



从影像学的角度来说,胰腺以及胰腺癌的检查方法很多,包括超声、CT、MRI、同位素成像以及传统的腹部X线和DSA等。由于胰腺的位置深藏在腹膜后,周围结构复杂,传统的腹部X线和DSA对其显示效果有限,超声成像简单方便,价格便宜,对胰头的病变显示有一定的作用,但由于肠管的干扰作用,对胰体、胰尾病变的判断较难,且由于分辨率不足,对腹膜后、肠系膜根部的淋巴结转移显示欠佳;同位素成像,主要是PET-CT对胰腺病变的定性及胰腺癌的转移判断有很大价值,是精确术前评估胰腺癌不可或缺的手段,但由于其分辨率尚不足,对胰腺癌的诊断还需有其他影像学,如CT、MRI作为支持,而且,由于其检查较昂贵,限制了其应用。本章节将以目前临床胰腺疾病最常用且效果最好的2种影像学检查方法,即CT、MRI的最新技术为主作介绍。
胰腺是一横置于肾前间隙内的腹膜后位器官,约平T 11 ~L 2 椎体下缘水平或T 12 ~L 3 椎体水平,分头部、颈部、体部、尾部,但各部间无明确分界,通常利用胰周的解剖结构来大致进行区分。腹腔干和肠系膜上动脉通常是胰头、胰体背侧的分界,胰头向后下方绕向肠系膜上静脉的后方为钩突部;胰体向脾门方向走行,走行于脾肾韧带内为胰尾,脾静脉走行于胰体、胰尾背侧,是胰腺的重要定位标志。一般来说,从胰头至胰尾,胰腺是逐渐变细的,但存在个体差异。老年人的胰腺因纤维化及脂肪浸润,体积会稍缩小,边缘亦呈羽毛状改变。胰腺是一富血供组织,胰头部主要由胰十二指肠上、下动脉组成的动脉弓供血,胰体尾部的血液供应主要来自脾动脉,也有少数直接来自腹主动脉的胰背动脉及其分支胰横动脉以及脾动脉的分支胰大动脉和胰尾动脉。这些供血动脉在胰腺组织内进一步过渡到毛细血管、小静脉,进而回流至胰十二指肠上、下静脉和肠系膜上静脉等,最后回流入门静脉。
根据2010年WHO胰腺肿瘤组织学分类,最常见的是导管腺癌,其包括变异型腺鳞癌、印戒细胞癌、胶样癌、间变性癌和伴破骨样巨细胞的简便性癌;其次是胰腺神经内分泌肿瘤、胰腺导管内乳头状黏液性肿瘤伴浸润性癌、实性假乳头状瘤、黏液性囊腺癌、腺泡细胞癌、混合性腺泡细胞-内分泌癌、混合性导管-内分泌癌、浸润性导管内乳头状黏液腺癌伴神经内分泌癌。胰腺癌是一恶性程度较高肿瘤,绝大部分为导管上皮腺癌,极少数起源于胰腺腺泡,就目前的影像学手段,还不能准确区分胰腺癌的病理组织类型。胰腺癌根据部位可分为胰头癌、胰体尾癌及全胰腺癌。胰腺癌血供少,无包膜,容易向周围组织浸润并发生转移。胰腺癌的病死率极高,预后十分不乐观,主要原因是胰腺癌起病隐匿,临床症状不典型,除了发生于胰头部的病变由于引起黄疸能让患者相对早来医院就诊外,胰腺其他部位的癌变均缺乏典型的临床表现,患者就诊时病灶往往较大甚至侵犯周围血管、发生其他脏器转移而失去手术机会,再者,现有的实验室及影像学检查对于发现早期的胰腺癌或者是小的胰腺癌能力有限,为了提高胰腺癌的早期诊断率,新的影像技术的发展是十分必要的。
多层螺旋CT(multi-slice helical CT,MSCT)因其无创、密度分辨率高和可重复检查的优点,近年来已成为诊断胰腺疾病最重要的影像手段。采用容积扫描的方式,在一次屏气后就能完成整个胰腺以及肝脏的扫描并能获得较为清晰的图像,提高了对胰腺病变尤其是小于1cm病灶的检出率。多层MSCT可以根据实际工作需要来选择层厚及层间距,扫描结束重建时仍可重新选择需要的层厚及层间距来最大限度地显示病变。当选择的层间距小于层厚时,所获得的图像即会产生重叠扫描的效果,这点对于显示胰腺小肿瘤尤为重要,如果病灶横跨在两个层面上时显示效果较差,只有当病灶在一个层面的中心上时才能够清楚显示病灶。另外,可以将容积扫描所获得的图像进行任意间隔、任意位置的重建,常用的后处理技术主要有:多平面重建法(multi planar reconstruction,MPR)、遮蔽表面显示法(shaded surface display,SSD)、最大密度投影法(maximum intensity projection,MIP)、曲面重建法(cured planar reformation,CPR)、容积显示法(volume rending,VR)等,这些后处理技术能够从整体上显示病变的结构以及病变与周围结构的关系,给临床提供直观的视角。利用多层螺旋CT进行动态增强扫描,通过对不同时相的选择,可提高对胰腺小病变的诊断率,并进行胰腺癌术前分期、手术切除可能性的评估。增强扫描的同时可以完成螺旋CT血管造影检查(CTA),给临床提供更为直观的胰周血管信息。
(一)检查前准备
一般情况下,患者检查前常规禁食6~8h,检查前0.5~1h口服稀释的水溶性对比剂(1%~3%泛影葡胺溶液)1200~2000mL以充盈小肠和结肠,扫描前再口服400mL~600mL泛影葡胺溶液,必要时右侧卧位5min进一步充盈胃和十二指肠。可使用抗胆碱能药物减少胃肠道蠕动及使胃肠道处于充分扩张状态。虽然临床上进行上腹部CT检查时常用泛影葡胺充盈胃肠道,但有文献报道使用阴性对比剂如清水等对于显示胰腺与周围结构关系效果更优,因有助于鉴别胆道系统阳性结石以及与胃肠道相邻的脏器钙化病灶,而且使用阳性对比剂会影响CT增强扫描对胰周动静脉的观察。
1.患者体位与扫描范围 仰卧位,从剑突到脐,相当于T 11 ~L 2 椎体下缘水平或T 12 ~L 3 椎体水平,应因人而异,把胰腺头、体、尾组织包全为准,通常扫描范围应包括全部肝脏以评价是否存在肝内转移灶。训练患者呼吸,于吸气末屏气进行扫描,必要时加用腹带。
2.胰腺平扫、增强扫描及其表现 从头侧向足侧,亦可反方向。以10mm层厚,间隔连续扫对胰腺进行平扫定位,对感兴趣区加做3~5mm薄层扫描,或可用更薄层如薄层层厚为1mm的增强扫描。
在横断面图像上,胰腺呈弯曲的带状结构,自胰头至胰尾逐渐变细,部分正常人胰尾部可肥大。胰腺密度均匀,年轻者胰腺边缘多光滑,年长者因胰腺组织萎缩且脂肪浸润,胰腺体积会缩小且密度会减低,边缘呈羽毛状改变。CT平扫正常胰腺实质与肝实质相比,呈等密度或稍高密度,老年人呈等或稍低密度,胰管一般情况不可显示,少数情况下可见纤细弯曲走行管道影,呈低密度。平扫主要观察胆道系统结石、胰腺内钙化灶以及是否存在出血,同时可以观察胰腺形态及密度改变,后者是胰腺病变诊断的依据。
增强扫描采用自动压力注射器,经肘静脉注射碘对比剂100~160mL,注射速率为3~4mL/s,并选择适当浓度,Fenchel等人曾比较过400g/L和300g/L 2种浓度的碘对比剂对胰腺多层螺旋CT检查的显示效果,结论是高浓度的对比剂在动脉期更有利于动脉血管的显示。有学者报道,对比剂的浓度以及流速与胰腺的强化程度是呈一定的正相关的。扫描方法包括双期薄层扫描和三期薄层扫描,亦有文献报道采用四期扫描。双期扫描方案大致可分为以下2种:①动脉期和门脉期;②实质期和肝脏期。动脉期时间为20~30s,胰腺期时间为30~40s,门脉期或肝脏期时间为60~90s;三期扫描方案包括动脉期、门脉期、延迟期,扫描时间分别为20~25s、30~35s和60~70s。
(二)胰腺癌的CT表现
胰腺癌的CT表现主要包括形态以及密度的改变。胰腺正常轮廓中断、正常形态消失,局部增大或者形成突出于胰腺轮廓外的肿块,边缘可(或不)呈分叶状。病灶远端胰腺实质萎缩,胰管中断伴远端胰管扩张。肿瘤较小时多数呈均匀等密度,肿瘤较大时其内可见发生不规则的边缘模糊的液化坏死区,呈低密度。
胰腺癌是一乏血供肿瘤,一般来说动脉期强化不明显,而此期周围正常胰腺实质强化亦不明显,两者间密度对比不利于发现肿瘤,但是动脉期胰周动脉强化明显,可以根据血管受累程度来判断手术切除的可能性;胰腺期胰腺实质强化明显,与胰腺内乏血供肿瘤产生明显对比,这对于检出乏血供病灶意义较大;门脉期或肝脏期胰周静脉和肝脏明显强化,进一步评价胰腺病变的血供情况、胰周静脉是否受累及受累程度、是否发现肝内转移灶等。
对于胰腺增强扫描期相的选择仍存在争议Fishman等人认为,动脉期时胰腺实质与肿瘤组织对比密度差最大;亦有学者认为门脉期对于胰腺病灶的检出优于动脉期。根据实际工作经验,对于怀疑胰腺癌但病灶较小者,应行门脉期扫描;对于明确胰腺癌诊断需进行临床分期选择治疗方法者,同时进行动脉期扫描是有必要的。
胰腺癌向周围胰腺实质浸润时表现为病灶与周围胰腺实质分界不清;浸润周围脂肪间隙时表现为正常脂肪密度不均匀增高,边缘模糊,甚至形成软组织肿块影;侵犯邻近血管时(如肠系膜上动脉、脾动脉)可导致血管移位,或包埋血管致其形态不规则、走行僵硬、中断或有癌栓形成,增强扫描主要表现为血管管壁欠光滑,边缘呈结节状改变,血管中断,或其内见低度至中度不均匀强化的充盈缺损影。理论上动脉期、门脉期及延迟期分别对显示动脉、门静脉及下腔静脉系统较优,可清楚显示受累程度,但这与扫描时间的选择、胰腺微循环的改变有关,因此,总的来说,各期相的选择以及延迟扫描时间应根据具体情况而具体分析。具体图示详见图8-1至图8-3。
1.螺旋CT血管造影检查(CTA)利用多层螺旋CT进行胰腺增强扫描,可以同时完成螺旋CT血管造影检查。文献报道,进行CTA重建时一般采用动脉期和门脉期两时相的数据。将这两时相的原始图像传输至计算机后处理工作站并重建后可获得动脉和门静脉系统的三维图像。重建方法主要包括曲面重建法(cured planar reformation,CPR)、容积显示法(volume rending,VR)、最大密度投影法(maximum intensity projection,MIP)、遮蔽表面显示法(shaded surface display,SSD)、多平面重建法(multi-planar reconstruction,MPR)等,各重建方法各有优势。SSD及VR均能较好显示血管轮廓及整体情况,而且对于血管解剖变异的显示较为直观,更容易让外科医生接受;MRP能显示病灶对周围血管(癌栓)、脂肪组织以及周围脏器的累及情况;MIP则能较好地显示血管的细小分支以及血管腔内情况。CTA作为一种无创检查,现已普遍应用于临床,对临床外科的价值在于协助判断临床分期,对于胰腺癌与血管的关系,目前比较公认的判定标准为:①肿瘤凸向血管的程度:Loyer等人将胰腺癌与血管的关系分为6型。A型,肿瘤与血管之间的脂肪层仍可见;B型,肿瘤与血管之间有正常胰腺组织分隔;C型,低密度肿瘤与血管以凸面相接触;D型,低密度肿瘤与血管以凹面相接触或肿瘤部分包绕血管;E型,肿瘤完全包绕血管;F型,肿瘤栓塞血管。A型、B型可以切除;C型、D型有切除的可能性,需根据术中血管切除,静脉移植或补片的情况而定;E型、F型为不可切除。②肿瘤包绕血管的程度:Lu等人将胰腺癌与血管的关系分为0~4级。0级,未包绕;1级,<1/4周径;2级,1/4~1/2周径;3级,1/2~3/4周径;4级,>3/4周径。肿瘤包绕血管周径的1/2作为胰腺癌能否切除的分界点。③血管狭窄程度:分为O~3级。O级,无狭窄;1级,变扁;2级,狭窄;3级,阻塞/血栓形成。胰腺癌能否切除的分界点定在血管狭窄程度的1级与2级之间。④血管边缘不规则:不存在,存在。前者认为可切除,后者认为不可切除。Nakayama等人认为其特异性达100%,但其敏感度不足20%。按以上4项标准,其中如有1项达到不可切除的定义范畴,影像学判定为胰周血管受侵。Phoss SS等人认为联合应用胰周静脉的狭窄(Loyer的血管关系D型、E型)和肿瘤包绕管腔>90%的血管评价标准较为可靠,以此作为侵犯标准,敏感度为60%,特异度为90%。
图8-1 正常胰腺CT平扫+三期增强扫描
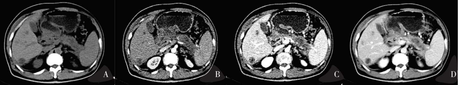
图8-2 胰腺癌影像
图8-3 胰腺癌影像,伴发肝内转移
图8-1A平扫期:胰腺密度与肝脏及脾脏相近,胰腺轮廓光滑,边界清楚,呈弯曲走行;图8-1B动脉期:胰腺实质明显强化,强化程度高于同层面肝实质,胰周动脉亦明显强化;图8-1C门脉期:胰腺实质仍维持明显强化,强化程度较同层面肝实质稍低,门静脉、脾静脉及肠系膜上静脉强化;图1d延迟期:胰腺实质强化程度下降,下腔静脉及肝静脉强化。
图8-2A、图8-3A平扫期:胰体尾正常形态消失,呈局限性增大,病灶平扫呈不均匀低密度改变,边界较清楚;图8-2B:病灶强化不明显,在周围正常强化胰腺实质对比下呈不均匀低密度,胰周动脉强化,其中图8-2B显示病灶包容肠系膜上动脉及脾动脉;图8-2C门静脉期:病灶边缘呈轻度不均匀强化,与周围胰腺实质相比仍呈低强化,门静脉、肠系膜上静脉及脾静脉强化;图8-2D延迟期:病灶仍呈低强化。
图8-3显示肝内转移。图8-3A平扫期:肝内转移灶呈低密度;图8-3B动脉期:病灶中央强化不明显,边缘似呈轻度环形强化;图8-3C、图8-3D门静脉期+延迟期:肝实质明显强化,与肝内转移灶密度产生明显对比。
2.多层螺旋CT灌注成像 利用CT灌注成像评价组织器官的血流灌注情况这一理念是1979年由Axel首次提出,由于扫描技术不成熟而限制了其使用。随着多层螺旋CT技术的发展及日趋成熟,CT灌注成像已逐步于临床上普及,现主要集中于中枢神经系统或者部分肝脏肿瘤中,其他部位病变的灌注成像仍有待进一步研究。CT灌注成像技术的基本原理是组织器官内血流灌注量决定了对比剂聚集的浓度,对比剂浓度的多少间接反映了组织密度变化的差异,通过检测组织密度间的差异,经过一定的处理而得到组织的血流灌注图。胰腺是一个血供丰富的器官,多种胰腺疾病均会影响其微循环灌注情况,CT灌注成像恰恰是利用这一点来反应胰腺病变早期的功能学改变。由前所述可知,胰腺主要是有胰十二指肠动脉和脾动脉供血,其时间密度曲线(time-density curve,TDC)与腹主动脉是一致的,所以行胰腺CT灌注检查时,选取腹主动脉为输入动脉,腔静脉、门静脉或肠系膜上静脉为输出静脉。首先使用轴扫方式进行常规平扫,确定需要的起止层面,要求应包括胰头、胰体、胰尾;使用快速团注法,经肘正中静脉注入非离子型对比剂,对选定的层面进行动态扫描,记录该层面内每一像素密度与时间的变化的动态关系,选取感兴趣区(region of interest,ROI)并由此绘制成时间-密度曲线,通过数学模型转换、图像重组及仿真色彩处理等一系列后处理程序,最终得到组织器官的彩色灌注图像,从而间接地评价组织器官的血流灌注情况。感兴趣区的选取应在避免部分容积效应影像的前提下,尽量选择大的ROI以减少光子噪声;另外,ROI的选取也应尽量避开胰腺边缘、血管、胰管以及胆管等结构。主要观察指标有血流量(blood flow,BF);血容量(blood volume,BV);平均通过时间(mean transit time,MTT);表面通透性(pemeability surface area product,PS)。
选用的数学模型主要有非去卷积模型和去卷积模型,有研究者还利用最大斜率法对灌注参数进行了评价,由于去卷积模型偏差相对较小,现多普遍选用此灌注算法。
根据文献报道,对比剂的使用剂量为40~50mL,多个文献报道采用的是50mL,注射对比剂后可追加20mL生理盐水冲洗静脉,另亦有文献报道在灌注扫描结束后,间隔2min追加对比剂80mL进行常规增强扫描。根据灌注算法的不同,采用的对比剂注射流率4~8mL/s不等,对于不同的疾病,灌注流率也应适当选择,例如对于缺血性脑卒中患者曾有学者使用注射流率20mL/s。使用18-21G注射针,注射前对比剂需加热至37℃。扫描层厚5~10mm不等,薛华丹等人选用3mm的层厚,另多位学者选择5mm和10mm的层厚,薛华丹的研究测量的标准差相对值在同类研究中是最小的,这提示小的层厚有利于提高结果的精确性。层间隔0,管电压120kV,管电流60~300mA,注药后延迟5~15s,每次扫描时间为1s,扫描周期为1s,数据采集45~50s。为保证图像质量,应对被检查者训练呼吸后屏气进行扫描,对于恶性病变晚期或有心肺疾患、无法呼吸配合者必要时应加用腹带。
目前,关于胰腺CT灌注正常和异常的参数国内外文献尚无统一标准,多位学者报道的正常胰腺血流灌注均有出入,这可能与各医院所采用的扫描方式,各厂家所提供的商业软件包以及来自患者(如年龄、性别、病变部位)的差异等综合因素有关,因此,胰腺CT灌注指标的相对值可能更具有临床意义。对于病变胰腺,如胰腺癌、胰岛细胞瘤、急性胰腺炎及慢性胰腺炎等同样存在着上述问题。胰腺癌是乏血供肿瘤,多位学者报道胰腺癌患者的血流量、血容量均减低,表面通透性增高,而MTT与正常胰腺组织的关系各文献报道结果未达一致,因此,CT灌注成像用于胰腺癌的诊断与鉴别诊断尚处于初步得研究阶段,有待进一步研究和积累经验。
随着磁共振成像(magnetic resonance image,MRI)技术的日趋成熟,MRI在胰腺疾病的诊断方面越来越体现出巨大作用和潜力。与CT相比,MRI对胰腺肿瘤的检出有其独特的优势,以下情况应考虑行MRI检查:CT可疑胰腺病变但不明确者;对慢性胰腺炎、复发性胰腺炎与胰腺肿瘤之间的鉴别;评价腹内脏器(如胰腺、肝脏、脾脏等)的铁沉积情况;对CT的非离子型造影剂过敏者等。胰腺磁共振成像序列丰富,各序列有其不同的组织对比机制以及显示病变特点的侧重点不同,因此各序列间起着相互补充、联合应用于诊断的作用,互相不可替代。
(一)T1WI和T2WI及其脂肪抑制成像(fat suppress,FS)
T1WI成像及T1WI-FS对胰腺疾病的诊断尤为重要。快速小角度激发成像(FLASH)序列T1加权(TIWI)成像,由于其成像速度相对于常规SE-T1WI加权成像序列快,呼吸运动少,且图像质量好,现已常规用于胰腺MRI扫描中。在FLASH -T1WI上,胰腺与肝实质相比是呈略高信号或等信号,以前者更为常见,有学者认为这与胰腺腺泡细胞内含丰富的内质网组织和水溶性蛋白有关,但是胰管在FLASH -T1WI像上呈低信号却与此说法不同,因此这一机制仍有待探讨。FLASH -T1WI像上胰腺周围脂肪明显高信号,这对于显示胰腺癌向周围侵犯及淋巴结肿大有明显优势,但同时高信号的脂肪与胰腺信号间界面会产生伪影,加之不可避免的呼吸运动伪影,这些均会影响胰腺疾病的观察,尤其是影响胰腺内小病灶的轻微信号改变的观察。
FLASH-T1WI的脂肪抑制序列能很好地把胰腺内部及其周围脂肪信号抑制,正常的胰腺组织呈高信号,胰腺癌多数呈低信号,两者间组织信号对比差异增大,亦无周围脂肪高信号影响,大大提高了胰腺癌诊断的敏感性。快速自旋回波序列FSE-T2WI对显示胰管内积液、胰周积液、部分胰腺肿瘤(如胰岛细胞瘤)及胰腺癌转移灶效果理想,在FSE-T2WI上正常胰腺组织相对于肝脏来说呈等信号或略高信号,胰腺癌则信号多样,而在FSE-T2WI-FS上,正常胰腺组织呈低信号,胰腺癌呈明显高信号,因此,相对于FSE-T2WI来说,FSE-T2WI-FS显示效果更优。有些情况下,如年老体弱者和小孩、心肺严重疾患等患者,无法很好地控制呼吸时,可选用单次激发的自旋回波T2WI序列,此序列成像速度快,但是图像质量相对较差,临床工作中应酌情选用。胰管于T1WI呈低信号T2WI呈高信号,走行自然稍迂曲管道影。总的来说,FLASH-T1WI-FS及FSE T2WI-FS均能提高胰腺癌的诊断率,而FLASH-T1WI序列对显示胰腺癌对周围脂肪侵犯及淋巴结转移情况效果较为理想,因此,此3种序列应常规用于胰腺病变检查中。
(二)MRI增强扫描
胰腺MRI增强检查中主要涉及动态增强扫描及使用胰腺相对特异性对比剂增强扫描。现今临床上常用的动态增强扫描序列主要是在序列FLASH-T1WI-FS基础上的动态增强。检查前常规禁食6~8h,有学者报道检查前15min和30min分别口服硫酸钡对比剂150mL,上检查床后右侧卧位5min以充盈胃及十二指肠,必要时可肌内注射抗胆碱能药物,减少胃肠蠕动,这可提高胰头病变的检查率。对比剂选用钆喷替酸葡甲胺(Dd DTPA),成人常规剂量为15~20mL,精确的剂量以及对于小孩使用的剂量为0.1~0.2mmol/kg,注射速率2~3mL/s。动态增强扫描包括动脉期、门脉期、延迟期,扫描时期分别为25s、60s、120s。胰腺癌的肿瘤实质是分布在胰腺纤维间质和正常胰腺组织之间的,其血供情况与肿瘤实质量、纤维间质多少、残留正常胰腺组织量以及坏死组织坏死的程度有关,胰腺癌相对于正常胰腺组织是少血供的,动脉期大部分胰腺癌强化不明显,而实质期在周围正常胰腺组织明显强化的衬托下,相对低强化的肿瘤组织显示更为明显,延迟期较大的肿瘤趋向于低信号,中央坏死区始终不强化,而相对小的肿瘤则信号多样,可为低信号、等信号或稍高信号。行胰腺动态增强时,扫描范围应包括肝脏,以便提高肝内转移灶及淋巴结转移情况的诊断率。有研究者利用3.0TMR配合体部相控阵专用线圈,同时采用肝脏容积加速采集(LAVA)技术,在最短的时间内获得了全胰腺九期动态增强扫描序列。通过对正常胰腺不同部位、胰腺病变区域与非病变区域、胰腺病变区域与正常胰腺间的30s强化率(SER 30 )、90s强化率(SER 90 )、阳性强化积分值(PEI)、达峰时间(TTP)、最大强化斜率(MSI)等指标的评价。认为正常胰腺的不同部位间不存在灌注差异;胰腺癌病变区域与非病变区域灌注情况存在统计学意义,而这种异常可能与阻塞性炎症或者是肿瘤浸润情况有关;胰腺癌非病变区域与正常胰腺间TTP的差异可能反映潜在病变的可能,这提示临床不仅需要切除肿瘤本身,还应切除临近相关异常区域。另外,此研究认为增强50~60s后扫描,病变区域与非病变区域对比最明显。另一种增强扫描方式是使用Mn-DPDP,胰腺腺泡细胞具有较为明显的摄取Mn-DPDP及其代谢产物的特性,正常的胰腺组织在注射此对比剂后呈显著强化,这种摄取Mn-DPDP的特性直接与胰腺腺泡功能有关,而胰腺癌的腺泡功能是受损的,因此可根据此原理进行胰腺病变的检查诊断。相对于胰腺的相对特异性来说,Mn-DPDP更是一种肝脏特异性对比剂,肝脏特异性摄取后显著强化,这非常有助于肝脏转移灶的检出。按0.5mL/kg剂量,2~3mL/min的速率经肘前静脉滴注Mn-DPDP,注药结束后5~40min内每5min进行扫描,24h后再扫描一次。据相关文献报道,注药后5min胰腺即开始强化,于35min达到最大值,而后开始极为缓慢地下降,相对于Gd-DTPA来说,胰腺强化最大值与动态增强的门脉期接近,较动脉期低,较延迟期高。使用Mn-DPDP对比剂进行胰腺增强扫描比较适用于配备中低场MR设备的医院,对于评价肝脏转移情况有较大优势;但是此增强扫描方式时间较长,且对血管强化欠佳,不能很好地提供胰腺癌侵犯血管的情况以及术前切除性的评估,因此,临床上并未普遍使用。
(三)脂肪抑制序列三维动态增强磁共振血管成像(3D-DCE-MRA)
使用Gd-DTPA行动态增强扫描时即可同时获得腹部血管的磁共振成像,通过最大密度投影(MIP)和容积显示法(VR)来显示动静脉系统。MRA主要是显示胰腺癌侵犯胰周血管情况、肿瘤分期以及术前评估肿瘤切除可能性的大小,MRA最大的优势是显示门静脉系统及侧支循环情况,多层螺旋CT的CTA擅长显示动脉系统,两者结合使用可最大程度地显示胰周血管情况。
(四)磁共振胰胆管成像(MRCP)
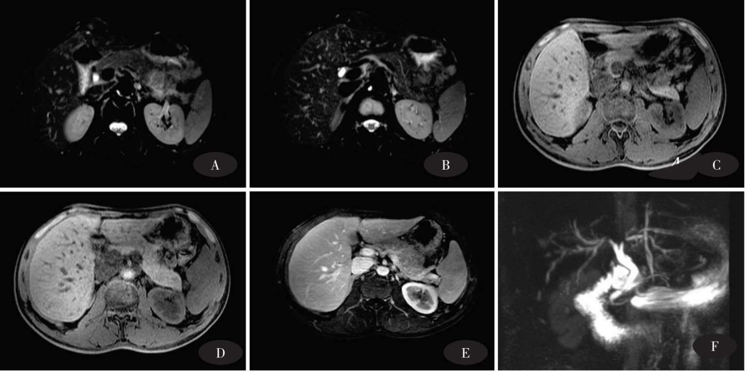
单次激发的自旋回波序列除了应用于快速扫描的T2WI像上,还主要应用于显示胆道系统及胰管的MRCP上。实质上是重构T2像,胆道系统及胰管因含不流动的液体呈明显高信号,周围软组织及流动的血液呈明显低信号,明显的组织信号对比使得能够很好地对胆管、胰管进行观察,需注意的是,MRCP对显示微细管道结果的效果仍欠佳。胰管或胆总管胰腺段突然截断,其远端胆管、胰管中度、重度扩张,即“双管征”“软藤征”的出现强烈提示胰腺癌的可能。而其他炎性病变及良性肿瘤性病变虽可造成胰胆管扩张,但程度以轻度、中度为多。Icihkawa等人根据胰管形态的改变把其分为4型5类:Ⅰ型为主胰管阻断伴远端胰管的扩张或不扩张;Ⅱa型为病变段胰管狭窄并有胰管壁的不规则改变,Ⅱb 型为病变段的胰管狭窄但无管壁的不规则改变;Ⅲ型为整个胰管扩张但无明确的狭窄;Ⅳ型定义为主胰管正常。Ⅱb型和Ⅳ型多提示胰腺炎性肿块(inflammatory pancreatic mass,IPM),而Ⅰ型和Ⅱa型多提示胰腺恶性病变。MRCP能多轴多角度立体地评价胰胆管系统,特别适用于急性胰腺炎、相关术后需早期观察胰胆管情况、ERCP失败后、存在ERCP禁忌证等患者。另外,当胰管阻塞,MRCP还能显示其远端胰管情况,而ERCP无法显示。在诊断层面上,MRCP基本上可以媲美ERCP,但ERCP能治疗不同原因造成的胰管阻塞或狭窄,因此,MRCP仍不能代替ERCP(图8-4,图8-5)。
图8-4 正常胰腺MRI平扫+增强
图8-4A、图8-4B FSE-T2WI-FS:正常胰腺信号较同层面肝脏稍高,轮廓光滑,边界清楚,走行迂曲;胰管呈高信号纤细管道影。图8-4C、图8-4D FLASH-T1WI-FS:正常胰腺与同层面肝脏相比呈等信号或稍高信号;胰管呈低信号纤细管道影。图8-4E T1WI-FS增强期:胰腺呈均匀强化,强化程度接近同层面肝实质。图8-4F MRCP:肝内胆管及肝外胆管呈均匀高信号,胆管走行迂曲,边缘光滑,微细胆管显示欠佳;胃肠道黏膜呈高信号。
图8-5 胰头癌MRI平扫+增强+DWI+MRCP+MRA
图8-5A FSE-T2WI-FS:病灶呈不均匀高信号改变,边界不清。图8-5B FLASH-T1WI-FS:病灶呈不均匀低信号改变,胰管扩张呈低信号。图8-5C FLASH-T1WI-FS+C:病灶呈不均匀轻度强化。图8-5D、图8-5E DWI:病灶呈明显弥散受限,边界不清。图8-5F MRCP:肝内胆管及肝外胆管明显扩张,呈“软藤征”改变。胰管扩张,与扩张胆总管呈“双管征”改变;图8-5G、图8-5H MRA:门脉明确受侵、缩窄。
(五)磁共振波谱(magnetic resonance spectrum,MRS)
MRS技术是通过分析分子水平的代谢产物变化,来间接反映活体组织的代谢情况。胰腺癌血供少,代谢过程中产生大量脂肪酸,虽然这种缺血缺氧状态会导致癌组织的脂肪变性,且癌组织可进一步取代正常胰腺组织,因此,相对于正常胰腺组织来说,胰腺癌的胆碱复合代谢物及脂肪含量均低于正常胰腺组织。有研究者以非抑制水的MRS峰下面积作为内部参照物,对胰头癌的其他代谢产物作相对定量分析,结论是正常胰腺的脂水峰下面积比(6.754×10 -3 ±0.007)与胆碱内参水峰下面积比(1.897×10 -3 ±0.002)统计学上高于胰腺癌[(3.162×10 -3 ±0.004), P =0.039;(0.544×10 -3 ±0.001), P =0.000013];正常胰腺的脂肪酸与脂类代谢物峰下面积比(40.349×10 -3 ±0.057)统计学上小于胰腺癌[(102.904×10 -3 ±0.140), P =0.028]。
另有研究者对急性水肿型胰腺炎、慢性胰腺炎和胰腺癌的胆固醇和不饱和脂肪酸的混合峰(Chol+Unsat)与脂肪峰(Lip)峰高的比值[(Chol+Unsat/Lip)]进行了统计分析,得出的结果分别为0.179±0.056、0.274±0.099 和0.325±0.187,急性水肿型胰腺炎与慢性胰腺炎及胰腺癌间(Chol+Unsat)/Lip比较,其差异有统计学意义( P <0.05),而慢性胰腺炎与胰腺癌之间该比值的差异无统计学意义( P =0.712),研究认为这一比值对鉴别急性胰腺炎与慢性胰腺炎及胰腺癌有一定参考价值。黄文才等研究者通过单体素1 H-MRS检查,对胰腺癌的脂质相对含量(relative lipid,rLip)和胆碱类代谢物/谷氨酸盐复合物比值(cho1ine-containing metabolites,CCM/Glumate+Gluta-mine,Glx;CCM/Glx)进行定量分析,并与肿块型胰腺炎和正常胰腺比较。胰腺癌CCM/Glx(0.367±0.094)低于肿块型慢性胰腺炎(0.446±0.039, P =0.011)和正常胰腺(0.592±0.233, P =0.007);胰腺癌rLip值(0.420±0.164)也低于正常胰腺(0.645±0.396)和肿块型慢性胰腺炎(0.725±0.059),并认为rLip以0.647作为截点值来鉴别胰腺癌与肿块型胰腺炎的敏感性和特异性分别为90.9%和92.6%。各文献报道的胰腺癌MRS分析观察指标及指标绝对值并不统一,而且各研究选取的患者及研究方法存在差异。胰腺MRS成像目前受干扰的因素较多,因此,现阶段MRS分析对胰腺癌的诊断仅能提供一定意义的参考价值,仍然需大样本量及有待MRS成像技术进一步完善来提高对胰腺癌诊断和鉴别诊断的敏感性和特异性。
(六)磁共振弥散加权成像(diffusion-weighted imaging,DWI)
DWI是基于水分子的布朗运动,在分子水平间接反应活体组织的病理生理状态和功能学改变。多年来已普遍适用于头颈部及腹盆腔器官的检查。分子弥散导致了MR信号的丢失,而弥散受到限制的分子在MR呈高信号,DWI中常规使用的两参数为梯度因子(b值)以及表观弥散系数(ADC值)。在活体组织中,ADC值与水分子的弥散运动、毛细血管内血液的微循环、细胞的密度、纤维成分及量有关。一般来说,b值越小,弥散效应受微循环影响较大,且T2“透射效应”越明显,ADC值较高,因此理论上说,b值越大,ADC值越小越接近真实值。对于胰腺癌、癌周正常胰腺组织、病变远端炎症、胰腺炎及正常胰腺组织,多位学者进行过相关研究,但结论并不一致。陈锦秀等使用0、400、600、8004个b值分别对胰腺癌、癌周胰腺组织、正常胰腺组织以及慢性肿块型胰腺炎分别做了研究,ADC值由低到高的顺序为胰腺癌、正常胰腺组织、癌周胰腺组织,各b值下均有统计学意义;而仅在b=800时,胰腺癌与慢性肿块型胰腺炎ADC值才有统计学意义,且前者较低。另一些学者选用0及6002个b值,得出ADC值从低到高依次为胰腺癌、正常胰腺组织、远端炎症及癌周胰腺组织。而姚秀忠等亦是选用0和6002个b值,ADC值由低至高为肿块型胰腺炎、胰腺癌及正常胰腺组织。总的来说,各学者均认为胰腺癌的ADC值较正常胰腺组织低。胰腺癌的病理特征是恶性肿瘤细胞伴有较多的炎症细胞以及纤维结缔组织增生、粘连。细胞膜、核浆比、细胞器成分及量、纤维溶质成分以及恶性肿瘤细胞的密度均会影响水分子的弥散受限,因此癌组织内细胞及间质的成分不同ADC值也不尽相同,当细胞数目及致密纤维占主要组成部分时,ADC值较正常胰腺组织低;如果水肿或胶原纤维占主要成分时,ADC值较正常胰腺组织高。癌巢远端的炎症、慢性肿块型胰腺炎的ADC值与炎症所处阶段有关。癌巢远端的胰腺组织可能因为肿瘤的阻塞导致组织渗出、水肿而成急性炎症改变,因此ADC值较正常胰腺组织高。而慢性肿块型胰腺炎主要由自身免疫性以及慢性胰腺炎所致,前者是淋巴细胞、浆细胞等慢性炎性细胞浸润伴周围胰腺组织纤维增生,后者是指纤维化的肉芽组织增生。理论上来说这种慢性肿块型胰腺炎主要是由于细胞密度较低以及纤维组织大量增生而导致了ADC值的降低,但具体情况仍然是由胰腺炎所处的炎症阶段决定,如果这种肿块型胰腺炎渗出较多则ADC值较高,如果纤维成分较多则ADC值较低。DWI作为一种无创性磁共振功能序列,为胰腺病变的鉴别诊断提供了一定的参考价值,但各胰腺病变的统一参考指标及绝对值尚未达到统一意见,这方面仍有待进一步研究。
胰腺癌诊断可分为胰头癌、胰体尾癌和全胰腺癌。胰腺癌的可切除性需综合考虑肿瘤大小、胰周组织器官浸润、转移灶的多少、主要大血管受侵犯情况等。胰腺癌的分期主要根据AJCC提出的TNM分期法,2011年《NCCN胰腺癌临床实践指南》(中国版)较前版增加了MRI用于术前影像学评估,增强MRI可以用于对CT造影剂过敏的患者,同时还可作为CT的补充检查方法,更好地诊断胰腺外病变。同时,2011年《NCCN胰腺癌临床实践指南》(中国版)更加详尽客观地阐述了PET-CT的作用,将旧版中“如果CT结果模棱两可,可考虑PET扫描”更新为“PET-CT扫描的作用仍不明确。在高危患者中,可在常规胰腺CT检查后考虑使用PET/CT扫描,以便检出胰腺外的转移灶。PET-CT不能代替高分辨率增强CT。”
新版TNM分期如下:
T 原发肿瘤
Tx:原发肿瘤不能确定
T0:无原发肿瘤证据
Tis:原位癌
T1:肿瘤局限于胰腺,直径≤2cm
T2:肿瘤局限于胰腺,直径>2cm
T3:肿瘤侵犯胰腺周围组织,但未累及腹腔干及肠系膜上动脉(强调可切除性的解剖因素,累及CA和SMA即为T4,所有其他胰外侵犯均为T3)
T4:肿瘤侵犯腹腔干及肠系膜上动脉(不能切除原发灶)
N 区域淋巴结
NX:局部区域淋巴结转移不能确定
N0:无局部淋巴结转移
N1:有局部淋巴结转移(对阳性淋巴结的数目不作区别)
M 远处转移
M0:无远处转移
M1:有远处转移
分期
0期:TisN0M0(原位癌)
ⅠA期:T1N0M0(局限于胰腺内,可手术切除)
ⅠB期:T2N0M0(局限于胰腺内,可手术切除)
ⅡA期:T3N0M0(可能切除,可累及胰周组织、静脉、脾脏、肝动脉,但不累及CA和SMA)
ⅡB期:T1N1M0,T2N1M0,T3N1M0(可能切除,可累及胰周组织、静脉、脾脏、肝动脉,但不累及CA和SMA)
Ⅲ期:T4,任意 N分期,M0(局部晚期,不可切除)
Ⅳ期:任意 T、N分期,M1(有远处转移,不可切除)
运用新的成像技术,比如多层螺旋CT的容积扫描、MRI薄层压脂扫描及DWI技术,大大提升了胰腺癌原发肿瘤最小体积的发现率,肿块直径1cm左右即可发现,运用MRI压脂与非压脂序列,胰腺癌的胰腺旁浸润显示也有所提高。正如前文所提到的,无论CTA或增强MRA对胰腺癌侵犯腹腔大血管,如腹主动脉干、肠系膜上动脉及门静脉等的侵犯方式、程度和范围都能很好地显示,大大提高了分期的准确性。运用DWI技术,明显提高了腹腔淋巴结肿大的发现率,但其特异性尚需进一步研究、提高,目前,临床可用于术前筛查。同样的,DWI技术可用于胰腺癌的全身转移筛查,因其无射线或其他副作用,操作也较简便,在一定程度上可替代PET-CT,特别是那些不适宜行PET-CT检查的患者。
胰腺癌在鉴别诊断中需与以下几种疾病鉴别,包括:急性胰腺炎、慢性胰腺炎、胰腺功能性内分泌肿瘤、胰腺囊腺瘤和囊腺癌等。
(一)急性胰腺炎
急性胰腺炎主要由于胆总管及胰管壶腹部出口梗阻,导致胰蛋白酶原溢出至胰腺间质及胰周组织内而被激活为胰蛋白酶,后者进一步消化自身组织,主要分为病情较轻的急性水肿性胰腺炎以及病情较重的急性出血坏死性胰腺炎。出血坏死型胰腺炎的胰腺实质局限性或广泛性出血和坏死,伴有特征性胰周广泛脂肪组织坏死等。急性胰腺炎的诊断除了依靠临床表现、体征以及相关实验室检查外,影像学已成为不可缺少的诊断方法。急性水肿型胰腺炎在影像学上表现为胰腺局限性或者是全胰腺增大,轮廓模糊,CT表现为胰腺密度均匀或不均匀减低,MRI上T1WI呈低信号,T2WI呈稍高/高信号改变。出现胰周渗液时,胰周脂肪内模糊,CT上呈比脂肪稍高的密度改变,MRI上T1WI呈低信号,T2WI呈高信号,边界欠清,即所谓的“脏脂肪”征。T2压脂序列能敏感地显示少量胰周积液。但需注意的是,少数急性胰腺炎在形态及密度/信号上与正常胰腺无明显差别,甚至是动态增强扫描其强化模式及程度与正常胰腺相似。急性出血坏死性胰腺炎胰腺明显肿胀,轮廓模糊,CT平扫密度明显不均匀减低,局部可见灶状或片状更低密度坏死区,有时可见小片状高密度出血灶。MRI上胰腺信号混杂,T1WI呈不均匀低信号,T2WI呈不均匀高信号,合并坏死时,T1WI信号更低,T2WI信号更高。出血及血性积液在T1WI和T2WI上均表现为较高信号。增强扫描胰腺强化程度较正常胰腺明显下降且呈不均匀强化、坏死及出血区不强化。急性胰腺炎因病变范围广,胰周多有渗出,再加上临床表现和实验室检查,多不难与胰腺癌鉴别。但胰腺炎表现为局限性胰腺肿大时,与胰腺癌鉴别就很重要,两者均可表现为均匀或不均匀低密度或混杂信号改变,边界欠清晰,但胰腺癌多有包绕大血管的倾向,增强扫描胰腺癌有其相对特征性的强化方式,少有胰周积液、胰周脂肪层坏死、肾前筋膜增厚等,DWI成像上胰腺癌弥散明显受限,再结合临床病史及相关实验室检查可做出鉴别。
(二)慢性胰腺炎
是由各种原因造成胰腺局部或弥漫性的慢性进行性炎症,导致胰腺实质和胰管组织的不可逆性损害,并伴有胰腺外分泌和(或)内分泌功能的障碍。胰腺组织在反复的损害和修复过程中,逐渐被纤维肉芽组织代替,最终会出现一系列相对特征性的表现,包括直接征象与间接征象。直接征象:胰腺萎缩钙化、假性囊肿、胰管扩张与闭塞、肿块;间接征象:胰周筋膜增厚与腹腔内广泛粘连、胰周脂肪层改变、胆道梗阻性扩张、腹部淋巴结肿大、腹水。慢性胰腺炎可累及整个胰腺,也可局限在胰头。整个胰腺的慢性胰腺炎表现为胰腺萎缩,密度及信号减低;沿胰管走行分布散在的、多发的小钙化灶;胰管呈不同程度的扩张或扭曲,表现为跳跃状或串珠状,也可呈均匀扩张。胰管内可有小结石,T2WI及MRCP能够清晰显示扩张胰管,呈明显高信号影。
弥漫性的慢性胰腺炎与胰腺癌较易鉴别,但局限于胰头部的慢性胰腺炎,亦即胰头部假肿瘤性胰腺炎,与胰头癌鉴别较为困难。一方面是前者影像表现缺乏特异性,慢性胰腺炎可发展为胰腺癌,而胰腺癌导致的胰管阻塞常伴有继发性的炎症改变,即使是病理活检,由于病变所处阶段的纤维化程度、肉芽组织比例、炎症细胞浸润程度以及活检时所选择的部位不同也会导致偏差。影像学上两者缺乏特征性的表现,过去曾认为胰头部假肿瘤性胰腺炎的动态强化方式是渐进性强化,而胰腺癌的强化方式是缓慢低强化,以此为两者相对特异性鉴别点,但近年来有研究表明两者都具有相似的渐进性强化方式,这也间接反映了影像学的常规表现以及动态增强病灶强化模式与病变的阶段有关。慢性胰腺炎的胰腺内毛细血管数量减少、血流灌注明显减少以及间质内压力增加,因此组织血流灌注减少,对比剂扩散入胰腺实质的量减少。总的来说,慢性胰腺炎的BF、BV均减低,PS增高,MTT及TTP均延长,但是绝对值各文献报道不一,与胰腺癌的区间有相当一部分重叠,因此,此部分仍在探索阶段。慢性胰腺炎的DWI成像呈弥散受限表现,理论上较胰腺癌的弥散受限重,但尚无标准的绝对值可供参考。另有文献报道胰头部假肿瘤性胰腺炎内的小囊泡影、假性囊肿以及沙粒样钙化具有一定的鉴别诊断价值,但并不具特异性。由于慢性胰腺炎中相对特征性的表现并不是百分百地出现在所有病例中,因此CT更擅长于诊断中晚期的慢性胰腺炎。胰腺组织发生纤维化时胰腺腺泡消失,故在T1压脂和T2WI上均呈低信号改变;同时,纤维化会造成胰腺正常毛细血管床的损害并由乏血管的纤维肉芽组织取代,因此MRI的动态增强上纤维化的胰腺不强化或强化不明显。MRI不仅能显示慢性胰腺炎的形态改变,而且能够了解胰腺纤维化的程度,因此MRI对于发现早期慢性胰腺炎优于CT。
(三)胰腺内功能性内分泌瘤
胰腺内分泌肿瘤可分为功能性和无功能性两大类,前者与特定的激素分泌有关,并具有相应的临床症状。功能性胰腺内分泌肿瘤包括胰岛素瘤、胃泌索瘤、胰高血糖素瘤、生长抑素瘤、血管活性肠肽瘤、胰多肽瘤等,其中以胰岛素瘤最为常见,其次为胃泌素瘤,其余均少见。功能性者因具相应临床症状,较早就诊,因此病灶均较小,而无功能性者因不具典型的临床症状,因此就诊时病灶往往较大。较小的胰腺内内分泌瘤常不造成胰腺形态的改变,较大者可突出于胰腺边缘而呈浅分叶状。CT平扫肿瘤呈等密度或稍低密度,MRI上T1WI及T1压脂呈低信号,T2WI呈高信号;肿瘤周围可见环形包膜,CT平扫呈稍低密度,T1WI及T2WI呈低信号改变;动态增强扫描动脉期肿瘤呈早期明显强化,门脉期及延迟期趋向于与正常胰腺密度/信号相近。因内分泌肿瘤血供与胰腺癌截然不同,因此CT灌注成像两者有明显差别,易于鉴别。典型的胰腺内分泌肿瘤与胰腺癌容易鉴别,若影像学表现不典型者需结合相关实验室检查。
(四)胰腺囊腺瘤和囊腺癌
胰腺囊腺瘤是起源于胰腺导管细胞的肿瘤,分两类,即浆液性囊腺瘤和黏液性囊腺瘤。
浆液性囊腺瘤又称微囊腺瘤,可发生在胰腺各部位,以胰头更多见,该类肿瘤由数量不等小囊构成,囊的直径一般不超过2cm,内含浆液,部分肿瘤中心有纤维分隔。CT平扫时,囊腺瘤呈多个低密度小囊结构及纤维分隔,边界清楚,有时纤维分隔可见高密度钙化,增强扫描时纤维分隔有轻度强化,其平扫及增强表现与胰腺癌不同。胰腺微囊腺瘤MRI检查很有特点,T1WI呈低信号,内隐约可见等信号或稍低信号的纤维分隔影,T2WI呈高信号的蜂窝状影,瘤内高信号小囊低信号的分隔清晰可见;增强扫描,瘤内纤维分隔可有轻度、中度强化,瘤体在各序列上边界清楚,无周围浸润征象,DWI成像时瘤体弥散受限程度不如胰腺癌。
黏液性囊腺瘤又称大囊腺瘤,多见于胰体、尾部,瘤体边界清楚、光滑,可单房或多房,其囊较大,直径一般超过2.5cm,囊内含黏液,CT值比浆液性囊腺瘤要高,平扫呈等密度或稍高密度。黏液性囊腺瘤瘤内可见纤细或厚薄不均的纤维结缔组织间隔,CT平扫较难区分,但增强扫描时,间隔可轻度、中度强化而显示出来,有时囊壁或间隔可见小的结节,强化较明显。MRI检查在T1WI像上,由于存在黏液,肿瘤呈混合性高、低信号,T2WI肿瘤呈高信号,囊壁及分隔呈低信号,显示清楚,增强扫描后囊壁及分隔可强化,DWI成像时肿瘤弥散不均匀受限。
囊腺癌体积一般较大,多超过10cm,囊壁及分隔不规则、较厚,壁结节多见且较大,边界不清,其晚期亦可见胰旁侵犯及转移。
(黄穗乔 张泳欣)
[1]林晓珠,陈克敏,潘自来,等.胰腺影像学检查进展[J].中国医学计算机成像杂志,2002,8(4):274-282.
[2]周康荣.螺旋CT[M].上海:上海医科大学出版社,1998.
[3]程万里,刘光华,韩希年,等.多层螺旋CT血管造影对胰腺癌侵犯胰周血管的判断[J].医学影像学杂志,2007.17(7):695-699.
[4]尚建敏,夏进东,赵年,等.多层螺旋CT血管成像对胰腺癌侵犯胰周血管的表现及可切除性评价[J].放射学实践.2010,25(6):662-665.
[5]薛华丹,刘炜,孙昊,等.多层螺旋CT灌注技术在胰腺肿瘤术前鉴别诊断中的临床应用[J].癌症进展,2010,8(5):415-420.
[6]文戈,张雪林,李颖嘉,等.多层螺旋CT灌注扫描成像技术评价正常胰腺和胰腺癌的血流动力学特点[J].中国组织工程研究与临床康复,2007,11(22):4284-4289.
[7]程祝忠,许国辉,黄娟阳,等.胰腺癌CT灌注成像表现及其生物学相关性研究[J].四川大学学报(医学版),2009:521-524.
[8]盛敏,黄振华,薛华丹,等.多层螺旋CT灌注技术对胰腺癌化疗疗效的评估价值[J].中国医学科学院学报,2012:77-80.
[9]邢千超,冯平勇,程豪,等.2型糖尿病患者胰腺的多排螺旋CT灌注研究[J].临床荟萃,2013,28(8):861-864.
[10]柴瑞敏,任克.CT灌注技术在胰腺中的应用[J].国际医学放射学杂志,2010,33(3)224-227.
[11]薛华丹,金征宇,刘炜,等.正常胰腺及胰岛细胞瘤的多层螺旋CT灌注参数特征[J].中国医学科学院学报,2006,28(1):68-70.
[12]赵心明,周纯武,吴宁,等.胰腺多层螺旋CT灌注研究[J].中华放射学杂志,2003,37(9):845-849.
[13]王琦,徐荣天,徐克,等.胰腺多层螺旋CT灌注成像[J].中国医学影像技术,2005,21(5):754-756.
[14]梁宗辉,冯晓源,祝瑞江,等.正常胰腺的多层螺旋CT灌注成像研究[J].生物医学工程与临床,2006,10:218-223.
[15]陆娜,郭启勇,任莹,等.64层CT灌注在胰腺癌诊断中的价值[J].中国临床医学影像杂志,2007,18:554-558.
[16]叶荣,郭顺林,周怀棋,等.64层螺旋CT对胰腺癌的灌注成像研究[J].中国医学影像技术,2007,23(9):1362.
[17]伍炳华,郭文强.16层螺旋CT灌注成像在胰腺病变诊断中的应用[J].CT理论与应用研究,2008,17(3):72.
[18]郝强,田建明,左长京,等.CT灌注成像在胰腺癌诊断中的应用[J].第二军医大学学报,2005,26(7):732-735.
[19]李震,胡道予,肖明,等.16层螺旋CT胰腺癌灌注研究[J].放射学实践,2005,20(10):857-860.
[20]邵娟.胰腺疾病CT灌注成像的研究进展[J].医学研究生学报,2008,21(4):412-415.
[21]周康荣,陈祖望.体部磁共振成像[M].上海:上海医科大学出版社,2000:956-960.
[22]李小明,王承缘,刘鹏程,等.胰腺MRI:技术及诊断研究[J].放射学实践,2000,15(2):85-88.
[23]张晶,田建明,郝强,等.磁共振灌注成像在胰腺癌中的应用初探[J].中国医学计算机成像杂志,2008(06):569-572.
[24]马霄虹,赵心明,欧阳汉,等.3.0T MR动态增强扫描对正常胰腺及胰腺癌的定量分析.中国医学影像技术,2010,(26):10-13.
[25]龚静山,周康荣,汪澄斌,等.Mn-DPDP增强MRI胰腺强化特征以及与Gd-DTPA动态增强MRI比较的初步研究[J].腹部放射学,2002,21(1):41-45.
[26]姚秀忠,曾蒙苏,孙非,等.3.0T 1 H—MRS在胰头癌中的应用研究[J].腹部放射学,2010,25(10):1153-1156.
[27]苏天昊,申皓靳,梁宇霆,等.3.0T 质子磁共振波谱在鉴别诊断胰腺癌和胰腺炎中的初步应用[J].国际医学放射学杂志,2011,34(5):413-417.
[28]黄文才,陆建平.磁共振波谱在胰腺癌诊断中的临床应用[J].华南国防医学杂志,2012,26(5):488-495.
[29]陈锦秀,宋彬,吴芯,等.3.0TMR弥散加权成像对鉴别胰腺癌与慢性肿块型胰腺炎的价值[J].中国普外基础与临床杂志,2008,15(10):779-783.
[30]陈高宏,姚秀忠,程伟中,等.3.0T自由呼吸背景抑制弥散加权成像在胰腺癌中的应用研究[J].医学影像学杂志,2011,21(6):873-876.
[31]王健,姚秀忠,饶圣祥,等.3.0T磁共振弥散加权成像在胰腺癌中的应用价值[J].医学影像学杂志,2012,22(1):91-93.
[32]姚秀忠,刘豪,陈文芳,等.3.0T磁共振自由呼吸背景抑制弥散加权成像对胰腺肿块的诊断价值[J].中国临床医学,2013,20(1):64-66.
[33]宋彬,闵鹏秋,吴菇,等.磁共振VIBE序列鉴别胰腺癌与肿块型慢性胰腺炎的价值探讨[J].2006,21(5):498-502.
[34]温大勇,吴慧萍,吴兴友,等.胰头部假肿瘤性胰腺炎的CT表现[J].实用放射学,2012,28(8):1298-1300.
[35]Takeda K,Mikami Y,Fukuyama S,et al,Pancreatic ischemia associated with vasospasm in the early phase of human acute necrotizing pancreatitis[J].Pancreas,2005,30(1):40-49.
[36]Bosman FT,Carneiro F,Hruban R,et al.WHO Classification of Tumours of the Digestive System[M].Fourth Edition.Geneva:World Health Organization.2010:279-337.
[37]McNally J,Francis R,Platt F,et al.Multi-detector row helical CT of the pancreas:effect of contrast-enhanced imaging on enhancement of the pancreas,peripancreatic vasculature,and pancreatic adenocarcinoma[J].Radiology,2001,220:97-102.
[38]Richter GM,Wunsch C,Schneider B,et al.Hydro-CT in detection and staging of pancreatic carcinoma[J].Radiologe,1998,38(4):279-286.
[39]Fenchel S,Fleiter TR,Aschoff AJ,et al.Effect of iodine concentration of contrast media on contrast enhancement in multi-slice CT of the pancreas[J].Br J Radiol,2004,77(922):821-830.
[40]Fletcher JG,Wiersema MJ,Farrell MA,et al.Pancreatic malignancy:value of arterial,pancreatic,and hepatic phase imaging with multi-detector row CT[J].Radiology,2003,229(1):89-90.
[41]Gral O,Boland GW,Warshaw AL,et al.Arterial versus portal vemous helical CT for revealing pancreatic adenocarcinoma:conspicuity of tumor and critical vascular anatomy[J].AJR,1997,169(1):119-123.
[42]Fishman EK,Horton KM,Urban BA,et al.Multi-detector CT angiography in the cavluation of panercatie carcinoma:preliminary observtions[J].Comput Assist Tomogr,2000,24(6):849-853.
[43]Horton KM,et al.Multidetector CT angiography of pancreatic carcinoma:Part 1,evaluation of arterial involvement[J].AJR,2002,178(4):827-831.
[44]Horton KM,Fishman EK.Multidetector CT angiograph of pancreatic carcinoma:Part2,evaluation of venous involvement[J].AJR,2002,178(4):833-836.
[45]Loyer EM,David CL,Dubrow RA,et al.Vascular involvement in pancreatic adenocarcinoma:reassessment by thin-section CT[J].Abdom Imagine.1996,21:202-206.
[46]Lu DS,Reber HA,Krasny RM,et al.Local staging of pancreaticancer:criteria for unresectability of major vessels as revealed by pancreatic-phase thin-section helical CT[J].AJR,1997,168(6):1439-1443.
[47]Nakayama Y,Yamashita Y,Kadota M,et al.Vascular encasement by pancreatic cancer:correlation of CT indings with surgical and pathologic results[J].Comput Aided Tomogr,2001,25(3):337-342.
[48]Phoa SS,Reeders JW,Stoker J,et al.CT criteria for venous invasion in patients with pancreatic head cinoma[J].Radiology,2000,73(875):1159-1164.
[49]Axel L.Cerebral blood flow determination by rapid-sequence computed tomography:theoretical analysis[J].Radiology,1980,137:679-686.
[50]Miles K.Measurement of tissue perfusion by dynamic computed tomography[J].Br J Radiol,1991,64:409-412.
[51]Miles KA,Hayball MP,Dixon AK,et al.Color perfusion imaging:a new application of computed tomography[J].Lancet,1991,337:643-645.
[52]Cenic A,Nabavi DG,Craen RA,et al.Dynamic CT measurement of cerebral blood flow:a validation study[J].Am J Neuroradiol,1999,20:63-68.
[53]Bader TR,Herneth AM,Blaicher W,et al.Hepatic perfusion after transplantation:non-invasive,measurement with dynamic singlesection CT[J].Radiology,1998,209:129-134.
[54]Koenig M,Klotz E,Luka B,et al.Perfusion CT of the brain:diagnostic approach for early detection of ischemic stroke[J].Radiology,1998,209:85-92.
[55]Klotz E,Konig M.Perfusion measurements of the brain:using dynamic CT for the quantitative assessment of cerebral ischemia in acute stroke[J].Eur J Radiol,1999,30:170-184.
[56]Fuentes MA,Keith CJ,Griffiths M,et al.Hepatic haemodynamics:interrelationships between contrast enhancement and perfusion on CT and Doppler perfusion indices[J].BJR,2002,75(889):17-23.
[57]Goh V,Halligan S,Taylor SA,et al.Differentiation between diverticulitis and colorectal cancer:quantitative CT Perfusion measurements versus morphologic criteria-initial experience[J].Radiology,2007,242:456-462.
[58]Miles KA,Hayball MP,Dixon AK,et al.Measurement of human pancreatic perfusion using dynamic computed tomography with perfusiong imaging[J].BJR,1995,68:471-475.
[59]Yoshito T,Shoichi K,et al.Age dependent decline in parenchymal perfusion in the normal human pancreas:measurement by dynamic computed tomography[J].Pancreas,1998,17:148-152.
[60]Cameron IL,Ord VA,Fullerton GD,et al.Characterization of proton NMR relaxation times in normal and pathological tissues by correlation with other tissue parameters[J].Magn Reson Imaging,1984,2(2):97-106.
[61]Mitchell DG,Vinitski S,Saponars S,et al.Liver and pancreas:Improved spin-echo T1 contrast by shorter echo time and fat suppression at 1.5T[J].Radiology,1991,178:67-71.
[62]Semelka RC,Chew W,Hricak H,et al.Fat-saturation MR imaging of the upper abdoment[J].AJR,1990,155:1111-1116.
[63]Wang C,Gordon P,Hustvedt S,et al.MR imaging properties and phamacokinetics of Mn-DPDP in healthy volunteers[J].Acta Radilo,1997,38:665.
[64]Gehl HB,Vorwerk D,Klosek C,et al.Pancreatic enhancement after low dose infusion of Mn-DPDP[J].Radiology,1991,180:337.
[65]Ichikawa T,Sou H,Araki T,et al.Duct-penetrating sign at MRCP:usefulness for differentiating inflammatory pancreatic mass form pancreatic carcinomas[J].Radiology,2001,221:107.
[66]Sugahara T,Korogi Y,Kochi M,et al.Usefulness of diffusion weighted MRI with echo-planar technique in the evaluation of cellularity in gliomas[J].Magn Reson Imaging,1999,9(1):53.
[67]Lyng H,Haraldseth O,Rofstad EK,et al.Measurement of cell density and necrotic fraction in human melanoma xenografts by diffusion weighted magnetic resonance imaging[J].Magn Reson Med,2000,43(6):828.
[68]Oinuma M,Ohashi I,Hanafusa K,et al.Apparent diffusion coefficient measurements with diffusion-weighted magnetic resonance imaging for evaluation of hepatic fibrosis[J].Magn Reson Imaging,2005,22:80-85.
[69]Rmitage PA,Schwindack C,Bastin ME,et al.Quantitative assessment of intracranial tumor response to dexamethasone using diffusion,perfusion and permeability magnetic resonance imaging[J].Magn Reson Imaging,2007,25:303-310.