



真菌直接镜检是最简单、便捷及有用的临床真菌学检查方法,是一种快速而廉价的床旁诊断技术,常可快速帮助临床医师作出诊断,大致判断致病真菌的种类,进而指导后续的真菌培养和临床治疗。本章节就真菌直接镜检步骤、常用的染色方法进行简要的介绍(表1-3-1)。
表1-3-1 各种染色方法及其相应的适应证
将临床标本置于载玻片上,滴加1~2滴浮载液,盖上盖玻片,放置片刻或在酒精灯上微加热(火焰上快速过2~3次),加速角质溶解,但勿使沸腾,以免结晶。然后,轻压盖玻片,驱逐气泡并将标本进一步压薄,用滤纸吸取周围溢液,置显微镜下检查。检查时应遮去强光,先在低倍镜下观察有无真菌菌丝和/或孢子,然后用高倍镜观察孢子和菌丝的形态、特征、位置、大小和排列等(图1-3-1)。
图1-3-1 真菌制片方法简图
临床标本也可涂片染色检查,在载玻片上滴加1滴无菌生理盐水,将采集标本均匀涂于载玻片上,空气干燥后,火焰固定或甲醇固定,再选择适当的染色方法,染色后油镜下观察。
氢氧化钾法为临床直接镜检最常使用的方法。氢氧化钾能消化角蛋白并能清除标本中的脓细胞及其他杂质成分,而短时间内不破坏真菌菌丝和孢子。一般使用浓度为10%~20%,如检查角质层较厚甲屑、毛发等标本时可用20%的氢氧化钾(图1-3-2)。
值得注意的是,过高浓度的氢氧化钾浮载液容易干结形成结晶,长时间后也可消化真菌成分。为了延长涂片保存时间,可加入甘油封固液,或再加入二甲基亚砜(DMSO),即是复方氢氧化钾溶液,有助于溶解角质,使得真菌结构更加清晰。与刚果红染色液混合可使真菌菌体染成橘红色,而背景不着色,易于辨认。
乳酸酚棉蓝是真菌镜检的标准浮载液。乳酸可杀灭真菌,棉蓝可使真菌着色,而甘油是常用封固液,可使涂片保存相当的时间(图1-3-3)。
本方法适用于大部分真菌标本的检测,常用于真菌培养后镜下观察。
图1-3-2 氢氧化钾法
图1-3-3 乳酸酚棉蓝法
钙荧光增白剂可与真菌细胞壁的β-多糖成分(例如几丁质、纤维素等)非特异性结合,在荧光显微镜的紫外光激发下呈现亮蓝色,易于辨认。钙荧光白染色是近年来临床常用的检测真菌方法。商品化的真菌荧光染色试剂是一种含有荧光素、氢氧化钾和抑制背景荧光着色试剂的复合溶液。氢氧化钾能消化标本中的角蛋白和杂质,使组织背景更透明,而背景复染剂能降低标本的背景亮度,使荧光信号更加清晰,均有助于更清晰地观察真菌结构。一步法的真菌荧光染色液操作简便,耗时短,荧光染色稳定性高,非常适用于临床标本的直接显微镜检查(图1-3-4)。
真菌荧光染色适用于临床涂片标本和组织病理切片的大部分真菌感染标本的检测,还可用于毛囊虫、利什曼原虫、疟原虫等寄生虫的检测。值得注意的是,着色芽生菌病的硬壳小体较难着色;角蛋白、胶原蛋白、弹性纤维也能被荧光染料染色,造成假阳性。
墨汁法主要用于检测隐球菌。因墨汁不能使隐球菌的荚膜着色,在黑色背景下荚膜更透亮,易于辨认。颗粒细而均匀的墨水皆可选择,以印度墨汁效果最佳(图1-3-5)。
值得注意的是,人体细胞成分、滑石粉、气泡等可在墨汁表现光环效应,产生假阳性。需结合隐球菌的酵母细胞、窄颈出芽特点进行判断,联合多种染色方法检查隐球菌有助于提高诊断率。
图1-3-4 钙荧光白染色法
图1-3-5 墨汁法
此法是国际通用的马拉色菌染色方法。KOH能消化角蛋白和杂质,派克墨水可使马拉色菌呈深蓝色。染色时间为10min,染色时间越长,效果越好(图1-3-6)。
PAS法适用于大部分真菌标本的检测,是组织病理切片常用的染色方法之一。疑为深部真菌感染的临床标本也可涂片后PAS染色检查(图1-3-7)。因呼吸道黏液PAS法可染成亮粉红色,故呼吸道分泌物避免涂片PAS染色。PAS法用高碘酸氧化真菌细胞壁的多糖游离出醛基,后者与无色品红结合生成新的品红色复合物而显色。真菌细胞壁呈紫红色至深紫红色,细胞核被染为绿色或蓝色,整个视野对比鲜明。
图1-3-6 派克墨水氢氧化钾法
图1-3-7 PAS法
革兰染色法是应用最广的一种染色法,适用于大部分真菌、放线菌及诺卡菌感染标本的检测。所有真菌、放线菌及诺卡菌为革兰染色阳性,菌体被染成蓝紫色。革兰阴性菌则被染成红色(图1-3-8)。
其中革兰染色复染液中的沙黄染色液也可单独配置,也可用于检测马拉色菌(图1-3-9)。
图1-3-8 革兰染色法
图1-3-9 沙黄染色法涂片
抗酸染色法是主要检查分枝杆菌的一种特殊染色法。结核分枝杆菌对苯胺染料一般不易着色,若加温或延长染色时间使其着色后,再用3%盐酸酒精处理也不易脱色,经此染色后,结核分枝杆菌及其他分枝杆菌呈红色,而非抗酸杆菌和细胞杂质等呈蓝色。星形诺卡菌和巴西诺卡菌抗酸染色弱阳性,放线菌无抗酸性。
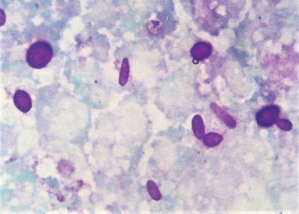
瑞氏-吉姆萨染色法主要用于检测骨髓和其他标本中的组织胞浆菌、马尔尼菲篮状菌和肺孢子菌,也可检测利什曼原虫。瑞氏染色对细胞核着色较佳,但对胞浆着色较差;吉姆萨染色液对胞浆着色力较强,但对胞核着色偏深。有商品化的瑞氏-吉姆萨复合染液,兼有瑞氏和吉姆萨染液二者优点(图1.3-10)。
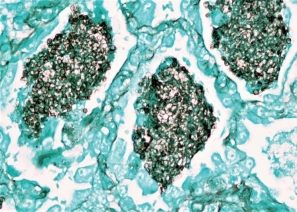
六胺银染色法是检测组织病理切片中真菌成分的最佳方法,适用于各种真菌。GMS法用铬酸氧化真菌壁的多糖而暴露出醛基,醛基还原六胺银内的银离子为黑色的金属银而显色。菌体染成黑色,菌丝内部呈炭灰色,背景染成淡绿色,整个视野对比鲜明(图1.3-11)。
图1-3-10 瑞氏-吉姆萨染色法
图1-3-11 GMS染色法