



胃癌手术良好的设计和管理是获得理想手术效果的基础。正确、稳妥地摆放患者体位是手术成功的第一步。麻醉师需密切监测患者生命体征,预防并控制术中低体温、术后疼痛及营养不良。依据手术类型和患者体形设计手术切口,以便于显露术野并减少手术部位感染。腹腔探查、腹水或腹腔灌洗液细胞学检查对肿瘤分期和判断患者预后颇为重要。手术操作务必轻柔,依据解剖结构及其间隙,遵循精准的手术步骤。首先自横结肠游离大网膜,然后处理胃网膜右动脉、静脉及幽门血管,再离断十二指肠,最后结扎切断胃左动脉、静脉。
W. Siquini (ed.), Total,Subtotal and Proximal Gastrectomy in Cancer: A Color Atlas ,DOI 10.1007/978-88-470-5749-4_2,© Springer-Verlag Italia 2015
图2-1 聚维酮碘(碘过敏者使用苯扎氯铵)消毒两遍。上腹正中切口起自剑突,下达肚脐之下,该切口适用于正常体形和体重的患者,可顺利完成全胃切除术和胃次全切除术。
图2-2 为降低手术部位感染风险,用浸蘸聚维酮碘(碘过敏者使用苯扎氯铵)大纱布垫保护切口,避免组织层与手术部位直接接触而造成污染,用3针全层缝线予以固定。
图2-3 用Ulrich及Guarducci拉钩牵拉显露术野。
图2-4 身体矮胖或食管贲门肿瘤患者应行双侧肋缘下斜切口,以更好地显露术野。
图2-5 用Ulrich 、Kent或Rochard拉钩牵拉显露术野。
图2-6 如未见大网膜或腹膜癌结节,结肠系膜上方间隙有游离腹水者,可抽取腹水行术中细胞学检查;否则应行腹腔灌洗,用大约100mL生理盐水冲洗肿瘤浸润胃壁部分,然后收集冲洗液,行术中细胞学检查。
图2-7 局部进展期胃癌大范围侵犯胃小弯及附近淋巴结。
图2-8 弥漫浸润性胃癌是指胃癌细胞沿胃壁弥漫性浸润全胃,导致胃壁增厚,质地变硬,也称为“皮革样胃”。
图2-9 由于“皮革样胃”术前胃镜活检诊断困难,术中可行全层胃壁活检,以明确诊断。
图2-10 在横结肠系膜上、下间隙中探查有无腹膜癌结节。
图2-11 小肠及小肠系膜癌结节。
图2-12 大网膜癌结节。
图2-13 女性患者需探查双侧卵巢,以排除转移性疾病,如克鲁肯贝格(Krukenberg)瘤。
图2-14 一罕见病例,巨大Krukenberg瘤,占据超过一半的腹腔容量,导致腹腔筋膜室综合征。
图2-15 切除图2-14所示肿瘤。
图2-16 对于术前CT或MRI检查未发现肝脏转移者,术中应仔细探查、触摸,并行术中超声检查,以发现可能转移灶。
图2-17 孤立的肝表面转移灶在胃切除之前予以切除。
图2-18 术者识别大网膜和横结肠系膜前叶的融合处,自右侧向左侧分离,自横结肠完全游离大网膜,进入小网膜囊,显露胃后壁、胰腺被膜、胃网膜右动脉、胃网膜右静脉、十二指肠球部及降部。如此可将大网膜连同胃组织整体切除。
图2-19 图2-18示意图。
图2-20 胃后壁肿瘤浸出浆膜层,侵犯小网膜囊。
图2-21 如果胃后壁未见肿瘤浸出,小网膜囊内有液体积聚,可收集此积液行术中细胞学检查;否则,可用生理盐水行小网膜囊灌洗,回收灌洗液,行术中细胞学检查。
图2-22 自横结肠游离大网膜,显露胃网膜右动、静脉。
图2-23 胃网膜右动、静脉自根部游离,于两结扎线之间切断。
图2-24 No.6组淋巴结(箭头)一并清除。
图2-25 游离胃右侧血管。
图2-26 图2-25示意图。
图2-27 游离十二指肠球部,距离幽门至少3~4cm。
图2-28 直线型胃肠吻合器GIA55距离幽门至少2~3cm,距离十二指肠肛侧游离边缘1cm,确认理想的切割闭合位置,关闭GIA55。
图2-29 图2-28示意图。
图2-30 横断十二指肠,用聚维酮碘浸湿的纱布垫覆盖两断端,以减少细菌污染。
图2-31 用3-0可吸收线间断浆肌层缝合包埋十二指肠残端,减少十二指肠残端漏的发生。
图2-32 图2-31示意图。
图2-33 十二指肠横断后,胃体牵向左上方,紧靠左胁缘下拉钩,胃后壁稍拉紧,可轻易地识别出胃左动、静脉,便于游离。
图2-34 紧张胃左血管,首先可见胃左静脉,于其根部结扎切断;胃左动脉即位于其头侧,于其根部结扎切断,保留侧双重结扎。
图2-35 图2-34示意图。
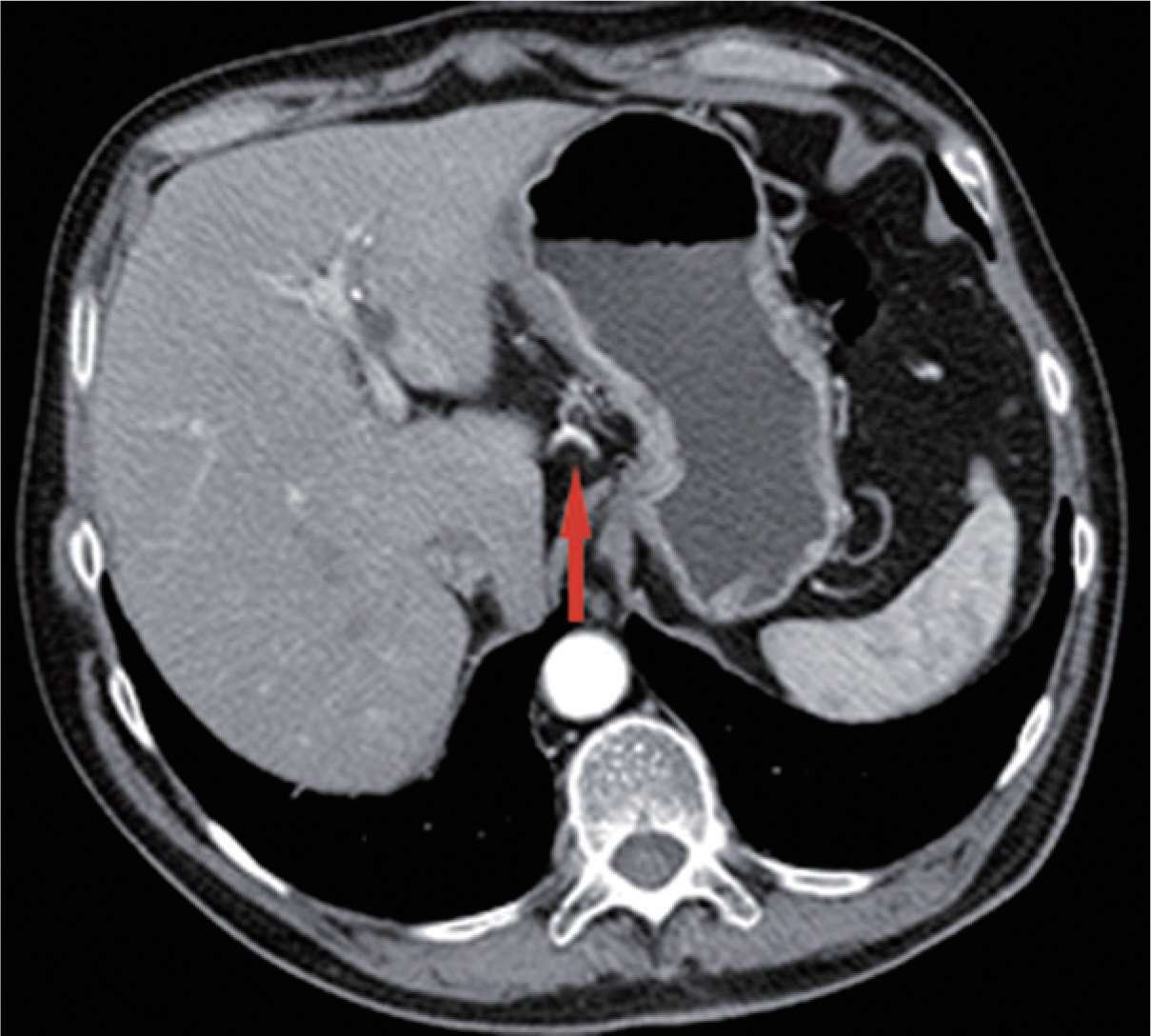
图2-36 结扎胃左动脉、静脉时,需小心可能存在的发自胃左动脉的副肝左动脉,这种变异的肝左动脉出现率为11.5%。术前CT扫描动脉成像可清楚显示变异的肝左动脉(红色箭头)。
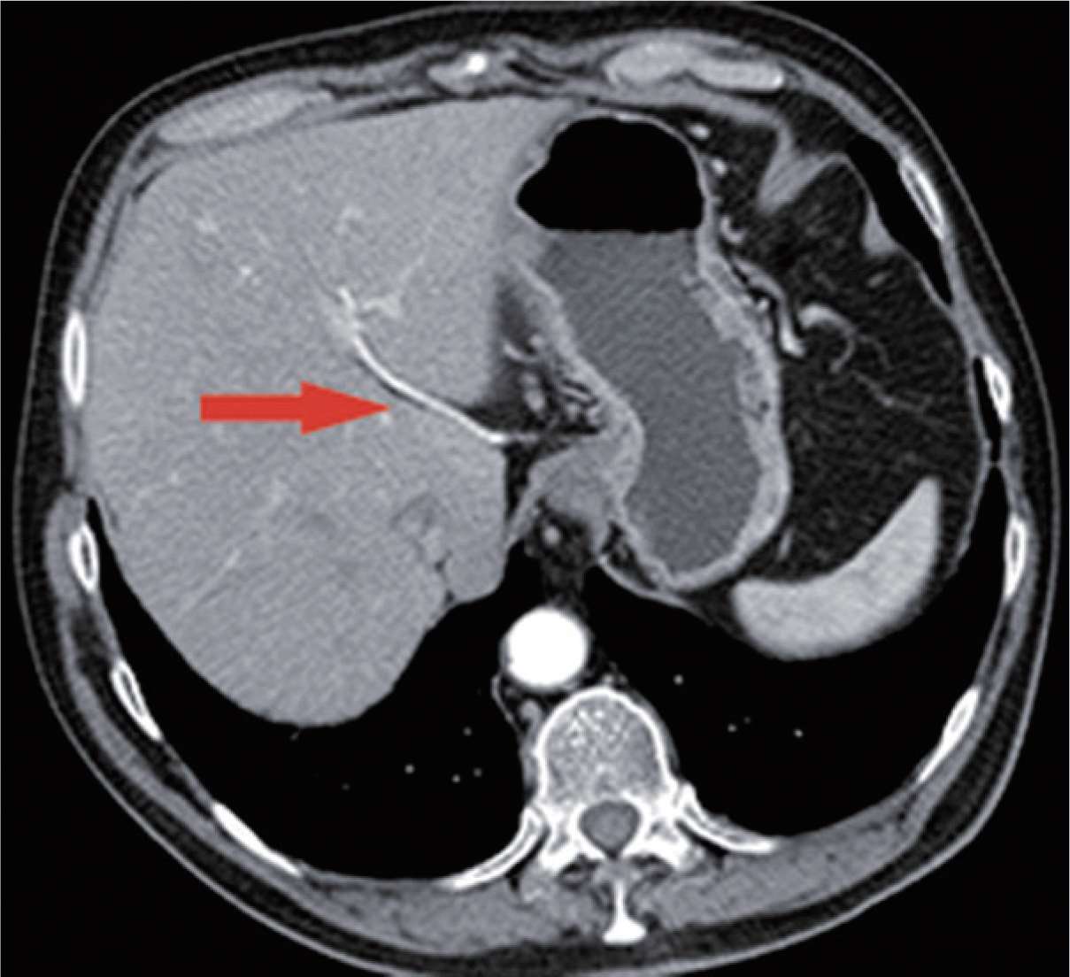
图2-37 变异的肝左动脉(红色箭头)进入肝左叶。
图2-38 变异的肝左动脉。
图2-39 当变异的肝左动脉直径较粗时,应予以保留,以免肝左叶缺血,肝功能受损。可在发出副肝左动脉之后,结扎切断胃左动脉。