙和任何有创性检查或局部外伤,均需口服抗生素1周;其他部位已有明确感染灶者,发生菌血症的可能性比较大,必须静脉滴注抗生素1~2周。继发感染的表现无特殊,其治疗是大剂量有效的抗生素联合应用,一旦脓肿形成应进行切开引流。经上述处理仍不能控制感染者需行截肢术。
1.近期疗效评价
(1)技术成功性评价:确定肿瘤是否完全凝固性坏死以及凝固性坏死的范围,即确定是根治性消融、完全消融还是姑息性消融。
(2)评价时机:HIFU术后72小时至1个月。
(3)评价方法:功能性影像与功能解剖影像相结合。以下三种评价方案选择一种评价,建议第一次评价选择方案①,以便发现残留以及确定其准确的位置,以指导进一步治疗。
①SPECT+对比动态增强MRI。
②SPECT+对比动态增强CT。
③PET-CT。
(4)结果解释。
①SPECT:治疗区内原有的放射性异常浓聚完全消失,形成放射性冷区(图5-3)。
图5-3 骨肉瘤治疗前后SPECT的变化
a.治疗前见病灶区放射性异常浓聚;b.治疗后见治疗区(包括病灶区和部分邻近正常骨组织)放射性浓聚消失,形成放射性冷区
②对比增强CT或MRI:治疗区内原有的强化完全消失,形成非灌注区(图5-4)。
图5-4 骨肉瘤治疗前后增强MRI的变化
a.治疗前肿瘤内强化明显;b.治疗后治疗区内强化完全消失,边缘有一薄的强化带
2.远期疗效评价
远期疗效评价内容包括评估肿瘤情况、生存情况和功能情况。
(1)肿瘤情况评价:恶性骨肿瘤除骨骼受累外,还常有肿瘤骨和组织钙化,有效的治疗会使组织钙化增多,而这些含钙多的组织吸收常非常困难,HIFU治疗后很长一段时间肿瘤的体积变化不大,因此在远期疗效评价中,重点在评价有无转移和局部复发,以影像学评价为主。常用胸部平片、B超、CT和SPECT评价是否有转移病灶;SPECT若显示局部放射性异常浓聚,对比增强CT或MRI显示局部有结节状强化、消融区边缘强化带有明显的不规则增宽或肿瘤长大,则提示肿瘤局部复发和进展;血清动态ALP持续增高或处于高位,并排除了慢性肝脏病变、药物性肝损害、生长发育和正常生理波动,提示肿瘤局部复发和进展,但动态ALP变化仅作参考。随访评价的时间一般在HIFU治疗后2年内,每1~3个月评价一次;在HIFU治疗2年后,每3~6个月评价一次。
(2)生存情况评价:关键指标为生存期,包括总生存期、无瘤生存期和无进展生存期。
(3)功能情况评价(生活质量):使用肌肉骨骼肿瘤学会改良功能评分系统(Musculoskeletal Tumor Society93,MSTS93)进行评价。
保肢已成为当前肿瘤外科治疗的主流,其手段仍然是依靠以手术为主的综合治疗。近年来的研究表明,手术对正常组织的创伤可促进肿瘤组织的生长和转移,创伤程度与转移程度呈正相关,寻找微创和无创治疗肿瘤新技术已成为当今的主要趋势。
HIFU消融治疗作为非侵入性治疗肿瘤的保肢手段,与手术保肢技术相比较有如下优点:①非侵入性“切除”肿瘤,减少肿瘤医源性播散和种植的机会;②保持骨原有的形态和连续性,充分利用灭活肿瘤骨段进行重建;③容易对残留病灶或局部复发者进行重复治疗;④痛苦轻,易被患者接受;⑤由于HIFU治疗是非侵入性治疗,不必推迟化疗的进行,可以保证化疗的剂量强度;⑥可同时对原发病灶、跳跃病灶、卫星病灶或/和其他部位的骨转移灶进行治疗;⑦增加了保肢的机会。
治疗手术后复发的恶性骨肿瘤,传统治疗方法是截肢,近年来主张再次手术切除。术后受解剖结构紊乱、瘢痕形成和局部软组织条件的限制,给完整切除肿瘤和肢体重建带来困难,再次手术切除仅适用于部分复发患者。HIFU消融治疗是超声引导下的非侵入性治疗,有利于识别复发病灶,充分利用局部软组织进行肢体重建,可为手术后复发患者提供一种新的治疗手段。
(张蓉、陈文直)