



鳞状细胞前驱病变包括鳞状上皮异型增生和鳞状细胞原位癌(squamous carcinoma in situ,SCIS),起源于支气管上皮,属于气道上皮肿瘤谱的一部分,伴有体细胞遗传性异常的积聚性改变。
【ICD-O编码】
① 8070/2:SCIS。
② 8077/0:轻度鳞状上皮异型增生。
③ 8077/2:中度鳞状上皮异型增生。
④ 8077/2:重度鳞状上皮异型增生。
【ICD-11编码】2E62.2&XH3EA2。
【镜下形态】包括轻度、中度和重度鳞状上皮异型增生以及原位癌。异型增生中,轻度和中度异型增生为低级别,重度异型增生为高级别。
鳞状细胞癌(squamous cell carcinoma,SCC)是一种恶性上皮性肿瘤,其特征是出现角化和细胞间桥,或者形态为未分化的非小细胞癌,免疫组织化学表达鳞状细胞分化标记的非小细胞癌。
【ICD-O编码】8144/3。
【ICD-11编码】2C25.0&XH0349。
【镜下形态】SCC分为角化性SCC、非角化性SCC和基底细胞样SCC。
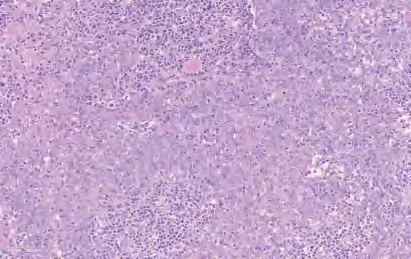
(1)角化性SCC(keratinizing SCC):肿瘤存在角化的形态学特征(如角化珠和细胞间桥)。角化程度随肿瘤的分化程度而变化,在分化较好的肿瘤中角化程度显著,在分化较差的肿瘤中可能只出现局灶性角化(图2-8)。
(2)非角化性SCC(non-keratinizing SCC):是一种缺乏角化的实性非小细胞癌。这类肿瘤的鳞状细胞分化需要经免疫组织化学标记确认(p40、CK5/6阳性)。
(3)基底细胞样SCC(basaloid SCC):肿瘤由缺乏鳞状细胞形态的小到中等大小的细胞组成,细胞质很少但清晰,核分裂象计数高(15~50个核分裂/2 mm 2 ),Ki-67增殖指数高(50%~80%)。肿瘤细胞巢外周常可见肿瘤细胞呈栅栏状排列。肺间质可见玻璃样或黏液样变性。免疫组织化学表达鳞状细胞的标记,基底细胞样成分>50%的SCC(角化或非角化)才能被归类为基底细胞样SCC。
(4)少见组织学亚型:包括梭形细胞亚型、透明细胞亚型及肺泡性充盈模式亚型等。目前还没有建立SCC的分级系统。p40被认为是SCC最特异的标志物,而高分子量细胞角蛋白(CK5/6,34βE12)、桥粒胶蛋白、桥粒黏蛋白和p63是鳞状细胞分化特异性较低的标志物。一些明显角化的肿瘤可能缺乏鳞状细胞标志物的表达。神经内分泌标志物可以偶尔是阳性的(特别是CD56),但如果p40呈弥漫阳性,则肿瘤被归类为SCC。
【诊断分子病理学】目前尚无与临床诊断相关的分子遗传学特点。
淋巴上皮癌是一种伴有不同数量淋巴细胞浸润的低分化鳞状细胞癌,常与EB病毒相关。
【ICD-O编码】8082/3。
【ICD-11编码】2C25.2&XH1E40。
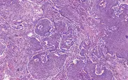
【镜下形态】肿瘤细胞多呈合体细胞样生长,胞质呈嗜酸性,核大、呈空泡状,常伴有嗜酸性核仁。肿瘤细胞呈不规则岛状或弥漫性片状生长,在肿瘤细胞岛内和岛之间有明显的淋巴细胞浸润(图2-9)。在少数情况下,淋巴细胞浸润不太明显,故其形态类似于非角化性SCC。免疫组化染色肿瘤细胞表达CK、CK5/6、p40和p63,显示其具有鳞状细胞分化。p40/p63的特征是呈弥漫阳性,但偶可呈阴性。伴随浸润的淋巴细胞为CD3 + T细胞和CD20 + B细胞的混合。
图2-8 SCC
图2-9 淋巴上皮癌
【诊断分子病理学】EB病毒编码RNA(EBER)的原位杂交检测可证实肿瘤伴有EB病毒感染。