购买
下载掌阅APP,畅读海量书库
立即打开
畅读海量书库
扫码下载掌阅APP

骨质疏松是什么样的疾病

骨骼健康

知识小问答

问:骨骼有弹性吗?

答:当然有!骨骼中不仅有钙、磷等矿物质构成骨质的坚硬基础,还有骨胶原蛋白等蛋白质成分,这些蛋白质像“弹簧”一样在骨组织中交织排列,使骨骼既坚硬又具有一定的弹性,不会轻易断裂。所以,保持骨骼健康不仅要补钙,还要摄入足够的蛋白质哦!

问:骨骼的更新是从什么年龄开始的?

答:其实,骨骼的更新从出生前就开始了。破骨细胞负责吸收陈旧的骨骼,成骨细胞则生成新骨。年轻时,成骨活动多于破骨活动,骨量逐渐增加并达到峰值;但随着年龄的增长,破骨活动多于成骨活动,骨量逐渐减少。

问:骨质疏松是老了才会得吗?我要不要等到65岁以后再去检查?

答:骨质疏松可以发生在任何年龄,并不是老年人的专属疾病。但确实,年纪越大,骨量流失越多,越容易出现骨质疏松。50岁以上的人群中,每5人就有1人患骨质疏松症;65岁以上的人群中,每3人就有1人患骨质疏松症;而65岁以上的女性中,一半以上都患有骨质疏松症。所以,要早发现、早治疗,不要等到骨折了再检查哦!

骨质疏松是最常见的骨病,影响全身多个部位,其特征为低骨量和骨组织微结构损坏,这使得骨骼变得脆弱,容易发生骨折。这种疾病可以在任何年龄发生,但主要影响绝经后的女性和老年男性,所以是一种需要终身关注的健康问题。有人把骨骼比喻成银行,在年轻时我们不断地“存入”骨骼,随着年龄的增长,“存入”变少,“取出”越来越多,骨量就减少了。现在的骨量状态正常,并不代表将来也会正常,所以要持续关注。

医生通常将骨质疏松分为原发性和继发性两种。原发性骨质疏松与衰老、遗传因素以及缺乏运动、吸烟、过量饮酒、不良饮食习惯等不健康的生活方式有关;继发性骨质疏松则由激素失调、某些疾病或特定药物引起,可能在年轻时就会出现。不管是哪种骨质疏松,治疗时都需要同时针对病因和危险因素,并努力提高骨密度。

看起来静止却充满活力的骨骼

人的一生中,骨骼都在不断变化。有人把骨骼比作房子,一边拆一边建。年轻时,建的速度比拆的速度快,房子非常牢固;但随着年龄的增长,拆得多,建得少,房子慢慢变成了危房。当骨量减少到一定程度,骨骼强度减弱,无法承受正常的生理应力或外伤冲击,在跌倒等特定情况下房子就会倒塌,也就是发生骨折。

所以,要让我们的骨骼强壮,对抗骨质疏松,要么是加强建设,增加“骨骼银行”的存款:要么是减少破坏,减少“骨骼银行”的支出。

接下来的内容可能有点烧脑。如果你想试着搞懂我们的骨骼,那就跟着本书继续前进吧;如果你觉得理解起来比较费劲,也可以直接跳过本章。

人体共有206块骨,它们相互连接构成人体的骨架——骨骼,骨骼约占全身体重的15%。它最大的作用是让我们能够自由运动。除此之外,它还保护着内脏不受外界伤害,比如颅骨保护大脑,胸骨、肋骨和胸椎保护心脏和肺,骨盆保护盆腔脏器。骨骼还是矿物质最大的储存仓库,储存着全身99%的钙、85%的磷和50%的镁,同时骨骼等组织具有造血功能,且骨骼代谢与内分泌系统有着密切联系。可以说,骨骼是一个多功能的“超级器官”。

健康的骨骼既坚硬,又有弹性。它们不像玻璃,虽然坚硬却脆弱易碎;也不像布匹,柔软且缺乏硬度和支撑力。这种独特的性质源于骨骼的结构和成分,既有构成骨骼硬度的矿物质,也有富于弹性的骨胶原。微量元素、水和糖胺聚糖等则像黏合剂,将矿物质和骨胶原紧密结合在一起。

骨骼的结构和功能来自其中的细胞及细胞外基质,这些细胞负责胶原的合成、骨基质的有序组装和矿物质的沉积。与我们想象的不同,骨骼在成熟后并非不再变化。实际上,骨骼是一个动态的器官。从出生到衰老,人体的骨骼经历着不断更新的过程,破骨细胞分解旧骨,成骨细胞则形成新骨。大约在30岁时,骨量达到最高峰,之后逐渐降低。

我们的骨骼在一生中不断重建,以适应不断变化的外部环境。例如,缺乏活动时骨丢失加快,坚持运动则可以维持更好的骨量。随着年龄的增长,骨骼会逐渐失去强度和弹性,变得更易断裂。这种持续的骨骼更新,包括破骨细胞破坏旧骨和成骨细胞形成新骨,旨在维持血液中钙、磷等矿物质的平衡,并自然替换受损的骨质,使骨骼能够适应不同的压力和负载。

骨骼更新的过程称为重建,这一过程需要骨骼内不同细胞的协作。具体来说,首先是破骨细胞的活动,它们溶解并吸收骨质,形成小凹陷。随后,成骨细胞迁移至这些凹陷处,开始分泌骨基质以填补凹陷,并在上面沉积矿物质,完成新骨的形成。

骨骼中涉及的细胞类型包括:

破骨细胞。破骨细胞就像拆迁队,专门负责吸收和破坏老化或脆弱的骨组织。它们在骨表面释放蛋白酶等酶类,这些酶能溶解骨的矿物质和基质,之后破骨细胞吞噬并消化这些残留物质。

成骨细胞。成骨细胞是负责构建新骨的细胞,就像建筑工人一样。它们能合成骨胶原,需要一段时间来逐渐填补破骨细胞清除的区域。

骨细胞。骨细胞是骨骼中最常见的细胞类型,由成骨细胞分化而来,在骨骼中起着调节和维持骨骼稳态的重要作用,像是建筑工地的监工。它们嵌入新形成的骨质,连接骨表面与内部,响应外部压力和环境变化,调节破骨细胞和成骨细胞的活动。

骨衬细胞。骨衬细胞是覆盖在骨表面的扁平细胞,可能是休眠状态的成骨细胞。它们在骨骼重建过程中起着重要作用,可能与破骨细胞的激活和调控有关。

总的来看,如果骨的形成超过骨的吸收,骨量就会增加;反之,如果骨的吸收超过骨的形成,骨量就会减少。骨重塑的过程就像建房子,先拆再建。通常,骨吸收的过程相对较快,而骨形成和矿化则需要较长时间。一个完整的骨重建周期大约为120天,其中骨吸收过程通常持续约2周,而骨形成和矿化过程则需要2~3个月。这一系列的步骤见图1-1。

图1-1 骨细胞和骨重建周期

骨的结构

人体骨骼由两种不同类型的结构组成——皮质骨和松质骨。皮质骨,也被称为致密骨,是一种硬而致密的骨组织,构成了骨的外层。它的密度很高,就像城墙一样,提供了主要的支撑力,让骨能承受压力和重量。皮质骨结构紧凑,能保护骨髓和内部组织不受损伤。它主要存在于长骨(如股骨和桡骨)的表面,以及其他一些骨的表面。松质骨,又被称为海绵骨,是一种质地较轻、多孔的骨组织,主要位于骨的内部,比如髓腔内和骨的末端。与皮质骨相比,松质骨的密度较低,但它有一个由骨小梁组成的立体网络结构,就像海绵一样,能分散压力和冲击力,从而保护骨免受损伤。

松质骨的代谢更加活跃,当身体缺钙时,它能迅速释放矿物质。由于它容易受到激素的影响,所以女性绝经后处于骨质疏松发生风险增加的时期,松质骨流失得特别快。

骨质疏松患者为什么容易发生骨折
骨骼健康

知识小问答

问:走路时不小心绊倒致前臂骨折,这是外伤导致的,算不算骨质疏松性骨折呢?

答:骨质疏松性骨折,也被称为脆性骨折,通常是由轻微外力引起的骨折。如果是由轻微外力引起的,如走平路摔跤后骨折,在排除其他明显外力因素的情况下,就要考虑骨质疏松性骨折的可能了。但如果是站在椅子上跌落且高度较高,或者被车撞了等受到较大外力的情况,就不属于引起骨质疏松性骨折的轻微外力范畴。

骨是由骨质构成的组织,其内部布满细小的骨小梁结构,健康的骨小梁像致密的网一样相互交织,形成坚固的支撑框架。当发生骨质疏松时,骨量减少,骨小梁变得稀疏、细弱,小梁之间的连接减弱或消失,这个致密的网状结构就被破坏了。所以,用“疏松”来形容骨头,真的非常贴切。一位骨科医生曾告诉我,他给一名骨质疏松患者做关节置换时,骨质疏松到几乎不需要任何钢制器械,轻轻一按就能把钢钉压进骨头里。而正常的骨质致密而坚硬,通常需要借助医疗器械才能穿透或进行手术操作。通常只有极大的机械压力或暴力,如车祸、坠楼等,才会导致骨骼发生变形或折断。

骨质疏松患者的骨折通常由轻微外力引发,这种外力有时甚至可能比日常活动(如站立或从低处跌倒)所产生的外力还要小。因此,这类由轻微外力引起的骨折被称为脆性骨折。大部分非椎体骨折,如手腕、髋关节、上臂、锁骨等,通常与跌倒有关。然而,据有些患者陈述,他们没有遭受明显的外力冲击,仅仅是在日常活动中,如因感冒而剧烈咳嗽或打喷嚏导致肋骨骨折,或者在弯腰捡东西、提起重物时引发椎体骨折。

骨质疏松性骨折较常见的部位如图1-2所示。

图1-2 容易发生骨折的部位

椎体: 胸腰椎椎体骨折是骨质疏松最常见的骨折类型。这种骨折可能导致背痛、身高变矮和驼背。其症状非常隐蔽,常被误诊为扭伤或肌肉劳损,通常需要通过其他检查才能确诊。如果身高比年轻时减少了4厘米(cm)以上,应警惕椎体骨折,需要进行X射线和骨密度检查。

髋部: 髋部骨折是骨质疏松性骨折中较为严重的骨折类型,易造成极大的疼痛并严重影响老年人的活动能力。髋部骨折可能会导致肺部感染、深静脉血栓、肌肉萎缩和压疮,显著影响生活质量,甚至危及生命。大部分髋部骨折可以通过手术治疗,但手术风险随着年龄的增长而增加,而且骨质疏松本身也会影响手术成功率。因此,对于骨质疏松患者,采取预防措施避免髋部骨折非常重要。

腕部: 骨质疏松患者手腕骨折(尤其是桡骨远端骨折)也是常见的骨折类型,经常发生在摔倒用手支撑身体时。

还有一些相对常见的部位,包括:

肋骨: 骨质疏松患者肋骨相对较薄,剧烈咳嗽、扭动或小的撞击都可能导致肋骨骨折。甚至有些家属在帮老年人洗澡时,轻轻一抱就导致老年人肋骨骨折;还有些瘦弱的女性在练习瑜伽时,做了几个过度扭曲的动作,结果导致肋骨骨折。

肩部: 骨质疏松患者在跌倒时若用手臂撑地或直接撞击肩部,其肩部的骨骼(包括肩胛骨和锁骨)很容易发生骨折。

骨盆: 骨盆骨折是老年骨质疏松患者常见的骨折之一,通常是因为摔了一跤或受到直接撞击。想象一下,骨盆就像一个老旧的花盆,稍微一碰就可能裂开。

踝关节: 骨质疏松患者踝关节骨折常见于扭伤或摔倒时,尤其在骨密度低的情况下。

骨质疏松是全身性疾病,虽然各个部位骨密度不同,但都可能在不同的轻微外力作用下甚至身体疲劳状况下发生骨折。骨折严重地限制了活动,影响了生活质量,甚至威胁生命。

骨质疏松防治的目标——预防骨折

骨骼健康

知识小问答

问:为什么说治疗骨质疏松是在预防骨折呢?

答:骨折是骨质疏松严重的并发症之一。骨折后的医疗和护理费用高昂,同时老年人可能因此失去独立生活的能力,生活质量大打折扣。现代医学已经证明,通过综合治疗骨质疏松可以有效减少骨折的发生。具体方法包括:

(1)改变生活方式,减少那些可以控制的危险因素,就像给骨骼上保险;

(2)通过药物提升骨密度,改善骨微结构,以增强骨骼强度,降低骨折风险;

(3)通过疼痛治疗和心理支持缓解疼痛,提升患者的生活质量;

(4)主动运动,包括各种肌肉力量锻炼、平衡训练和姿势训练,以促进康复,防止跌倒。

生命诚可贵,爱情价更高。若为自由故,两者皆可抛。

匈牙利诗人裴多菲

这首诗诠释了人类对自由的极致追求。失去自由,生命之树仿佛会迅速枯萎。在因健康问题而使患者严重丧失身体自由的疾病中,渐冻症(肌萎缩侧索硬化)无疑是最为人所熟知的一种。还记得前几年的冰桶挑战吗?全球数百万人参与,包括许多运动员和名人。参与者在接受一桶冰水浇头的挑战后,须在24小时内通过社交媒体分享自己的视频,并指定其他3人接受挑战。如果被挑战者拒绝,他们通常会被鼓励向支持渐冻症研究的慈善机构捐款。这场活动既有趣又有意义。

虽然渐冻症非常严重,但它在全球或特定地区的发病率小于万分之一。而同样会影响我们自由的,除了神经和肌肉,还有支撑我们身体的骨骼。如果出现骨折,会让我们短期或长期失去自由。在我国,40岁以上的男女患椎体骨折的比例几乎持平,大约为10%。髋部骨折在女性中更为常见,发生率几乎是男性的两倍。渐冻症目前尚无有效的治疗方法,幸运的是,骨质疏松性骨折可以治疗甚至预防。所以,保护好我们的骨骼,预防骨质疏松,就是在保护我们的自由。

骨质疏松性骨折并不是飞来横祸

在第一次遭遇骨质疏松性骨折之前,我们通常认为只有车祸或其他严重意外才会导致骨折。实际上,骨质疏松患者的骨折是一种脆性骨折,即使在轻微外力下也可能发生,是可以预防的疾病。小磕小碰、提重物等日常活动都可能导致该类骨折。而且,即使是看似健康、没有慢性病的人,也可能患有骨质疏松症。

病例1 平时健康的老年人也可能骨折

我曾遇到一位70岁的老艺术家,她能歌善舞,65岁时还坚持练习瑜伽,除了血压有点高,身体一直很好。然而,有一次她在帮卧床的老伴翻身时,因为用力不当,突然感到背部剧烈疼痛,原以为是肌肉拉伤,结果去医院检查,竟然是骨质疏松性胸椎压缩性骨折。

骨质疏松就是这样一种以骨量低下、骨组织微结构损坏为特征的全身性骨病,它使骨骼变脆,易发生骨折。成年后,我们的骨量在悄无声息地流失。也许在某一天的某次日常活动中,外界对骨骼的压力超过了它的承受能力,人生的第一次骨折就发生了。第一次骨折是严重骨质疏松的信号,如果不治疗,第二次、第三次骨折的风险会越来越高。

病例2 严重骨折带来的生活困境

多年前,有位驼背的患者来找我看病,她是医院的退休职工。她已经79岁了,她儿子推着她进来时,她的脸朝下,骨质疏松导致椎体严重压缩变形,脊柱前弯,无法抬头看我。6个椎体压缩变形严重,不仅严重影响日常生活,而且变形的胸腔甚至影响了呼吸。她特别害怕出门,害怕跌倒,大多数时候只能坐在轮椅上或躺在床上。到了这个阶段,已经很难恢复如初了。如果她能在骨质疏松早期,特别是在第一次椎体骨折前就接受治疗,那么严重椎体骨折的反复发生以及最终导致的残疾风险可能会显著降低。

病例3 无声无息的骨折

大多数椎体骨折都无明显症状,或是在出现驼背等畸形时被发现,或是通过偶然的检查得以确诊。一位65岁的退休女教师就是在体检时进行胸部X射线检查,发现两处椎体压缩性骨折,才被确诊患有骨质疏松症。回忆病史时,她才想起可能导致骨折的原因。有一次,她从高凳子突然转坐到矮凳子,坐下时没控制好身体,突然觉得背痛,因为症状轻微,所以没在意。还有一次,她在楼下买了一袋10公斤的大米,提重物时姿势不正确,腰背不适,以为是扭伤了。

病例4 骨折并非仅发生在女性身上

当然,骨折并非仅发生在女性身上。虽然男性骨质疏松的发生率低于女性,但随着年龄的增长,男性和女性骨折的风险增加速度趋于相似。特别是在跌倒的情况下,男性也容易出现骨折。比如,一位82岁的老先生在浴室内滑倒,这样的滑倒发生在年轻人身上可能只是皮肤挫伤,但由于臀部着地,他髋部骨折,需要接受手术治疗。还有一位85岁的长期卧床的父亲,有一天,儿子把父亲从床上抱到卫生间洗澡时,父亲突然痛苦地呻吟。结果X射线检查发现,在抱移过程中,父亲的3根肋骨骨折了。在日常照护中,因不当的搬动或转移导致骨折的案例不胜枚举。

骨折离我们并不遥远

对于50岁及以上的女性,尤其是更年期后的女性来说,约1/3会因为骨质疏松而至少发生1次骨折。常见的骨折部位依次是椎体、前臂和髋部。椎体骨折往往没有外伤史,主要由骨质疏松引起,与用力不当或姿势不良(如过度弯曲脊柱)有关,其他部位的骨折则多与跌倒有关。相对年轻的人在跌倒时倾向于向前,用手腕着地来保护自己,而年长的人则更容易向一边跌倒并以臀部着地。因此,前臂骨折在65岁以下的人群中较为常见,而髋部骨折则更常发生于65岁以上的人群。

髋部骨折的后果较为严重,相当一部分患者可能会留下残疾。相关研究显示,20%~30%的患者会在第一年内死亡,近25%的患者需要长期护理,仅有少部分患者能恢复到受伤前的活动水平。尽管骨质疏松的治疗药物和手术技术已有明显改进,但根据近年来的研究,10年间,髋部骨折患者存活率并未见显著提高。

幸运的是,部分骨折是可以预防的。通过尽早筛查和治疗骨质疏松,我们可以减少因骨质疏松导致的骨折的发生。

希望通过本书,你能了解骨质疏松的相关知识,学会预防、治疗和康复的方法,预防初次和再次骨折,获得一个自由无痛的人生。

划重点

◆50岁以上的女性中,近1/3的人会因为骨质疏松而至少发生1次骨折。

◆骨折可能发生在看似健康的中老年人身上,且不仅限于女性出现骨质疏松性骨折。椎体骨折有时可能不会表现出明显的症状。

◆髋部骨折是老年人群残疾甚至死亡的主要原因之一,虽然目前的治疗手段进步了,但髋部骨折的发生率并未降低,因此需要高度关注。

骨质疏松的危险因素

骨骼健康

知识小问答

问:医生说骨质疏松跟遗传有关,但遗传因素无法改变,为什么还要了解家族中骨质疏松的情况呢?

答:虽然我们没办法改变自己的基因,但如果知道家族里有很多人患有骨质疏松症,尤其是父母曾经有过骨质疏松性骨折的情况,那么我们就应该更加积极地关注和维护自己的骨骼健康,如增加钙和维生素D的摄入,以及进行适量的运动等。如果你不确定你的父母是否患有骨质疏松症,那么鼓励他们进行骨密度检查是个不错的办法。骨密度检查可以帮助他们及早确定是否患病,从而及早治疗,同时这也能让你更加了解自己的家族病史。家庭聚会时,你也可以询问年长的亲戚是否做过骨密度检查,让整个家族都重视这个问题,预防骨折。

骨质疏松并不像某些传染病那样无差别地影响人群,它背后有着很多遗传因素,也就是老百姓所说的先天因素,还有许多后天因素,比如饮食和运动等(见表1-1)。了解容易导致骨质疏松的危险因素,是预防和(或)治疗的第一步。我们要坦然接受那些无法改变的先天因素,并努力消除由生活方式和体质因素造成的风险。有些风险显而易见,比如从小乳糖不耐受,因此极少喝牛奶;而另一些因素可能被忽视,如因皮肤问题长期大量使用含激素的药膏,或者40岁前出现绝经。

表1-1 导致骨质疏松的危险因素

不可改变的危险因素

骨质疏松家族史的影响

如果你的直系亲属中有髋部骨折、前臂骨折等与骨质疏松相关骨折的情况,那么你也同样面临着患骨质疏松的风险。遗传不仅影响身高和骨骼大小,还影响峰值骨量和骨微结构等。研究表明,个体间骨量的差异可达60%~80%,其中遗传因素起着主要作用。如果你的母亲有髋部骨折史,而你也是女性,那么你发生髋部骨折的概率是没有髋部骨折家族史女性的2倍以上;如果你的父母都有骨质疏松,那么你出现骨质疏松的概率比父母都没有骨质疏松的人高9倍。

峰值骨量和性别

骨骼健康

知识小问答

问:年轻时没注意骨骼健康,现在还来得及吗?

答:虽说从小打好基础是最好的,但任何时候开始都不算晚。

错过了生长期,更要重视现在的保护。保证摄入足够的钙和维生素D,定期做负重训练,远离烟酒,都是保护骨骼的好方法。

峰值骨量是我们一生中骨骼矿物质含量的巅峰,一般在25-30岁达到,然后随着年龄增长,骨量可能会逐渐降低,具体降低速度因人而异。如果把骨质疏松看作一道数学题,那么可以这样理解:30岁时的最高骨量减去年龄增长和绝经等因素带来的骨量流失,当余下的骨量低于某个特定水平时,就会被诊断为骨质疏松。因此,保持骨量的关键在于两点:年轻时尽量增加骨量储备,年长时则尽量减缓骨量的流失速度。

达到峰值骨量受多种因素影响,其中大部分是天生的,比如遗传、性别和种族等因素,其余部分则归于饮食、运动和生活习惯等。虽然峰值骨量通常在青壮年时期达到,但其中大部分在青少年时期已完成积累。这意味着,父母的骨骼健康对你的影响很大,但你后天的努力也能改变很多,越早行动越好。这如同“骨骼银行”的存款:如果你有个骨骼健康的家族,再加上自己的努力,就能更好地抵御未来可能出现的疾病或药物对骨骼的影响;但如果你起点较低,又没能抓住早期快速增长骨量的机会,即便将来没有加速骨量流失的因素,单单因为年龄增长,你的骨骼健康也可能受到威胁。

达到较高的峰值骨量是预防骨质疏松和骨折的关键。要拥有健康的骨骼,从小就要采取预防措施。确保摄入足够的钙和维生素D,定期进行负重训练,避免吸烟和过量饮酒,都是维持和提升峰值骨量的有效方法。所以,年轻时养成的健康习惯是对骨骼的投资,可以显著降低老年时患骨质疏松和骨折的风险。

骨质疏松在女性中的发病率高于男性,大约每5个患者中有一个是男性。女性骨折的总体发生率也高于男性,这和男性年轻时积累的峰值骨量较多以及女性生理特点等多种因素有关(见图1-3)。随着年龄的增长,虽然骨量都会减少,但男性剩余的骨量通常比女性多。女性进入更年期后,雌激素水平急剧下降,导致骨量流失加快,而男性的雄激素水平下降较慢,骨量流失也相对缓慢。到了70岁后,男性和女性患骨质疏松都变得常见,所以男性也不能忽视骨骼健康。

图1-3 骨密度随性别和年龄的变化关系

剩余骨量=峰值骨量-随年龄增长的骨丢失-绝经骨丢失(女性)

女性早绝经

骨骼健康

知识小问答

问:绝经女性补充雌激素能治疗骨质疏松吗?哪些女性适合补充雌激素呢?

答:雌激素对缓解更年期症状及抗骨质疏松有一定作用。如果你40岁前就绝经了,建议就医咨询,考虑雌激素替代治疗的可能性,因为这不仅可能有益于缓解更年期症状及抗骨质疏松,还能保护心血管和大脑。45岁前绝经的女性,可以去更年期门诊咨询医生,评估是否适合进行雌激素替代治疗。50岁左右自然绝经的女性是否需要补充雌激素,需由医生根据具体情况、个人意愿及风险评估来决定。绝经越早,越需要关注骨骼健康,以延缓骨质流失。

问:月经一停就是绝经了吗?

答:月经停止不一定就是绝经。真正的绝经是指卵巢功能衰竭,月经永久性停止,且雌激素水平显著降低。如果雌激素分泌正常,仅因子宫切除手术导致的月经停止,那么不等同于自然绝经。卵巢功能衰竭导致绝经的原因有很多,包括自然衰老、遗传因素、吸烟、自身免疫问题、染色体异常(如特纳综合征)、手术(如双侧卵巢切除),以及化疗药物对卵巢的损伤等。在未进行子宫手术的情况下,月经停止超过一年通常被认为是自然绝经。

早绝经会增加女性患骨质疏松症的风险。雌激素是女性的保护神,因为在它的保护下,女性患某些疾病的风险相对较低。然而,绝经是女性生命中的一个重大转折点,雌激素水平急剧下降,这使得女性患骨质疏松症的风险显著增加。

雌激素对成年骨骼的作用之一是抑制破骨细胞的分化成熟,并减少其破坏骨骼的活动。同时,雌激素还能促进肠道对钙的吸收,并减少尿钙的排泄。在停经后的最初2~3年,由于雌激素水平下降,骨密度急剧降低。

女性在50岁左右绝经,这一年龄可能因种族、地区等因素有所差异。45岁前绝经通常被认为是早绝经,而40岁前绝经则被称为卵巢功能早衰。早绝经女性比正常绝经女性更容易患骨质疏松,因为她们的骨骼过早失去了雌激素的保护。

女性绝经后最明显的感受通常是雌激素减少引起的不适,如潮热、夜间出汗、睡眠问题、性欲降低和情绪不稳等。但与此同时,骨密度的下降以及血液中坏胆固醇(LDL胆固醇)和尿酸水平的可能上升却往往被忽视。绝经越早,骨量损失越严重,从而可能增加骨质疏松和冠状动脉疾病发生的风险。因此,当女性担心皮肤老化时,同样需要关注骨骼和心血管的健康。

早绝经显著增加了骨质疏松性骨折的风险。瑞典研究人员对733名女性进行了长达11年的研究,结果显示,早绝经女性的骨折率比正常绝经女性高出一半。荷兰的研究也表明,早绝经女性的骨折风险更高。

鉴于雌激素对骨骼的好处,国内外多数医学指南都推荐卵巢功能早衰的女性尽快采用雌激素替代疗法,直到达到平均绝经年龄,也就是50岁。一般来说,接受雌激素替代疗法超过3年的女性,其髋部、脊椎和手臂的骨折风险可以降低一半左右。治疗的前2年内,腰椎骨密度可以增加高达10%,股骨颈骨密度则增加高达4%。不过,停药后骨质流失速度会恢复到绝经后的自然水平。虽然雌激素替代疗法对骨质疏松有明显疗效,但会略微增加患血栓和乳腺癌的风险。虽然风险较小,但医生和患者对此仍有顾虑。目前,围绝经期甚至早绝经的患骨质疏松女性,哪怕利大于弊,接受此疗法的也并不多。

衰老

骨质疏松又被称为“沉默的杀手”。为什么这么说呢?因为骨骼隐藏在皮肤和肌肉之下,成年后其外观通常看不出明显变化。

骨骼也会衰老,而且一直在变化。看似坚硬的骨骼,其实从人们出生开始就不断进行新陈代谢。婴儿时期骨骼含钙量较少,随着年龄的增长逐渐增加,到成年时达到稳定水平。钙在骨骼中不是只进不出,机体对钙边吸收边流失,对骨骼也是边破坏边重建。前面章节提到,骨骼的主要“居民”是成骨细胞、破骨细胞和软骨细胞。破骨细胞先动手,清除老化的骨组织,紧接着成骨细胞在几周内生成新骨组织。年轻时破坏少,重建多,骨量增加;老年时破坏多,重建少,骨量减少。当骨量降到一定程度时,就会出现骨质疏松。骨量流失时,显微结构中骨小梁逐渐变细,失去支撑,骨骼抗外力的能力变弱,骨折风险增加。

激素水平降低会加速骨骼的衰老。绝经后雌激素水平大幅下降,破骨细胞因失去雌激素的抑制而活跃,松质骨减少,骨吸收增加,骨小梁变细、断裂。男性的雄激素水平随年龄增加而缓慢降低,70岁以后雄激素水平明显下降,破骨细胞功能增强。随着年龄的进一步增长,机体吸收和活化维生素D的能力降低,甲状旁腺激素水平升高,骨皮质变薄。

骨骼周围的肌肉也随着年龄的增长而逐渐流失。在骨形成过程中,肌肉的牵拉和重力作用会刺激成骨细胞,促进骨骼的形成。然而,缺少运动或长期卧床会导致骨组织缺乏必要的刺激,此时破骨细胞会变得活跃,骨吸收作用增强,同时成骨作用减弱。在这双重不利因素的影响下,骨量会迅速减少。

老年人的多种疾病也可能对骨骼造成损害。常见的如肝、肾、消化和心血管等多器官疾病,以及这些疾病的治疗药物,都可能导致继发性骨质疏松。

总之,当破骨作用持续大于成骨作用时,骨密度下降,表明骨骼在衰老。衰老会导致骨质疏松,使骨脆性增加。一旦发生骨折,身体就会疼痛、活动受限,甚至可能导致残疾或死亡。骨骼这个看似安静而强大的器官,也会生病,从而威胁我们的健康。骨折发病率随性别与年龄的变化关系如图1-4所示。

图1-4 骨折发病率随性别与年龄的变化关系

可以干预的危险因素
骨骼健康

知识小问答

问:我同时患有糖尿病和骨质疏松,医生建议我通过少吃多动控制血糖,但我的体重已降得很低。听说瘦了容易骨折,我该怎么办呢?

答:不管是糖尿病患者还是骨质疏松患者,体重都建议保持在正常范围内。很多糖尿病患者为了控制血糖,过度控制碳水化合物的摄入,结果体重进一步下降。虽然血糖控制了,但骨骼健康可能受影响。因此,我们应保证充足的蛋白质摄入,合理控制碳水化合物(特别是主食)的摄入,选择新鲜食材,并在保持正常体重的前提下,根据血糖水平调整降糖药物的用量。

问:我偶尔喝点酒,但量不大,为了预防骨质疏松,需要戒酒吗?

答:研究表明,每周酒精摄入量超过100克(g)可能会增加多种健康风险,如肿瘤、心血管疾病、骨质疏松等。如果你没有超过这个量,就不必戒酒,因为少量饮酒在一般情况下对骨密度的影响较小,且有助于调节情绪和改善睡眠。饮酒量少是关键,每周酒精摄入量不能超过100克,或者每天不超过14克,切不可贪杯哦!

问:既然可以适度饮酒,是不是也能少量吸烟呢?

答:不行,需要戒烟!吸烟不仅会降低骨密度,还会增加跌倒和骨折的风险,对女性的影响更大。建议直接戒烟,可以逐渐降低跌倒和骨折的风险。

问:骨折了不就是骨骼断裂了吗?如果不静养,不让骨骼好好生长,骨骼怎么能愈合呢?

答:骨骼愈合需要外界刺激带来的生长信号,而静养缺乏必要的刺激,可能会导致破骨细胞活跃,促进骨吸收和骨量流失。所以,骨折后在局部固定的同时,应积极开始康复锻炼。通过肌肉收缩牵拉,促进局部血流,有助于骨骼更快愈合。

体重过低

骨骼对重力敏感,重力负荷和肌肉收缩会影响骨细胞(主要是成骨细胞和破骨细胞)的功能和代谢,刺激骨生成。体重过轻的人肌肉量少,更容易跌倒和骨折。国际骨质疏松基金会(IOF)将体质指数[体质指数=体重(千克)/身高(米) 2 ]小于19视为骨质疏松的风险因素之一。看到这里,不少体重较重的人可能松了一口气,心想:长胖也并非全然无益。虽然研究表明,随体重增加,男性椎体骨折的风险降低,但肥胖会导致心血管系统、呼吸系统、糖脂代谢、关节等产生一系列问题,因此还是需要将体重控制在合理范围内。

吸烟

吸烟不仅会损害呼吸系统和心血管健康,还会对骨骼造成多重打击。烟草中的尼古丁会妨碍肠道对钙的吸收,而烟草中的各种毒素则会抑制成骨细胞的分化与矿化作用,同时刺激破骨细胞,加速骨吸收。吸烟还会减少肌肉和关节组织的血液供应,增加血栓风险,导致骨骼损伤。此外,烟草中的镉会降低女性的性激素水平,可能导致提前绝经,从而加剧骨量流失。

多项研究表明,吸烟会增加跌倒的风险,是增加骨质疏松和髋部骨折风险的重要因素。而戒烟则可以迅速降低这些风险,特别是髋部骨折的风险。因此,为了你的骨骼健康,还是早点戒烟吧!

过量或长期饮酒

世界卫生组织(WHO)明确指出,喉癌、食管癌、肝癌、结肠癌、直肠癌等,以及糖尿病、癫痫、高血压、中风、冠心病等12种疾病都与饮酒有关。如果每周酒精摄入量超过280g,那么患这些疾病的风险将增加22%。

根据《中国慢性病及其危险因素监测报告(2007)》,“过量饮酒”是指男性一次喝超过5个标准饮酒单位(约125mL高度白酒,或175mL低度白酒,或3瓶啤酒,或750mL葡萄酒),女性一次喝超过4个标准饮酒单位(约100mL高度白酒,或150mL低度白酒,或2.5瓶啤酒,或600mL葡萄酒)。

饮酒量越大,时间越长,患骨质疏松症的风险就越高。酒精进入体内后,会抑制骨细胞的正常代谢,减少骨形成,并影响钙的吸收,加速骨骼中的钙流失。过量或长期饮酒还会抑制性激素分泌,加快骨流失,减少骨形成。同时,还会削弱神经和肌肉的协调性,增加跌倒和骨折的风险。

男性如果发现患有骨质疏松症或出现骨折,酗酒可能是其中的一个因素。因此,控制饮酒量不仅有助于预防多种疾病,还能保护骨骼健康。

运动过少

俗话说“伤筋动骨一百天”,意思是骨折恢复需要时间,但长期静养并非最佳做法。骨质疏松患者骨折后如果长期卧床,可能会导致骨量流失,增加再次骨折的风险。活动不足是导致骨质疏松的重要因素之一。卧床可能会导致患者骨量显著减少,而恢复原有骨密度可能需要数年。卧床时每周骨质丢失1%,但康复时每月只能增加1%,骨量恢复比丢失要慢得多。

现代外科手术强调快速康复,如果条件允许,护士会在手术前一天鼓励你活动,康复医师则会建议你在手术后尽早进行床上活动,第二天视情况下床,有些接受关节置换手术的患者甚至可以清醒地走出手术室。

在运动时,骨骼需要克服重力和肌肉的作用力,这些力会转换成刺激信号,促进骨骼的形成和肌肉的增强,同时也能改善身体的平衡能力。运动还可以提高体内雌激素和雄激素的水平,帮助身体更好地吸收和利用钙。相反,缺乏运动会导致肌肉萎缩、肌力下降、骨量流失,增加骨折的风险。

高盐饮食和低盐饮食

我们平时吃的盐,大多数是做饭时加进去的,还有一些藏在各种加工食品和包装食品里,在不知不觉中也增加了我们的盐摄入量。《健康中国行动(2019-2030年)》建议,健康成人每天的盐摄入量要控制在5g以下。可现实是,我们平均每天的盐摄入量高达10.5g,是《健康中国行动(2019-2030年)》建议目标的两倍多!

大家都知道,盐吃多了会增加患高血压、脑卒中和胃癌等疾病的风险。但你可能不知道,吃盐多了还会让骨骼变脆,更容易患骨质疏松症。研究表明,盐吃多了,钙会跟着尿液流失得更多。不过,摄入盐太少也不行,对骨骼不利。最新研究显示,每天盐摄入量过低(如少于2g),可能会激活肾素-血管紧张素-醛固酮系统(RAAS),间接影响骨质健康,让破骨细胞活跃起来,抑制成骨细胞的活动,增加骨质疏松的风险。

所以,盐摄入应适量,保持平衡,这对骨骼有利。

疾病对骨密度的影响

骨骼健康

知识小问答

问:是不是所有的慢性病都会增加患骨质疏松症的风险?

答:并不是所有慢性病都会增加患骨质疏松症的风险,比如高血压、高血脂等慢性病与骨质疏松的直接关联并不明显,而高尿酸可能与骨代谢有一定关系,但其影响复杂。肥胖和多囊卵巢综合征对骨代谢甚至还可能有一定好处。所以,如果你患有骨质疏松,同时还患有其他慢性病,应该让医生帮你评估骨折的风险。

许多慢性病会影响骨密度,尤其是那些影响激素水平、胃肠道吸收、增加全身炎症反应、干扰免疫或损害神经肌肉的疾病,这些疾病可能对骨骼产生不良影响。病情越严重,持续时间越长,影响就越大。这些疾病主要有以下几类。

内分泌代谢性疾病:库欣综合征、糖尿病(Ⅰ型、Ⅱ型)、甲亢和甲状旁腺功能亢进症。

消化系统疾病及手术:炎性肠病、原发性胆汁性肝硬化、胃肠手术、减重手术、小肠吸收不良综合征、慢性胰腺炎等。

自身免疫性疾病:类风湿关节炎、系统性红斑狼疮、强直性脊柱炎等。

低性腺功能状态:卵巢早衰(40岁之前因卵巢功能衰退而绝经)、雄激素不敏感综合征、神经性厌食、运动性闭经、高泌乳素血症、全垂体功能减退症等。

神经、骨骼、肌肉疾病:癫痫、多发性硬化、帕金森病、脊髓损伤、肌营养不良等。

血液系统疾病:多发性骨髓瘤、血友病、淋巴瘤、白血病、地中海贫血、镰状细胞贫血、系统性肥大细胞增多症等。

遗传性疾病:囊性纤维化、糖原累积病、成骨不全、戈谢病和血色病等。

骨骼健康

知识小问答

问:如果我已经被诊断为骨质疏松,但专科医生还是给我开了会影响骨密度的药物,该怎么办呢?

答:并不是所有专科医生都了解药物对骨代谢的影响。如果你发现这个问题,建议先咨询开药的专科医生或骨质疏松专科医生,问问药物要用多长时间;另外,是否有其他效果类似但对骨代谢副作用更小的药物。如果需要长期使用药物,记得告诉你的开药医生或骨科医生,让医生综合考虑治疗方案。

长期服用药物对骨密度的影响

随着年龄的增长,疾病和并发症也会增多,老年人通常要同时服用多种药物。虽然大多数药物不会直接导致骨质疏松,但有些药物长期使用可能会降低骨密度或增加骨折风险(见表1-2),因此在使用这类药物时需要咨询专科医生。

糖皮质激素(类固醇激素): 也就是我们常说的激素。口服糖皮质激素,如可的松、强的松和地塞米松,可能导致骨量流失,尤其对椎体骨密度和骨微结构的影响最大。剂量越大,时间越长,对骨的损害越大。即使是小剂量,比如每日5毫克(mg)强的松,连续服用超过半年也会明显降低骨密度。因此,低骨量或骨折患者如果为了治疗其他疾病而预计需要服用激素超过半年,则需要考虑同步使用抗骨吸收药物。用药前和用药期间,每半年检测一次骨密度,定期随访。如果需要长期使用激素,建议养成有利于骨骼健康的生活方式,比如戒烟、高钙饮食和规律运动。

甲状腺素: 甲状腺癌手术后,为了替代切除的甲状腺组织的功能,通常需要补充一些甲状腺素,量比正常稍多一些,但长期使用可能导致骨量减少和骨折。

抗凝血药: 研究发现,长期(数年)使用肝素和华法林可能增加患骨质疏松症的风险。所以,像使用糖皮质激素一样,开始治疗前要测量骨密度,并定期检查。

抑酸剂: 这类药物常用于治疗胃部疾病或抗幽门螺杆菌感染,如奥美拉唑、泮托拉唑、埃索美拉唑等。短期使用影响不大,但长期和大剂量使用会降低胃酸水平,减少钙吸收,进而降低骨密度,可能增加骨折风险。

抗乙肝病毒药物(阿德福韦酯): 这种药物会促进肾脏排出磷,长期使用会导致骨密度降低和低磷骨软化。

抗抑郁药物: 像百忧解、赛洛特这类选择性血清素再摄取抑制剂,虽能调节情绪,但可能会影响骨骼健康。它们可能影响骨骼健康,但具体机制可能因药物而异,包括但不限于影响肠道对钙的吸收。此外,抗抑郁药还可能让人变懒,不想出门,减少户外活动,导致阳光照射不足,进而影响维生素D的合成,从而影响骨骼健康。

化疗药物: 某些化疗药物虽能杀死肿瘤细胞,但也可能影响骨密度和增加骨折风险。它们可能影响骨骼健康,具体机制可能包括抑制成骨细胞活性、促进破骨细胞活动等,但并非所有化疗药物都通过相同机制起作用。同时,化疗药物还可能影响性腺功能,降低性激素水平,并抑制食欲,减少钙和维生素D的摄入。

肝素: 这种用于治疗血栓的药物可能会增加骨质流失的风险。

抗癫痫药: 部分抗癫痫药可能会导致骨质流失,具体原因尚不完全清楚,可能与加速维生素D的代谢有关,从而影响骨骼健康。

免疫抑制剂: 长期使用这些药物可能影响骨密度,增加患骨质疏松症的风险。

疾病本身可能会导致骨质疏松,而用于治疗这些疾病的某些药物也可能会导致骨质疏松。重要的是,长期或不当使用这些药物可能会增加骨折风险,但为了治疗疾病又不得不用。如果你有上述药物的用药史,或正在使用这些药物,需要特别注意,及时跟医生沟通。

表1-2 诱发骨质疏松的常见药物

驼背与骨质疏松的关系

骨骼健康

知识小问答

问:家人发现我最近几年开始有点驼背,但没有其他症状,是不是发生了椎体骨折?

答:不一定。虽然椎体骨折可能会导致驼背,但肌肉退化和椎间盘变性等也可以引起驼背。如果担心,建议去医院做骨密度检测、胸腰椎侧位X射线检测或椎体骨折评估,以确认是否存在骨质疏松或椎体变形。椎体骨折很常见,但如果漏诊,可能会反复发生,因此要尽早确诊。

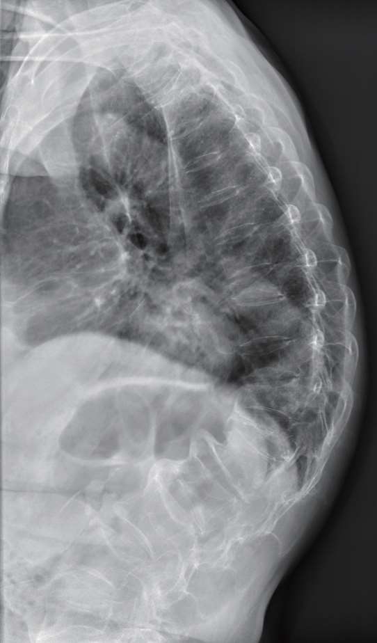
弯腰驼背也是导致椎体骨折的常见原因之一。最初的微小骨折会引起疼痛,随着时间的推移,这些微骨折会不断加剧,最终导致椎体发生可能缓慢发展的压缩性骨折(见图1-5)。多个椎体前端塌陷,导致脊柱弯曲畸形,最终形成驼背。

图1-5 压缩性骨折(胸腰椎侧位X光片)

注:患者为70岁女性,因为双侧背部疼痛一周到医院就诊,拍片提示胸椎、腰椎多个椎体出现了压缩性骨折,整个脊柱后凸变形。

除了骨折外,老年人的肌肉强度和柔韧性也会下降,特别是腹部和背部的肌肉支撑力减弱,导致难以保持良好的挺直姿势。随着年龄的增长,脊椎的椎间盘和关节也会发生退化,这些因素共同作用可能导致驼背和身高变矮。

早发现早诊断,患者不仅可以尽早用药治疗,还能学习防止骨质疏松性骨折的正确姿势,避免因不良姿势和运动造成的损伤。

腰背疼痛与骨质疏松的关系

骨骼健康

知识小问答

问:我的腰背疼痛跟用力不当有关,比如拖地、擦窗户或者是搬重物,休息后就会缓解,是不是就不需要去医院检查了?

答:单靠症状来判断疾病不太准确,因为很多疾病都会引起腰背疼痛。骨质疏松是腰背疼痛的常见原因,且可能导致骨折,因此需要重视并进行检查。此外,虽然不良姿势导致的局部肌肉和软组织损伤也会引起腰背疼痛,但骨质疏松同样是一个重要的考虑因素。按摩、贴敷甚至口服止痛药能缓解疼痛,但这只是治标不治本。长时间的腰背肌肉劳损可能会引发筋膜问题、椎间盘甚至椎管的问题。因此,及时去医院检查,在治疗潜在疾病的同时学习如何稳定脊柱和锻炼腰背肌肉,才能真正解决腰背疼痛的问题。

疼痛是骨质疏松的主要症状之一,也是常见的早期症状。在门诊中,相当比例的腰背疼痛的老年人,疼痛部位通常在下腰背,但没有固定的位置。

骨质疏松的根本问题是骨量减少,伴随着骨骼微结构的改变,骨骼抵抗外力的能力下降,变得脆弱,容易骨折。骨骼发生微小骨折或骨小梁断裂时会引起疼痛。轻微的骨质疏松可能不会有其他严重的不适,但严重时患者常会感到腰背疼痛或全身骨痛。骨痛通常是弥漫性的,没有固定的位置。医生按压背部时,发现疼痛点或疼痛区域并不固定。疼痛常因劳累或活动后加重,影响日常家务劳动。很多患者抱怨站久了难受,更喜欢坐着或躺着。

持续的腰背痛是骨质疏松的主要症状之一,若持续出现应及时到医院就诊,因为骨质疏松可能在很长一段时间内都是隐匿的、无症状的,疼痛的发作可能提示某椎体的塌陷或骨折。当然,还需要进一步排除其他疾病,比如骨骼肌肉、椎间盘、内脏器官的炎症、肿瘤、缺血性坏死等。

牙齿脱落与骨质疏松的关系

骨骼健康

知识小问答

问:我的牙齿很好,一颗都没有脱落,是不是就不会有骨质疏松了?

答:牙齿脱落与多种因素有关,包括口腔健康环境、全身骨密度、年龄、遗传因素等。牙齿好说明你平时注重口腔卫生,牙齿周围没有明显的炎症,但这并不能直接说明你的下颌骨骨密度一定正常。骨密度在全身不同部位是不同的,诊断骨质疏松主要通过测定腰椎和髋部的骨密度。因此,即使下颌骨骨密度正常,腰椎和髋部的骨密度可能已经降低,甚至达到骨质疏松的程度。牙齿好并不能排除骨质疏松的可能,而早期的牙齿脱落则可能提示骨质疏松。

牙齿脱落与牙齿周围的牙槽骨被吸收有关,牙槽骨松动后,牙齿容易在压力下脱落。牙槽骨是指支撑牙齿的那部分骨骼。牙槽骨被吸收的最主要原因是慢性牙周炎,这种炎症由牙菌斑中的细菌引起,会导致破骨细胞溶解吸收牙槽骨。全身性的骨质疏松也可能影响下颌骨,增加牙齿脱落的风险,特别是严重骨质疏松患者。如果你有很多牙齿松动,应该进行DXA骨密度检查,以尽早发现骨质疏松。

还有一些不良生活习惯或疾病也可能导致牙齿脱落,比如营养不良、糖尿病、类风湿性关节炎、吸烟、不良的口腔卫生等,而这些疾病本身也是骨质疏松的危险因素。

要减少牙齿脱落,首先要养成良好的口腔卫生习惯,消除含有细菌的牙菌斑。良好的口腔习惯还能最大限度地降低使用抗骨吸收药物后下颌骨坏死的风险。此外,骨质疏松得到有效治疗后,全身骨量增加,惠及牙槽骨,牙齿脱落率也会降低。

骨质增生与骨质疏松的区别

骨骼健康

知识小问答

问:除了骨质疏松,医生还说我有骨质增生,这该怎么办?

答:这两种疾病常常会同时出现。骨质疏松与年龄增长、遗传因素、内分泌因素、生活方式等多种因素有关,而骨质增生除了跟年龄有关,还与慢性劳损和不良姿势有关,首先需要骨科医生评估骨质增生的严重程度。轻度增生一般只需对症处理,而严重的膝关节、踝关节、骨关节炎或压迫神经的脊柱骨质增生可能需要手术。骨质疏松则需要通过抗骨质疏松药物治疗,这两种疾病的治疗并不冲突。

虽然骨质增生和骨质疏松都与年龄增长有关,且经常同时出现,但它们的成因却不同。

骨质疏松与年龄增长、钙质流失、遗传、内分泌、生活方式等多种因素有关。而骨质增生通常是关节退化或慢性损伤,导致骨细胞异常增生,形成骨赘或骨刺。这与长期使用不良姿势、过度负重或关节磨损有关。骨质增生是关节退化或损伤的结果,并非机体的保护性反应。

骨质增生是骨骼形态异常的一种表现。在X光片上,常常可以看到骨骼边缘出现突起。这些突起若呈尖刺状,则称为骨刺,也可能呈圆形、波浪形、梭形或不规则形状。骨质增生可以向骨骼外生长(骨刺),也可以向骨髓腔或其他骨管腔内生长,椎管狭窄就是由于骨质向椎管内增生。

患者可能因为疼痛去拍片,偶然发现骨质增生或生长了骨刺。骨刺的存在与疼痛强度不一定有直接关系,如果局部疼痛,可能与局部炎症反应有关。推拿、针灸、局部理疗等方法可以有效缓解疼痛,但骨刺依然存在。通常情况下,如果没有神经和血管压迫,就不需要进行手术治疗。

有两个常见部位的骨质增生可能会影响日常生活,严重时需要进行手术治疗。一个是膝关节,表现为慢性膝关节骨关节炎;另一个是脊柱增生,可能导致椎管狭窄,压迫神经。

膝关节骨关节炎

你可以把它想象成身体零件随使用时间的增加而出现的磨损现象。就像一辆车随着使用时间的增加,引擎开始出现问题,轮胎会磨损,身体也是类似的。举个例子,关节退行性改变通常表现为关节软骨的磨损。软骨是帮助关节顺畅运动的弹性组织,就像关节的“减震垫”。随着时间的推移,这层“减震垫”可能会变薄或损坏,导致关节不再灵活,甚至出现疼痛,这就是我们常说的关节炎。关节内的组织随时间的推移逐渐被破坏,包括软骨、肌肉、韧带等,这些组成部分会共同受损。

那么,是什么原因加速我们关节的磨损老化呢?

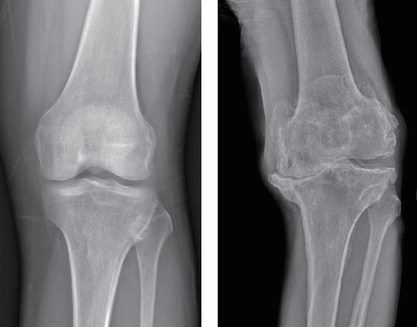
每个关节面都有软骨,它维持着关节活动的灵活和润滑,但关节软骨在损伤后修复能力有限。关节长期异常承重(如肥胖)、磨损(如长期不恰当的运动姿势)、外伤等,都会导致关节软骨变薄甚至消失。关节边缘的骨可能异常增生,破坏关节内的正常结构,从而出现疼痛、肿胀和关节活动受限。正常膝关节与慢性膝关节骨关节炎对比(X光片)如图1-6所示。

图1-6 正常膝关节与慢性膝关节骨关节炎对比(X光片)

注:左图是正常膝关节,右图是慢性骨关节炎患者的膝关节。可以看到,正常膝关节在X光片下显示均匀的关节间隙,这是由健康的关节软骨造成的。而慢性膝关节骨关节炎患者的膝关节间隙消失,关节周围骨赘形成,还出现了关节变形。

骨关节炎轻微时,可能不会影响日常活动,但你可能会在活动时听到关节发出轻微但不和谐的响声,严重时则可能导致显著的疼痛和残疾。早期症状通常为关节疼痛,并在休息或不活动后感到僵硬。受影响的关节包括手、膝盖、髋关节、颈部和下背部。随着骨关节炎的发展,关节周围的血供可能会减少,导致关节腔内的营养物质不足,软骨的修复能力降低。需要注意的是,软骨的修复能力有限,特别是关节软骨,一旦严重损伤,很难完全恢复。缺乏活动和肌肉无力会对关节造成更多压力,使关节病变进入恶性循环,关节逐渐失去正常形状。关节边缘的骨赘或骨刺形成后,如果压迫神经或干扰关节的正常运动,可能会导致更加严重的疼痛或不适。骨的形状也可能改变,骨或软骨的碎片脱落并在关节腔内漂浮,可能会造成更多损害。

用药方面,骨质增生和骨质疏松的治疗可以并行,但具体药物使用需在医生指导下进行,因为这两种疾病的病因和治疗重点不同。运动、合理控制体重、摄入优质蛋白和富含维生素D及钙的饮食对这两种疾病的管理都是相似的。

需要特别注意的是,长时间不运动会对运动系统造成极大伤害。越早开始适宜的运动,越有利于预防骨质疏松和骨关节炎。不过,并不是所有情况下都应继续运动,特别是当关节受损严重时,应在专业医生的指导下进行适当运动,避免进一步伤害。

现在开始健康骨骼行动,保护我们的膝关节和踝关节吧!

◆保持合适的体重:体重过重会增加膝关节和踝关节的压力,导致它们过早磨损。通过健康饮食和适量运动保持健康体重,可以减轻关节负担,预防关节炎和其他关节问题。不过,体重过低,比如消瘦(体重指数低于19 kg/m 2 ),可能导致骨密度下降,增加骨折风险。

◆减少运动所致的关节损伤的措施包括:

(1)运动前要充分热身,热身可以提高肌肉和关节的温度和柔韧性,降低运动中受伤的风险。热身应包括低强度的有氧运动和拉伸运动。

(2)穿戴适宜的护具,特别是在进行对膝关节或踝关节有压力的运动时,比如慢跑、跳绳等,适当的护膝或护踝可以提供额外的支持和保护。

(3)避免高冲击和重复性施加压力的活动,如长时间跑步、跳跃等。可以选择低冲击运动,如游泳或骑自行车,这些活动对关节的影响较小。

◆增加肌肉训练,提升关节的稳定性。肌肉是关节稳定性最重要的保障,通过力量练习可以强化膝关节和踝关节四周肌肉,提高关节稳定性,减少受伤风险。强壮的肌肉也可以刺激成骨细胞,减缓骨质流失。

◆定期进行关节灵活性和稳定性的训练:练习瑜伽或太极,有助于提高关节的灵活性和全身的平衡能力,不仅能防止运动对关节的损伤,还能帮助预防跌倒。

脊柱骨质增生

脊柱是人体的重要支撑结构,由于脊柱受力不均和某些部位运动幅度大,成为骨质增生的高发部位。其中,最容易受影响的是颈椎和腰椎。颈椎骨质增生的症状包括颈部僵硬、活动受限和有时出现的颈部活动时的弹响声。疼痛常向肩部和上肢放射,手和手指可能会麻木,有触电般的感觉,颈部活动会加重症状。不同病变累及不同部位,会出现不同的症状,严重时压迫神经甚至可能导致瘫痪。不过,这种情况较为少见,大多数患者不会发展到如此严重的程度。

腰椎骨质增生的症状包括腰椎及腰部软组织的酸痛、胀痛、僵硬和不适,严重时弯腰受限。如果邻近的神经根受压,会引起相应的症状,如局部疼痛、发僵、神经痛和麻木等。如果压迫坐骨神经,可引起坐骨神经受压,导致患肢剧烈的麻痛、灼痛、抽痛,疼痛会向整个下肢放射。

如果出现麻木或超出局部范围的疼痛,应当及时就医。

划重点

◆骨骼是一个非常活跃的组织,一辈子都在不断更新。破骨细胞就像拆迁队,负责吸收和溶解旧骨头;而成骨细胞则像建筑师,合成胶原并让钙和磷在上面沉积,形成新骨头。可是,如果新骨头的建造速度赶不上旧骨头的拆除速度,骨量就会逐渐减少,最终导致骨质疏松。

◆骨质疏松性骨折,也叫脆性骨折,是由轻微的外力引起的骨折。比如,从不超过自己身高的位置摔倒导致的骨折。

◆我们需要了解那些容易导致骨质疏松的危险因素,包括有骨质疏松家族史、女性在45岁前绝经、服用影响骨代谢的药物,以及患有某些疾病等。

◆为了预防骨质疏松,我们需要从现在开始改变能够改变的危险因素,比如保持正常体重、戒烟、限制饮酒以及加强负重运动。

◆骨质增生和骨质疏松是两码事,预防和治疗的方法也完全不同。除了保护骨骼,我们还需要关注髋关节、膝关节和脊柱的健康。 StvOlO9VinvkcunwlNK/V9dTv7IjoUvd62VPe1tWtDYzl6SX+m+9MnQk6BNgSqmI

点击中间区域
呼出菜单
上一章
目录
下一章
×