



急性心肌梗死(acute myocardial infarction,AMI)是冠心病最严重的一种类型,是在冠状动脉病变的基础上,发生冠状动脉血供急剧减少或中断,相应心肌因而出现严重而持久的急性缺血导致心肌细胞死亡。临床表现为持久的胸骨后剧烈疼痛、发热、白细胞计数和血清心肌坏死标志物增高,以及心电图进行性改变,可发生心律失常、心源性休克或心力衰竭,属急性冠脉综合征(acute coronary syndrome,ACS)的严重类型。治疗原则是尽早使心肌血液再灌注,尽快实施经皮急性心肌梗死血运重建术。
冠状动脉慢性完全闭塞(chronic total occlusion,CTO)是冠心病的一种复杂类型,表现为冠状动脉100%闭塞,前向血流TIMI 0级,且闭塞超过3个月,是冠状动脉发生粥样硬化后由量变到质变的动态演变过程。发生冠状动脉慢性完全闭塞的患者最常见的症状是胸闷、心绞痛等,因为没有特异性,所以往往不能引起足够的重视,其有致命的危险,患者最终可能因为心力衰竭而死亡。
经皮冠状动脉腔内成形术(percutaneous transluminal coronary angioplasty,PTCA)是经皮穿刺周围动脉(常用桡动脉或股动脉),将带球囊的导管送入冠状动脉的狭窄节段后,扩张球囊使狭窄管腔扩大、血流通畅的手术。1977年,PTCA被首次成功应用于临床,开辟了冠心病非外科手术治疗的新纪元,标志着冠心病介入治疗时代的开始。目前PTCA已经与药物治疗、外科手术一样是冠心病治疗的重要手段之一。
经皮冠脉介入术(percutaneous coronary intervention,PCI)是经导管技术疏通狭窄甚至闭塞的冠状动脉管腔,从而改善心肌血流灌注的治疗方法。PCI可有效解除冠状动脉狭窄,从而缓解冠心病患者的临床症状,提高患者的生活质量。与传统的外科手术相比,PCI具有创伤小、恢复快、住院时间短等优势,这些优势使得PCI技术近年来得到了蓬勃的发展,尤其是经皮冠状动脉腔内成形术、支架植入术的应用较为广泛。对于急性心肌梗死患者、冠状动脉严重狭窄患者来说,支架植入术是首选治疗方法。
而对于一些急危重症患者,如急性心肌梗死引发的心源性休克患者、体外循环后的低心排血量综合征患者、高危(冠状动脉左主干病变、严重多支病变或重度左心室功能不全)患者等,由于其血流动力学不稳定,心脏功能衰竭或多脏器功能衰竭,为最大程度保障患者安全,积极抢救患者生命,在进行PTCA和/或PCI过程中,往往需要置入主动脉内球囊反搏泵以增加患者心肌灌注,改善患者心功能。
主动脉内球囊反搏(intra-aortic balloon pump,IABP)是将带有圆柱状球囊的导管经外周动脉置入降主动脉与左锁骨下动脉开口远端进行循环辅助的技术。当心脏开始舒张、主动脉瓣关闭的瞬间球囊开始充气,使主动脉根部舒张压增高,冠状动脉灌注压增高,从而增加冠状动脉、脑动脉、肾动脉以及上下肢动脉的血流灌注。而至心脏舒张末期,心脏收缩、主动脉瓣开放时球囊迅速放气,造成空腔效应,使主动脉根部形成负压状态,从而降低左心室射血阻力,减轻心脏后负荷,提高左心室排血量,提升机体血压,并降低心肌耗氧量,使患者的心功能得到极大的改善,从而大大降低冠状动脉介入治疗病死率,尤其是为急危重症冠心病患者提供良好的介入治疗前提条件,降低患者的治疗风险,明显改善其预后。
(1)稳定型心绞痛:冠状动脉左主干狭窄>50%;前降支近段狭窄≥70%;伴左心室功能减低的2支或3支病变;心肌核素等检测方法证实缺血面积大于左心室面积的10%;任何血管狭窄≥70%伴心绞痛,且优化药物治疗无效;有呼吸困难或慢性心力衰竭,且缺血面积大于左心室面积的10%,或存活心肌的血供由狭窄≥70%的血管供应。
(2)不稳定型心绞痛、非ST段抬高心肌梗死,经药物治疗无效或效果欠佳。
(3)急性ST段抬高心肌梗死,冠状动脉慢性完全闭塞。
(4)经皮冠状动脉腔内成形术术中出现血管内膜撕裂、夹层或急性闭塞,或术后血管腔狭窄超过30%;PCI后心绞痛复发,血管腔再狭窄者。
(5)冠状动脉旁路移植术后复发心绞痛。
(1)主动脉夹层或重度主动脉瓣反流。
(2)降主动脉或髂动脉严重狭窄或钙化。
(3)严重凝血功能障碍。
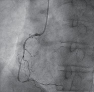
(1)行常规经桡动脉穿刺冠状动脉造影(图1-2-1),以查看血管情况。
(2)需要处理病变血管时,按患者的体重追加肝素钠,肝素钠总量为每千克体重100U。CTO患者采取逆向开通血管的操作时肝素钠用量可稍大,按每千克体重100~150U给药,并在给药后每隔30分钟检测一次患者的激活全血凝固时间(activated clotting time of whole blood,ACT),如ACT值小于300秒则追加肝素钠1000~3000U。
(3)指引导管到位后,以冠状动脉导丝通过病变部位到达血管腔远端,沿冠状动脉导丝送入冠状动脉球囊,扩张狭窄部位后退出球囊,再沿指引导管送入支架至病变部位,对位准确后以压力泵扩张支架。
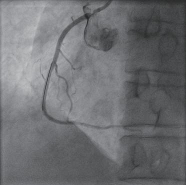
(4)退出支架球囊,以高压球囊再次扩张支架,使支架与血管壁紧密贴合,再次造影(图1-2-2),若显示血管腔通畅,血流恢复正常,血管壁完好,无造影剂潴留、渗出,冠状动脉各分支完好无影响,患者不适症状减轻或无不适,则撤出各导丝及导管,予桡动脉压迫止血器压迫穿刺口,手术结束,护送患者安返病房。
图1-2-1 右冠状动脉狭窄造影
图1-2-2 右冠状动脉支架植入后造影
经股动脉穿刺行PCI时,手术步骤基本与桡动脉穿刺相同,不同之处在于经股动脉穿刺手术结束退出所有导丝和导管后,护士要协助术者按压股动脉穿刺口或予血管缝合器缝合股动脉穿刺口,然后予弹力绷带或弹力胶布加压包扎穿刺口,再护送患者安返病房。
(1)在无菌操作下,穿刺股动脉,送入导丝,经血管扩张鞘扩张后送入鞘管。
(2)开启球囊导管后,将导管与单向阀牢固连接,以50mL注射器连接单向阀后缓慢回抽球囊内气体。
(3)将球囊导管中心腔穿过导丝,经鞘管在导丝引导下及X线透视下,将球囊导管缓慢送至左锁骨下动脉开口远端1~2cm处,撤出导丝,将球囊导管体外端Y型三通接口,一端接反搏仪器氦气管,一端接监测动脉压力的压力换能器连接管,管道连接后先回抽动脉血,然后经动脉推注肝素钠生理盐水充分冲洗管道以充分排气,校零后使用。
(4)调整反搏参数,可选择压力触发模式或心率触发模式,心率触发模式的反搏比例为1∶1。开启反搏前再经X线透视观察球囊导管位置是否偏移,如位置正常则开始反搏。
(5)如反搏仪器工作不正常,马上调整球囊导管位置,工作正常后妥善固定鞘管和气囊导管,并标注好导管在体外的位置。无菌纱布覆盖穿刺部位后以无菌贴膜粘贴固定,确保穿刺部位不受感染及污染。送患者返回重症监护室前再次在X线透视下明确球囊导管位置。
导管室要求环境安全、宽敞清洁、光线明亮、温湿度适宜,空气消毒机正常运行,屏蔽设施完好。
(1)手术前一天晚上以空气净化机净化、消毒导管室空气。使用消毒液擦拭导管室所有物品,包括手术床、加药治疗台、手术用长车等。
(2)保持室内温度22~25℃,湿度55%~60%。
(3)控制导管室人员,严防交叉感染。导管室内人员包括手术主刀医生1人、助手1~2人、跟台护士1人、跟台放射技师1人,总人数不超过5人。
(1)评估患者的病情、意识、合作程度。充分了解患者存在的危险因素,是否合并有高血压、心力衰竭等疾病,积极处理原发病。术前予氯吡格雷300mg、阿司匹林肠溶片300mg,负荷量达标。对于肾功能不全患者术中尽量减少造影剂的使用,手术当天于术前及术后予水化治疗,以预防造影剂肾病。对于急性心肌梗死患者,术前评估患者的生命体征、临床症状、心电图、心功能等情况,初步判断患者心肌梗死部位,做好相应的耗材、药物、抢救仪器设备等的准备。
(2)患者手术知情同意书必须由手术主刀医生、患者及患者家属签署全名,且签署时间要具体到分钟。
(3)评估患者已完善的一般检查,包括血常规、血生化、凝血指标、肝炎标志物、艾滋病(AIDS)抗体、梅毒螺旋体抗体,以及心电图、胸部X线,尤其注意其是否已完成多普勒超声心动图检查,了解其心功能情况。
(4)评估患者的生命体征、吸烟史、过敏史、家族史、既往史。
(5)评估患者的皮肤准备,如手术区域皮肤是否完整,有无备皮,有无皮疹及过敏。
(6)评估患者带入管道(包括中心静脉通道、外周静脉通道、胃管、导尿管及其他各种引流管)有无堵塞、折叠,以及引流物的颜色、性状和量。
见表1-2-1。
表1-2-1 PTCA和/或PCI术中常用物品准备
见表1-2-2。
表1-2-2 PTCA和/或PCI术中常用药品准备
续表
包括DSA机、高压注射泵、心电监护仪、中心吸氧吸痰装置、抢救车、除颤仪、临时起搏器,必要时备IABP机、呼吸机、体外膜氧合器(ECMO)、血管内超声(IVUS)成像系统、血流储备分数(FFR)检查装置、光学相干断层扫描(OCT)设备。
(1)与病房护士规范交接。核对患者身份,包括病区、床号、姓名、住院号、年龄、性别、疾病种类、手术名称、手术方式、手术日期、手术医生。
(2)向患者及家属做好术前宣教,简要告知手术过程及手术所需时间。确认患者已脱除内衣裤、活动心电监护仪,卸除身上所有饰物及义齿,排空大小便,着病号服,更换导管室室内鞋,戴无菌口罩及帽子进入导管室。
建立静脉通道,连接心电监护仪,心电连接线注意避开胸腹部X线透射区域,以免干扰手术进程。连接高压连接管及高压注射器套件,确保管道内无残留气泡,接口连接紧密,并校准零位后使用,必要时予患者吸氧,进行血氧饱和度监测。
(1)开启无菌手术包,合理摆放包内各种物品,按需向治疗盆内倒入0.9%氯化钠注射液500mL和肝素钠注射液3000U,分别在标有利多卡因、肝素钠、硝酸甘油的杯子中加入配制好的相应药物。
(2)协助术者穿手术衣。开启耗材前与术者核对耗材名称、有效日期、型号,开启时注意勿污染材料内面、避免跨越无菌区域,开启后及时记录,并张贴所用材料二维码。打开各种材料和物品,根据需要依次递送给术者,所有操作严格遵守无菌原则。
确保手术床平整,协助患者取仰卧位,解开患者衣扣,以利于术中情况紧急时予以施救。穿刺桡动脉的患者,穿刺侧上肢稍外展并使用托手板支撑,与身体成45°夹角,手臂固定在托手板上,暴露患者肘关节以下部位皮肤。穿刺股动脉的患者,协助其将裤子褪至膝关节以下,充分暴露患者的腹股沟处皮肤,并注意保护患者隐私及保暖。嘱患者双手自然放松,放在身体两侧,勿放在胸腹部或腹股沟位置,以防术中影响X线透射,双腿自然伸直放松,略微展开,勿并拢,术中保持安静,勿随意移动,以免影响手术穿刺、进管等操作。
根据患者心功能情况决定患者过床方式,若患者有心衰表现或术前左心室射血分数较低,应减少患者活动,以多人搬运方式过床,适当垫高患者头肩部,尤其是心电图表现为广泛前壁心肌梗死的患者要尽量减少活动,术前贴好一次性除颤电极贴,并予患者中低流量鼻管或面罩吸氧。
见表1-2-3、表1-2-4。
表1-2-3 PTCA和/或PCI术中特殊耗材准备
续表
表1-2-4 IABP导管选择推荐
(1)桡动脉入路消毒:协助患者穿刺侧上肢上举,然后从穿刺口开始消毒患者前臂至肘关节皮肤,以及其整个手掌、手背、手指及指缝。用两个消毒刷分别涂擦一遍。
(2)股动脉入路消毒:消毒双侧腹股沟,以穿刺口为中心向周围涂擦消毒液,范围上至腹部平脐位置,下至大腿中上1/3处,向内均达下肢前后中线,最后是会阴部。用两个消毒刷分别涂擦一遍。
铺巾时既要显露穿刺口,又要尽量减少穿刺口周围皮肤的暴露。遵循先近后远的原则,避免污染术者胸前无菌区域。穿刺股动脉的患者,消毒其皮肤后,先拿一条消毒治疗巾将其会阴部遮盖,取三块长方形治疗巾对角铺在手术区,沿腹股沟内侧斜形对铺为三角形后全身铺无菌大单,上至患者颈部,下至导管床,全部覆盖。
术中严密监测患者心律、心率以及有创动态血压的变化,时刻关注显示屏上心电、压力变化,重视患者主诉,关注手术医生操作进度,X线影像显示造影导管或指引管位置,及时发现压力变化情况并立即提醒术者,以免发生不必要的并发症。
(1)压力的观察:在挂管过程中,若导管进入患者心室内,则屏幕上可即时显示左心室压力波形。导管深插入冠状动脉或冠状动脉开口有狭窄时,患者压力波形由锐角分明的形态变为下方钝圆的似心室压力形态,但收缩压低于其主动脉收缩压,舒张压也较前下降但未降至零位,即患者收缩压及舒张压同时较前下降,压力波形似心室压,此为室化压力。若导管进入冠状动脉分支或在冠状动脉内嵌顿,则压力波形呈锐减状态,此刻应立即提醒术者将导管拔出至冠状动脉开口,千万不能在压力锐减时注入造影剂,否则会加重患者心肌缺血,有可能导致患者恶性心律失常甚至心搏骤停。若手术过程中压力突然消失,心电无改变,患者无不适,排除管道连接因素外,应提醒术者从患者桡动脉进管处开始透视管道全程,查看导管是否发生了扭曲折叠,导致压力为零。术中一旦发现压力变化应立即提醒术者注意,及时调整导管位置,避免并发症的发生。
(2)心电的观察:在手术过程中,要严密观察患者心电变化。如导丝或导管进入心室,刺激心室壁心肌,可出现频发室性早搏。出现导管深插入冠状动脉或冠状动脉内器材较多,以及冠状动脉内斑块脱落等情况,从而影响冠状动脉血流时,心电变化似急性心肌缺血状态,ST段上抬明显,伴或不伴心率缓慢等现象,应提醒术者注意,并及时协助术者处理。
PCI手术过程中,尤其是复杂的PCI,使用药物较多,常用药如硝酸甘油注射液、硝普钠注射液、肝素钠注射液、替罗非班注射液、腺苷注射液、重酒石酸间羟胺注射液、硫酸阿托品注射液、盐酸吗啡注射液等,除规范配制药物、准确使用药物外,用药后还要严密观察患者是否有药物不良反应。密切观察其有创动态血压、心率、心律、呼吸的变化,关注患者皮肤及口腔牙龈有无出血情况,口渴者应适当饮水。
急危重症患者或外科手术后未复苏的患者,病情危重,留置管道多,如IABP管、气管插管、心包穿刺引流管、胸腔引流管、导尿管、胃管、中心静脉留置管、体外膜氧合器动静脉循环管及输液排泵等,因此术中应妥善固定各种管道,使管道保持一定的张力,避免影响DSA机球管摆动及手术床的移动,且要严防管道滑脱,连接线要避开胸部X线透射区域,并保证管道通畅,无折叠、无扭曲、无堵塞、无渗漏。密切观察各管道的使用情况,引流物的颜色、性状及量,并及时记录,有异常报告医生,协助紧急处理。
(1)心脏介入诊疗术属于有创操作,是一种半开放性手术。患者进入导管室陌生的环境后,各种监护仪器、影像设备、导管、针具等无形中都会对患者产生心理压力,造成恐惧不安的心理,加上患者需裸露身体平卧于手术台上,在术者面前暴露胸部、阴部等隐私部位,会产生羞怯心理。因此,医务人员应态度和蔼,动作轻巧敏捷,做到最小范围的暴露,尽量缩短躯体隐私暴露时间,以保护患者的自尊心。
(2)应及时向患者简要介绍手术过程,告知术中某些可能会有的不适感觉(如注射造影剂时会有身体烘热感)属于正常反应,不必紧张。与患者交流时,语言要轻松明快,主动询问患者有无不适,并鼓励患者将自身的不适随时反馈给术者,以消除患者因紧张、恐惧等所导致的不良心理反应。
(3)手术过程中或急性心肌梗死患者胸痛明显时,可遵医嘱静脉推注盐酸吗啡注射液镇痛,用药后注意观察患者的呼吸及意识,注意患者有无意识障碍或呼吸抑制的情况。若有异常,及时予以处理。患者有疼痛、胸闷等不适时,可出现大汗淋漓、恶心、呕吐等情况,应及时擦拭患者汗液,处理呕吐物,并在床旁安慰、守护患者,增强其手术信心,缓解其恐惧不适的心理。
(4)CTO患者手术时间长,术前应提醒患者排尽大小便,男性患者套好尿套,女性患者臀下垫尿不湿,或术前留置导尿管,并可在患者骶尾部贴水胶体敷料(安普贴),以防皮肤压红。术中要常关心患者感受,适时告知手术进程,增强患者对手术的信心,及时满足患者的要求,如喝水、按揉受压部位、适当移动四肢、调整身体位置等。
(1)经桡动脉穿刺者拔除鞘管后,协助术者使用桡动脉压迫止血器包扎手术穿刺口,术后3小时后,医护人员可松动止血器,以退的方向调节2圈,再过3小时以退的方向调节1圈,使用普通造影剂的患者术后8个小时可将压力全部解除;经股动脉穿刺者拔除鞘管后,协助术者使用弹力绷带加压包扎手术穿刺口,24小时后拆除。
(2)保持敷料干洁,如出现渗血、渗液、血肿、瘀斑等情况,及时告知医生,并协助处理。
(3)解除穿刺口压迫后,如患者病情稳定可正常洗澡,但不可在穿刺口处揉搓、按压,且要及时擦干水分,保持穿刺口清洁、干燥,避免感染。
(1)指导患者进食低盐、低脂、高纤维、易消化的食物,少量多餐,避免过饱,保持大便通畅。
(2)告知患者术后及时饮水,饮水量1500~2000mL,每小时500mL,术后4小时内喝完,以促进造影剂排出。记录小便次数及量。
(3)经桡动脉穿刺者使用止血器压迫止血时,容易出现术侧肢体麻木、肿胀、疼痛等症状。指导患者术后术侧肢体制动4~6小时、抬高45°~60°,术后20分钟开始做手指操,活动手指。手指操每次做3~5分钟,每30~60分钟做1次,直至撤除止血器,注意控制节奏,不可用力过猛,以患者无疼痛加剧、无出血增加为度。
(4)经股动脉穿刺者,术后卧床期间,需指导患者床上排便;为了预防出现下肢静脉血栓,可指导患者做踝泵运动。
(5)术后观察并记录患者生命体征;观察手术穿刺口是否出现渗血、渗液,穿刺口皮肤周围有无血肿、瘀斑,以及术侧肢体皮温、指端循环、桡动脉/足背动脉搏动等情况。
(6)加强转运风险管控,保障患者安全。患者术后转运交接是围手术期管理的重要组成部分,特别是危重患者,术后因病情危重、身上管道多、病情变化快,可能发生各种不可预见的意外,更需加强转运风险管控。转运过程中需主要注意以下几个方面:①填写转运交接本(内容包括患者信息、伤口信息、留置管道信息、使用药品信息、皮肤信息、特殊环节信息),并通知心脏监护病房提前做好准备;②备好急救用品,如便携式监护仪、转运氧气瓶、转运呼吸机、转运应急箱;③直接使用患者的病床进行转运,可减少一次搬运过程;④过床前将便携式监护仪的心电、血压导线等连接至患者身上,确认静脉通道、各类管道(导尿管、腹腔引流管、呼吸机管路)长度,预留足够长度,避免搬动过程中因牵拉而意外拔出;⑤过床后,检查各类管道固定情况,避免其受压、折叠和被牵拉;⑥出发前联系好运送电梯,以缩短转运耗时。
冠状动脉气体栓塞主要是医源性的。最常见的原因是:用于血管手术的导管冲洗不充分;球囊导管和导丝的引入或撤回不当;球囊破裂;心导管检查期间使用的设备结构失效,留在体外的自排气导管持续负压吸引。
冠状动脉气体栓塞可以是无症状的,也可以引起胸痛、心电图ST段抬高心肌梗死、心律失常(包括心动过缓、心脏传导阻滞、室性心动过速、心房颤动、心室颤动)、低血压、意识丧失、心搏骤停。
(1)少量空气栓塞可以自然排出,不必特殊处理。
(2)当冠状动脉进入气体量较多时,可使用血栓抽吸导管或球囊导管将气泡抽出;或强制注射生理盐水或血液,旨在消除冠状动脉内空气;或使用血栓切除导管进行空气抽吸,并使用血管扩张剂(腺苷、钙通道阻滞剂和硝酸盐)来解决冠状动脉血流慢的问题。
(3)对于有临床症状的患者,可给予吸氧,同时准备好急救药品和相应仪器。
(4)对于低血压者和/或心率减慢的患者,可遵医嘱给予血管活性药物(多巴胺、阿托品)静脉注射;对于心搏骤停的患者,可进行心肺复苏和主动脉内球囊反搏以维持血流动力学稳定。
(5)密切监测患者的心率、心律、血压、心电图,关注其意识变化。
冠状动脉介入治疗引起急性心脏压塞的原因为冠状动脉穿孔致造影剂或者血液经冠状动脉撕裂口流出至血管外。发生冠状动脉穿孔的高危因素主要为高龄、高血压、糖尿病等患者血管薄脆、病变弥漫的情况,以及急性或者慢性完全闭塞成角病变、分叉病变、严重迂曲病变、细小冠状动脉病变、严重钙化病变。
冠状动脉介入治疗过程中以下为高危操作:
(1)导丝走行过远,进入微小血管,回撤微导管或球囊时导丝刺破微小血管。因损伤血管细小,部分病例术后数小时才出现心脏压塞。
(2)冠状动脉内膜下通过器械或者扩张。导丝误进入内膜下,未及时发现即送入器械,甚至进行扩张,导致冠状动脉穿孔、破裂。
(3)球囊扩张或支架释放时支架、球囊与血管直径不匹配,或者扩张处有钙化病变,或支架放置于肌桥段血管。
(4)术中应用特殊器械进行冠状动脉旋磨、机械血栓抽吸、冠状动脉激光成形术等,风险较大。
穿孔的发生与病变本身具有穿孔的高危因素有关,同时也与术者操作手法不当有关。
(1)烦躁不安,胸部不适,呼吸困难,呼吸加快。
(2)头晕,出冷汗,面色苍白,皮肤湿冷。
(3)Beck三联征:颈静脉怒张,低血压,心音遥远。
(4)恶心呕吐,奇脉。
(1)一旦确诊,立即配合医生行心包穿刺减压术。
(2)开通多条静脉通道,快速大量输注生理盐水,必要时输血;遵医嘱使用升压药,直到心包积液被排出,血压回升。
(3)给予中、高流量吸氧,必要时行气管插管。
(4)对于出血不稳定或者再次出现心脏压塞的患者,需要行外科开胸手术治疗。
(5)安慰鼓励患者,消除其恐惧心理。
(6)重视患者主诉,严密观察患者意识、症状、生命体征的变化,并做好记录。
(1)微循环栓塞。微循环栓塞是无复流发生的重要机制之一。在支架、球囊等因素作用于冠状动脉时,血栓或斑块内物质随血流流向微血管处形成阻塞,即可导致微循环功能障碍。
(2)缺血再灌注损伤。缺血再灌注损伤是无复流发生的关键,是导致微循环功能障碍的重要原因。心肌缺血时可以导致血小板及内皮功能受损。血小板功能受损时可释放血栓素A2(TXA2)等物质,其不仅具有较强的缩血管作用,还可以抑制血小板聚集。当内皮受损时,内皮源性舒张因子一氧化氮(NO)的生成可持续减少,从而引起微血管收缩,最终导致闭塞。
(3)冠状动脉介入操作诱发血管痉挛。球囊或支架对血管壁的扩张牵扯、血管再通后灌注压的突然增加以及球囊扩张对血流的阻断均可引起心交感神经反射,兴奋受体,引起弥漫性冠状动脉系统收缩,导致无复流现象的发生。
对急性冠脉综合征的“罪犯血管”、冠状动脉旁路移植术(CABG)后患者的静脉桥血管行介入治疗易发生无复流现象,另外旋磨和旋切术后无复流现象的发生率也较高。
无复流现象的临床表现多种多样,可以无症状,也可因心肌组织无灌注产生严重的心肌缺血,导致低血压、休克、心脏传导阻滞和心室颤动等而危及生命。在导管室,心肌梗死患者在介入治疗期间发生无复流通常是突然的、剧烈的,患者会感到不同程度的胸痛,会出现造影剂在血管中停滞、心电图ST段抬高、血流动力学异常等情况。
(1)无复流现象一旦出现,应立即快速准确地评估、判断患者的血流动力学情况。
(2)立即建立静脉通道,配合医生给予解除无复流现象的药物。如果是血小板微血栓引起的急性冠状动脉闭塞,首选抗血小板药物(如替罗非班注射液)冠状动脉内注射;如果是冠状动脉痉挛引起的急性冠状动脉闭塞,首选硝酸甘油或地尔硫䓬稀释液冠状动脉内注射,其他的血管扩张剂如硝普钠、腺苷等也可以解除微循环痉挛,对抗无复流。
(3)给予吸氧,增加心肌供氧。对于胸痛加重,且长时间不能缓解者,可遵医嘱予吗啡3~5mg静脉注射。
(4)对于低血压和/或心率减慢的患者,可遵医嘱给予血管活性药物(多巴胺、阿托品)静脉注射。必要时使用IABP、临时起搏器辅助治疗。
(5)严密监测患者意识、心率、心律、血压和血氧饱和度,观察患者有无血尿、皮肤瘀斑等出血情况,一旦发现异常,及时报告医生。
可能与器械、病变复杂程度及操作因素等有关。多见于病变未经充分预扩张(或行直接支架术)、近端血管扭曲(或已置入支架)、支架跨越狭窄或钙化病变阻力过大且推送支架过于用力,或支架置入失败、回撤支架至指引导管内时,因支架与指引导管同轴性不佳、支架与球囊装载不牢,导致支架脱载。
支架脱载主要发生在术中回撤球囊导管时。多数情况下,支架脱载并不立即影响冠状动脉血流,但处理不当可导致严重夹层、出血、急性心肌梗死、冠状动脉内血栓、脑血管及外周动脉栓塞、死亡、急诊手术(如CABG)等。
(1)一旦发生支架脱载,医护人员要保持冷静,并密切配合。术者立即造影寻找支架,快速准备好直径较小的球囊,导管室常规准备300cm的长冠状动脉交换导丝,有条件的单位也可以准备活检钳、胆道钳或抓捕器等。
(2)将小球囊穿过支架后扩张,然后将扩张的球囊和支架回撤至鞘管内或撤出体外。如小球囊回收支架失败,而导管室也缺乏现成的抓取器械,则可利用长冠状动脉交换导丝和5F多功能造影导管自制一个圈套器。
(3)如无法回收支架,则可将支架原位压扁并用置入的另一个支架覆盖。
(4)患者可能会有胸闷、胸痛、憋气等不适,及时遵医嘱予以对症处理。
(5)密切观察患者意识、生命体征的变化,给予吸氧,备好抢救仪器设备和药物。
(6)因患者手术时间相对延长,肝素钠及造影剂用量相对增多,故需关注有无出血情况,并强化水化治疗,根据患者的心、肾功能缓慢静脉滴注上述药物。必要时可行血液透析治疗。
目前较为普遍的认识是肾缺血为造影剂肾病的最主要的发病机制,第二是肾小管毒性。
(1)肾脏疾病。这是最主要的危险因素,包括肾动脉狭窄、尿路结石、慢性肾炎或其他原因导致的肾功能不全。
(2)造影剂的渗透负荷。造影剂的用量每增加100mL,引起造影剂肾病的危险性就随之增加12%。
(3)糖尿病。在肾功能损害的基础上,糖尿病患者出现造影剂肾病的危险倍增。
(4)年龄。高龄(75岁以上)是造影剂肾病的独立的危险因素之一。
造影剂使用2~3天,血肌酐(Scr)相对基础水平提高44.2μmol/L以上或增长25%以上,且非其他因素所致,即为造影剂肾病。轻者仅为暂时性的肾功能受损,无明显症状,重者表现为少尿、急性肾功能衰竭。
(1)充分水化。标准的水化方案:用生理盐水以1~1.5mL/(kg·h)的速度术前水化12小时,术后水化至24小时;对于有容量限制的心力衰竭患者可用生理盐水以3mL/(kg·h)的速度术前水化1小时,术后以1mL/(kg·h)的速度水化6小时。
(2)碳酸氢钠可以碱化尿液,减少氧自由基的产生。可在造影剂使用前1小时以3mL/(kg·h)、造影剂使用后以1mL/(kg·h)的速度静脉滴注1.25%的碳酸氢钠溶液。
(3)停用肾毒性药物,如血管紧张素转化酶抑制剂、非甾体抗炎药、二甲双胍、袢利尿剂等,以防止肾小管中造影剂的堆积,减少对肾单位的损害。在介入治疗过程中应尽量避免使用肾毒性药物,在介入治疗前48小时或数天内停止使用上述药物,若条件许可最好提前数周停用。
(4)N-乙酰半胱氨酸主要有两大作用,其一为舒张血管,其二是抗氧化。有报道指出N-乙酰半胱氨酸能够显著降低造影剂肾病的发病率,降幅可以达到50%。
(詹惠敏、冼金惠、黄晓燕)