



一位 35 岁的商界精英,平素身体健康,在公司例行体检时,查胸部CT提示右上肺结节影。然而,患者并没有咳嗽、咳痰,也没有咯血、胸痛,更没有呼吸困难。患者随即来到上海市肺科医院就诊,接受了呼吸内科门诊医生诊治。医生建议其进行支气管镜检查,患者向主诊医生提出疑问:“医生,平常我身体健康,规律饮食作息,经常健身,我觉得自己没有病啊,为什么要做支气管镜?”
相信不少人在体检或者就医过程中遇到过这样的情况,心里难免犯嘀咕。其实,有些疾病发生的早期,并不会引起患者不适,因此容易让人忽视而错过就诊的绝佳时机。接下来,就用简单易懂的语言给大家解释一下,即使您感觉身体健康,有时候医生仍建议您做支气管镜检查的原因。
相对于胃镜、肠镜而言,大家对于支气管镜的了解和认知相对要少很多;而且,胃镜可能大家日常生活中常常能接触到,而支气管镜相对而言接触较少。1968 年,日本国立癌症中心气管食管镜室主任池田茂人向世人介绍了纤维支气管镜,由此支气管镜的检查范围才真正覆盖了气管和支气管,并开始在临床中逐渐开展。现在常用的为电子支气管镜,具有可弯曲、管径较细、图像更清晰的特点,医生可在支气管镜引导下进行各种检查和内镜下治疗。
支气管镜有什么用途呢?哪些患者适合接受支气管镜检查呢?其实支气管镜的构造和检查方式与胃肠镜相比非常相似,只是检查的部位不同罢了。随着医学技术的不断进步,支气管镜检查早已成为呼吸内科医生不可或缺的诊疗技术。即使您主观上觉得自己“没病”,医生仍建议做支气管镜检查通常是为了防患于未然,寻找不明症状的根源,全面评估疾病影响,或是为了密切监测治疗效果及并发症。支气管镜作为一种直观且相对安全的检查手段,能在许多情况下提供宝贵的临床信息,有助于医生为您提供更准确、个性化的诊疗服务。
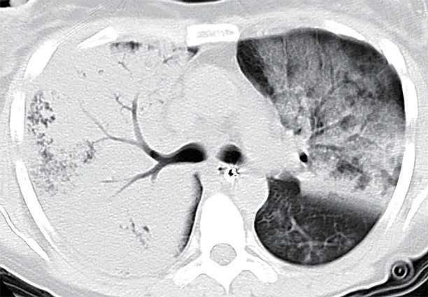
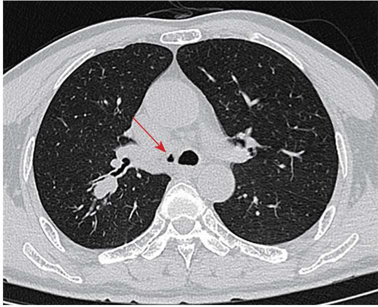
1.高风险人群: 对于肺癌高风险群体,如长期吸烟者、有家族肺癌史者、长期接触职业粉尘者等,医生会建议行胸部CT检查作为早期筛查手段。某些肺癌早期可能没有明显症状,而CT可以直接发现肺部微小的异常变化,可以发现新出现的肺结节或纵隔异常。当肺部结节增大时,可能出现压迫支气管,导致支气管狭窄。如果临床高度怀疑肺癌,医生常常会建议患者做支气管镜检查,可以在支气管镜下发现气管肿瘤病变,这样有助于早诊早治,大大提高治愈率。
胸部CT显示肺部结节和支气管狭窄(箭头所指)
支气管镜下发现气管肿瘤病变
2.持续性咳嗽: 即使您自认为“没病”,但如果持续咳嗽、咳痰,尤其是无明确病因的慢性咳嗽,医生也可能会建议做支气管镜来排除气道内疾病,如炎症、结核、肿瘤等。有时候,看似普通的咳嗽可能是潜在严重问题的早期信号。
3.肺部感染: 肺部感染的病因多样,可能是细菌、病毒、真菌或其他微生物引起的。有些重症肺炎,如大家熟悉的“白肺”,通过支气管镜获取下呼吸道分泌物进行涂片、培养或分子生物学检测,可以帮助医生准确判断感染的具体病原体,从而指导针对性的抗生素或抗病毒治疗,避免盲目用药。对于某些难以自行咳出痰液的患者,尤其是那些咳嗽反射弱、免疫力低下或有吸入性肺炎风险的人群,支气管镜可以直接进入气道,清除深部的痰液和分泌物,减少感染负荷,促进病情好转。
双肺肺炎,双肺图像就像大家熟悉的“白肺”。左肺呈大片实变,右肺为大量磨玻璃渗出影
1.异物吸入: 如果近期有异物(如食物、小物件)误吸入气道的病史,即使当下没有明显不适,医生也可能会建议做支气管镜检查,以确保异物已排出或安全移除,防止后续引发感染或其他并发症。
支气管异物:鱼刺
2.其他系统疾病关联: 某些非呼吸系统疾病,如胃食管反流病、自身免疫性疾病等,可能会引起气道炎症或结构改变。医生可能会推荐支气管镜检查来评估这类疾病的肺部表现,以便全面了解病情,制订更精准的治疗方案。
1.手术或治疗后复查: 如果您曾经做过胸部手术(如肺部手术、纵隔手术等),或者正在进行针对肺部疾病的治疗(如放疗、化疗、生物靶向治疗等),医生可能会定期安排支气管镜检查,监控治疗效果,及时发现并处理可能的并发症,如狭窄、感染、复发等。
2.移植术后监测: 对于接受肺移植的患者,支气管镜检查是常规随访项目之一,用于监测移植肺的功能状态,识别并处理排斥反应、感染等问题。
相信通过上面的简要介绍,大家都对什么样的情况需要做支气管镜检查有了一个基本的了解。