



室性早搏即室性期前收缩(premature ventricular beat,PVB),简称室早,是临床上最常见的心律失常,可发生在正常人中或器质性心脏病患者中,常规药物治疗效果不佳且药物副作用多。随着科技的进步,在三维标测系统指导下行射频导管消融术治疗的技术日趋成熟,是目前比较理想的治疗方法。针对那些单形性、频发、症状严重且药物治疗无效的患者或频发室早触发室性心律失常风暴的患者,成功的射频消融治疗可以起到改善症状、提高生活质量、避免药物副作用和预防猝死的作用。
(1)室性早搏所带来的一系列症状已显著损害患者的生活质量。
(2)患者不愿接受长期药物治疗。
(3)药物治疗不佳或不能耐受药物治疗的室早。
(4)症状明显的持续性或非持续性单形性室性心动过速。
(5)束支折返性室性心动过速。
(6)除颤器植入后因室性心动过速持续性发作而频繁放电,程控或药物治疗无效或患者不愿接受长期药物治疗。
(1)常规消毒、铺巾后以1%盐酸利多卡因注射液局部麻醉穿刺点。
(2)根据患者体表心电图提示的室性早搏起源点确定穿刺股静脉还是股动脉。如室早起源点是右心室流出道则穿刺股静脉,置入标测电极导管及消融导管至右心室流出道。如室早起源点为左心室流出道则穿刺股动脉或穿刺股静脉后再进行房间隔穿刺,然后置入标测电极导管及消融导管至左心室流出道。
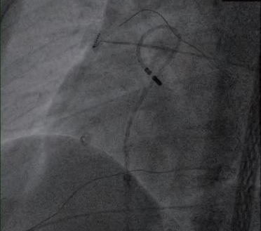
(3)在Carto或Ensite标测系统下实时重建心腔的三维解剖模型,采用激动标测或者起搏标测观察激动顺序颜色的变化,准确标测室早的最早激动部位,寻找消融靶点。放电消融直至室早终止(图2-3-1)。
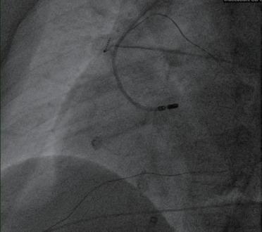
(4)室早起源于主动脉窦、左心室或左心室流出道的患者可能需要穿刺股动脉进行手术,必要时需进行冠状动脉造影,明确消融靶点,避开冠状动脉后,再放电消融至室早终止(图2-3-2)。
(5)反复心内电生理检查及静脉滴注盐酸异丙肾上腺素注射液,如不能诱发室早,说明消融成功。退出电极,拔出消融导管及鞘管。股静脉穿刺者按压止血后予弹力胶布加压包扎,股动脉穿刺者按压止血后予弹力绷带交叉加压包扎,亦可予血管缝合器缝合股动脉穿刺口后予弹力胶布加压包扎,再送患者安返病房。
图2-3-1 股静脉入路行右心室来源室早消融
图2-3-2 股动脉入路行左心室来源室早消融
室早射频消融术应在安装有新风系统或层流系统的导管室进行。室内环境安全、宽敞清洁、光线明亮、温湿度适宜,空气消毒机正常运行,屏蔽设施完好。
(1)导管室温度设置在22~25℃,相对湿度55%~60%。术前30分钟应按要求进行空气净化消毒。使用消毒液擦拭导管室所有物品,包括手术床、加药治疗台、手术用长车等。
(2)控制导管室人员,严防交叉感染。室内人员包括手术主刀医生1人、助手1人、程控刺激工程师1人、跟台护士1人、跟台放射技师1人,总人数不超过5人。
(1)评估患者的病情、意识、合作程度。术前停用抗心律失常药5个半衰期以上。
(2)患者手术知情同意书必须由手术主刀医生、患者及患者家属签署全名,且签署时间要具体到分钟。
(3)评估患者各项检查是否完善,有无异常,如血常规、肝肾功能、电解质、凝血指标、血型、常规心电图、动态心电图、胸部X线、超声心动图等。
(4)评估患者的生命体征、吸烟史、过敏史、家族史、既往史。
(5)评估患者的皮肤准备,包括手术区域皮肤是否完整,有无备皮,有无皮疹及过敏。
(6)评估患者带入管道(包括中心静脉通道、外周静脉通道、胃管、导尿管及其他各种引流管)有无堵塞、折叠,以及引流物的颜色、性状和量。
见表2-3-1。
表2-3-1 室性早搏射频消融术中常用物品准备
续表
见表2-3-2。
表2-3-2 室性早搏射频消融术中常用药品准备
包括DSA机、心脏体外除颤仪、多导联心电生理记录仪、程序刺激仪、三维标测系统、体表参考电极、射频消融仪、冷盐水灌注泵、ACT监测仪、中心供氧及负压吸引装置、简易呼吸囊、恒速泵、无创血压血氧监测仪。必要时备临时起搏器、心包穿刺器械、气管插管器械、气管切开器械。术前应检查各种仪器设备,确保其功能处于良好状态。
(1)严格执行手术安全核查制度,术前与手术医生共同核对患者姓名、性别、年龄、病区、床号及住院号,确保患者、手术方式对应无误。
(2)向患者及家属做好术前宣教,简要告知手术过程及手术所需时间。确认患者已脱除内衣裤、活动心电监护仪,卸除身上所有饰物及义齿,排空大小便,着病号服,更换导管室室内鞋,戴无菌口罩及帽子进入导管室。
患者进入导管室后,予准确连接12导联心电监护仪、袖带式血压监测仪及血氧探头,持续监测患者生命体征。于左上肢建立静脉通道,连接三通管及延长管,确保输液通畅。实施必要的保护和约束措施,告知患者术中制动的重要性以取得配合。
在0.9%氯化钠注射液1000mL中加入肝素钠注射液1000U,配制后连接冷盐水灌注管,充分排气后接冷盐水灌注仪,调节灌注仪流速,术中保持灌注管道密闭、通畅,持续灌注,并及时更换液体,严防空气栓塞。熟悉各种耗材的性能、特点和适用范围,并根据手术进程按需开启。
确保手术床平整,协助患者仰卧,解开衣扣,将其衣服背面往其腰腹部牵拉平整,勿垫在臀部,以防术中浸湿。将患者的裤子褪至膝关节以下,充分暴露患者的腹股沟部皮肤,注意保护患者隐私及保暖。嘱患者双手自然放松,放在身体两侧,勿放在胸腹部或腹股沟位置,以防术中影响X线透射,双腿自然伸直放松,略微展开,勿并拢,术中保持安静,勿随意移动身体及四肢,以免影响手术穿刺、进管等操作。
见表2-3-3。
表2-3-3 室性早搏射频消融术中特殊耗材准备
消毒患者双侧腹股沟,用消毒液以穿刺口为中心向周围涂擦,上平脐,下至大腿中部,两侧至大腿外侧中线,用两个消毒刷分别涂擦一遍,穿刺进针前再次以碘伏消毒。铺巾时既要显露穿刺口,又要尽量减少穿刺口周围皮肤的暴露。遵循先近后远的原则,避免污染术者胸前无菌区域。
术中严密监测患者生命体征变化,尤其是心率、心律及无创血压,5~10分钟测量1次。在心内电生理检查过程中,应密切观察患者的意识状态、生命体征及X线透视下的心脏搏动情况。询问患者有无胸闷、心悸、呼吸困难等症状,发现异常及时报告医生并处理。术中诱发心律失常时常需静脉滴注盐酸异丙肾上腺素,在快速滴注药物过程中,患者会出现心慌、心悸甚至胸闷、恶心、头痛等不适,应注意观察患者反应,控制好盐酸异丙肾上腺素滴注的速度,以免引起心率骤升。注意血管迷走神经反射致心率骤降的发生。心率上升至滴注药物前的20%以上时及时提醒医生并遵医嘱停药。
因手术采用局部麻醉,而消融靶点部位时温度升高,患者会自觉胸痛,所以在放电前应告知患者可能发生的疼痛不适属正常现象,不能忍受时要及时告知医生调整放电功率,避免身体移动或深呼吸造成标测及放电误差。密切观察患者呼吸、血氧饱和度、血压等变化,警惕疼痛引起的血管迷走神经反射。
术中诱发心律失常以及放电消融后验证异常心电传导途径是否消融成功时需使用盐酸异丙肾上腺素注射液,在静脉滴注盐酸异丙肾上腺素注射液的过程中,患者会出现心慌、心悸甚至胸闷、恶心、头痛等不适,跟台护士应在手术床边陪侍患者,及时给予患者解释及安慰,注意观察患者反应,控制好盐酸异丙肾上腺素注射液滴注的速度,患者心率上升至滴注药物前的20%以上时及时提醒医生并遵医嘱停药。使用腺苷注射液验证消融效果出现房室旁路阻滞的患者会有一过性的胸闷,甚至窦性停搏,故用药前应确保程控刺激仪处于随时起搏的功能状态,并做好患者的解释工作,用药后密切观察患者反应。观察室早是否增多、有无室性心动过速的发生,如有且不能转为窦性心律,应做好心脏电复律术的准备。
术后应根据手术情况对患者穿刺部位进行处理。股静脉穿刺部位用无菌纱布覆盖包扎止血,术肢伸直制动6小时;若穿刺股动脉,应按压穿刺部位,必要时予无菌纱布覆盖后弹力绷带交叉加压包扎,术肢伸直制动。密切观察穿刺部位有无渗血、血肿,穿刺侧肢体足背动脉搏动情况,肢体颜色、皮肤温度及感觉有无异常。密切观察患者的血压变化,以及穿刺血管是否有出血情况的发生。
嘱患者术后卧床休息。指导患者进行下肢平移及踝泵运动,嘱患者24小时以后可以下床适当活动,活动的时长要循序渐进。术后指导患者适量饮水,一旦发生尿潴留要及时诱导排尿或导尿,以免膀胱过度充盈发生意外。同时术后要观察患者体温和血象的变化。指导患者遵医嘱口服阿司匹林100mg,每天1次,共服用1个月,不可擅自增减药量,如有不适,立即就诊。
心脏压塞的临床症状与心脏穿孔部位及血流外溢的速度相关。当患者突发呼吸困难、烦躁不安、意识模糊或丧失,血压突然下降,心率突然变化,X线透视显示心影搏动消失、出现透亮带,超声心动图检查有积液时应高度怀疑心脏压塞,需立即行心包穿刺置管引流术,同时遵医嘱使用血管活性药物,快速静脉补液、输血以维持血流动力学基本稳定,严密观察心包积血量的动态变化,监测活化凝血时间(ACT),必要时使用鱼精蛋白对抗肝素,逆转抗凝,减少出血。如经积极处理,病情仍无缓解,应及时行外科手术。
冠状动脉走行于心外膜,消融易造成冠状动脉损伤闭塞,甚至出现急性心肌梗死及冠状动脉穿孔。术中应密切观察患者的临床表现,包括有无胸痛、胸闷、心电图ST段改变等,治疗中可间断行冠状动脉造影,明确冠状动脉位置和血流情况。一旦发现异常,及时报告医生。
在消融右侧间隔希氏束和左侧间隔左束支附近起源的室早,以及右侧中间隔近瓣环处和左后间隔近瓣环处起源的室早时,都有引起房室传导阻滞的可能,应注意在希氏束及左束支电位明显处尽量避免放电。消融时从低能量开始,及时记录每次放电的时间、功率、温度、阻抗等参数。术中应严密观察心律、心率的变化,如出现P-R间期延长超出原来的50%或出现房室分离,应警惕三度房室传导阻滞的发生。对于消融所致房室传导阻滞,可给予激素治疗,静脉滴注异丙肾上腺素维持心率,必要时行人工临时起搏器安置术。
血管迷走神经反射是多种因素作用下的临床综合征,精神紧张、血容量不足、疼痛刺激、尿潴留等是其常见诱发因素。术后导管拔出时速度过快、拔除留置鞘管按压止血及穿刺部位弹性绷带包扎过紧等亦可以引起血管迷走神经反射。患者常表现为面色苍白、大汗淋漓、恶心呕吐、心率减慢、血压下降,以及短暂的心脑缺血甚至晕厥,严重时可致心脏停搏。应严密观察患者生命体征,尤其是心律、心率、血压的变化,出现血管迷走神经反射时立即使患者平卧,头偏向一侧,防止呕吐物误吸,并加快输液速度。静脉注射阿托品、多巴胺等可有效改善血管迷走神经反射的症状。
(詹惠敏、李国琪、吴湘华)