



腺鳞癌是一种同时具有腺癌和SCC成分的癌,每种成分至少占肿瘤的10%。
【ICD-O编码】8560/3。
【ICD-11编码】2C25.Z&XH7873。
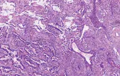
【镜下形态】腺鳞癌由腺癌和SCC两种成分混合组成,在腺癌成分中可以看到任何组织学类型的腺癌,SCC成分可以是角化性或非角化性亚型。如果每种癌成分都分化良好,则诊断腺鳞癌并不困难,不需要通过免疫组织化学来诊断(图2-10)。如果肿瘤具有部分实性腺癌成分或非角化性SCC成分,则诊断更加困难。如果两种肿瘤成分是离散的,则诊断相对容易;如果它们合并混合,则诊断相对困难。腺癌的最佳免疫组织化学标志物是TTF-1,SCC的最佳免疫组织化学标志物是p40。由于10%~20%的肺腺癌TTF-1表达呈阴性,所以有时可能需要做黏蛋白染色来确认TTF-1阴性的实性成分中是否有腺癌分化。如果存在少量腺癌成分,但其比例未达到10%,也应在报告中注明,因为无论腺癌比例如何,肿瘤都可能携带腺癌相关的驱动基因突变。要明确两种肿瘤成分,取材范围至关重要。对于<3 cm的肿瘤,宜对整个肿瘤进行取样;对于较大的肿瘤,每1 cm至少取一个切片。腺鳞癌的诊断需要基于手术切除标本,小活检或细胞学标本检查不能直接作出腺鳞癌的诊断,仅能提出建议。
图2-10 腺鳞癌
【诊断分子病理学】腺鳞癌的遗传特征介于腺癌和SCC之间,因此,腺鳞癌没有明确的分子诊断结果,可能存在:ALK、ROS1或RET基因重排;EGFR、KRAS、AKT、ERBB2(HER2)基因突变;PIK3CA或STK11(LKBI)及FGFR1基因扩增。
大细胞癌(large cell carcinoma,LCC)是一种未分化的非小细胞癌,缺乏小细胞癌、腺癌、SCC和多形性癌、巨细胞癌、梭形细胞癌的组织细胞学和免疫组织化学特征。
【ICD-O编码】8012/3。
【ICD-11编码】2C25.3。
【镜下形态】LCC由大的多角形细胞成片组成或呈巢状,肿瘤细胞核呈泡状,核仁明显,细胞质中等(图2-11)。可能存在透明细胞或横纹肌样细胞特征。在通过免疫组织化学排除小细胞癌、腺癌、SCC和巨细胞癌、梭形细胞癌或多形性癌及其他转移性癌后,才能作出LCC诊断。TTF-1和p40是检测腺癌或鳞状细胞分化的首选免疫组织化学标志物。若二者为阴性,还需检测黏液染色为阴性或<5个阳性细胞/2个HPF(0.4 mm 2 ),以排除含黏液的实性腺癌。如果TTF-1和p40阴性,则不建议使用NapsinA和CK5/6来检测腺癌和鳞状细胞的分化。根据需要,还应进行CK染色,以确认上皮分化。TTF-1和p40阴性的病例应称为“LCC(裸免疫表型)”。依靠有无神经内分泌形态学特征以及免疫组织化学神经内分泌标志物(嗜铬粒蛋白、突触素或CD56)可与大细胞神经内分泌癌相鉴别。对于缺乏神经内分泌形态的病例,不建议使用神经内分泌标志物。然而,如果组织形态学显示为未分化的非小细胞癌且CK和NE标志物表达呈阳性,TTF-1和p40表达呈阴性,则应称为“具有NE分化的LCC(或具有NE免疫表型的LCC)”。横纹肌样细胞有时增加了癌肉瘤伴横纹肌肉瘤分化区域的可能性,但是具有横纹肌样细胞学的LCC,其细胞角蛋白是阳性的,desmin和myogenin是阴性的。在类似LCC的肿瘤中出现横纹肌样形态,应考虑SMARCA4基因缺失的胸部肉瘤样肿瘤的可能。肿瘤显示超过10%的多形性特征(梭形或巨细胞)应归类为多形性癌。为了排除胸外的低分化癌、淋巴瘤、恶性黑色素瘤或间皮瘤等转移性肿瘤,通常需要再根据细胞角蛋白和其他部位肿瘤的免疫组织化学标记,结合临床-放射学相关检查资料综合判断。LCC需要对手术切除的肿瘤进行彻底取样后才能作出诊断,非手术的小活检标本或细胞学标本检查不能直接作出诊断。
图2-11 LCC
【诊断分子病理学】对于手术切除后诊断为LCC的肿瘤,则建议进行分子检测(参考非小细胞癌),以确定治疗靶点。
多形性癌(pleomorphic carcinoma)是一种低分化的非小细胞癌,由任何类型的非小细胞癌(包括腺癌、SCC或LCC)和至少10%的梭形细胞和巨细胞癌成分共同组成,或完全由梭形细胞和瘤巨细胞组成的癌。多形性癌的明确诊断只能基于手术切除标本。
【ICD-O编码】8022/3。
【ICD-11编码】2C25.Y&XH35GO/XH3RZ4/XH1JZ2。
【镜下形态】多形性癌由至少10%的梭形细胞和巨细胞与腺癌、SCC或LCC组成。肿瘤也可以仅由梭形细胞和肿瘤性巨细胞组成。恶性上皮细胞和梭形细胞/巨细胞可以紧密混合,或者彼此之间有明显的界线。当存在腺癌、SCC或LCC成分时,应在病理报告中提及(如多形性癌伴有腺癌)。巨细胞可以分散在整个肿瘤中,而且细胞可以表现为角蛋白阴性而巨噬细胞标志物阳性。多形性癌中存在不同数量的间质,可能是胶原或黏液样的。肿瘤内常见坏死、出血和血管侵犯。如果肿瘤几乎由高度多形性巨细胞组成,则诊断为巨细胞癌(giant cell carcinoma),其肿瘤性巨细胞具有多个不规则的或多叶状的细胞核,富含嗜酸性颗粒的胞质,常见有白细胞浸润。梭形细胞癌(spindle cell carcinoma)仅由形态多变的肿瘤性梭形细胞组成,缺乏分化成分,肿瘤细胞细长,束状或席纹状生长为其特征,可伴有慢性炎症,有时类似于炎性肌纤维母细胞瘤。免疫组织化学有助于识别不同的细胞成分。广谱CK在非小细胞肺癌成分中通常呈阳性,在巨细胞和梭形细胞成分中可呈不同程度的表达或阴性。有时可能需要用多种角蛋白来确认上皮分化。如果存在明确的腺癌、SCC或LCC成分,即使角蛋白在梭形细胞和巨细胞成分中完全呈阴性,该肿瘤也被认为是多形性癌。鉴别诊断包括癌肉瘤、肺母细胞瘤、来自不同部位的转移性肉瘤样癌(可发生的部位有乳腺、胃肠道、膀胱、子宫、卵巢)、肉瘤(滑膜肉瘤、上皮样血管内皮瘤、黏液样肉瘤、横纹肌肉瘤)、炎性肌纤维母细胞瘤、生殖细胞肿瘤、黑色素瘤、树突状细胞肉瘤和双相性/肉瘤样恶性间皮瘤等。多形性癌的明确诊断需要基于手术切除标本,由小活检或细胞学标本检查不能直接作出多形性癌的诊断,仅能提出建议。
【诊断分子病理学】常见的遗传改变是复杂的染色体异常和TP53基因突变。常存在MET14号外显子的跳跃突变。可以发生KRAS和EGFR基因突变,但很少发生ALK基因重排。PD-L1在多形性癌中高表达(60%~90%),在梭形细胞区表达更强。
肺母细胞瘤(pulmonary blastoma)是一种双相分化的肿瘤,由低分化/高分化的胎儿型腺癌和原始间充质基质组成。特异性的间质分化灶(骨肉瘤、软骨肉瘤或横纹肌肉瘤)也可以存在,但不是诊断所必需的。
【ICD-O编码】8972/3。
【ICD-11编码】2C25.Y&XH5VH1。
【镜下形态】肺母细胞瘤呈双相分化,包括分支状腺样结构和原始间充质成分。两种成分可广泛混合,或部分区域仅有上皮分化的成分。腺样结构由假复层柱状细胞组成,细胞核较小,呈圆形或卵圆形,形态均匀,胞质透明呈轻度嗜酸性,类似子宫内膜癌。细胞内可见核下空泡。这些特征与低级别/高级别的胎儿型腺癌基本相同。间充质成分由致密的卵圆形或纺锤形、小的原始胚胎样细胞,以及原始细胞逐渐分化成较成熟的、排列疏松的纤维母细胞。偶可见具有奇异核型的间充质细胞。约25%的病例可见未成熟横纹肌、软骨和骨的成分。罕见病例还可见各种生殖细胞肿瘤、小细胞癌和黑色素瘤。免疫组织化学显示上皮成分与低级别/高级别的胎儿型腺癌免疫表型相同,表达角蛋白(AE1/AE3、CAM5.2、CK7)、EMA和TTF-1。神经内分泌标志物通常分散在细胞中表达。间叶成分分别表达波形蛋白和软骨肉瘤、横纹肌肉瘤成分中的组织特异性抗原,如S100蛋白和结蛋白等。
【诊断分子病理学】肺母细胞瘤常在CTNNB1基因的3号外显子处存在错义突变,免疫组织化学β-catenin肿瘤细胞呈现核阳性,有助于与其他肿瘤相鉴别诊断。
癌肉瘤是由非小细胞癌成分(通常为SCC或腺癌)与至少一种异源性肉瘤成分(如横纹肌肉瘤、软骨肉瘤和骨肉瘤等)组合而成的恶性肿瘤。
【ICD-O编码】8980/3。
【ICD-11编码】2C25.Y&XH2W45。
【镜下形态】肿瘤主要包含癌和肉瘤两种组织学成分,癌性成分最常见的是SCC,其次是腺癌和LCC。如有小细胞癌和大细胞神经内分泌癌成分,应把该肿瘤归类为复合性小细胞癌或大细胞神经内分泌癌,而不是癌肉瘤。肉瘤成分包括横纹肌肉瘤、软骨肉瘤和骨肉瘤(脂肪肉瘤或血管肉瘤很少见),可以单独或混合存在。癌成分与同类型肿瘤的免疫组织化学表达一致(腺癌表达TTF-1和NapsinA,SCC表达p40等)。横纹肌肉瘤成分表达结蛋白或肌细胞生成蛋白(myogenin),软骨肉瘤成分表达S100蛋白。梭形细胞区域CK可为阳性,但也可为阴性。这些区域通常TTF-1、NapsinA或p40/p63呈阴性。癌肉瘤细胞β-catenin常为细胞膜阳性。
【诊断分子病理学】如有腺癌成分则需要做驱动基因突变检测。
NUT癌是一种存在睾丸核蛋白(NUT)基因重排、分化差的侵袭性非小细胞癌,也称中线癌或t(15;19)易位癌。
【ICD-O编码】8023/3。
【ICD-11编码】2C27.0&XH2855。
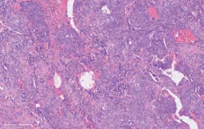
【镜下形态】典型的NUT癌是由小至中等大小的、未分化的、单一形态的细胞构成片状或巢状,细胞核轮廓不规则,具有粗颗粒状的染色质(图2-12)。有时可出现角化灶。需要进行免疫组织化学检测证实存在NUT蛋白核阳性或进行分子检测证实存在NUT基因重排才能确诊。
图2-12 NUT癌
【诊断分子病理学】NUT癌存在15q14的染色体易位。
胸部SMARCA4缺失未分化肿瘤(SMARCA4-deficient undifferentiated tumor,SMARCA4-UT)是一种高度恶性肿瘤,主要累及成人胸部,表现为未分化或横纹肌样表型,缺乏BAF染色质重塑复合体的关键成员SMARCA4。
【ICD-O编码】8044/3。
【ICD-11编码】2C25.Y。
【镜下形态】SMARCA4-UT由弥漫分布的、不均匀的、大而圆的上皮样细胞组成,可具有泡状染色质和明显的核仁,细胞核相对均一,偶可见轻至中度的核异形。常在局灶区见横纹肌样细胞,但在小活检标本中难见。常见核分裂象和坏死。罕见梭形变、黏液样变、硬化、肺泡结构和细胞透明样变。大多数病例缺乏明确的上皮分化(如腺体样、乳头状或角化),但约5%的病例可同时有非小细胞肺癌的组织学形态。肿瘤的特征性SMARCA4(BRG1)表达完全缺失。但约25%的病例见SMARCA4着色的弥漫性减少,而不是完全消失。近期有关于中国人群的研究结果显示,在一部分分化差的非小细胞癌患者中存在SMARCA4(BRG1)表达完全缺失的病例,这类患者以老年男性为主,平均年龄为61.7岁(49~74岁),肿瘤平均直径3.4 cm(2.1~5.4 cm),其组织学类型大多数是异型性大且分化差的非小细胞癌(LCC、肉瘤样癌、不能分类的低分化非小细胞癌等),很少或几乎不表达SCC或腺癌的免疫组织化学标记。肺癌常见的驱动基因突变(EGFR、ALK、ROS1、MET)均为阴性。肿瘤细胞PD-L1的TPS评分除有1例为20%外,其余均为阴性,此例为非小细胞癌的一个特殊类型,应引起高度关注。
【诊断分子病理学】由于免疫组织化学在大多数病例中显示SMARCA4完全缺失,因此基因测序不是诊断所必需的,但基因测序有助于阐明SMARCA4表达减少的意义。