购买
下载掌阅APP,畅读海量书库
立即打开
畅读海量书库
扫码下载掌阅APP

间歇低氧训练活性氧介导基因调控作用的研究

黄丽英 翁锡全 林文弢
(广州体育学院运动与健康系运动生化教研室 广东广州 510500)
(原文刊于北京体育大学学报 2008年第5期)

摘 要 目的:试图从活性氧(ROS)角度出发,探讨间歇低氧训练对低氧敏感基因及相关基因表达调节作用 的机制,为运动与低氧适应提供理论依据。方法:采用二氯荧光素双醋酸盐(DCFH-DA)荧光探针观察线粒体ROS的变化,利用 RT-PCR 技术研究心肌组织低氧诱导因子1(HIF-1α)、原癌基因(c-fos)、MnSOD 和肾脏组织EPO 基因的mRNA表达水平的变化。结果:低氧应激后ROS产生增多,经过 4 周的间歇低氧训练适应后再低氧应激,ROS 的产生减少;低氧应激后 HIF-1α、c-fos、MnSOD、肾脏组织EPO基因表达增加,间歇低氧训练适应后这些基因指标较常氧组呈显著性上升( P <0.05)。结论:ROS作为低氧应激和运动应激的靶点之一引起细胞氧化应激,其产生又能激活核因子HIF-1α,使一些相关低氧敏感基因 EPO、MnSOD、c-fos 的转录发生变化,促使其转录及mRNA 表达增强。这些基因指标的变化规律与 ROS的变化相吻合,表明 HIF-1α、c-fos、MnSOD、肾脏组织EPO基因的表达与低氧适应有密切关系。

关键词 间歇低氧训练;大鼠;活性氧;基因调控

Effects of Reactive Oxygen Species Gene Regulation during Intermittent Hypoxic Training

Huang Liying Weng Xiquan Lin Wentao
( Sport Biochemistry Section of Guangzhou Sport University Guangdong Guangzhou 510500 )

Abstract Objective:Genetic mechanism relevant to reactive oxygen species(ROS)during intermittent hypoxic training are studied,so that theories on sports and hypoxic acclimatization are provided.Methods:Mitochondria ROS are assessed by methods of DCFH-DA.The mRNA level of HIF-1α,c-fos,MnSOD,in heart tissue and EPO in kidney tissue are investigated by RT-PCR.Results:Mitochondria ROS in rat heart increased by hypoxic stress,but after 4 weeks’ intermittent hypoxic training it decreased by hypox ic stress;by hypoxic stress HIF-1α、EPO、c-fos、MnSOD increased,after 4 weeks’ inter-mittent hypoxic training they increased more significantly than control group.Conclusion:The results show that ROS gener-ation is required for the induction of HIF-1α mRNA .During hypoxia,these findings reveal that mitochondria-derived ROS are both required and sufficient to initiate HIF-1α stabilization.And hypoxia activated transcription of EPO,MnSOD,c-fos.We therefore conclude that ROS participate in the signaling pathways involved in the activation of multiple transcription factors.It is also indicated that there is close relation between hypoxic acclimatization and gene expression of HIF-1α,EPO,MnSOD,c-fos and hypoxic acclimatization.

Key words intermittent hypoxic training, rats, reactive oxygen species, gene regulation

活性氧(ROS)作为细胞毒素的作用已被人们基本认可。除了其负面的损伤作用,ROS也积极参与对细胞信号转导的调控。大量研究证明,ROS参与许多重要的生命过程,如细胞增殖与分化、细胞凋亡、肿瘤的诱发与抑制、肌肉收缩、神经传导、细胞吸附、基因表达等均与 ROS有着密切的关系。在间歇低氧训练中ROS的产生是否也充当第二信号分子介导基因表达呢? 它又是如何介导基因调控的呢? 这方面尚未见有文献报道。本实验试图从ROS 角度出发,探讨间歇低氧训练对低氧敏感基因及相关基因表达调节作用的机制,为运动与低氧适应提供理论依据。

1.材料和方法

1.1 动物模型

选取雄性 SD 大鼠70只,8周龄,随机分为7组,分别为:①常氧安静组,②常氧训练组,③急性低氧安静组,④急性低氧运动组,⑤急性低氧训练组,⑥间歇低氧安静组和⑦间歇低氧训练组,每组大鼠10只。⑥、⑦组每天20:00~次日8:00居住在常压低氧舱中(14.5%含氧量,采用的设备为美国Hypoxicon 公司制造),共12 h,其余时间在舱外常氧中训练或自由活动;训练组②、⑤、⑦每天在舱外于动物跑台上以25 m/min 运动,每周5天,1h/d,共4周。③~⑦组采样前进行12 h低氧应激,④组低氧应激前进行1h、25 m/min 运动。饲料由中山大学医学院动物实验中心提供,饮水为净化自来水,自由摄食、饮水,环境温度及光照时间正常。

1.2 研究方法
1.2.1 线粒体活性氧(ROS)的测定(DCFH-DA 法)。
1.2.2 基因表达RT-PCR一步法。

1.2.2.1 RT-PCR试剂 美国 Invitrogen公司SuperScript One-Step RT-PCR System with Platinum Taq DNA Polymerase。

1.2.2.2 引物 下面引物设计采用 OMIGA2.0 软件,在 genebank 中可查到。

1.2.2.3 反应条件 48e 25min;94e 2min;94e15sec;55e 30sec;72e1min;32个循环;72e延伸7min。

1.2.2.4 结果计算和统计处理 凝胶电泳结束后用凝胶成像系统拍照并进行电泳条带光密度分析。标本靶基因条带光密度参数与内参基因(GAPDH)条带的光密度参数之比值作为 该标本mRNA的表达水平参数,在 WINDOWS FOR SPSS11.0软件上进行统计,采用独立样本 T 检验,以平均数±标准差来表示。

2.结果

2.1 低氧应激对大鼠心肌线粒体 ROS 的影响

由表1 可知,急性低氧应激后,心肌ROS 呈上升趋势。与常氧安静组相比,急性低氧安静组显著升高( P <0.05),急性低氧运动组呈极显著升高( P <0.01);与常氧训练组相比,急性低氧运动组呈极显著升高( P <0.01);与急性低氧运动组相比,急性低氧运动组和间歇低氧训练组均显著下降( P <0.05)。

表1 低氧应激对大鼠心肌线粒体 ROS 的影响

注:与组①相比,*为 P <0.05,**为 P <0.01;与组②相比,#为 P <0.05, ## P <0.01;与组④相比, $ P <0.05, $$ P <0.01。

2.2 低氧应激对大鼠各基因 mRNA 表达的影响
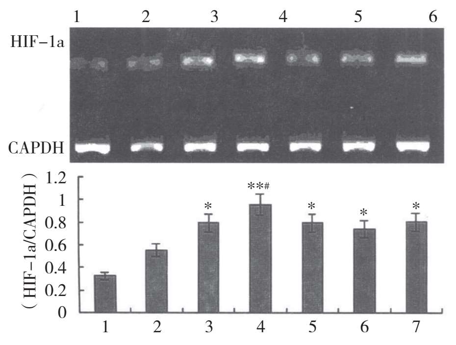
2.2.1 低氧应激对大鼠心肌HIF-1α mRNA 表达的影响

从图1可见,与常氧安静组比较,各组HIF-1α mRNA表达水平上调,且急性低氧训练组有极显著性差异( P <0.01),除常氧训练组外,其他各组之间均有显著性差异( P <0.05)。

图1 低氧应激对大鼠心肌HIF-1α mRNA 表达的影响

注:与组①相比,*为 P <0.05,**为 P <0.01;与组②相比,#为 P <0.05。

2.2.2 低氧应激对大鼠肾脏 EPO mRNA 表达的影响

从图2可见,与常氧安静组比较,急性低氧安静组和间歇低氧训练组与其都有显著性差异( P <0.05),急性低氧运动组有极显著上升( P <0.01);与常氧训练组相比,急性低氧运动组呈显著性上升( P <0.05);与急性低氧训练组相比,急性低氧运动组上调明显( P <0.05)。

图2 低氧应激对大鼠肾脏 EPO mRNA表达的影响

注:与组①相比,*为 P <0.05,**为 P <0.01;与组②相比,#为 P <0.05;与组④相比, $ P <0.05。

2.2.3 低氧应激对大鼠心肌转录因子c-fos基因表达的影响

从图3可见,与常氧安静组比较,除常氧训练组外,其余各组c-fos mRNA表达水平上调均显著( P <0.05),且急性低氧运动组、急性低氧安静组和间歇低氧训练组均有极显著性差异( P <0.01);与常氧训练组相比,急性低氧运动组有极显著上升( P <0.01),间歇低氧训练组有显著性增加( P <0.05);与急性低氧训练组相比,急性低氧运动组上调明显( P <0.05)。

图3 低氧应激对大鼠心肌 c-fos mRNA 表达的影响

注:与组①相比,*为 P <0.05,**为 P <0.01;与组②相比,#为 P <0.05;与组④相比, $ P <0.05。

2.2.4 低氧应激对大鼠心肌MnSOD mRNA 表达的影响

从图 4 可见,与常氧安静组比较,急性低氧运动组和间歇低氧训练组均有显著性升高( P <0.05);与急性低氧训练组相比,急性低氧运动组上调明显( P <0.05)。

图4 低氧应激对大鼠心肌MnSOD mRNA 表达的影响

注:与组①相比,*为 P <0.05;与组④相比, $ P <0.05。

3.讨论

线粒体是氧代谢的主要部位,是氧感受和信号转导途径之一。Chandel 等实验结果发现低氧时ROS产生增加,本实验发现低氧应激时线粒体ROS产生增加,急性低氧应激与一次性急性运动负荷后,线粒体ROS剧增,可见这是由于低氧应激产生的ROS与运动产生的ROS叠加的结果。段春礼等实验结果证明ROS的适应性参与缺氧耐受性的形成,本实验观察到大鼠经过4周的低氧适应后再接受急性低氧应激,心肌线粒体ROS的产生较一次急性低氧应激少,同时我们还发现经低氧与运动训练适应后较单纯低氧适应效果好。

ROS过多对细胞产生毒害作用,引起脂质过氧化、DNA 损伤、蛋白质交联和-SH基氧化。ROS作为信号分子,在细胞氧浓度变化与有关转录因子结构与功能的反应性变化之间提供一种化学连接,这种信号传递的最佳方式是对蛋白质-SH基氧化还原的调制。其中氧还态的化学调制包括 NF-B、c-fos以及HIF-1α 等许多重要的转录因子。O 2 -经 Fenton 反应形成活性氧中间体,可使HIF-1的-SH 氧化为-SS而影响HIF-1活性,导致蛋白质的巯基由氧化型向还原型转变,促使决定HIF-1活性的亚基HIF-1α与HIF 1β形成二聚体,激活其结合DNA的活性。活化的HIF-1参与对其他分子转录的调控,从而启动了细胞的低氧反应基因系统,使一些相关低氧敏感基因的转录发生变化,促使一些基因的转录及表达增强。本实验观察到低氧应激能使HIF-1基因表达水平上升,与文献报导一致。Halterman 认为中度缺氧可使HIF-1α 复合物稳定,引起应答基因表达。本实验观察到间歇低氧训练持续4周后HIF-1α mRNA 的表达增加,可能是适度的低氧反复刺激和运动训练的适应,使 HIF-1α基因产生了适应。HIF-1可能直接受ROS的调控,低氧时HIF-1α蛋白水平和HIF-1 DNA 结合活性增加,调节许多低氧反应基因的表达,成为细胞氧平衡和低氧反应基因表达的一个中心调节因子。低氧时 HIF-1α蛋白水平增加、入核、二聚化,结合于低氧反应基因中的低氧反应元件上的HIF-1结合位点,促进低氧氧敏感基因的转录。HIF-1调控的主要靶基因有EPO、MnSOD、c-fos等。低氧调节EPO基因表达是一个十分复杂的过程,涉及EPO基因上许多顺式调节活性和稳定性,促进 HIF-1α与EPO基因3,增强子中的 Site 1 相结合,调节EPO基因表达。本实验观察到间歇低氧训 练组 EPO mRNA 表达水平显著性升高( P <0.05),这与文献报导一致。Macaya等实验结果表明脑在缺血再灌过程中ROS增加,诱导c-fos、c-Jun mRNA 基因表达。Russell等报导肺在缺氧后 MnSOD 活性和MnSOD mRNA的表达减少,转基因鼠在低氧条件下较正常鼠MnSOD mRNA 表达量高。本实验观察到急性低氧使抗氧化酶基因表达增加,这可能是机体代偿性升高,机体自我保护的现象。张敏等研究表明,大鼠在低压氧环境下进行反复短暂的高强度运动,心肌 CuZnSOD mRNA 的表达增高,认为是心脏适应性的变化。我们发现经过4周的间歇低氧适应后机体抗氧化酶MnSOD mRNA表达整体水平提高,间歇低氧训练效果更明显,表明经过低氧与运动训练的适应能提高机体抗氧系统的能力,有效清除低氧时ROS的产生,使机体得到保护。以上基因的表达与低氧适应有密切关系。HIF-1作为基因转录的生理调节因子,是对低氧适应的重要中介因子,是与红细胞生成、血红蛋白增加、血管生长、血流供应、氧化和能量代谢相关基因转录和表达密切相关的一个重要调节因子。

综上所述,低氧应激ROS产生可使HIF-1α基因表达增加,使一些相关低氧敏感基因 EPO、MnSOD、c-fos 的转录发生变化,促使其转录及mRNA表达增强。HIF-1可能直接受 ROS的调控。ROS作为低氧应激和运动应激的靶点之一引起细胞氧化应激,其产生又能激活核因子HIF-1,从而诱导EPO、MnSOD 等抗氧化酶基因的表达,可见间歇低氧训练中ROS充当第二信号分子介导基因表达。这些基因指标的变化规律与ROS的变化相吻合,表明 HIF-1α、EPO、c-fos、MnSOD基因的表达与低氧适应有密切关系。低氧环境条件下ROS产生增加,使机体产生氧化应激,由于ROS通过信号传导通路激活转录因子基因的转录,通过它再诱发应答靶基因的较高水平转录和表达,导致一系列抗氧化酶及DNA修复酶活性增强和其他蛋白质的变化,从而提高低氧的适应能力。 Dpc688ndStSWBbQCQaiS5mrEAvZkXubwtqG0M4aLIxWd/IswjPl3xaMTw1NlAay2

点击中间区域
呼出菜单
上一章
目录
下一章
×