



超声心动图是利用超声短波的特殊物理学特性检查心脏和大血管的系统结构与功能状态的一种无创性检查方法。根据检查途径的不同,分为经胸超声心动图、经食管超声心动图、经心外膜超声心动图、心腔内超声心动图。各类超声心动图检查的共同成像技术主要包括M型、二维和多普勒超声心动图。
M型超声心动图在二维成像基础上通过不同取样线,以时间为横轴,获得取样线上心脏组织结构随时间变化产生的运动频谱。常见波形有心底波群、二尖瓣波群、心室波群、肺动脉瓣波群。
(1)胸骨旁左室长轴切面M型取样线置于主动脉瓣瓣尖水平。
(2)结构从前到后依次为右室流出道、主动脉、左心房等。其中右室流出道及主动脉根部内径于舒张末期测量,左心房前后径于收缩末期测量(见图1-21)。
图1-21 心底波群(RV:右心室;AO:主动脉;LA:左心房)
(1)胸骨旁左室长轴切面M型取样线置于二尖瓣瓣尖水平。
(2)结构从前到后依次为右室前壁、右心室、室间隔、二尖瓣前后叶、左室后壁等。
(3)正常二尖瓣前叶曲线为舒张早期E峰和舒张晚期A峰的双峰曲线,而收缩期为一缓慢上升的CD段。
这种双峰曲线具有一定的特异性:A峰位于心电图P波之后,心房收缩推动二尖瓣前叶向前运动。C点位于心电图R波之后,此时心肌收缩,心室压力升高,二尖瓣关闭,产生第一心音。CD段为关闭的二尖瓣随左室后壁的逐渐前移而前移。D点出现于T波与第二心音之后,标准二尖瓣口即将开放。E峰为二尖瓣开放至最大时形成,随后由于左心房排空,左心室充盈,房室间压差迅速减小,二尖瓣前叶曲线迅速下降至F点(见图1-22)。
(4)二尖瓣前后叶活动方向相反,故二尖瓣后叶曲线与前叶曲线相反,呈镜像曲线,为舒张早期E峰和舒张晚期A峰的双峰曲线。收缩期为前后叶合拢形成一起向前的CD段(见图1-23)。
图1-22 正常人超声心动图及二尖瓣前叶曲线图与心电图
图1-23 二尖瓣波群
(1)胸骨旁左室长轴切面M型取样线置于二尖瓣腱索水平。
(2)结构从前到后依次为右室前壁、右心室、室间隔、左心室、左室后壁等。其中右心室大小及室间隔厚度应于舒张末期测量。可分别测量舒张末内径和收缩末内径以衡量左心室大小(见图1-24)。
图1-24 心室波群(RV:右心室;IVS:室间隔;LV:左心室;LVPW:左室后壁)
胸骨旁大动脉短轴切面M型取样线置于肺动脉瓣上。肺动脉瓣叶在收缩期向后移动,在舒张期向前移动(见图1-25)。
图1-25 肺动脉瓣波群
二维超声心动图利用探头产生的声束对胸壁后进行扇形扫查,根据探头位置与角度的不同,可以获得不同的切面图。
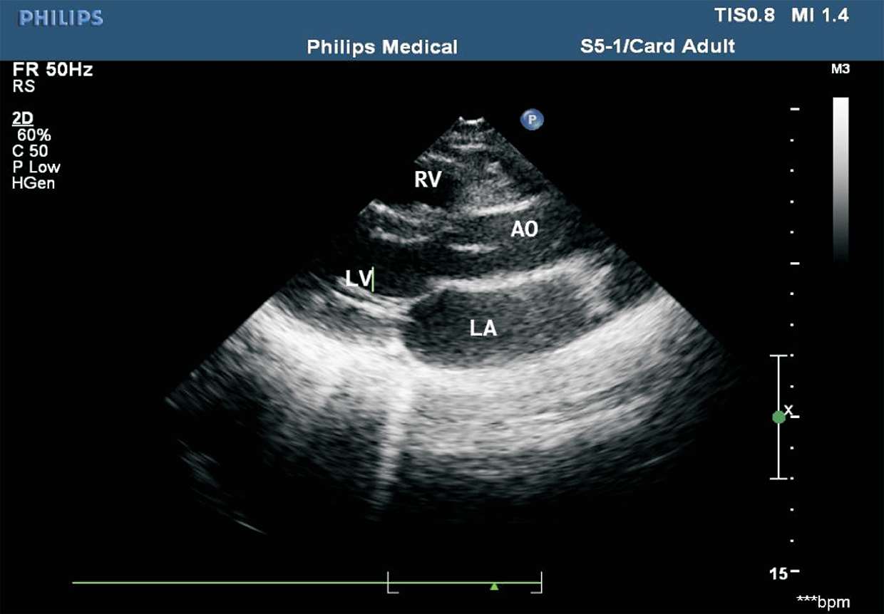
患者取左侧卧位或平卧位,探头置于胸骨左缘第2~5肋间,声束指向右肩。在此切面可观察右心室、主动脉、左心房及左心室的大小,室间隔及左心室后壁的厚度,主动脉右冠瓣、主动脉无冠瓣、二尖瓣前叶及二尖瓣后叶的形态及活动度(见图1-26)。
图1-26 胸骨旁左心室长轴切面(RV:右心室;LV:左心室;AO:主动脉;LA:左心房)
患者取左侧卧位或平卧位,探头置于胸骨左缘第2~3 肋间,声束垂直于胸骨旁左心室长轴切面。在此切面可观察主动脉瓣的形态、厚度、回声强度及开闭状态,右心室流出道与肺动脉干有无增宽、狭窄,降主动脉与肺动脉之间有无异常通道,肺动脉瓣的形态及活动(见图1-27)。正常主动脉瓣呈三瓣叶,收缩期开放为“▽”形,舒张期关闭为“Y”形(见图1-28)。
图1-27 心底大动脉短轴切面(RA:右心房;RV:右心室;PA:肺动脉;AO:主动脉;LA:左心房)
图1-28 心底大动脉短轴切面主动脉瓣呈三瓣叶,舒张期关闭为“Y”形
患者取左侧卧位或平卧位,探头置于胸骨左缘第3~4 肋间,声束垂直于胸骨旁左心室长轴切面,斜向后方扫查。在此切面可观察二尖瓣前后叶的形态及开放程度,肌部室间隔的完整性,心室壁基底段的厚度、回声强度及有无节段性运动异常(见图1-29)。
图1-29 二尖瓣水平左心室短轴切面(AMVL:二尖瓣前叶;PMVL:二尖瓣后叶)
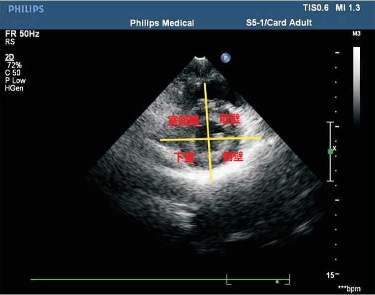
患者取左侧卧位或平卧位,探头置于胸骨左缘第3~4肋间,声束垂直于胸骨旁左心室长轴切面,在二尖瓣水平左心室短轴切面的基础上稍向心尖移动。在此切面可观察乳头肌数目、位置,心室壁中间段有无节段性运动异常(见图1-30)。
图1-30 乳头肌水平左心室短轴切面
患者取左侧卧位或平卧位,探头置于胸骨左缘第3~4 肋间,声束垂直于胸骨旁左心室长轴切面,在乳头肌水平左心室短轴切面的基础上稍向心尖移动。在此切面可观察心尖部心腔及心肌,判断心尖有无血栓、室壁瘤、心尖型肥厚型心肌病、心肌致密化不全等(见图1-31)。
图1-31 心尖水平左心室短轴切面
患者取平卧位或略向左倾斜,探头置于心尖搏动处,声束指向右肩胛部。在此切面可观察到四个心腔的大小、二尖瓣及三尖瓣的形态和开闭状况、房室间隔及十字交叉部结构的完整性,可评价室壁运动及心功能情况(见图1-32)。
图1-32 心尖四腔心切面(RV:右心室;RA:右心房;LV:左心室;LA:左心房)
患者取平卧位或略向左倾斜,探头置于心尖搏动处,在心尖四腔心切面基础上稍向前上方倾斜。在此切面可了解主动脉瓣上血流速度、室间隔的完整性和左心室流出道有无病变(见图1-33)。
图1-33 心尖五腔心切面(AO:主动脉)
多普勒超声心动图根据多普勒效应原理,显示心腔及大血管的血流速度、方向与血流性质。多普勒超声心动图又分为彩色多普勒(CDFI)超声心动图、脉冲多普勒(PW)超声心动图、连续多普勒(CW)超声心动图。多普勒超声心动图一般在二维超声心动图基础上进行彩色血流成像及频谱测量。彩色多普勒通常用红色表示血流方向朝向探头,用蓝色表示血流方向背离探头,色彩的明暗则表示血流速度的快慢。正常心脏及大血管血流为层流,多表现为单彩;异常血流一般为湍流,多表现为五彩花色。脉冲多普勒具有距离选通功能,可以确定血流部位、方向以及性质,但脉冲重复频率较低,最大探测速度较小。连续多普勒无距离选通功能,无法准确判断血流位置,但可测定高速血流速度。
二尖瓣脉冲型频谱多普勒取样框置于二尖瓣瓣尖水平,取样线平行于血流。二尖瓣舒张期血流频谱包括舒张早期血流快速充盈产生的E峰及舒张末期心房收缩产生的A峰(见图1-34)。
图1-34 二尖瓣脉冲型频谱多普勒
主动脉瓣口脉冲型频谱多普勒取样框置于主动脉瓣口水平,取样线平行于血流。收缩期可见一向下空心三角形窄带频谱(见图1-35)。
图1-35 主动脉瓣口脉冲型频谱多普勒
生命的维持依赖于心脏泵血功能的正常运行,其中心室收缩为泵血的过程,而心室舒张为泵血的基础。心脏功能的正确评价,对判断病情、临床诊疗及预后评估等具有重要意义。
(1)M型超声心动图,适用于左心室无节段性运动异常者。取标准胸骨旁左心室长轴切面,取样线置于二尖瓣腱索水平,测量左心室舒张末期内径(LVD)与收缩末期内径(LVS),根据测量内径推算左心室舒张末期及收缩末期的容量,再根据左心室舒张末期容量及收缩末期容量的变化求出心输出量(见图1-36)。
图1-36 左心室波群
(2)二维超声心动图,适用于左心室节段性运动异常者。在标准心尖四腔心切面或二腔心切面描记左心室收缩末期及舒张末期心内膜轨迹,根据简化Simpson法计算出左心室容积及射血分数。
(3)脉冲多普勒技术测量SV和CO,适用于无明显主动脉瓣反流者。于胸骨旁左室长轴切面测量主动脉瓣口直径(D),于心尖五腔心切面得到主动脉瓣口血流频谱,描记速度—时间积分(VTI)。公式:SV=π×( D /2) 2 × VTI 。
(4)连续多普勒技术测量左心室dp /dt ,适用于二尖瓣有反流,且反流速度大于3.0 m/s者。于心尖四腔心切面得到二尖瓣反流频谱,准确测量频谱上1 m/s、3 m/s之间的时间间期(T)。公式: dp / dt =32 mmHg/T,正常情况下 dp / dt ≥1200 mmHg/s。
(5)组织多普勒,常以二尖瓣环组织多普勒数据评价左心室收缩功能。二尖瓣环组织多普勒频谱由收缩期正向Sa波、舒张期负向Ea(E′)波和Aa(A′)波组成。Sa波正常值应在5~6 cm/s以上(见图1-37)。
图1-37 二尖瓣环组织多普勒频谱
(6)左心室局部收缩功能。可以通过左心室局部收缩功能来评价缺血性心脏病患者的病变范围、治疗效果及预后等。
(7)常用的室壁分段方法为16段法。左心室长轴切面将左心室分为3等分:基底段、中间段及心尖段。基底段、中间段短轴切面分为6 等分:左心室前壁、左心室侧壁、左心室后壁、左心室下壁、后间隔及前间隔(见图1-38)。心尖段短轴切面分为4等分:左心室前壁、左心室侧壁、左心室下壁及室间隔(见图1-39)。
图1-38 基底段、中间段短轴切面分6等分
图1-39 心尖段短轴切面分4等分
(1)二尖瓣口血流脉冲多普勒频谱。取样框置于二尖瓣瓣尖水平,取样线平行于血流。二尖瓣舒张期血流频谱包括舒张早期血流快速充盈产生的E峰及舒张末期心房收缩产生的A峰。正常状态下:E峰/A峰>1;E峰最大流速:平均73 cm/s;A峰最大流速:平均40 cm/s;E峰减速时间(EDT):166±4 ms(见图1-40)。
图1-40 二尖瓣口血流脉冲多普勒频谱
(2)组织多普勒频谱。二尖瓣环舒张期频谱主要是舒张早期Ea(E′)峰及舒张晚期Aa(A′)峰。正常状态下:Ea峰/Aa峰>1;Ea峰>8.5 cm/s;Aa峰>8 cm/s(见图1-37)。
右心室功能评价在许多先天性心脏疾病及右心室、右心室流出道相关疾病中占重要地位。因此,在关注左心室功能评价的同时,也应注重右心室功能评价。右心室功能评价包括右心室收缩功能评价及右心室舒张功能评价。
(1)三尖瓣环收缩期位移(TAPSE)。用M型超声测得三尖瓣外侧瓣环的运动曲线,在曲线上测量舒张末期最低点至收缩末期最高点之间的距离,正常时≥16 mm,<16 mm时考虑为右心室收缩功能降低(见图1-41)。
图1-41 三尖瓣环收缩期位移
(2)三尖瓣外侧瓣环收缩期峰值速度(S′)。用组织多普勒测量三尖瓣外侧瓣环获得, S ′<10 cm/s时,提示右心室收缩功能降低(见图1-42)。
图1-42 三尖瓣外侧瓣环收缩期峰值速度
(3)右心室面积变化分数法(RVFAC)。在心尖四腔心切面,计算右心室舒张期及收缩期面积的变化比率,即 RVFAC =(右心室舒张末期面积-右心室收缩末期面积)/右心室舒张末期面积×100%。 RVFAC 小于35%提示右心室收缩功能降低。
(1)三尖瓣口血流频谱。三尖瓣口血流频谱包括舒张早期的E峰与舒张晚期心房收缩的A峰,E峰/A峰应大于1。
(2)三尖瓣外侧瓣环组织多普勒。用组织多普勒测量三尖瓣外侧瓣环获得右心室心肌舒张早期速度 E ′,联合三尖瓣口血流频谱能反映右心室的血流动力学改变。 E/ E′>6提示右心室舒张功能受损。
(3)下腔静脉的内径及塌陷率。在距右心房入口2 cm处测量下腔静脉内径。下腔静脉塌陷率=(下腔静脉最大内径-下腔静脉最小内径)/下腔静脉最大内径×100%。正常状态下,下腔静脉内径小于21 mm,塌陷率大于50%(见图1-43)。
图1-43 下腔静脉