



冠状动脉内斑块旋磨术(rotational atherectomy,RA)是根据“差异切割”或“选择性切割”的理论,采用呈橄榄形带有钻石颗粒旋磨头的导管,在冠状动脉内用机器带动旋磨头以(13.5~18)×10 4 转/min的高转速,选择性地去除纤维化或钙化严重的动脉硬化斑块,将其碾磨成比红细胞还细小的微粒,而遇有弹性的血管组织时,高速旋转的旋磨头会被弹开,即旋磨头不切割有弹性的组织和正常冠状动脉,只去除阻塞血管腔的斑块,从而减少斑块对药物洗脱支架的剐蹭,有效改变斑块的顺应性,便于支架的输送,有利于支架充分扩张和贴壁,改善患者远期治疗效果,是临床上应用较多的一种去除粥样硬化斑块的手段。PCI中使用RA,可显著提高复杂血管病变患者的手术成功率。
(1)血管内膜严重钙化病变。
(2)球囊无法通过或无法充分扩张的病变。
(1)旋磨导丝无法通过的病变。
(2)明显富含血栓的病变。
(3)静脉桥血管病变。
(4)大于90°的成角病变。
(5)严重螺旋性夹层。
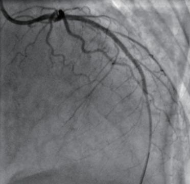
(1)常规经桡动脉穿刺行冠状动脉造影(图1-3-1)。
(2)造影完成后,评估血管情况,根据血管病变情况及冠状动脉血管大小选择型号合适的强支撑指引导管及旋磨头。连接旋磨仪器各管道,进行体外测试,确保旋磨头转速、旋磨仪器声响正常。
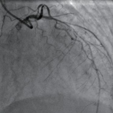
(3)指引导管到位后,根据患者的体重使用肝素钠,肝素钠总量为每千克体重100U。然后经指引导管送冠状动脉旋磨导丝通过病变部位到达血管腔远端(图1-3-2),沿旋磨导丝以低转速方式送旋磨头至病变前端,开启旋磨液开关以保证旋磨液持续加压灌注,转换旋磨转速为高速,操纵推进器推送旋磨头至斑块处,以啄木鸟式慢进快出进行斑块的旋磨。
(4)将斑块磨通后选择型号合适的支架覆盖病变部位,再予高压球囊充分扩张支架,如造影显示支架与血管壁贴合紧密(图1-3-3),血管腔内血流通畅,血管壁完好,无造影剂滞留、渗出,冠状动脉各分支完好,患者不适症状减轻或消失,则撤出各导丝及导管,予桡动脉压迫止血器压迫穿刺口,手术结束,护送患者安返病房。
经股动脉穿刺行RA时,手术步骤基本与经桡动脉穿刺相同,不同之处在于经股动脉穿刺手术结束退出所有导丝和导管后,需协助术者按压股动脉穿刺口或予血管缝合器缝合股动脉穿刺口,然后予弹力绷带或弹力胶布加压包扎穿刺口,再护送患者安返病房。
图1-3-1 冠状动脉狭窄造影
图1-3-2 旋磨头通过冠状动脉狭窄处的造影
图1-3-3 旋磨术后冠状动脉支架置入后的造影
导管室要求环境安全、宽敞清洁、光线明亮、温湿度适宜,空气消毒机正常运行,屏蔽设施完好。
(1)手术前一天晚上以空气净化机净化、消毒导管室空气。使用消毒液擦拭导管室所有物品,包括手术床、加药治疗台、手术用长车等。
(2)保持室内温度22~25℃,湿度55%~60%。
(3)控制导管室人员,严防交叉感染。室内人员包括手术主刀医生1人、助手2人、跟台护士1人、跟台放射技师1人,总人数不超过5人。
(1)评估患者的病情、意识、合作程度。术前建立左上肢的静脉通道,以备术中使用。
(2)患者手术知情同意书必须由手术主刀医生、患者及患者家属签署全名,且签署时间要具体到分钟。
(3)评估患者已完善的一般检查,包括血常规、血生化、凝血指标、肝炎标志物、艾滋病(AIDS)抗体、梅毒螺旋体抗体,以及心电图、胸部X线,尤其要让患者完成多普勒超声心动图检查,以了解其心功能情况。
(4)查看患者生命体征、吸烟史、过敏史、家族史、既往史。了解其有无心律失常或心肌梗死等其他心脏疾病,有无消化道出血史、血管重建史、其他手术史,抗血小板药物的使用是否充足。
(5)查看患者皮肤准备情况,评估手术区域皮肤是否完整,有无备皮,有无皮疹及过敏。
(6)评估患者带入管道(包括中心静脉通道、外周静脉通道、胃管、导尿管及其他各种引流管)有无堵塞、折叠,以及引流物的颜色、性状和量。
见表1-3-1。
表1-3-1 冠状动脉内斑块旋磨术中常用物品准备
见表1-3-2。
表1-3-2 冠状动脉内斑块旋磨术中常用药品准备
包括DSA机、高压注射泵、心电监护仪、血流动力学监测系统、旋磨仪器、中心吸氧吸痰装置、抢救车、除颤仪、ACT监测仪、临时起搏器、IABP机、呼吸机,IVUS成像系统、OCT机。
(1)与病房护士规范交接。核对患者身份,包括病区、床号、姓名、住院号、年龄、性别、疾病种类、手术名称、手术方式、手术日期、手术医生。
(2)向患者及家属做好术前宣教,简要告知手术过程及手术所需时间。确认患者已脱除内衣裤、活动心电监护仪,卸除身上所有饰物及义齿,排空大小便,着病号服,更换导管室室内鞋,戴无菌口罩及帽子进入导管室。
建立静脉通道,连接心电监护仪,心电连接线注意避开胸腹部X线透射区域,以免干扰手术进程。连接高压连接管及高压注射器套件,确保管道内无残留气泡、接口连接紧密,并校准零位后使用,予患者吸氧,进行血氧饱和度监测。
(1)开启无菌手术包,合理摆放包内各种物品,按需向治疗盆内倒入0.9%氯化钠注射液500mL和肝素钠注射液3000U,分别在标有利多卡因、肝素钠、硝酸甘油的杯子中加入配制好的相应药物。
(2)协助术者穿手术衣。开启耗材前与术者核对耗材名称、有效日期、型号,开启时注意勿污染材料内面,避免跨越无菌区域,开启后及时记录,并张贴所用材料二维码。打开各种材料和物品,根据需要依次递送给术者,所有操作严格遵守无菌原则。
确保手术床平整,协助患者取仰卧位,解开患者衣扣,以利于术中情况紧急时予以施救。穿刺桡动脉者,穿刺侧上肢稍外展并使用托手板支撑,与身体成45°夹角,手臂固定在托手板上,暴露患者肘关节以下部位皮肤。穿刺股动脉者,协助将其裤子褪至膝关节以下,充分暴露患者的腹股沟处皮肤,并注意保护患者隐私及保暖。嘱患者双手自然放松,放在身体两侧,勿放在胸腹部或腹股沟位置,以防术中影响X线透射,双腿自然伸直放松,略微展开,勿并拢,术中保持安静,勿随意移动,以免影响手术穿刺、进管等操作。
见表1-3-3。
表1-3-3 冠状动脉内斑块旋磨术中特殊耗材准备
(1)桡动脉入路消毒:协助患者穿刺侧上肢上举,然后从穿刺口开始消毒患者前臂至肘关节皮肤,以及其整个手掌、手背、手指及指缝。用两个消毒刷分别涂擦一遍。
(2)股动脉入路消毒:消毒双侧腹股沟,以穿刺口为中心向周围涂擦消毒液,范围上至腹部平脐位置,下至大腿中上1/3处,向内均达下肢前后中线,最后是会阴部。用两个消毒刷分别涂擦一遍。
铺巾时既要显露穿刺口,又要尽量减少穿刺口周围皮肤的暴露。遵循先近后远的原则,避免污染术者胸前无菌区域。穿刺股动脉的患者,消毒其皮肤后,先拿一条消毒治疗巾将其会阴部遮盖,取三块长方形治疗巾对角铺在手术区,沿腹股沟内侧斜形对铺为三角形后全身铺无菌大单,上至患者颈部,下至导管床,全部覆盖。
术中严密监测患者的心律、心率以及有创动态血压的变化。在旋磨过程中,旋磨头可堵塞血管影响冠状动脉血流,旋磨后脱落的碎屑可能堵塞远端细小血管,影响微循环血流,从而引起患者低血压及心动过缓,尤其在旋磨右冠状动脉或左回旋支时,常可见心动过缓,心电监测示ST段抬高明显。术中在协助术者进行旋磨仪器使用、给术者报数据的同时要严密观察患者生命体征,及时发现异常并协助紧急处理。若患者旋磨后胸痛明显,可遵医嘱静脉推注盐酸吗啡针剂,并注意观察用药后患者有无呼吸抑制、意识是否清醒,以便及时发现药物不良反应。
(1)旋磨冲刷液的配制参照《冠状动脉内旋磨术中国专家共识》建议的配方:0.9%氯化钠注射液500mL加入2500~5000U肝素钠注射液及硝酸甘油注射液1~5mg。另外,如患者有心功能不全、血压偏低等情况可遵医嘱酌情加入维拉帕米2.5~5mg。
(2)旋磨冲刷液配制好后连接输液管,注意避免污染茂菲氏滴管,术中由术者调节开关,并予输液加压袋持续加压灌注,灌注压不低于200mmHg。
(1)连接旋磨仪器各装备,检查气压瓶主气压表压力(要大于5MPa),调节副气压表即减压阀输出气压至0.7MPa。确保旋磨仪器处于正常备用状态,能够随时汇报旋磨速度和时间动态。
(2)协助术者体外测试旋磨仪器及旋磨头转速,如测试结果正常,则低转速送旋磨头进入病变血管,正式旋磨前提醒术者转换成高转速,一般为每分钟14万~20万转,最高不可超过每分钟22万转。每次旋磨时间不能超过20秒,总旋磨时间不超过5分钟,且两次旋磨之间应间隔一定时间,以便冲刷旋磨后的碎屑并促使心肌恢复灌注,减少心肌缺血。旋磨结束后提醒术者切换为低转速后再退出旋磨头。
(3)旋磨过程中要确保旋磨冲刷液在高压状态下持续灌注,并及时处理旋磨仪器故障。术中一旦出现旋磨声音变调、高低速无法切换、转速无法调节、术中失速、术中超速等异常情况,应立即停止旋磨,然后检查氮气瓶是否完全打开,检查主机、空气软管、减压阀、脚踏之间的连接是否紧密,连接旋磨冲刷液的输液管开关是否打开,加压袋的压力是否足够,旋磨导丝、推进器、旋磨头是否需要更换。
(4)长时间手术时,每小时都要询问术者是否追加抗凝药物,直至手术结束。
(5)有条件的导管室建议监测ACT值的变化,使肝素用量准确化、个体化,防止术中血栓的形成。
(1)旋磨前向患者解释手术目的、手术过程、术中可能出现的不适,如胸闷、胸痛以及旋磨仪器发出的声音等,告知患者术中保持安静,平稳呼吸,勿随意移动身体,配合手术顺利完成。
(2)安抚患者的紧张恐惧情绪,指导其放松,如缓慢深呼吸、渐进性肌肉放松、听舒缓音乐,陪侍患者于手术床旁,及时告知其手术进程。时刻关注患者表现,及时擦拭患者汗液,清除呕吐物,尽可能保证患者的舒适体验。
(1)经桡动脉穿刺者拔除鞘管后,协助术者使用动脉压迫止血器包扎手术穿刺口,术后3小时,医护人员可松动止血器,以退的方向调节2圈,再过3个小时以退的方向调节1圈,使用普通造影剂的患者术后8个小时可将压力全部解除;经股动脉穿刺者拔除鞘管后,协助术者使用弹力绷带加压包扎穿刺口,24小时后拆除。
(2)保持敷料干洁,如出现渗血、渗液、血肿、瘀斑等情况,及时告知医生。
(3)解除穿刺口压迫后,如患者病情稳定可正常洗澡,但不可在穿刺口处揉搓、按压,且要及时擦干水分,保持穿刺口清洁、干燥,避免感染。
(1)指导患者进食低盐、低脂、高纤维、易消化的食物,少量多餐,避免过饱,保持大便通畅。
(2)嘱患者术后及时饮水,饮水量1500~2000mL,每小时500mL,术后4小时内喝完,以促进造影剂排出。记录小便次数及量。
(3)经桡动脉穿刺者使用止血器压迫止血时,容易出现术侧肢体麻木、肿胀、疼痛等症状。指导患者术后术侧肢体制动4~6小时、抬高45°~60°,术后20分钟开始做手指操,活动手指。手指操每次做3~5分钟,每30~60分钟做1次,直至撤除止血器,注意控制节奏,不可用力过猛,以患者无疼痛加剧、无出血增加为度。
(4)经股动脉穿刺者使用弹力绷带加压包扎,术侧肢体制动12小时,卧床休息24小时,指导患者床上排便。为了预防下肢静脉血栓,指导患者卧床期间做踝泵运动。
(5)术后观察并记录患者生命体征;观察手术穿刺口是否出现渗血、渗液,穿刺口皮肤周围有无出现血肿、瘀斑,以及术侧肢体皮温、指端循环、桡动脉/足背动脉搏动等情况。
旋磨导丝送入血管远端,刺激远端细小血管痉挛,斑块旋磨后的碎屑导致微循环栓塞或血栓形成,以及旋磨术中发生冠状动脉夹层均有可能导致冠状动脉慢血流或无复流。若术前患者即有心衰、低血压,则术中旋磨刺激及器械阻塞血管更易导致慢血流或无复流的发生。
患者可出现胸闷,胸痛明显,气促,大汗淋漓,烦躁不安,面色苍白,恶心呕吐,心动过缓,心电图ST段上抬明显,并伴有血压下降。
一旦出现冠状动脉慢血流或无复流必须立即停止冠状动脉内斑块旋磨术,检查旋磨冲刷液是否处于打开状态,并在高压(200mmHg以上)状态下冲刷。可以暂停旋磨,待血流情况恢复、生命体征平稳后继续实施旋磨,并可在冠状动脉内推注硝普钠100~200μg,或选择腺苷冠状动脉内推注,左冠状动脉一次可推注100~200μg,右冠状动脉一次可推注60μg,同时静脉推注间羟胺升压药,以防患者血压过低。若患者出现心动过缓,可嘱患者咳嗽以刺激心率恢复。
(1)研究发现,女性患者、糖尿病患者、吸烟患者易发生冠状动脉痉挛。
(2)患者存在原发性高血压、周围血管病。
(3)穿刺时麻醉不充分,操作者穿刺桡动脉的技术不熟练、反复穿刺、动作粗暴、术中多次更换导管、操作时间过长,导管硬度大,使用非亲水涂层导管或导丝,动脉鞘较短。
(4)患者紧张,疼痛刺激。
(5)患者桡动脉内径偏小,上肢动脉粥样硬化致血管极度弯曲和狭窄。
(6)旋磨头直接震动刺激,多见于冠状动脉远端。
冠状动脉痉挛在影像学上通常表现为血管局部向心性狭窄或管状狭窄,狭窄段边缘光滑。患者有疼痛感、胀感。
(1)于冠状动脉内给予硝酸甘油200~400μg,以缓解痉挛。
(2)术中操作时保持指引导管和导丝无折痕,遇阻力或震动时不强行推进旋磨头,检查旋磨系统是否有折痕、入路是否过于迂曲,及时发现问题并调整。
(3)严密监测生命体征,给予吸氧,关注血压、心率的变化,尤其是低血压患者,注射硝酸甘油时需要额外注意。
(4)关心患者,减轻其恐惧、紧张等心理,使其保持乐观、积极的心态应对治疗,增强其战胜疾病的信心。
旋磨头直径过大,旋磨时推进速度过快,旋磨导丝偏倚。
发生冠状动脉夹层时应立即停止旋磨,保证旋磨导丝在血管真腔内,使用球囊扩张,再置入支架覆盖夹层部位。若支架无法置入,则做好转运至心外科的准备,随时转运至心外科进行手术治疗。
病变角度过大,大于90°,旋磨头直径过大,钙化斑块为偏心型,旋磨手法不当,旋磨导丝穿破末梢血管。
症状严重程度与穿孔部位密切相关。如冠状动脉末梢穿孔,早期临床症状轻微甚至无症状;若冠状动脉主支穿孔出血,患者短时间内即可出现心脏压塞症状,即血压进行性下降,面色苍白,甚至抽搐、心搏骤停。
旋磨过程中若发生冠状动脉穿孔,应立即退出旋磨头,保留旋磨导丝,立即置入球囊扩张封堵穿孔处,若无法压迫止血,需置入带膜支架,并根据具体情况协助术者紧急行心包穿刺抽取积液,同时做好外科手术准备。
(1)病变弥漫迂曲。
(2)旋磨头离病变过近。
(3)旋磨头转速过低(每分钟少于1万转)。
(4)旋磨头在病变中间停顿;推进旋磨头时用力过猛,病变呈单向阀状,导致西瓜子效应。
(5)病变处已发生痉挛或夹层。
(6)未使用旋磨冲刷液。
术中操作时出现旋磨头推送、旋转、回撤困难等情况,患者有胸闷、胸痛等不适,处理不当可导致血管出血、穿孔、夹层、冠状动脉内血栓、脑血管及外周动脉栓塞等情况。
(1)切换高速/低速旋转,尝试启动旋磨头,尝试启动时不要向后拉旋磨头,可先向前抖动旋磨头,如能启动,迅速后撤。如果旋磨头无法撤出,可将旋磨导丝撤到无法拉动处与旋磨头一同撤出;如仍无法撤出旋磨头,可尝试在病变处置入另一条导丝,用小球囊扩张病变后撤出旋磨头。断开旋磨头和推进器,逆时针旋转旋磨头尾部20圈后将旋磨头拉出;剪断旋磨导管尾端(撤出旋磨导管外鞘,只留内芯)后,用子母导管(5F导管套6F导管)或延长导管(Guidezilla导管)支持撤出。以上方法无效时需要行外科手术取出。
(2)随时监测旋磨仪的各项数值,及时报告旋磨的转速及旋磨的时间;每处病变部位需旋磨3~5次,每次15~20秒,间隔时间为30秒至2分钟。旋磨头的导管在冠状动脉内保持每分钟8万~22万转的均匀转速。旋磨过程中严密监测动脉内压力的变化。
(3)关注患者的主诉,如胸痛症状是否缓解。及时与患者沟通,减少患者的紧张情绪,嘱其不要移动身体,保持平静呼吸。严密监测心率、心律、血压、心电图的ST-T改变及有无并发症发生等,按需予患者吸氧。
(吴配文、冼金惠、黄晓燕)