



X线平片是脊柱疾病首选的检查方法,首先可以明确骨骼系统有无病变,另外X线运用时间长(始于1895年),积累了丰富的临床经验,多数疾病可根据X线平片做出诊断。
照片应该包括颈椎周围的软组织,如颈前的软组织、项韧带等,另外要包括临近的上胸椎,以便计数颈椎节数。颈椎X线检查必须包括正位像和侧位像,观察颈椎椎间孔要用斜位,寰枢椎用正位开口位,判断椎间是否稳定采用前屈位和后屈位摄颈椎侧位像。颈椎外伤患者常常合并意识障碍或其他相关的损伤,过多的搬动患者可能加重患者颈髓的损伤,所以经常局限于一或两个投照体位,此时最有价值的投照体位为侧位。
患者站立或仰卧于摄影台上,双臂下垂于身旁,身体正中矢状面与台面垂直,并与台面中线吻合,头微向上仰,使听鼻线垂直于台面,中心线指向C 4 (或甲状软骨),并向头侧倾斜15°~20°。胶片上缘包括外耳孔平面,下缘至颈静脉切迹(图3-1),患者平静呼吸下屏气曝光。X线片可清晰显示C 3 ~C 7 椎体、椎间盘间隙及钩椎关节。棘突投影于正中线上,与椎体相重叠,呈卵圆形。横突骨质清晰,向左、右突出。椎弓根呈轴位投影于椎体与横突相接处(图3-2)。在C 3 ~C 7 颈椎前后位基础上略加改动,便可使C 1 ~C 7 颈椎在一张照片上显示:①听眶线垂直于台面;②中心线垂直投照,入射点在C 4 上3cm处;③曝光时屏气,头颅必须保持固定,下颌快速做张闭口活动,此时C 1 ~C 2 背景模糊如体层片,椎体轮廓和骨质皆能清晰显示。
A. 颈椎前后位摄影位置图(侧面观);B. 颈椎前后位摄影位置图(俯视)
图3-1 颈椎前后位投照法
A. 椎体;B. 棘突;C. 椎间隙;1. 齿突(C 2 ~C 7 椎体上标有数字)
图3-2 颈椎正位片
颈椎前后位X线片示:棘突位于正中线上,横突位于椎体两侧,椎弓根呈轴位投影于椎体与横突相接处,横突和棘突之间为椎板和椎弓前后平面,椎弓断面上下示关节突。
图3-3 投照张口位示意图
患者取仰卧位于摄影台上,身体正中矢状面与台面垂直,头稍向上仰。尽量张口,不能持久者可以在上下前齿间夹一海绵垫,使上颌切牙咬合面中点与乳突尖连线垂直于台面。上下切牙中点对胶片中心,中心线经上颌切牙咬合面中心垂直摄入胶片。曝光时让患者做“啊”声,以使上下颌张开(图3-3),以免门齿及下颌骨与1、2颈椎重叠,影响显影质量。该投照位置能清晰显示寰椎侧块、枢椎齿状突、寰枢关节、寰枕关节(图3-4)。枢椎齿状突位于寰椎两侧块之间,寰椎横突位于侧块的外部,其下方枢椎的骨质、椎弓、棘突显示清晰。
A. 寰枢椎张口前后位X线片;B. 寰枢椎张口前后位示意图。1. 枢椎齿状突;2. 寰椎侧块;3. 寰椎横突;4. 枢椎椎体;5. 枢椎棘突;6. 枢椎椎板;7. 门齿;8. 下颌骨;9. 寰枢关节间隙
图3-4 寰枢椎张口前后位
患者取仰卧位或侧向坐于摄影架前。下颌上仰使听鼻线与躯体冠状面垂直,避免下颌支与上部颈椎重叠,为了不影响颈部的生理曲度,绝不要勉强患者做出该姿势。双肩尽量下垂,避免肩部与C 6 、C 7 重叠,身体正中矢状面与片盒平行,胶片上缘包括外耳孔,下缘抵颈静脉切迹。中心线与胶片垂直,经甲状软骨处颈部前后缘中点射入(图3-5)。若定位的重点为上部颈椎或下部颈椎,可适当上移或下移。曝光时患者需深吸气后屏气。该投照位置显示C 1 ~C 7 颈椎侧位影像,能观察颈椎的生理曲度上部包括部分枕骨和下颌骨,前部包括喉部软组织及其前后方其他软组织。椎体的形态、椎间隙、棘突、椎间关节、椎管前后径显示清晰(图3-6)。
A. 后面观;B. 上面观
图3-5 颈椎侧位X线片投照法
1. 寰椎前弓;A. 椎间隙;B. 棘突;C. 下关节突;D. 上关节突;E. 寰椎后弓;F. 横突;G. 隆椎(C 7 棘突)(C 2 ~C 7 颈椎体上标有数字)
图3-6 颈椎侧位片
患者取坐位,将患者肩部离开胶片而成为斜位,双肩下垂,冠状面与胶片呈45°,颈椎长轴与胶片长轴平行。胶片上缘抵枕外隆凸,下缘包括颈静脉切迹,颈部斜位中线对胶片长轴中线。中心线向头侧倾斜15°,以甲状软骨为中心射入(图3-7)。椎间孔于斜位片显示清晰,位于椎体与棘突之间,呈椭圆形,左前斜位显示右侧的椎间孔,右前斜位显示左侧的椎间孔(图3-8)。
A. 中心线向头侧倾斜15°;B. 冠状面与胶片呈45°
图3-7 颈椎斜位X线投照法示意图
1. 椎间孔;2.椎体;3. 椎间隙;4. 棘突
图3-8 颈椎斜位X线片
过度伸展或屈曲后摄标准侧位X线片,观察颈椎的生理曲度、运动幅度和椎间隙(图3-9、3-10)。颈椎急性损伤不宜采用此方法。
图3-9 过度伸展或屈曲后摄标准侧位X线片
当普通X线检查可能忽视较深颈椎的解剖或周围结构掩藏细小病变时,可使用断层摄片。其原理为一方面使X射线源移动,另一方面让胶片同步地反向移动,使人体某个断面连续地聚焦在胶片的固定位置上,这样便淡化了被检查体目的断面以外的人体构造,相对增强了目的断面的摄影像。这种方法得到的断层图像不鲜明,但由于用它能得到与X线投影像同方向的断层像的优点,故在颈椎X线检查中使用。
A. 颈椎后屈位X线片;B. 颈椎前屈位X线片
图3-10 颈椎运动位X线片
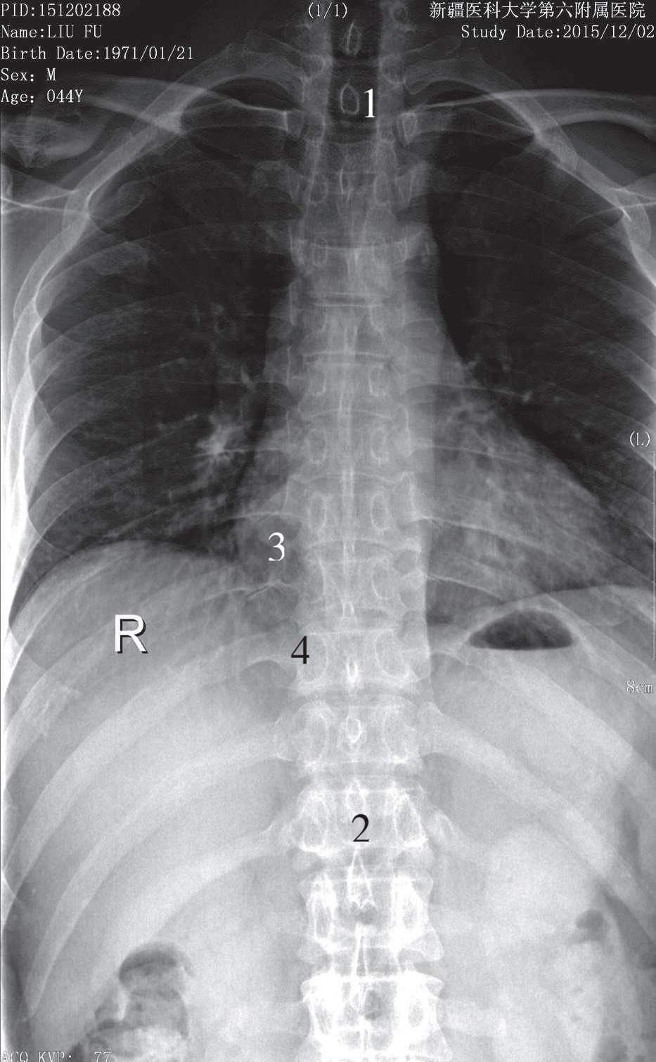
被检者仰卧于检查床上,身体正中矢状面对准检查床的中线,两臂置于身旁,下肢伸直或屈曲,影像接收器上缘平C 7 ,下缘包括L 1 ,中心线对准T 6 (相当于胸骨体中点),垂直射入,所得影像显示胸椎正位像于照片正中。胸椎椎体呈四方形,自上而下排成一排,椎间隙显示清晰,临近椎间隙大致相同,两侧横突、椎弓根对称显示,棘突位于椎体正中。胸椎两旁有12对肋骨,每根肋骨的肋骨头与胸椎椎体的肋凹形成胸肋关节(图3-11)。
1. T 1 椎体;2. T 12 椎体;3. 胸椎横突;4. 胸肋关节
图3-11 胸椎前后位片
1. 椎间隙; 2. 棘突
图3-12 胸椎侧位片
被检者侧卧于检查床上,两臂上举屈曲,头枕于臂上,双下肢屈曲以避免身体晃动,身体冠状面与床面垂直,腰部用棉垫垫平,膝间放一沙袋,脊柱纵轴与检查床中线一致,影像接收器上缘平C 7 ,下缘包括L 1 ,中心线对准T 7 椎体垂直射入。影像显示T 3 ~T 12 侧位像于照片正中,所示胸椎连贯成一生理性后凸的自然弧线,椎体为四方形,椎间隙显示清晰并优于正位片,棘突较长,斜向后下方,其余椎体附件结构亦显示清晰(图3-12)。
被检者仰卧于检查床上,身体正中矢状面对准检查床的中线,双下肢屈曲,双足踏于床面,使腰背部尽量贴近床面,两臂置于身旁或上举,影像接收器上缘包括T 11 ,下缘包括上部骶椎,两侧包括腰大肌,中心线对准L 3 (相当于脐上3cm处)垂直射入。影像显示T 11 ~S 2 的椎骨及两侧腰大肌,腰椎椎体为两侧稍凹的四方形,椎间隙显示清晰,两侧横突对称,L 3 横突较长,椎弓根、椎间关节、棘突亦显示清晰,各椎体骨小梁显示清晰,腰大肌及周围软组织层次可见(图3-13)。
被检者侧卧于检查床上,两臂上举抱头,双下肢屈曲,身体正中矢状面与床面平行,影像接收器上缘包括T 11 ,下缘包括上部骶椎,中心线对准L 3 垂直射入。影像显示腰椎生理性前凸,椎弓根、椎间孔、椎间关节及棘突显示清晰,椎间隙较正位片显示清晰,骨皮质及骨小梁显示良好(图3-14)。
1. L 1 椎体;2. L 3 椎体横突;3. 椎板;4. 棘突
图3-13 腰椎正位片
1. 椎体;2. 椎间隙;3. 棘突;4. 下关节突;5. 上关节突
图3-14 腰椎侧位片
被检者侧卧于检查床上,然后身体向后倾斜,使身体冠状面与床面呈45°,必要时可在腰背部垫棉垫以支撑,影像接收器上缘平T 12 ,下缘包括部分骶骨,中心线对准L 3 腰椎垂直射入。影像显示L 1 ~L 5 椎体及腰骶关节斜位影像,近片侧各椎弓根投影与椎体重叠。腰椎附件在斜位片上显示为“小狗”形态:近片侧的横突为“狗嘴”,椎弓根为“狗眼”,椎弓峡部为“狗颈”,上关节突为“狗耳朵”,下关节突为“狗前腿”,“狗耳”与“狗前腿”间的窄隙为关节突关节间隙。远片侧的椎弓、关节突关节组成“小狗”的后半部分,“后腿”为下关节突,“狗尾巴”为横突(图3-15)。
A. 右斜位;B. 左斜位。1. 椎弓峡部;2. 椎弓根;3. 上关节突;4. 下关节突
图3-15 腰椎双斜位片
被检者立位,紧贴成像板,双手抱头,两脚稍分开站立,身体冠状面与成像板垂直,矢状面与成像板平行,身体尽量向前弯曲或向后弯曲,中心线对准腋后线L 3 垂直射入。影像显示腰椎前后缘呈光滑连续的弧线,椎弓根、椎间孔、椎间关节及棘突显示清晰,椎间隙较正位片显示清晰,骨皮质及骨小梁显示良好(图3-16)。
A. 腰椎过屈位片;B. 腰椎过伸位片。1. 椎间隙;2. 背部软组织;3. 椎弓;4. 椎体
图3-16 腰椎过伸过屈位片
被检者仰卧于检查床上,两臂置于身体两侧,双下肢并拢伸直,身体正中矢状面与影像接收器中线重合,上缘包括L 4 ,下缘包括耻骨联合下缘3cm。骶骨摄影时中心线向头侧倾斜15°~20°,经耻骨联合上缘3cm处射入;尾骨摄影时中心线向足侧倾斜15°,经耻骨联合上缘3cm处射入。影像分别显示骶骨、尾骨正位像,骶正中嵴位于影像中央,骶、尾骨骨质结构清晰,骶孔左右对称,无肠容物干扰(图3-17)。
被检者侧卧于检查床,两臂上举抱头,双下肢屈曲,使身体冠状面与床面垂直,腰细臀宽者在腰下垫棉垫,影像接收器上缘平L 5 ,下缘包括尾椎,中心线经髂尾骨中部垂直射入。骶、尾骨骨质结构显示清晰,尾骨各节易于区分,多用于外伤后骨折的检查(图3-18)。
1. L 5 ;2. 腰骶关节;3. 骶髂关节;4. S 1 椎体
图3-17 骶尾骨前后位片
1. L 5 ;2. 骶骨;3. 尾骨
图3-18 骶尾骨侧位片