购买
下载掌阅APP,畅读海量书库
立即打开
畅读海量书库
扫码下载掌阅APP

第五节
肺涎腺型肿瘤

一 肺多形性腺瘤

肺多形性腺瘤是一种由上皮细胞和肌上皮细胞组成的良性肿瘤,常混有软骨黏液样基质。

【ICD-O编码】8940/0。

【ICD-11编码】2F00Y&XH2KC1。

【镜下形态】肺多形性腺瘤在组织学上与涎腺良性多形性腺瘤相似。可见管状或导管成分,以及混在软骨黏液样基质中的梭形或浆细胞样的肌上皮细胞。可见鳞状上皮化生。免疫组织化学虽没有特异性,但支持上皮和肌上皮双相分化。CK、S100蛋白、GFAP、p40、p63、calponin、α-SMA和平滑肌肌球蛋白重链可呈现不同程度的阳性。多形性腺瘤内可偶见恶性成分。癌成分可以是上皮、肌上皮或混合起源,并表现出恶性特征,包括细胞坏死、细胞异型性、核分裂象≥5个/2 mm 2 、血管和周围神经浸润,此时的病理诊断应为癌在多形性腺瘤中,应报告癌的类型。

【诊断分子病理学】尚无与临床诊断相关的分子遗传特征。

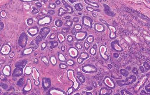
二 肺腺样囊性癌

肺腺样囊性癌是一种由上皮细胞和肌上皮细胞组成的恶性双相型涎腺型肿瘤。

【ICD-O编码】8200/3。

【ICD-11编码】2C25.Y&XH4302。

【镜下形态】肿瘤由小的立方形细胞组成,胞质少,细胞核深染,核分裂象少见,常可见周围神经浸润。具有筛状、管状和实性三种组织学结构。最常见的是筛状结构,其特征是肿瘤细胞巢被嗜碱性基质围成多个假腺腔。当形成具有两层细胞的管状结构时,腔内细胞呈立方形,外周包绕肌上皮层(图2-16)。实性结构由肿瘤细胞巢构成。免疫组织化学显示上皮和肌上皮表型,包括CK、波形蛋白、肌动蛋白、S100蛋白等。

【诊断分子病理学】通过荧光原位杂交(FISH)技术检测MYB-NFIB和MYBLI-NFIB重排基因,或高通量测序(next-generation sequencing,NGS)技术检测MYB-NFIB和MYBLI-NFIB融合基因有助于肺腺样囊性癌的诊断。

图2-16 肺腺样囊性癌

三 肺上皮-肌上皮癌

肺上皮-肌上皮癌是一种双相分化的恶性涎腺型肿瘤。

【ICD-O编码】8562/3。

【ICD-11编码】2C25.Y&XH9JP2。

【镜下形态】肺上皮-肌上皮癌是一种少见的肿瘤,仅占肺原发性涎腺型肿瘤的3.8%。患者年龄从7~81岁不等,平均年龄56岁,无性别差异。肺上皮-肌上皮癌是由上皮和肌上皮成分组成的双相型肿瘤。最常见的组织结构是双层管状结构,导管上皮细胞形成内层,肌上皮细胞形成外层。内层导管上皮细胞核小且形态一致,有嗜酸性胞质。外层肌上皮细胞常有透明的胞质,核分裂象罕见,无坏死。有时肌上皮细胞可呈梭形,不与上皮细胞形成管腔结构,仅形成以肌上皮细胞为主的实性细胞巢。少数病例以肌上皮细胞核异型性增加为主,称为肌上皮间变(癌)。导管上皮细胞对细胞角蛋白呈强阳性,对肌上皮细胞标志物呈阴性。肌上皮细胞通常对S100蛋白表达呈强阳性。

【诊断分子病理学】尚无临床相关研究报道。

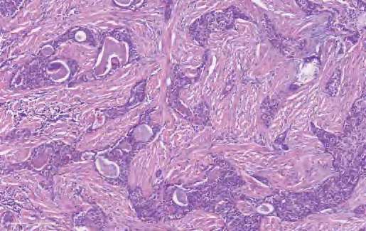
四 肺黏液表皮样癌

肺黏液表皮样癌是一种涎腺型恶性肿瘤,由黏液分泌细胞、鳞状细胞和中间型细胞组成。

【ICD-O编码】8430/3。

【ICD-11编码】2C25.Y&XH1J36。

【镜下形态】肺黏液表皮样癌分为低级别和高级别两种亚型。低级别肿瘤由数量不同的黏液分泌细胞、鳞状细胞和中间型细胞构成。黏液分泌细胞常形成囊腔样结构。中间型细胞和非角化鳞状细胞形成实性结构(图2-17)。局灶可见透明胞质,核分裂象罕见。肿瘤间质可出现钙化、骨化,以及由黏液溢出而形成的肉芽肿性或慢性炎症等。高级别肿瘤少见,主要由非典型鳞状细胞和中间型细胞组成,伴有数量不等的黏液分泌细胞,核分裂象多见,并可见坏死。各类型细胞CK表达均为阳性,而TTF-1、NapsinA、SMA和S100蛋白等表达为阴性。鳞状细胞p40、p63和CK5/6表达为阳性。

图2-17 肺黏液表皮样癌

【诊断分子病理学】MAML2基因重排几乎仅见于黏液表皮样癌,因此利用FISH技术检测CRTCI-MAML2重排基因或NGS检测CRTCI-MAML2融合基因有助于黏液表皮样癌的诊断。

五 肺肌上皮瘤和肌上皮癌

肺肌上皮瘤和肌上皮癌(myoepithelioma and myoepithelial carcinoma)是一种非常罕见的肿瘤,与软组织、唾液腺、骨骼和皮肤中相应的肿瘤具有相同的形态学、免疫表型和遗传学特征。肌上皮瘤是指良性肌上皮肿瘤,而恶性肌上皮肿瘤则为肌上皮癌。

【ICD-O编码】

① 8982/0:肌上皮瘤。

② 8982/3:肌上皮癌。

【ICD-11编码】

① 2C25.Y&XH3CQ8:肌上皮瘤。

② 2C25.Y&XH43E6:肌上皮癌。

【镜下形态】肌上皮瘤罕见,多发生于成人(平均年龄52岁)。肌上皮癌主要发生于儿童。与混合涎腺型肿瘤相反,肌上皮瘤和肌上皮癌仅由肌上皮细胞组成,没有导管或管状结构。肌上皮瘤呈分叶状,细胞形态多样,细胞可呈上皮样或圆形,胞质透明,细胞也可呈梭形,排列成片状、巢状,或呈网状或小梁状镶嵌在黏液样、黏液软骨样或透明的基质中。肌上皮癌常表现出明显的核异型性,有显著的核分裂象和坏死,并呈浸润性生长。肿瘤细胞表达CK、EMA和S100蛋白,不同程度地表达p63、p40、Sox10、α-SMA、calponin和GFAP。

【诊断分子病理学】可通过FISH技术检测到EWSR1或FUS基因重排。

六 肺玻璃样变透明细胞癌

肺玻璃样变透明细胞癌(hyalinizing clear cell carcinoma,HCCC)是一种低度恶性上皮性肿瘤,透明细胞和嗜酸性的肿瘤细胞呈条索状、小梁状或巢状浸润于以透明黏液和细胞性纤维为背景的肺间质中。

【ICD-O编码】8310/3。

【ICD-11编码】2C25.Y。

【镜下形态】HCCC是一种罕见的肺癌,发病年龄范围在30~66岁,女性占多数。肿瘤细胞呈小到中等大小,伴有透明或嗜酸性胞质,呈条索状、巢状和小梁状浸润于黏液样和纤维样间质中。核分裂象少见,无坏死,偶见细胞内黏液。可浸润周围神经,并可见肿瘤周围淋巴细胞浸润。肿瘤细胞对CK7、34 β E12、CK5/6、p63和p40的表达呈阳性。有报道称:EMA、CAM5.2、CK19和CK14表达呈阳性;TTF-1、NapsinA、CK20、S100蛋白、α-SMA、Syn和CgA表达呈阴性。

【诊断分子病理学】在所有已诊断的病例中,均可检测到EWSR1-ATF1基因融合。有一例病例报告中发现有EWSR1-CREM基因融合。 b3lXKp2/TERXuOWj5DvKIBKZt16uUZen1uelMuI4yG4I9l+IRorXiHNKuaBVvj6J

点击中间区域
呼出菜单
上一章
目录
下一章
×