



室性心动过速(ventricular tachycardia,VT)简称室速,是一种严重的快速心律失常,抗心律失常药物治疗通常效果不佳,不能明显改善预后、降低病死率。室速射频消融术已成为多数特发性室速首选的治疗方法。然而,器质性室速的消融研究发现,心外膜室速的发生率不低。而常规的心内膜标测与射频消融对来源于心外膜的室速几乎无效,其消融的成功率较心内膜室速低,且并发症的发生率相对较高。心外膜射频消融术是指通过剑突下心包穿刺,在心外膜标测并行消融的介入治疗,由于其穿刺位置特殊,操作受限,故常被认为是复杂的射频消融手术,护士应熟练掌握手术的操作流程、护理配合及相关并发症的观察处理。
(1)特发性室速。
(2)器质性室速(瘢痕依赖性室速)。
(3)传统心内膜射频消融治疗失败及药物治疗无效的室速。
(1)患者取去枕平卧位,实施全麻后进行颈静脉穿刺,留置中心静脉管,气管插管,呼吸机辅助呼吸。消毒心前区及腹股沟皮肤后分别铺巾。
(2)穿刺股动脉后置入血管鞘,连接压力监测管道,持续监测动脉压。
(3)穿刺股静脉后置入血管鞘,经血管鞘送入电极导管,行心内电生理检查,结合患者冠状窦电极和患者术前体表心电图及其病史,明确室速来源,如右心室心外膜室速、左心室心外膜室速等。
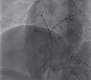
(4)在X线透视下行经皮剑突下心包穿刺术(图2-4-1)。当针头接近心脏轮廓时,推注少许造影剂以判断针尖是否已进入心包腔,证实穿刺心包腔成功后,经穿刺针插入J型长钢丝,置入8F血管鞘至心包腔内。
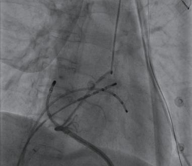
(5)经8F血管鞘送入二十极电极导管,以Velocity导管指引,在三维标测系统下行心外膜基质标测,提示室速来源晚电位(如左心室游离壁或右心室游离壁)后,起搏量化推测出心动过速通道,Turbo模式匹配出折返环,心动过速下标测精准的理想消融靶点(图2-4-2)。
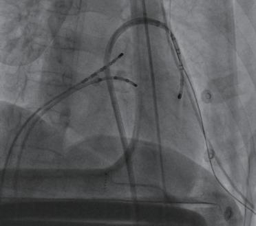
(6)经股动脉鞘送入冠状动脉造影导管行冠状动脉造影,以观察消融导管与冠状动脉的距离,确认消融靶点部位避开冠状动脉后(图2-4-3),起搏并确认避开膈神经位置,放电消融至室速终止。
图2-4-1 置入心室电极后行心包穿刺
图2-4-2 心外膜下标测靶点
图2-4-3 行冠状动脉造影确定靶点远离冠状动脉
(7)反复以标测电极导管行心内膜及心外膜电生理检查,如静脉滴注盐酸异丙肾上腺素注射液不再诱发室速和室早,则说明消融成功。经X线透视心影无增大,床边行超声心动图检查确认心包腔内无积液,退出电极,拔出消融导管,心包腔内留置引流管,经引流管向心包腔内推注硫酸地塞米松5mg,以防心包粘连。
(8)妥善固定心包引流管、气管插管、导尿管等,送患者返回重症监护室密切监测,24小时后如血流动力学稳定、患者清醒,则拔除气管插管。生命体征平稳,且复查床旁超声心动图无心包积液者,可转入普通病房。
(9)观察3~5天,复查超声心动图示仍无心包积液,可拔出鞘管及心包引流管。
心外膜射频消融术应在配置麻醉机、超声心动图检查仪等仪器设备,以及新风系统或层流系统的导管室进行。室内要求环境安全、宽敞清洁、光线明亮、温湿度适宜,空气消毒机正常运行,屏蔽设施完好。
(1)导管室温度设置在22~25℃,相对湿度55%~60%。术前30分钟应按要求进行空气净化消毒。使用消毒液擦拭导管室所有物品,包括手术床、加药治疗台、手术用长车等。
(2)控制导管室人员,严防交叉感染。室内可有手术主刀医生1人、助手1~2人、程控刺激工程师1人、跟台护士1人、跟台放射技师1人、麻醉师1人,总人数不超过7人。
(1)评估患者的病情、意识、合作程度。术前禁食禁饮6~8小时,停用抗心律失常药5个半衰期以上。对于体内植入除颤器的患者,术前须程控关闭除颤器的治疗功能,以免术中将射频电流误感知为快速性室性心律失常,造成误放电。
(2)患者手术知情同意书及全麻知情同意书必须由手术主刀医生、麻醉师、患者及患者家属签署全名,且签署时间要具体到分钟。
(3)评估患者各项检查是否完善,有无异常,如血常规、肝肾功能、电解质、凝血指标、血型、常规心电图、动态心电图、胸部X线、超声心动图等。
(4)评估患者的生命体征、吸烟史、过敏史、家族史、既往史。
(5)评估患者的皮肤准备,包括胸前区及腹股沟处皮肤是否完整,有无备皮,有无皮疹及过敏。
(6)评估患者带入管道(包括中心静脉通道、外周静脉通道、胃管、导尿管及其他各种引流管)有无堵塞、折叠,以及引流物的颜色、性状和量。
见表2-4-1。
表2-4-1 室性心动过速心外膜射频消融术中常用物品准备
见表2-4-2。
表2-4-2 室性心动过速心外膜射频消融术中常用药品准备
包括DSA机、麻醉机、超声心动图检查仪、心脏体外除颤仪、多导联心电生理记录仪、程序刺激仪、三维标测系统、体表参考电极、射频消融仪、冷盐水灌注泵、ACT监测仪、中心供氧及负压吸引装置、简易呼吸囊、呼吸机、恒速泵、无创血压血氧监测仪、临时起搏器、心包穿刺器械、气管插管器械、气管切开器械。术前应检查各种仪器设备,确保其功能处于良好状态。
(1)严格执行手术安全核查制度,术前与手术医生及麻醉师共同核对患者姓名、性别、年龄、病区、床号及住院号,确保患者、手术方式无误。
(2)向患者及家属做好术前宣教,简要告知手术过程及手术所需时间。确认患者已脱除内衣裤、活动心电监护仪,卸除身上所有饰物及义齿,排空大小便,着病号服,戴无菌口罩及帽子。用车床或病床将患者送入导管室。
患者进入导管室后,予准确连接12导联心电监护仪、袖带式血压监测仪及血氧探头,监测患者血氧饱和度,持续监测患者生命体征。于左上肢建立静脉通道,连接三通管及延长管,确保输液通畅。实施必要的保护和约束措施,告知患者术中制动的重要性以取得其配合。
在0.9%氯化钠注射液1000mL中加入肝素钠注射液1000U,配制后连接冷盐水灌注管,充分排气后接冷盐水灌注仪,调节灌注仪流速,术中保持灌注管道密闭、通畅,持续灌注,并及时更换液体,严防空气栓塞。连接有创血压监测管道,充分排气后校零备用。协助麻醉师进行全麻,必要时留置中心静脉管以备术中快速补液。连接呼吸机管道,必要时予患者气管插管,呼吸机辅助呼吸。要熟悉各种耗材的性能、特点和适用范围,并根据手术进程按需开启。
手术时间较长,因此术前要确保手术床平整。协助患者仰卧,解开衣扣,充分暴露胸前区皮肤。患者骶尾部放置气垫或水垫,脚踝、足跟部适当垫高,勿长时间受压,防术中皮肤受压影响血流。将患者的裤子褪至膝关节以下,充分暴露患者的腹股沟部皮肤,并注意保护患者隐私及保暖。嘱患者双手自然放松,放在身体两侧,勿放在胸腹部或腹股沟位置,以防术中影响X线透射及污染手术区域,双腿自然伸直放松,略微展开,勿并拢,术中保持安静,勿随意移动身体及四肢,以免影响手术穿刺、进管等操作。注射麻醉药品前患者去枕平卧,肢体适当约束。全麻后患者保持去枕平卧位,气道充分打开。
见表2-4-3。
表2-4-3 室性心动过速心外膜射频消融术中特殊耗材准备
消毒患者双侧腹股沟,用消毒液以穿刺口为中心向周围涂擦,上平脐,下至大腿中部,两侧至大腿外侧中线,用两个消毒刷分别涂擦一遍;消毒患者心前区皮肤,上至锁骨上沿,下至脐部,两侧至腋前线。铺巾时既要显露穿刺口,又要尽量减少穿刺口周围皮肤的暴露。遵循先近后远的原则,避免污染术者胸前无菌区域。
术中严密监测患者生命体征变化,尤其是心率、心律及无创血压,应每5~10分钟测量一次。在电生理检查过程中,应密切观察患者的意识状态、生命体征及X线透视下的心脏搏动情况,发现异常及时报告医生并处理。术中诱发心律失常时常需静脉滴注盐酸异丙肾上腺素,要控制好盐酸异丙肾上腺素滴注的速度,以免引起心率骤升,并注意血管迷走神经反射致心率骤降的发生。心率上升至滴注药物前的20%以上时要及时提醒医生并遵医嘱停药。为验证消融效果使用腺苷注射液时可能导致患者心脏窦性停搏,故用药前应测试程控刺激仪是否处于可随时起搏的状态。用药后要密切观察患者的心律、心率变化,若诱发了室性心动过速甚至室颤,应立即行心脏电复律术。
目前经心外膜进行消融的患者,常规采取全麻、气管插管、呼吸机辅助呼吸的方式进行,术中除做好全麻护理外,还应注意各种管道的护理。术前留置导尿管,术中严密观察患者的尿量及尿色。麻醉后置入呼吸机管道,术中应妥善放置呼吸机,保证不妨碍DSA机球管摆动,以防手术床移动致呼吸机脱管,要保持呼吸机管道通畅,各项参数在理想范围内。常规予中心静脉置管,置管后密切关注患者输液情况,保持管道通畅,维持患者正常血容量,以防麻醉性低灌注及低血压。为准确持续监测患者血压,手术开始前通常要置入动脉压力监测管,管道置入后妥善固定、定时冲管,防止折叠、扭曲、堵塞等影响压力观察。手术过程中需置入心包穿刺管进行消融手术,置管后妥善固定。手术结束后穿刺口予无菌纱布覆盖,无菌贴膜粘贴妥当,留置心包引流管后转运患者至重症监护室继续观察。
术后应根据手术情况对患者穿刺部位进行处理。心前区心包穿刺口覆盖无菌纱布后予无菌贴膜粘贴妥当,保持敷料清洁干燥。股静脉穿刺部位予无菌纱布覆盖包扎止血,术肢伸直制动6小时;若穿刺股动脉,以血管缝合器缝合血管后予弹力胶布加压包扎,或在穿刺部位按压20~30分钟后覆盖无菌纱布,再予弹力绷带交叉加压包扎,术肢伸直制动12小时。其间密切观察穿刺部位有无渗血、血肿,观察术肢足背动脉搏动情况,以及肢体颜色、皮肤温度及感觉有无异常。
心脏压塞的临床症状与心脏穿孔部位及血流外溢的速度相关。当患者突发呼吸困难、烦躁不安、意识模糊或丧失,血压突然下降,心率突然变化,X线透视见心影搏动消失和出现透亮带,超声心动图检查有积液时应高度怀疑心脏压塞,需立即行心包穿刺置管引流术,同时遵医嘱使用血管活性药物,快速静脉补液、输血以维持血流动力学基本稳定,严密观察心包积血量的动态变化,监测活化凝血时间(ACT),必要时使用鱼精蛋白对抗肝素,逆转抗凝,减少出血。如积极处理病情仍无缓解,应及时行外科手术处理。
冠状动脉走行于心外膜,消融易造成冠状动脉损伤闭塞,甚至出现急性心肌梗死及冠状动脉穿孔。为避免损伤冠状动脉,消融前及更换消融靶点时应行冠状动脉造影,明确冠状动脉位置,避开冠状动脉走行。密切观察患者心律、心率变化,有无心电图ST段改变、心率减慢、动态血压下降等情况。一旦发现异常,及时汇报医生,并予以处理。
详细了解膈神经与心脏的解剖关系是预防膈神经损伤的关键。术中消融前应常规高电压起搏,以明确有无膈神经刺激,并采用各种措施尽可能避免在靠近膈神经的部位进行放电消融。消融过程中应高度警惕,一旦考虑有发生膈神经损伤的可能,须立即停止放电,以有效减少膈神经损伤的发生。膈神经损伤时的临床症状包括呼吸困难、咳嗽、乏力。对于术后出现类似肺部感染症状的患者,需提高警惕,及早报告医生,同时尽早行胸部X线或胸部CT检查,排除膈神经损伤。多数膈神经损伤患者经营养神经治疗一段时间后,膈神经功能可完全恢复,远期预后较好。
血管迷走神经反射是多种因素作用下的临床综合征,精神紧张、血容量不足、疼痛刺激、尿潴留等是其常见诱发因素。术后导管拔除时速度过快、拔除留置鞘管、按压止血及穿刺部位弹性绷带包扎过紧等亦可以引起血管迷走神经反射。患者常表现为面色苍白、大汗淋漓、恶心呕吐、心率减慢、血压下降、短暂心脑缺血甚至晕厥,严重时可致心脏停搏。应严密观察患者生命体征,尤其是心律、心率、血压的变化,出现血管迷走神经反射时立即使患者平卧,头偏向一侧,防止呕吐物误吸,并立即加快输液速度。静脉注射阿托品、多巴胺等可有效改善血管迷走神经反射的症状。
术中使用麻醉药物可导致患者外周血管扩张、血管阻力下降、血容量减少,从而引起血压下降,故手术开始前需留置中心静脉管、桡动脉或股动脉穿刺管进行中心静脉压监测、动态血压监测,术中严密观察血压变化,积极补充血容量。可加压快速输注液体,麻醉开始后即快速输注羟乙基淀粉130/0.4电解质注射液以预防血容量不足引起的低血压。术中可持续泵入去氧肾上腺素以收缩血管提升血压,并根据血压情况随时调整输注速度。
(詹惠敏、王春红、黄晓燕)