



肺腺上皮肿瘤包括腺体前驱病变和肺腺癌,前者包括不典型腺瘤样增生和原位腺癌,后者包括微浸润性腺癌和浸润性腺癌。
肺腺癌的腺体前驱病变包括不典型腺瘤样增生和原位腺癌。
不典型腺瘤样增生(atypical adenomatous hyperplasia,AAH)是由Ⅱ型肺泡细胞或Club/Clara细胞贴附于肺泡壁(有时贴附于呼吸性细支气管)生长的一种异型增生性病变,通常病灶≤0.5 cm。
【ICD-O编码】8250/0。
【ICD-11编码】2F0Z&XH5QL3。
【镜下形态】AAH的细胞为单行排列,细胞间存在间隙,可见钉状细胞和双核细胞,但核分裂象极其罕见(图2-1)。AAH的特点是其增生的细胞依着周围正常的肺泡壁而延续,不像原位癌那样戛然终止。AAH是与鳞状上皮异型增生相对应的一种癌前病变。
原位腺癌(adenocarcinoma in situ,AIS)是一种小的(≤3 cm)局限性非浸润性腺癌,肿瘤细胞沿先前存在的肺泡结构呈附壁样生长,无侵袭性特征。AIS的诊断需基于手术切除标本,且需要对肿瘤病灶进行完全取样,而不能基于小活检或细胞学标本。
【ICD-O编码】8250/2。
【ICD-11编码】
① 2E62.2&XH1FR9:支气管或肺AIS和肺非黏液性AIS。
② 2E62.2&XH6BU6:支气管或肺AIS和肺黏液性AIS。
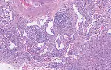
【镜下形态】几乎所有AIS均为非黏液性,通常表现为Ⅱ型肺细胞和(或)Club细胞沿原有肺泡壁连续单层增生,有时可见细胞重叠或轻度分层或微小细胞簇生成,但不存在浸润性生长模式(如腺泡、乳头、微乳头、实性和肺泡腔内存在肿瘤细胞)(图2-2),也不存在间质、脉管、胸膜的浸润及气道播散(STAS)现象。事实上,AIS常存在组织形态改变的多样性,某些区域肿瘤细胞处于缓慢生长或静止甚至退缩状态,肿瘤细胞由于自身凋亡,细胞数量减少,肺泡张力减小,难以维持肺泡结构,伴随肺间隔纤维组织增生,导致部分AIS的腺体内陷,但并非真正的浸润。有些AIS的局部区域肿瘤细胞明显增殖活跃,表现为肿瘤细胞核增大、深染,并突向肺泡腔,但不见核仁,常可见核内包涵体。有时由于切面或制片,可以形成少量的假乳头,这些假乳头成分不是真正的具有二级和三级分支的乳头状结构,因此不能视为浸润性成分。
图2-1 AAH
图2-2 AIS
黏液性AIS极其罕见,其组织学特征是肿瘤细胞呈高柱状,细胞核位于基底部,没有核的异型性,肿瘤细胞质内含有黏液,当胞质内含有较多黏液时类似于杯状细胞。与非黏液性AIS相同,肿瘤细胞呈附壁样生长。
【诊断分子病理学】不需要分子检测来协助AIS的诊断。
注:有关AIS与早期浸润性肺腺癌的鉴别可参考《中华病理学杂志》2016年第45卷9期《早期肺腺癌病理诊断若干问题》一文。
肺腺癌是指具有腺样分化,产生黏液或表达肺泡细胞标记的恶性上皮细胞性肿瘤。
微浸润性腺癌(micro invasive adenocarcinoma,MIA)是一种小的(≤3 cm)孤立性腺癌,以附壁样生长为主,肿瘤的任何切面内浸润性癌病灶最大直径始终≤0.5 cm。诊断MIA需基于手术切除标本,不能基于小活检或细胞学标本。MIA多为非黏液性的,黏液性的罕见。MIA在TNM分期中被定为Tla期。
【ICD-O编码】
① 8256/3:MIA,非黏液性。
② 8257/3:MIA,黏液性。
【ICD-11编码】
① 2C25.Z&XH3QM0:MIA,非黏液性。
② 2C25.Z&XH2098:MIA,黏液性。
【镜下形态】MIA内浸润性腺癌成分是指腺泡型、乳头型、实体型和微乳头型腺癌,以及较少见的胶样、肠型、胎儿型和浸润性黏液性腺癌;或肿瘤细胞成分浸润至有肌纤维母细胞反应的肺间质,其中以腺泡型和乳头型腺癌最为常见(图2-3)。如血管、淋巴管、胸膜、肺泡内肿瘤细胞存在坏死和STAS等,则不能诊断为MIA,应诊断为浸润性腺癌。如果有多个浸润灶,浸润区在多个玻片上,浸润大小难以测量,可采用浸润性病灶的百分比之和×肿瘤的最大径,如数值≤0.5 cm,则诊断为MIA。
图2-3 MIA
【诊断分子病理学】不需要分子检测来协助MIA的诊断。
【冷冻切片诊断】AIS、MIA术中冷冻切片诊断:冷冻切片所存在的技术缺陷以及早期肺腺癌本身存在的组织异质性等因素的影响,增加了早期肺腺癌(AIS、MIA)冷冻切片诊断的不确定性。因此,推荐使用中华医学会病理学会胸部疾病学组制定的《早期(非黏液型附壁生长方式)肺腺癌冷冻切片病理诊断专家共识》,有关AIS、MIA的具体内容如下。
(1)非黏液性AIS相关冷冻切片诊断用语。
①符合AIS:冷冻切片下见肿瘤细胞呈单纯性附壁样生长,病灶内缺少明显的实变区(纤维化或炎性病变),或仅有小的实变区但未见肿瘤侵犯间质,CT影像学只显示磨玻璃样影,可作出“符合AIS”的病理诊断。
②倾向AIS:冷冻切片下见肿瘤细胞呈附壁样生长,但出现局灶性组织密度增加,其内的肿瘤细胞与肺间质关系不清,参考CT影像学相关检查资料后,可作出“倾向AIS,仍需石蜡切片进一步证实”的病理诊断。
(2)非黏液性MIA相关冷冻切片诊断用语。
①符合MIA:冷冻切片下见肿瘤细胞以附壁样生长为主,局灶实变区内见肿瘤细胞浸润到肺间质组织内,或虽没有出现实变区,但局部出现附壁样生长以外的其他生长模式,上述两种情况的最大直径均<0.5 cm,结合CT影像学有关检查资料,可诊断为“符合MIA”的病理诊断。
②MIA可能性大:冷冻切片下见肿瘤细胞以附壁样生长为主,小部分疑有肺间质浸润,参考CT影像学相关检查资料后,可诊断为“MIA可能性较大,但需石蜡切片进一步明确”的病理诊断。
③至少为MIA,浸润性腺癌不能除外:冷冻切片下见肿瘤细胞以附壁样生长为主,部分区域存在明确的肺间质浸润,但无法评估浸润范围或无法确定浸润的最大直径是否>0.5 cm,此时可诊断为“至少为MIA,浸润性腺癌不能除外,待石蜡切片进一步明确”的病理诊断。
浸润性非黏液性腺癌是具有腺体分化的形态学或免疫组织化学证据的非小细胞癌,其浸润区>0.5 cm,不具备其他类型肺腺癌的诊断标准。
【ICD-O编码】
① 8140/3:浸润性非黏液性腺癌。
② 8250/3:附壁生长型腺癌。
③ 8551/3:腺泡型腺癌。
④ 8260/3:乳头状腺癌。
⑤ 8230/3:实体型腺癌。
⑥ 8265/3:微乳头型腺癌。
【ICD-11编码】2C25.0。
【镜下形态】浸润性非黏液性腺癌主要的组织学类型如下。
(1)附壁生长型腺癌:是在以附壁样生长为主的腺癌中,存在>0.5 cm浸润性病灶的浸润性腺癌。浸润性结构是指:①存在腺泡型、乳头状、实体型和微乳头状癌的成分以及不常见的胶样、胎儿型、肠型和浸润性黏液腺癌成分;②肿瘤细胞周围肺间质有肌纤维母细胞反应;③存在肿瘤侵犯血管、淋巴管、胸膜;④有肿瘤细胞STAS或坏死。如在肿瘤中有多灶性浸润性病灶,同样可采用浸润性病灶的百分比之和×肿瘤的最大径,如数值>0.5 cm即可作出诊断。附壁生长型腺癌的诊断仅适用于非黏液性腺癌。
(2)腺泡型腺癌:主要成分是由恶性上皮细胞围成的圆形、椭圆形的腺泡或管腔状结构(图2-4),此类型腺癌的腺腔内和肿瘤细胞内可有黏液。有时沿着肺泡壁生长会出现折叠,形成内陷的腺样细胞巢,很难与腺泡生长方式(浸润性生长)相鉴别。鉴别要点:①腺泡型腺癌肿瘤细胞周围肺间质有肌纤维母细胞反应;②肺泡原有结构消失。大的腺泡内出现的由多个背靠背的小腺腔构成的癌,称为筛状癌。目前认为筛状癌是腺泡型腺癌的一种生长模式,与预后不良相关。
图2-4 腺泡型腺癌
(3)乳头状腺癌:诊断标准是带有纤维轴芯的乳头状结构,肺间质是否有肌纤维母细胞反应不作为标准,但需要注意与各类呈附壁样生长的腺癌(非浸润性)因切面造成的假乳头相鉴别。如果乳头状结构被腺泡或附壁生长的肿瘤包围,则归类为乳头状腺癌,而不是腺泡型或附壁生长型腺癌。目前的研究发现,乳头状腺癌的乳头结构大小和肿瘤细胞的核异型程度均与患者的预后情况相关。
(4)实体型腺癌:肿瘤细胞以实巢状或片状排列为主,缺乏可识别的附壁生长型、腺泡型(包括筛状癌)、乳头状或微乳头状结构。如完全为实巢状,注意与鳞状细胞癌和大细胞癌相鉴别,因它们均可能有少量肿瘤细胞内含有黏液。实体型腺癌黏液染色(或DPAS)显示要求每2个高倍视野(HPF)(0.4 mm 2 )含有细胞内黏液的肿瘤细胞数≥5个。TTF-1、NapsinA和p40对实体型腺癌与鳞状细胞癌和大细胞癌的鉴别有重要作用。
(5)微乳头型腺癌:是由生长在乳头丛中的肿瘤细胞组成的,肿瘤细胞小且细胞核具有不同程度的异型性。主要形成缺乏纤维血管轴心的花瓣样瘤细胞簇,肿瘤细胞可与肺泡壁连接或分离。常有肿瘤侵犯血管、淋巴管和肺间质,有时可见砂粒体。微乳头型腺癌的预后很差,易出现术后复发和转移。因此,即使微乳头成分达不到诊断微乳头型腺癌的程度,只要出现微乳头成分,就应标出其所占肿瘤的比例。
另外,微乳头成分还常作为肺内播散的一种形式出现,即沿STAS,肿瘤细胞以微乳头、实性细胞簇、环状结构或单个肿瘤细胞的形式离开原发灶,漂浮在肿瘤周围的正常肺泡腔内。出现了STAS的病例则有较高的复发率,预后差。
【诊断分子病理学】目前已知肺腺癌中有致癌驱动基因突变,包括EGFR、KRAS、BRAF、ALK、ROS1、RET、NTRK1-3、HER2、MEK1、NRAS和NRG1。靶向治疗可用于肿瘤发生EGFR、BRAF、ALK、ROS1和NTRK1-3基因突变的患者。针对KRAS G12C基因突变和RET基因融合的靶向药物的临床试验显示出巨大的应用前景。因此,肺腺癌患者的最佳治疗需要对大量致癌基因进行全面分析。与一些具有特定分子改变的肿瘤(如肉瘤、淋巴瘤和白血病)不同,尽管已有研究发现,在肺癌中,KRAS基因突变与浸润性黏液腺癌和实体肿瘤之间,EGFR基因突变和以附壁样生长为主的非黏液型腺癌之间,以及ALK和ROS1基因重排与筛状癌、印戒癌细胞和砂粒钙化之间具有统计学关联,但肺癌本身并没有其特定的组织学-分子相关性。
【分级】2020年,国际肺癌研究协会(The International Association for the Study of Lung Cancer,IASLC)病理委员会评估了一系列肺腺癌组织学亚型标准并和患者预后进行关联性研究后,提出了一个浸润性非黏液性肺腺癌的分级系统,第五版世界卫生组织(World Health Organization,WHO)分类也采纳了这一分级系统。新浸润性的肺腺癌分级系统是基于“优势亚型+高级别亚型”做出的分级。腺癌的高级别亚型包括实体型、微乳头型和复杂腺体结构的腺癌。
① 1级(高分化腺癌):附壁样生长为主型腺癌,伴或不伴<20%高级别腺癌。
② 2级(中分化腺癌):腺泡或乳头为主型腺癌,伴或不伴<20%高级别腺癌。
③ 3级(低分化腺癌):腺癌伴≥20%高级别腺癌。
浸润性黏液腺癌(invasive mucinous adenocarcinoma,IMA)是原发性肺腺癌,肿瘤细胞由柱状细胞和细胞质内含有大量黏液的杯状细胞组成。
【ICD-O编码】
① 8253/3:IMA。
② 8254/3:混合性浸润性黏液性和非黏液性腺癌。
【ICD-11编码】2C25.0&XH7GY6:支气管或肺腺癌和黏液性肺腺癌。
【镜下形态】IMA通常呈附壁样生长,肿瘤周围的肺泡腔通常充满黏蛋白。杯状细胞和柱状细胞的细胞核位于基底部,几乎没有或有轻微的核不典型性(图2-5),IMA非附壁样生长的侵袭性成分中,胞质内黏蛋白的含量通常低于附壁样成分。广泛取材可见浸润性病灶,包括腺泡型、乳头状、微乳头状、实性和筛状生长等各类组织形态,如果存在黏液性和非黏液性两种成分混合的肿瘤,而且每种成分≥10%,应归类为浸润性混合性黏液性和非黏液性腺癌。IMA表达CK7,可显示CK20和CDX2的局灶性共表达,但通常不表达TTF-1和NapsinA。IMA需与肺外部位(包括胰胆管系统、胃肠道和卵巢)的转移性肺腺癌相鉴别。黏液性乳腺癌通常表达GATA3和ER。黏液性结直肠腺癌表达SATB2、CK20和CDX2的,其偶尔也表达TTF-1。临床病史和相关放射学检查结果在鉴别诊断时也是不可或缺的。
图2-5 IMA
【诊断分子病理学】IMA中最常见的分子改变是KRAS基因突变(约占60%),主要是p.G12D和p.G12V,类似于胃肠癌。与非黏液性腺癌不同,EGFR基因突变罕见(约有1%)。与KRAS基因突变相互排斥的致癌基因融合突变发生在约12%的病例中,并可提供治疗(或潜在治疗)靶点。最常见的基因融合涉及NRG1,其次是ALK、ERBB2、ERBB4、BRAF、RET、ROS1和NTRK1。
(1)胶样腺癌。
胶样腺癌是一种侵袭性腺癌,表现为广泛的细胞外黏液池扩张,致使肺泡腔扩张并破坏肺泡壁和肺泡腔。
【ICD-O编码】8480/3。
【ICD-11编码】2C25.Z&XH7GY6。
【镜下形态】肿瘤组织内见大量细胞外黏液并形成黏液池,肿瘤由杯状细胞和柱状细胞组成,细胞核常无明显异型性,可呈附壁样生长,也可漂浮在黏液池中(图2-6)。肿瘤细胞表达CK20、MUC2和CDX2,不表达或局灶表达TTF-1、NapsinA和MUC1。同样要注意与消化道、胰腺、卵巢和乳腺的转移性黏液腺癌相区别。
【诊断分子病理学】与IMA和产生黏蛋白的胃肠道肿瘤和胰腺导管内乳头状黏液性肿瘤的分子改变相似,大约一半的胶样腺癌有KRAS基因突变。其他常见的是STK11和PARP1基因突变。
(2)胎儿型腺癌。
胎儿型腺癌是一种类似于发育中的胎儿肺(假腺管期)的肺腺癌。
【ICD-O编码】8333/3。
【ICD-11编码】2C25.0&XH5P16。
【镜下形态】肿瘤显示出复杂的腺状、乳头状或筛状结构,也可呈片状生长。由富含糖原的假复层柱状细胞组成,胞质透明呈轻度嗜酸性并形成核下空泡(图2-7)。肿瘤分为低级别和高级别两种亚型。低级别亚型肿瘤细胞核小、相对均匀一致,可有轻度异型性,胞质透亮或呈轻微嗜酸性,富含糖原,类似于假腺管期胎儿肺气道上皮,通常肿瘤性腺体被疏松的纤维黏液间质包绕,可见桑椹胚,如果发生坏死,通常为点状。高级别亚型肿瘤细胞核异型性明显,无桑椹胚形成,常有广泛性坏死。高级别亚型常与其他类型癌如肝样腺癌、肠腺癌、高级别神经内分泌腺癌和普通腺癌混合。高级别亚型组织结构应至少占整个肿瘤的50%才能诊断为高级别胎儿型腺癌。
图2-6 胶样腺癌
图2-7 胎儿型腺癌
低级别亚型β-catenin在肿瘤细胞核/细胞质表达,而高级别亚型则主要在细胞膜表达。低级别亚型TTF-1呈阳性,而大约50%的高级别亚型TTF-1呈阴性。二者的神经内分泌标志物通常都呈阳性。高级别亚型通常表达甲胎蛋白、SALL4和Glypican-3。应注意同转移的子宫内膜癌鉴别,胎儿型腺癌常表达TTF-1,子宫内膜癌表达雌/孕激素受体(上皮细胞和间质细胞均表达)和PAX8。
【诊断分子病理学】在低级别胎儿型腺癌中,常见CTNNB1基因突变。据报道,胎儿型腺癌存在DICER1基因突变。在胎儿型腺癌中,很少或没有肺癌常见的驱动基因突变,如KRAS、EGFR、BRAF和PIK3CA等。
(3)肠型腺癌。
肠型腺癌是一种与结直肠腺癌组织学形态结构相似的原发性肺腺癌。
【ICD-O编码】8144/3。
【ICD-11编码】2C25.0&XH0349。
【镜下形态】肠型腺癌组织学形态类似于结直肠腺癌,表现为腺泡、筛状或乳头管状结构,管腔内常见坏死细胞碎片。肿瘤细胞呈柱状,细胞核似雪茄状。肿瘤腺体的腔面平坦,偶有刷状缘。常见核分裂象。肺间质可见结缔组织增生,常伴有明显的炎症细胞浸润。由于肠型腺癌可与其他类型腺癌混合,因此,当肠型成分>50%时,才能诊断为肠型腺癌。CK20和MUC2在大约半数和1/3的病例中表达,超过半数病例表达CDX2、VILLIN和HNF4a。新的肠道标志物如SATB2和cadherin17(CDH17)则很少表达。尽管超过半数的肠型腺癌缺乏TTF-1表达,但超过80%的肠型腺癌表达CK7,这有助于与结直肠腺癌的鉴别诊断相区别。有时肺肠型腺癌的组织学和免疫表型与结直肠腺癌无法完全区别(有少数转移性结直肠癌病例可表达TTF-1),故临床病史和相关的各类检查结果在鉴别诊断时是不可或缺的,只有排除了转移性结直肠腺癌,才能作出肠型腺癌的病理诊断。
【诊断分子病理学】最新报道表明,半数的肠型腺癌保留了普通肺腺癌的分子特征(如EGFR、ALK、BRAF等基因突变),而转移性结直肠癌更多发生APC基因突变。这一结果对鉴别诊断有重要的临床意义。