



主 编
王乃平 全克违
副主编
邓高丕 程晓榆
编 委
(排名不分先后)
杜三维 陈丹华 杨 凌 关凤梅
卢丽芳 黄丽晖 梁玉莲 谢卓庭
戚 越 江 红 赵春景 宫喜双
宁为民 彭剑虹 黄淑玲 袁丽君
李换弟 黄林石 薛娟珍 庄春霞
刘娓娣 吕慧贤 黄雪梅 宋颖慧
杨恒生 马丹丹
基金项目:广东省中医药局科研项目(20211408)
广州中医药大学东莞医院(东莞市中医院)妇产科是广东省“十三五”中医药重点专科、东莞市妇科重点专科、粤港澳大湾区中医妇科联盟单位、华南中医妇科联盟成员单位,所在医院为“爱婴医院”。现有床位78张,专家团队成员40余人,是一个技术力量雄厚,诊疗设备先进,集医疗、保健、教学、科研于一身的妇产专科。妇产科团队紧跟国际指南,不忘传统中医技术。在诊疗上,中西医并重,突出中医特色,综合运用中药保留灌肠、针灸、耳穴压豆、中药热罨包、沐足、穴位敷贴、手指点穴催产、火龙灸等多种疗法,中西医结合治疗各种妇产科疾病,积极开展孕前产后妇女的中医身体调理、产后中医催乳等,对孕产妇进行全面、细致、专业的调理指导,为女性的健康和美丽保驾护航!
东莞市中医院妇产科
单手进针法
指切进针法
夹持进针法
舒张进针法
提捏进针法
子宫肌瘤磁共振图
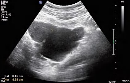
输卵管系膜囊肿扭转超声图
卵巢浆液性乳头状瘤
卵巢甲状腺肿