



冠状动脉粥样硬化性心脏病(coronary atherosclerotic heart disease)指冠状动脉粥样硬化使血管腔狭窄、阻塞和/或因冠状动脉功能性改变(痉挛)导致心肌缺血缺氧或坏死而引起的心脏病,简称冠状动脉性心脏病(coronary artery heart disease)或冠心病,亦称缺血性心脏病(ischemic heart disease)。
冠心病较严重时以发作性胸痛为主要临床表现,胸痛常为压迫样、憋闷样或紧缩样,偶伴濒死感,发生在胸骨体中、上段之后,或心前区,常放射至左肩、左臂和左小指,偶放射至颈、咽或下颌部,同时患者可出现面色苍白、出冷汗、心率增快、血压升高,持续3~5分钟,休息或舌下含服硝酸甘油片可迅速缓解。高血压、高血脂、高血糖、高龄、肥胖、吸烟、熬夜等为冠心病的危险因素。
目前,临床上用于诊断冠心病常用而且有效的方法是经皮冠状动脉造影(coronary angiography)。它是利用数字减影血管造影(DSA)机经皮穿刺上肢或下肢动脉后,使用特制定型的心导管沿动脉逆行至升主动脉根部,在主动脉左右窦口分别发出左右冠状动脉处,注入造影剂,使冠状动脉显影。这是一种较为安全可靠的有创诊断技术,被认为是诊断冠心病的金标准。
(1)对冠状动脉疾病的确诊和左心室功能损害的确诊。
(2)临床上难以确定诊断的不典型胸痛,无创性检查不能确诊者。
(3)某些患者平板运动试验阳性或心脏螺旋CT检查结果有异常,为进一步确诊需进行冠状动脉造影。
(4)有典型的缺血性心绞痛症状。
(5)心电图有异常改变。
(6)原发性心搏骤停经心肺复苏成功者。
(7)不明原因的心功能不全及心律失常。
(8)介入或旁路移植术后反复发作的心绞痛。
(9)怀疑有冠心病但无症状,对于特殊职业者需要做出准确诊断时。
(1)已明确诊断为冠心病,欲行介入治疗或旁路移植术时。
(2)急性心肌梗死。
(3)无创性检查显示心肌缺血伴有明显的危险因素。
(4)陈旧性心肌梗死。
(5)各种血管重建术后持续心绞痛发作。
(6)心脏瓣膜疾病患者欲行换瓣术前(年龄大于50岁,为了解冠状动脉血运情况)。
(7)先天性心脏病可能合并冠状动脉异常。
(8)欲行化学消融术或胸外科手术前的梗阻性肥厚型心肌病。
(9)其他大手术前需要排除冠心病者。
(1)评价冠状动脉功能性改变、各种血管重建术后冠脉循环血流的恢复情况、心脏功能及侧支循环建立情况。
(2)50岁以上准备心脏开胸手术的患者术前需常规行冠状动脉造影检查,以评估冠状动脉血管情况。
(3)评价血管重建术的疗效。
(4)评价介入或旁路移植术后冠状动脉血流情况及是否发生冠状动脉再狭窄,评价急性心肌梗死溶栓后冠状动脉再通情况,评价冠状动脉粥样硬化的治疗效果。
(5)评价各种科研新技术及新产品的临床效果。
(6)特殊行业从业者的例行体检,如飞行员、高空作业者、汽车司机等。
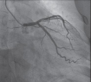
以桡骨茎突近端2cm可扪及桡动脉搏动处为进针点,常规消毒铺巾,用利多卡因逐层麻醉,显效后穿刺桡动脉,成功后常规置入6F桡动脉鞘,沿鞘管注入肝素钠注射液3000U、硝酸甘油200μg,在X线透视下,经鞘管送入直径0.035in(1in=2.54cm)、长260cm的超滑导丝,沿桡动脉、肱动脉、锁骨下动脉、主动脉弓到达升主动脉,再经导丝送入5F TIG导管至主动脉窦口,退出导丝,调整导管开口位置,分别在左、右冠状动脉开口与血管腔同轴后注入碘造影剂(图1-11、图1-1-2),血管显影后查看血管情况。造影完成后退出导管,桡动脉穿刺口予桡动脉止血器压迫止血,送患者安返病房。
以股动脉为进针点,常规消毒铺巾,用利多卡因逐层麻醉,显效后穿刺股动脉,成功后常规置入6F股动脉鞘,沿鞘管注入肝素钠注射液3000U、硝酸甘油200μg,在X线透视下,经鞘管送入直径0.035in、长150cm的J头导丝,经股动脉、髂动脉、腹主动脉、主动脉弓到达升主动脉,再经导丝送入6F JR4造影导管行右冠状动脉造影(图1-1-3),送入6F JL4造影导管行左冠状动脉造影。造影完成后,股动脉穿刺口压迫30分钟,或用血管缝合器缝合,再予弹力绑带加压包扎,送患者安返病房。
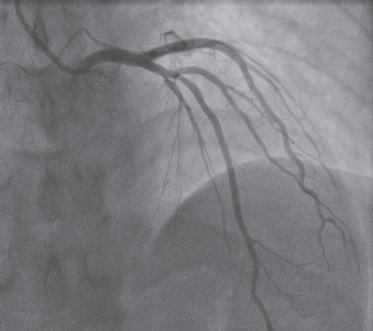
图1-1-1 冠状动脉旋支造影
图1-1-2 冠状动脉前降支造影
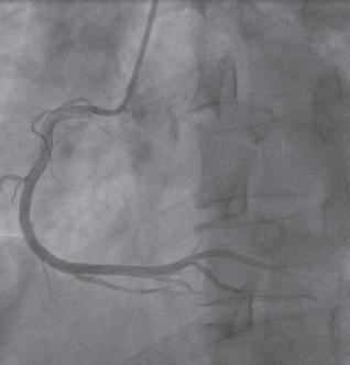
图1-1-3 右冠状动脉造影
导管室要求环境安全、宽敞清洁、光线明亮、温湿度适宜,空气消毒机正常运行,屏蔽设施完好。
(1)手术前一天晚上用空气净化机净化、消毒导管室空气,用消毒液擦拭导管室所有物品,包括手术床、加药治疗台、手术用长车等。
(2)保持室内温度22~25℃,湿度55%~60%。
(3)控制导管室人员,严防交叉感染。室内人员包括医生1~2人、跟台护士1人、跟台放射技师1人。
(1)评估患者的病情、意识、合作程度,尤其是患者的心功能评级,评估患者是否能平卧半小时以上。充分了解患者存在的危险因素,如是否合并有高血压、心力衰竭等疾病,积极处理原发病。对于肾功能不全患者,术中尽量减少造影剂的使用,手术当天于术前和术后予水化治疗,以预防造影剂肾病。
(2)手术知情同意书必须由手术主刀医生、患者及患者家属签署全名,且签署时间要具体到分钟。
(3)患者完善一般检查,包括血常规、血生化、凝血指标、肝炎标志物、艾滋病(AIDS)抗体、梅毒螺旋体抗体,以及心电图、胸部X线。
(4)评估患者的生命体征、吸烟史、过敏史、家族史、既往史。
(5)评估患者手术区域皮肤是否完整,有无备皮,有无皮疹及过敏。
(6)评估患者带入管道(包括中心静脉通道、外周静脉通道、胃管、导尿管及其他各种引流管)有无堵塞、折叠,以及引流物的颜色、性状和量。
见表1-1-1。
表1-1-1 冠状动脉造影术中常用物品准备
见表1-1-2。
表1-1-2 冠状动脉造影术中常用药品准备
包括DSA机、高压注射泵、心电监护仪、中心吸氧吸痰装置、抢救车、除颤仪,必要时备临时起搏器、主动脉内球囊反搏(IABP)机、呼吸机等。
(1)与病房护士规范交接。核对患者身份,包括病区、床号、姓名、住院号、年龄、性别、疾病种类、手术名称、手术方式、手术日期、手术医生。
(2)向患者及家属做好术前宣教,简要告知手术过程及手术所需时间。确认患者已脱除内衣裤、活动心电监护仪,卸除身上所有饰物及义齿,排空大小便,着病号服,更换导管室室内鞋,戴无菌口罩及帽子进入导管室。
建立静脉通道,连接心电监护仪,心电连接线注意避开胸腹部X线透射区域,以免干扰手术进程。连接高压连接管和高压注射器套件,确保管道内无残留气泡,接口连接紧密,并校准零位后使用,必要时予患者吸氧。
(1)开启无菌手术包,合理摆放包内各种物品,按需向治疗盆内倒入0.9%氯化钠注射液500mL及肝素钠注射液3000U。
(2)协助术者穿手术衣。开启耗材前与术者核对耗材名称、有效日期、型号,开启时注意勿污染材料内面,避免跨越无菌区域,开启后及时记录,并张贴所用材料二维码。打开各种材料和物品,根据需要依次递送给术者,所有操作严格遵守无菌原则。
确保手术床平整,协助患者取仰卧位,解开患者衣扣,以利于术中情况紧急时予以施救。穿刺桡动脉的患者,穿刺侧上肢稍外展并使用托手板支撑,与身体成45°夹角,手臂固定在托手板上,暴露患者肘关节以下部位皮肤。穿刺股动脉的患者,协助其将裤子褪至膝关节以下,充分暴露患者的腹股沟处皮肤,并注意保护患者隐私及保暖。嘱患者双手自然放松,放在身体两侧,勿放在胸腹部或腹股沟位置,以防术中影响X线透射;双腿自然伸直放松,略微展开,勿并拢,术中保持安静,勿随意移动,以免影响手术穿刺、进管等操作。
见表1-1-3和表1-1-4。
表1-1-3 冠状动脉造影术中的特殊耗材准备(桡动脉穿刺)
表1-1-4 冠状动脉造影术中的特殊耗材准备(股动脉穿刺)
(1)桡动脉入路消毒:协助患者穿刺侧上肢上举,然后从穿刺口开始消毒患者前臂至肘关节皮肤,以及其整个手掌、手背、手指及指缝。用两个消毒刷分别涂擦一遍。
(2)股动脉入路消毒:消毒双侧腹股沟,以穿刺口为中心向周围涂擦消毒液,范围上至腹部平脐位置,下至大腿中上1/3处,向内均达下肢前后中线,最后是会阴部。用两个消毒刷分别涂擦一遍。
铺巾时既要显露穿刺口,又要尽量减少穿刺口周围皮肤的暴露。遵循先近后远的原则,避免污染术者胸前无菌区域。穿刺股动脉的患者,消毒其皮肤后,先拿一条消毒治疗巾将其会阴部遮盖,取三块长方形治疗巾对角铺在手术区,沿腹股沟内侧斜形对铺为三角形后全身铺无菌大单,上至患者颈部,下至导管床,全部覆盖。
术中严密监测患者心律、心率及有创动态血压的变化,时刻关注显示屏上心电、压力变化,关注术者操作进度、X线影像显示造影导管位置,及时发现心电、压力变化情况并立即提醒术者,以免发生不必要的并发症。
(1)经桡动脉穿刺者拔除鞘管后,协助术者使用桡动脉压迫止血器包扎手术穿刺口,并于术后3小时以退的方向松动止血器2圈,再过3个小时以退的方向松动止血器1圈,直至术后8个小时将压力全部解除。
(2)经股动脉穿刺者拔除鞘管后,使用弹力绷带加压包扎,术侧肢体制动12小时,卧床休息24小时。
(1)指导患者进食低盐、低脂、高纤维、易消化的食物,少量多餐,避免过饱,保持大便通畅。
(2)告知患者术后及时饮水,饮水量1500~2000mL,每小时500mL,术后4小时内喝完,以促进造影剂排出。记录小便次数及量。
(3)经桡动脉穿刺者使用止血器压迫止血时,容易出现术侧肢体麻木、肿胀、疼痛等症状。可指导患者术后术侧肢体制动4~6小时、抬高45°~60°,术后20分钟开始做手指操,活动手指。手指操每次做3~5分钟,每30~60分钟做1次,直至撤除止血器,注意控制节奏,不可用力过猛,以患者无疼痛加剧、无出血增加为度。
(4)经股动脉穿刺者术后卧床期间,需指导其在床上排便;为了预防出现下肢静脉血栓,可指导患者做踝泵运动。踝泵运动的做法:①踝关节背伸、跖屈运动,以最大力度勾脚尖并保持10秒后,向下伸脚尖保持10秒,每组10次,每天做5组;②踝关节环绕运动,以踝关节为中点,360°旋转踝关节,每组10次,每天做5组。
(5)术后观察并记录患者生命体征;观察手术穿刺口是否出现渗血、渗液,穿刺口皮肤周围有无血肿、瘀斑,以及术侧肢体皮温、指端循环、桡动脉/足背动脉搏动等情况。
情绪紧张、疼痛刺激、血容量不足、尿潴留等因素作用于大脑皮质中枢和下丘脑,可使胆碱能神经的张力突然增加,导致内脏及肌肉的小血管反射性强烈扩张,引起血压下降,心率迅速减慢。
(1)患者等待手术时间过长或部分复杂心血管介入手术时间过长,导致患者精神一直处于高度紧张的状态。
(2)患者体质敏感,反复穿刺或手术进行过程中操作造成疼痛刺激,或局部麻醉不充分即进行静脉穿刺置管,或导管、导丝进入和撤出时速度过快刺激心脏和血管壁。
(3)拔除留置鞘管按压止血过程中手法不合适,压迫过重或时间太长;包扎穿刺点时弹力绷带过紧。
(4)介入手术前患者常不能进食甚至需要禁水,造成患者血容量不足;造影剂等术中用药产生渗透性利尿及术中失血造成有效血容量减少。
(5)经股动脉穿刺术后常需绝对卧床,术侧肢体制动12小时,许多患者不习惯在床上排尿(尤其是高龄老年患者),故易引起尿潴留,导致膀胱壁内压力感受器兴奋,反射性引起迷走神经兴奋。
(1)血压迅速下降至90/60mmHg以下,心率进行性下降至50次/min以下。
(2)头晕,胸闷,气短,烦躁不安,视物模糊。
(3)面色苍白,出汗,恶心,呕吐,皮肤湿冷。
(4)严重者会出现短暂的意识丧失,同时伴有肌张力下降或消失,持续几秒钟至数分钟后自行恢复,少数伴有尿失禁。
(1)立即查看和询问患者情况,协助其取平卧位,头偏向一侧,保持呼吸道通畅,防止误吸。
(2)给予吸氧,开通至少两条静脉通道。
(3)血压正常,仅出现心率减慢者,遵医嘱予阿托品0.5~1mg静脉推注,观察2分钟,若心率无变化,遵医嘱再追加阿托品。
(4)血压明显下降者,遵医嘱予阿拉明或多巴胺升压,观察血压情况,必要时追加;同时静脉输注生理盐水,扩充血容量。
(5)做好气道护理,患者出现恶心呕吐时,及时处理,必要时备好吸痰用物。
(6)关心、安慰患者,减轻其紧张、恐惧心理,可缓解血管迷走神经反射的症状。
(7)严密观察患者神志、心率、血压、皮温及循环情况,做好记录。
目前使用的血管造影剂,无论是离子型造影剂(如泛影葡胺)还是非离子型造影剂(如碘海醇、碘帕醇、碘普罗胺、碘克沙醇),均为含碘造影剂,与血液混合后可释放出碘原子,从而引起变态反应。
(1)瘙痒,皮肤红肿、出现皮疹,眼睑浮肿。
(2)头晕头痛,恶心呕吐。
(3)四肢湿冷,心率加快,呼吸困难。
(4)严重者可出现喉头水肿、意识丧失、心搏骤停等情况。
(1)立即查看患者情况,开通至少两条静脉通道,遵医嘱给予地塞米松5~10mg静脉注射,应用肾上腺素等血管活性药物和抗组胺药物,如阿拉明、多巴胺、异丙嗪等,扩充血容量。
(2)使患者的头偏向一侧,给予吸氧,保持呼吸道通畅,及时清理口鼻分泌物,备好吸痰用物。
(3)若患者出现喉头水肿,配合医生行气管插管或气管切开,必要时行心肺复苏等急救措施。
(4)安慰鼓励患者,消除其恐惧心理。
(5)严密观察患者的意识、生命体征,观察其过敏症状有无好转,做好记录。
(1)止血器压迫位置移位或压迫力度不够。
(2)压迫止血时间过短。
(3)操作者穿刺技术不熟练,反复多次穿刺或送导丝、导管时操作力度过大,刺入周围小动脉分支和毛细血管丛,引起局部渗血。
(4)术前大量应用抗凝剂,造成血液从动脉鞘周围渗出。
(5)术后频繁活动腕部或者过早活动下肢。
(6)患者凝血功能障碍。
(7)年龄大的患者血管脆性增加。
(8)患者合并高血压。
(9)留置鞘管后血液渗入皮下组织。
(1)疼痛。
(2)出现血肿,触之质软或者质硬。
(1)询问患者情况,查看血肿发生的部位、大小,报告医生。
(2)经桡动脉穿刺者采用8字形弹力绷带加压包扎,或者用血压袖带包扎压迫止血。
(3)经股动脉穿刺者采用弹力绷带加压包扎。
(4)告知患者保持穿刺侧肢体制动。
(5)安慰、鼓励患者,消除其恐惧心理。
(6)观察穿刺侧肢体皮肤颜色、末梢循环等情况。
(冼金惠、吴配文、黄晓燕)