



肘关节由肱骨下端、尺骨鹰嘴窝、桡骨头及关节囊、韧带组织构成,主要完成屈伸活动及很少的尺偏、桡偏动作。
肘关节脱位主要由间接暴力所引起。肘部是前臂和上臂的连接结构,暴力的传导和杠杆作用是引起肘关节脱位的基本外力形式。根据暴力的不同和骨折移位的方向,可分为肘关节后脱位、肘关节侧方脱位、肘关节前脱位。
1.肘关节肿痛,关节置于半屈曲状,伸屈活动受限。
2.肘后突畸形,前臂处于半屈位,并有弹性固定。
3.肘后脱位,出现空虚感,可扪到凹陷。
4.肘后三角关系发生改变。
5.侧方脱位,肘部呈现肘内翻或外翻畸形,可合并神经损伤,应检查手部感觉、运动功能。
1.病史(外伤史)。
2.体格检查。
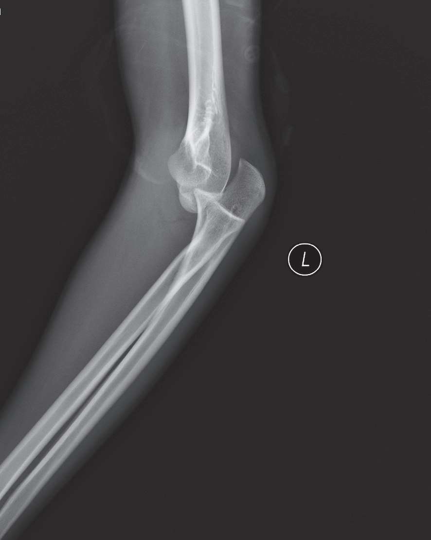
3.影像学检查(图9-1)。
图9-1 肘关节脱位X线片
1.非手术治疗 手法复位,石膏或超肘夹板固定。
2.手术治疗 对于闭合复位失败者、肘关节脱位合并肱骨内上髁撕脱骨折、陈旧性肘关节脱位等情况时,应考虑手术切开复位。
详见本书第一章“一般骨科手术术前教育”。
1.体位 根据患者所采取的手术麻醉方式,安置不同的术后体位,详见附录“各类麻醉术后的卧位护理”。用枕头、上肢垫枕或悬挂式前臂吊带抬高患肢。坐起或站立行走时使用三角巾(图9-2)或吊带悬吊患肢。
图9-2 三角巾悬吊
2.保持伤口敷料干爽清洁,防止感染。术后保持伤口引流管固定通畅,不可反折或扭曲,避免拉扯或滑脱,一般于术后2~3天拔除(或视引流液量而定,引流液量少于50mL时可考虑拔除)。
3.术后密切观察患者神志、生命体征、尿量、伤口出血及患肢末梢皮温、脉搏、颜色、血运、感觉和运动情况。若有异常,如麻木、苍白、冰冷或活动障碍等,应及时告知医护人员。
4.二便护理 ①观察排尿情况。对排尿困难者,可采取艾灸关元、气海、中极等穴位,或予中药包热熨下腹部,配合按摩,以促进排尿。必要时,给予间歇导尿或留置导尿。②观察排便情况,术后1~3天内排大便1次。若出现便意,不要忍,尽可能自行排大便,消除腹胀。必要时可艾灸神阙、天枢、关元等穴位,或进行五子散药包热敷、腹部按摩,应用开塞露或其他通便药物及灌肠。
5.饮食调护 术后清醒,胃肠蠕动恢复后,可进食粥、面等半流质食物。注意术后不宜马上进补,宜进食清淡、易消化食物,多吃蔬菜、水果。
分期饮食调护:
(1)早期(术后1~2周)此期宜消肿止痛,活血化瘀。宜进食清淡、易消化食物,如瘦肉粥、薏米汤及田七瘦肉汤等。忌油腻、生冷、酸辣及发物。
(2)中期(术后3~4周)此期宜补气血,接骨续筋。如进食去皮鸡汤、牛肉、土茯苓煲龟。
(3)后期(术后5周以后)此期宜补肝肾,壮筋骨。宜多食滋补肝肾之品,如骨头汤、核桃煲脊骨等。
1.术后早期可开始锻炼,促进血液循环,减轻肿胀,同时预防关节僵硬。
(1)握拳伸指运动 用力握拳,然后用力伸指。初始每天3组,每组5~10min,以后逐渐增加次数和延长时间(图9-3)。
(2)屈指90°及虎爪练习 将食指、中指、无名指、小指分别屈曲至90°及屈曲成虎爪位,持续10s然后放松。重复做3~5min,每天做3~4次(图9-4)。
图9-3 握拳伸指运动
图9-4 屈指90°及虎爪练习
2.在医护人员指导下,及早练习肘关节屈伸和前臂旋转活动。
(1)肘关节屈伸练习 患肢前臂保持中立位,用健侧手托患肢前臂,用力伸肘3下,然后屈肘3下,每天4~5次,每次3~5min,以后逐渐增加次数和延长时间(图9-5)。
图9-5 肘关节屈伸练习
(2)前臂旋转活动(图9-6)。
图9-6 前臂旋转活动
3.各个上肢关节的协调活动
(1)单、双臂上举 单臂或双臂,向上举向头顶,可以躺下或坐位做,尽量保持肘部笔直,重复10~20次(图9-7)。
(2)肩关节练习 外展、后伸、内旋(图9-8)、环转(图9-9)、外旋、内收(图9-10),每个动作保持10s。重复3次,每天3组。
图9-7 单、双臂上举
图9-8 肩关节外展、后伸、内旋练习
图9-9 肩关节环转练习
图9-10 肩关节外旋、内收练习
(3)腕关节练习 双手对掌练习(图9-11),腕关节屈伸练习(图9-12),腕关节尺、桡偏练习(图9-13),前臂旋前、旋后练习(图9-14)以及推墙练习(图9-15)等。以上动作各持续5下,每天4次,每次3~5min。
图9-11 对掌
图9-12 腕关节屈伸练习
图9-13 腕关节尺、桡偏练习
图9-14 前臂旋前、旋后练习
图9-15 推墙练习
1.伤口护理
(1)已拆线2~3天勿湿水,保持伤口清洁,不需刻意涂抹消毒液。
(2)未拆线 可到医院门诊换药,应保持伤口干燥,跟踪观察伤口愈合情况再拆线。
2.在骨折后1个月、3个月、6个月复查X线片,了解骨折愈合情况,防止畸形愈合,确定解除内固定的时间。
3.康复运动 ①功能锻炼应循序渐进,避免操之过急,要量力而行。②定时做适当的运动,以避免其他关节僵硬,有利于骨折的愈合。
4.禁烟戒酒,生活规律,心情愉快,避免感冒。室内经常通风换气,保持空气清新,适当户外活动,多晒太阳,注意个人卫生。
5.需要及时随诊的情况 ①伤口发炎(红、肿、热、痛),有不正常分泌物或发热。②跌倒或碰撞造成疼痛。③肢体或末梢血运有发紫及肿胀情形不消失时。④患肢疼痛且有移位情形。
6.口服药使用方法 请与主管医生或护士确认药物后依指示服用。
7.既往内科基础疾病治疗 既往有内科基础疾病患者继续相关专科治疗用药。