



肱骨髁上骨折是指肱骨干与肱骨髁的交界处发生的骨折。肱骨髁上骨折一旦处理不当,容易引起伏克曼氏(Volkmann)挛缩,导致爪形手畸形,或后遗肘内翻畸形。
肱骨髁上骨折多见于儿童,多由跌倒引起。根据暴力形式和受伤机制的不同,肱骨髁上骨折分为伸直型和屈曲型。
根据骨折移位情况,伸直型又分为伸直尺偏型和伸直桡偏型。
1.有外伤史,伤后肘关节局部疼痛,活动受限,肿胀明显,可触及骨擦感和反常活动。
2.肘部骨性三角关系存在,表示未脱位。肘处于半屈位,肘窝饱满。有时可在肘窝触到肱骨骨折端。
3.有时骨折可合并桡神经、正中神经、血管损伤,检查时应注意有无桡动脉搏动减弱或消失,手腕部皮肤感觉、运动功能障碍等情况。
4.Volkmann缺血性肌挛缩 是肱动脉痉挛或受压,肢体远端血运严重障碍,肌肉因缺血而水肿、痉挛。其早期症状为剧烈疼痛,桡动脉搏动消失或减弱,末梢循环不良,手部皮肤苍白、发凉,被动伸直屈曲手指时引起剧痛,严重者手指及腕关节均呈屈曲僵硬、套式感觉麻痹、爪形手畸形等。一旦诊断明确,应尽早去除外固定物,争取时间改善患肢血运。
1.病史(外伤史)。
2.体格检查。
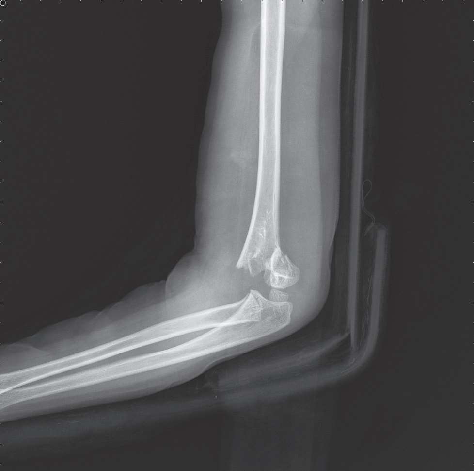
3.影像学检查(图6-1)。
图6-1 肱骨髁上骨折X线片
1.手法复位,石膏或超肘夹板固定。
2.尺骨鹰嘴骨牵引。
3.手术治疗 肱骨髁上骨折内固定术。
详见本书第一章“一般骨科手术术前教育”。
1.体位 根据患者所采取的手术麻醉方式,安置不同的术后体位,详见附录“各类麻醉术后的卧位护理”。用枕头、上肢垫枕或悬挂式前臂吊带抬高患肢。坐起或站立行走时使用三角巾或吊带悬吊患肢。
2.保持伤口敷料干爽清洁,防止感染。术后保持伤口引流管固定通畅,不可反折或扭曲,避免拉扯或滑脱,一般于术后2~3天拔除(或视引流液量而定,引流液量少于50mL时可考虑拔除)。
3.术后密切观察患者神志、生命体征、尿量、伤口出血及患肢末梢皮温、脉搏、颜色、血运、感觉和运动情况。若有异常,如麻木、苍白、冰冷或活动障碍等,应及时告知医护人员。
4.二便护理 ①观察排尿情况。对排尿困难者,可采取艾灸关元、气海、中极等穴位,或予中药包热熨下腹部,配合按摩,以促进排尿。必要时,给予间歇导尿或留置导尿。②观察排便情况,术后1~3天内排大便1次。若出现便意,不要忍,尽可能自行排大便,消除腹胀。必要时可艾灸神阙、天枢、关元等穴位,或进行五子散药包热敷、腹部按摩,应用开塞露或其他通便药物及灌肠。
5.饮食调护 术后清醒,胃肠蠕动恢复后,可进食粥、面等半流质食物。注意术后不宜马上进补,宜进食清淡、易消化食物,如瘦肉汤、鱼片汤等,多吃蔬菜、水果。
分期饮食调护:
(1)早期(术后1~2周)此期宜消肿止痛,活血化瘀。可进食清淡、易消化食物,如瘦肉粥、薏米汤及田七瘦肉汤等。忌油腻、生冷、酸辣及发物。
(2)中期(术后3~4周)此期宜补气血,接骨续筋。可进食去皮鸡汤、牛肉、土茯苓煲龟。
(3)后期(术后5周以后)此期宜补肝肾,壮筋骨。可多食滋补肝肾之品,如骨头汤、核桃煲脊骨等。
6.情志护理 本病多见于儿童,因儿童语言表达能力差,很难准确叙述自己的不适及要求,经常以啼哭来表达不适。要关心患儿,争取患儿的信任与依赖,患儿不合作时要耐心哄逗,切忌大声恐吓。多与患儿家属沟通,介绍疾病的有关知识,使其配合治疗与护理,并协助患儿生活所需,稳定患儿情绪。
1.术后早期可开始锻炼,促进血液循环,减轻肿胀,同时预防关节僵硬。
(1)握拳伸指运动(图6-2)用力握拳,然后用力伸指。初始3组/天,每组5~10min,以后逐渐增加次数和延长时间。
图6-2 握拳伸指运动
(2)将食指、中指、无名指、小指分别屈曲至90°及屈曲成虎爪位,持续10s然后放松。重复做3~5min,每天做3~4次(图6-3)。
图6-3 屈指90°及虎爪练习
2.在医护人员指导下,及早练习肘关节屈伸(图6-4)和前臂旋转活动(图6-5)。
图6-4 肘关节屈伸练习
图6-5 前臂旋转活动
肘关节屈伸练习:患肢前臂保持中立位,用健侧手托患肢前臂,用力伸肘3下,然后屈肘3下,每天4~5次,每次3~5min,以后逐渐增加次数和延长时间。
1.伤口护理
(1)已拆线2~3天勿湿水,保持伤口清洁,不需刻意涂抹消毒液。
(2)未拆线 可到医院门诊换药,应保持伤口干燥,跟踪观察伤口愈合情况再拆线。
2.在骨折后1个月、3个月、6个月复查X线片,了解骨折愈合情况,防止畸形愈合,确定解除内固定的时间。
3.康复运动 ①功能锻炼应循序渐进,避免操之过急,要量力而行。②定时做适当的运动,以避免其他关节僵硬,有利于骨折的愈合。
4.禁烟戒酒,生活规律,心情愉快,避免感冒。室内经常通风换气,保持空气清新,适当户外活动,多晒太阳,注意个人卫生。
5.需要及时随诊的情况 ①伤口发炎(红、肿、热、痛),有不正常分泌物或发热。②跌倒或碰撞造成疼痛。③肢体或末梢血运有发紫及肿胀情形不消失时。④患肢疼痛且有移位情形。
6.口服药使用方法 请与主管医生或护士确认药物后依指示服用。
7.既往内科基础疾病治疗 既往有内科基础疾病患者继续进行相关专科治疗用药。