



肩关节由肱骨头和关节盂构成,属球窝关节,是全身运动最灵活的关节,是人体易发生脱位的关节之一。正常情况下肱骨头在关节盂内,当外伤造成肱骨头脱出关节盂即为肩关节脱位,占全身关节脱位的40%以上,多见于青壮年,男性多于女性。
肩关节易发生脱位的原因:
(1)肱骨头大,关节盂浅而小。肱骨头呈半球形,其面积约为关节盂的4倍。
(2)关节囊韧带薄弱松弛,其前下方缺少韧带和肌肉覆盖。
(3)肩关节活动范围大,能使上臂前屈、后伸、上举、内收、外展、内旋及外旋,稳定性差,遭受外力的机会多,故易发生脱位。
1.直接暴力 肩关节直接受到撞伤,使肱骨头脱出关节盂。
2.间接暴力(主要病因)跌倒时手掌或肘部着地,暴力向上传导,使肱骨头冲破关节囊薄弱处,发生脱位。
1.根据脱位的时间与复发次数分为新鲜性、陈旧性、习惯性。
2.根据脱位后肱骨头的位置分为前脱位(最常见)、后脱位。前脱位又分为喙突下脱位、盂下脱位、锁骨下脱位。
1.肩部疼痛、肿胀、活动障碍。
2.患肢弹性固定于轻度外展位,患者常有以健侧手托住患侧前臂、头向患侧倾斜的特殊姿势。
3.“方肩”畸形,肩三角肌塌陷,肩峰显著突出,肩关节盂有空虚感,在腋窝、喙突下或锁骨下可触及移位的肱骨头。
1.病史(外伤史)。
2.体格检查 搭肩试验(Dugas征)阳性:肘部贴于胸前时,手掌不能同时接触对侧肩部,或手掌搭在健侧肩部时,肘部无法贴近胸壁,即搭肩试验阳性。
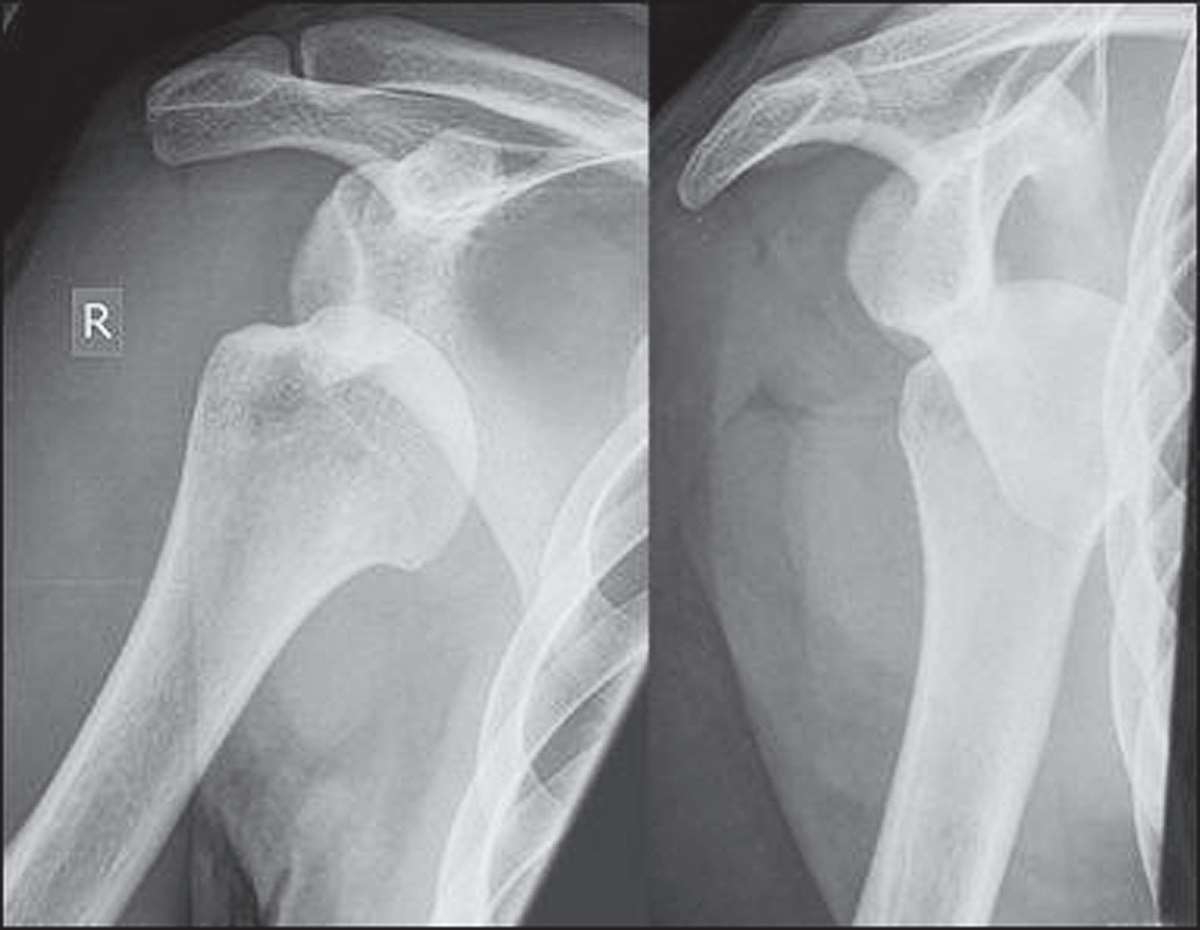
3.影像学检查(图3-1)。
图3-1 肩关节脱位X线片
1.复位
(1)手法复位 肩关节脱位后应尽快复位,手法复位一般在适当麻醉下进行,以使肌肉松弛并减少复位时带来的痛苦,常用的复位手法有牵引推拿法、手牵足蹬法、拔伸托入法、牵引回旋法、椅背复位法、悬吊复位法。
(2)手术复位 多数新鲜肩关节脱位,都能通过手法复位,但下列情况应考虑手术切开复位:合并肱二头肌长头肌腱向后滑脱,肱骨大结节撕脱骨折,骨折片卡在肱骨头与关节盂之间,合并肱骨外科颈骨折,喙突、肩峰或肩关节盂骨折,合并大血管、神经损伤者。
陈旧性脱位6个月以内的青壮年患者,或陈旧性脱位时间虽短,但合并有肱骨大结节骨折、肱骨颈骨折、腋部神经损伤以及闭合复位不成功者。
2.固定。
3.功能锻炼 意义:促进血液循环,消除肿胀,避免肌肉萎缩和关节僵硬,防止肩关节周围组织粘连和萎缩,加快肩关节功能恢复。
1.复位后患肢体位摆放
(1)肩关节前脱位复位后将患肢保持内收、内旋位置,屈肘90°,腋下放棉垫,用三角巾、绷带或石膏固定于胸前3周,合并大结节骨折者应延长1~2周。
(2)后脱位复位后则固定于相反的位置,即外展、外旋和后伸位。
2.妥善固定 患者在固定期间要经常检查绷带、石膏的松紧度,注意患肢末梢循环,如有异常应及时处理。
3.注意观察神经、血管损伤 患肢末梢皮温、脉搏、颜色、血运、感觉和运动情况。若有异常,如麻木、苍白、冰冷或活动障碍等,应及时告知医护人员。
4.功能锻炼
(1)鼓励患者积极进行功能锻炼,进行肱二头肌、肱三头肌舒缩练习,活动手指、腕关节、肘关节(图3-2至图3-5)。
图3-2 握拳伸指运动
图3-3 腕关节屈伸练习
图3-4 腕环绕练习
图3-5 肘关节屈伸练习
(2)复位1周后,开始练习肩关节前后摆动运动(图3-6)。
图3-6 肩关节前后摆动运动
(3)2周后,开始逐渐做关节各方向的主动功能锻炼,以防肩关节周围组织粘连。
1)肩关节外展、后伸、内旋练习(图3-7)。
图3-7 肩关节外展、后伸、内旋练习
2)肩关节环转练习(图3-8)。
3)肩屈曲练习(图3-9)。
图3-8 肩关节环转练习
图3-9 肩屈曲练习
图3-10 抗阻力肩外展练习
图3-11 肩关节外旋、内收练习
4)抗阻力肩外展练习(图3-10)。
5)肩关节外旋、内收练习(图3-11)。
6)爬墙练习(图3-12)。
5.预防肩关节习惯性脱位 肩关节习惯性脱位多见于青壮年,由于首次外伤脱位后造成损伤,虽经复位,但未得到有效的固定和休息,肩关节囊韧带和关节盂唇损伤没有得到良好修复,关节变得松弛,以后在轻微外力下或某些动作(如上肢外展、外旋和后伸动作)时可反复发生脱位。
图3-12 爬墙练习
因此,应严格按照时限进行肩关节固定,固定期间积极做肩外展、外旋活动,保持特定的患肢体位,功能锻炼时应特别防止过度外展、外旋等活动,如伸臂到高处取物、后拉毛巾(图3-13)等动作,以防止再脱位。
图3-13 禁止后拉毛巾
6.中医饮食调护
(1)早期——活血祛瘀,消肿止痛 早期会出现气滞血瘀、肿胀、畸形、疼痛,此期宜进食清淡、易消化且富有营养的食物,如瘦肉粥、黑木耳、薏米汤及田七瘦肉汤等,多食新鲜果蔬,多饮水,不宜食辛辣肥甘之品,以免助湿生热、肿胀加剧。
(2)中期——舒筋活血,强壮筋骨 中期局部症状消退,关节修复基本平稳,此期宜进食补骨生新、接骨续筋之品,多食含有丰富钙的食物,如排骨汤、鸡汤、土茯苓煲龟、豆制品、牛肉、核桃等。
(3)后期——补肝肾,壮筋骨 后期损伤日久,久病体虚,筋肉痿弱无力,此期宜进食高热量、补肝肾、强筋骨之品,如瘦肉、牛羊肉、红枣、桃仁煲脊骨、淮山杞子炖水鱼等。
1.伤口护理
(1)已拆线2~3天勿湿水,保持伤口清洁,不需刻意涂抹消毒液。
(2)未拆线 可到医院门诊换药,应保持伤口干燥,不要湿水,跟踪观察伤口愈合情况再拆线。
2.术后复诊 在术后1个月、3个月、6个月复查X线片。
3.康复运动 ①功能锻炼应循序渐进,避免操之过急,要量力而行。②不能停止运动或过激运动。③运动时要注意安全。④术后早期站立或坐位时应予三角巾悬吊患肢于胸前,肘关节屈曲90°。
4.需要及时随诊的情况 ①伤口发炎(红、肿、热、痛),有不正常分泌物或发热。②跌倒或碰撞造成疼痛。③肢体或末梢血运有发紫及肿胀情形不消失时。④患肢疼痛且有移位情形。
5.口服药使用方法 请与主管医生或护士确认药物后依指示服用。
6.既往内科基础疾病治疗 既往有内科基础疾病患者继续进行相关专科治疗用药。