



超声图像又称声像图。在HIFU治疗技术的超声监控方面,Haar最早用二维实时超声在离体猪肝上检测到了HIFU损伤病灶,认为可以利用超声作为HIFU治疗的监控工具。不过,在HIFU治疗的超声监控研究方面,国内做了大量工作。重庆医科大学在对靶组织的测温、凝固性坏死组织与组织病理及声像图变化的相互关系、HIFU辐照不同组织凝固性坏死的超声图像特点、超声图像的灰度值与组织凝固性坏死的关系、HIFU所致凝固性坏死的灰度判断标准、超声图像的散斑分析处理、MRI与超声图像融合、通过超声图像选择声通道的价值、超声图像实时疗效评价与剂量反馈及通过超声图像监控如何避免或减少并发症等方面,取得了突破性进展。
靶组织灰度有无增强,是超声图像判断有无凝固性坏死,进行实时疗效评价的标准。
研究证实,凝固性坏死在声像图上显示为回声增强。肉眼所见凝固性坏死组织的大小及实际测量值与即刻的声像图显示的灰度增强范围相一致。声像图可实时反映凝固性坏死组织的变化。声像图显示凝固性坏死组织灰度增强的主要原因为:①HIFU作用于靶组织产生瞬态高温,致使组织液汽化,形成大量的微气泡;②超声空化效应;③靶组织发生凝固性坏死后,其组织结构或声学特性发生改变,出现灰度增加。当灰度增加的平均值大于10时,表明靶组织已发生凝固性坏死。在实验研究中发现,当靶组织平均灰度值大于5时,实际上靶组织多已发生凝固性坏死,但可能存在破坏不彻底,或在少数情况下出现靶组织并未发生凝固性坏死,仅见到损伤的表现。不过,检测灰度值需要注意的是,靶组织回声的增强并不完全是坏死组织的直接声像图表现,因为靶组织的灰度值是动态变化的,治疗后即刻检测,灰度明显增强,且增强的范围也最大,如连续观察10min,则发现灰度逐渐减弱,尤其是在5min后更为明显,且增强的范围也明显缩小。实验证实,组织消融后即刻检测到的灰度增加值及增加的范围更能代表靶组织的实际坏死范围。
依靠声像图灰度实时评价HIFU治疗的效果存在着局限性。研究发现,组织发生凝固性坏死后,大约有15%~20%的靶组织声像图无明显的灰度增加,出现假阴性。究其原因,发现辐照总剂量越低,出现灰度的概率越低,反之辐照总剂量越高,出现灰度的概率越高,损伤体积越大;在相同剂量下,辐照功率越高,损伤体积越大,灰度增强越明显。当采用高声强短时间辐照时,靶组织因为空化效应等产生大量微气泡,声像图上可见到灰度明显增强。如采用低声强长时间辐照,靶组织产生的微气泡较少,导致声像图上见不到明显的灰度变化,这时容易出现假阴性。所以,声像图上所显示的靶组织灰度有无增加还与HIFU辐照的声功率大小和辐照时间等因素有关。
随着技术的进步,超声散斑的研究受到学者的广泛关注。散斑在声像图上表现为斑纹结构,可以反映人体组织更加细微的信息。当组织发生热消融后,其内部的散射颗粒大小以及颗粒之间的位置关系必定会发生变化,声像图中的点状回声变得细小而均匀,事实上是声像图散斑统计特性发生了变化。因此,可以通过研究热消融组织的声像图散斑特性来判断靶组织是否发生凝固性坏死,也可明显降低超声图像灰度来判断凝固性坏死的假阴性。
超声弹性成像(ultrasound elastography)是利用超声对组织进行激励,提取与组织弹性有关的参数,并通过彩色灰阶图像编码在声像图中显示出来的技术。弹性成像能反映病变治疗前后的硬度或组织弹性特征的信息,如HIFU消融后,靶组织硬度增加,通过对比HIFU辐照前后靶组织弹性模量分布的变化,检测和判断靶组织是否发生凝固性坏死,可实现对HIFU治疗的实时疗效评价。
声学造影,在HIFU治疗病例的选择及疗效评价方面有较大价值。当超声监控图像出现伪影干扰,造成图像不清晰,以及灰度评价靶组织有无凝固性坏死存在假阴性,导致超声实时监控和实时疗效评价困难时,有望借助声学造影予以解决。当肿瘤边界不清楚或图像干扰大而不易识别肿瘤边界时,可行声学造影加以识别。当给与靶组织足够的声能量而声像图上仍见不到灰度明显增强或声像图灰度评价疗效出现假阴性时,应进行声学造影,如靶组织内没有造影剂充填,表明已达到治疗目的;如有部分充填,提示仍有血流灌注,表明治疗不彻底或有残留,可及时补充治疗,从而提高消融率。如果采用新型生物靶向增强剂,既可用于超声造影,又可增强疗效。
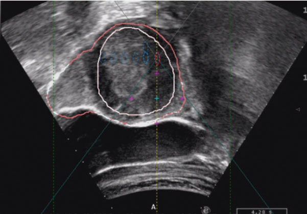
在影像技术中,图像融合技术(image fusion,IF)是将多模态图像相互融合互补。通过多种成像模式以提供更全面的信息。这里所说的图像融合技术,主要是指解决超声监控图像出现伪影干扰、肿瘤边界显示不清楚、定位时间延长、治疗时间延长及治疗不彻底等问题。将患者治疗前MRI或CT的序列图像通过计算机与监控超声图像进行重建,即可获得多模态融合的图像。当监控超声图像受到干扰时,在干扰区域可以提取相应的MRI或CT图像信息进行充填,以弥补超声监控图像的不足。
不过IF还在不断完善之中,目前要解决的关键问题是确定两种融合图像的空间位置,因为空间位置不匹配,融合的图像并不能保证在同一位置,即所谓错位,一旦发生错位就存在潜在风险。总之,图像融合技术是超声引导监控HIFU治疗的发展方向之一,现已逐渐用于临床,其造影效果见图4-1。
图4-1 实时超声影像(包含特征轮廓)
(邹建中)