



室上性心动过速(supraventricular tachycardia,SVT)简称室上速,是一组以突发突止为特征、发作时规则而快速的心律失常,心电图QRS波形态多表现正常,RR间期绝对规则,患者常伴有心悸、乏力、头晕、胸闷不适、呼吸困难等。根据电生理机制,可将室上速分为房室结折返性心动过速(AVNRT)、房室折返性心动过速(AVRT)、局灶性房性心动过速(房速)、典型心房扑动(房扑)、交界性心动过速、窦性心动过速(窦速)。射频消融术是通过导管将射频能量作用于心脏内引起快速性心律失常的特殊部位或构成心动过速折返环路的关键组成部分,使该处心肌组织温度升高、细胞内外水分蒸发,产生局部凝固性坏死,从而起到根治快速性心律失常的作用。这是目前治疗室上性心动过速最有效的方法。
(1)房室结折返性心动过速。
(2)房室折返性心动过速。
(3)局灶性房性心动过速。
(4)典型心房扑动。
(5)交界性心动过速。
(1)常规消毒、铺巾后以1%利多卡因局部麻醉穿刺点。
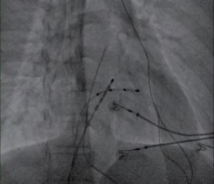
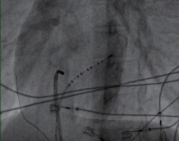
(2)常规选择股静脉穿刺两次或三次,分别置入四极标测电极导管至右心室(图2-2-1)、十极标测电极导管至冠状窦(图2-2-2),必要时再放置四极标测电极导管至希氏束;或者先穿刺一侧股静脉,再穿刺一侧颈静脉或锁骨下静脉作为放置标测电极的入路。
(3)电极放置妥当后,进行程序刺激,然后记录高位右心房、希氏束、冠状窦、右心室等部位的心腔内电活动。
(4)通过心房、心室增频刺激和程序刺激,观察房室前向传导及室房逆向传导特征,确定各级传导组织的不应期、房室激动顺序、折返途径、传导阻滞定位等。
(5)如果不能诱发心动过速则静脉滴注异丙肾上腺素后重复刺激直至诱发心动过速,进一步明确诊断室上速的类型。
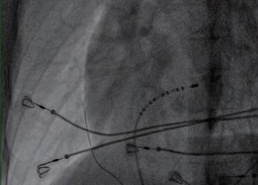
(6)确定室上速类型及异位起源点后,将6F股动脉鞘更换为8F长鞘,在X线透视下将消融导管置入心腔完成射频消融术治疗(图2-2-3)。
(7)反复电生理检查及静脉滴注盐酸异丙肾上腺素,如不再诱发心动过速,则说明消融成功。退出电极,拔出消融导管及鞘管。穿刺处压迫止血后予弹力胶布加压包扎,送患者安返病房。
图2-2-1 电极导管置入右心室
图2-2-2 电极导管置入冠状窦
图2-2-3 置入消融导管进行射频消融手术
SVT射频消融术应在安装有新风系统或层流系统的导管室进行。室内环境安全、宽敞清洁、光线明亮、温湿度适宜,空气消毒机正常运行,屏蔽设施完好。
(1)导管室温度设置在22~25℃,相对湿度55%~60%。术前30分钟应按要求进行空气净化消毒。使用消毒液擦拭室内所有物品,包括手术床、加药治疗台、手术用长车等。
(2)控制导管室人员,严防交叉感染。室内人员包括手术主刀医生1人、助手1人、程控刺激工程师1人、跟台护士1人、跟台放射技师1人,总人数不超过5人。
(1)评估患者的病情、意识、合作程度。术前停用抗心律失常药5个半衰期以上。
(2)患者手术知情同意书必须由手术主刀医生、患者及患者家属签署全名,且签署时间要具体到分钟。
(3)评估患者各项检查是否完善、有无异常,如血常规、肝肾功能、电解质、凝血指标、血型、常规心电图、动态心电图、胸部X线、超声心动图等。
(4)评估患者的生命体征、吸烟史、过敏史、家族史、既往史。
(5)评估患者的皮肤准备,包括手术区域皮肤是否完整,有无备皮,有无皮疹及过敏。
(6)评估患者带入管道(包括中心静脉通道、外周静脉通道、胃管、导尿管及其他各种引流管)有无堵塞、折叠,以及引流液的颜色、性状和量。
见表2-2-1。
表2-2-1 室上性心动过速射频消融术中常用物品准备
见表2-2-2。
表2-2-2 室上性心动过速射频消融术中常用药品准备
包括DSA机、心脏体外除颤仪、多导联心电生理记录仪、程序刺激仪、三维标测系统、体表参考电极、射频消融仪、冷盐水灌注泵、ACT监测仪、中心供氧及负压吸引装置、简易呼吸囊、恒速泵、无创血压血氧监测仪。必要时备临时起搏器、心包穿刺器械、气管插管器械、气管切开器械。术前应检查各种仪器设备,确保其功能处于良好状态。
(1)严格执行手术安全核查制度,术前与手术医生共同核对患者姓名、性别、年龄、病区、床号及住院号,确保患者、手术方式无误。
(2)向患者及家属做好术前宣教,简要告知手术过程及手术所需时间。确认患者已脱除内衣裤、活动心电监护仪,卸除身上所有饰物及义齿,排空大小便,着病号服,更换导管室室内鞋,戴无菌口罩及帽子进入导管室。
患者进入导管室后,予准确连接12导联心电监护仪、袖带式血压监测仪及血氧探头,持续监测患者生命体征。建立左上肢静脉通道,连接三通管及延长管,确保输液通畅。实施必要的保护和约束措施,告知患者术中制动的重要性,以取得其配合。
确保手术床平整,协助患者仰卧,解开衣扣,将其衣服背面往其腰腹部牵拉平整,勿垫在臀部,以防术中浸湿。将患者的裤子褪至膝关节以下,充分暴露患者的腹股沟部皮肤,并注意保护患者隐私及保暖。嘱患者双手自然放松,放在身体两侧,勿放在胸腹部或腹股沟位置,以防术中影响X线透射,双腿自然伸直放松,略微展开,勿并拢,术中保持安静,勿随意移动身体及四肢,以免影响手术穿刺、进管等操作。
见表2-2-3。
表2-2-3 室上性心动过速射频消融术中特殊耗材准备
消毒患者双侧腹股沟,用消毒液以穿刺口为中心向周围涂擦,上平脐,下至大腿中部,两侧至大腿外侧中线,用两个消毒刷分别涂擦一遍,穿刺进针前再次以碘伏消毒。铺巾时既要显露穿刺口,又要尽量减少穿刺口周围皮肤的暴露。遵循先近后远的原则,避免污染术者胸前无菌区域。
术中严密监测患者生命体征变化,尤其是心率、心律及无创血压,5~10分钟测量一次。电生理检查过程中,应密切观察患者的意识状态、生命体征及X线透视下的心脏搏动情况,询问患者有无胸闷、心悸、呼吸困难等症状,发现异常及时报告医生并处理。术中诱发心律失常时常需静脉滴注盐酸异丙肾上腺素,在快速滴注药物过程中,患者会出现心慌、心悸甚至胸闷、恶心、头痛等不适,应陪侍患者,及时给予解释及安慰,注意观察患者反应。控制好盐酸异丙肾上腺素滴注的速度,以免引起心率骤升,注意血管迷走神经反射导致的心率骤降。心率上升至滴注药物前的20%以上时及时提醒医生并遵医嘱停药。
因手术采用的是局部麻醉,而消融靶点部位温度升高会使患者自觉胸痛,所以在放电前应告知患者上述疼痛不适属正常现象,但如不能忍受要及时告知医生,由医生调整放电功率,避免患者身体移动或深呼吸造成标测及放电误差。密切观察患者呼吸、血氧饱和度、血压等变化,警惕疼痛引起的血管迷走神经反射。
术中诱发心律失常以及放电消融后验证异常心电传导途径是否被阻断均需使用盐酸异丙肾上腺素注射液,在静脉滴注盐酸异丙肾上腺素注射液的过程中,患者会出现心慌、心悸甚至胸闷、恶心、头痛等不适,应在手术床边陪侍患者,及时给予患者解释及安慰,注意观察患者反应。控制好盐酸异丙肾上腺素注射液滴注的速度,当患者心率上升至滴注药物前的20%以上时及时提醒医生并遵医嘱停药。使用腺苷注射液验证消融后房室旁路阻滞的患者会出现一过性的胸闷,甚至窦性停搏,用药前应确保程控刺激仪处于随时起搏的功能状态,并做好患者的解释工作,用药后密切观察患者反应。
术后应根据手术情况对患者穿刺部位进行处理。股静脉穿刺部位用无菌纱布覆盖包扎止血,术肢伸直制动6小时;若穿刺股动脉应按压穿刺部位,必要时予无菌纱布覆盖后用弹力绷带交叉加压包扎,术肢伸直制动。密切观察穿刺部位有无渗血、血肿,术肢足背动脉搏动情况,肢体颜色、皮肤温度及感觉有无异常。
术后嘱患者卧床休息。指导患者进行下肢平移及踝泵运动,嘱患者24小时以后可以下床适当活动,活动的时长要循序渐进。术后指导患者适量饮水,一旦发生尿潴留要及时诱导排尿或导尿,以免膀胱过度充盈发生意外。同时术后要观察患者体温和血象变化。指导患者遵医嘱口服阿司匹林100mg,每天1次,共服1个月,不可擅自增减药量,如有不适,立即就诊。
射频消融术涉及血管穿刺、血管及心腔内导管操作、直接消融和损伤心肌,因此术中及术后均可出现并发症,严重者或抢救不及时可能导致患者死亡。在临床工作中应密切观察患者生命体征、认真倾听患者主诉,对出现(或潜在)的并发症应及早发现、及早诊断、及早治疗。其并发症主要包括血管迷走神经反射、房室传导阻滞、肺栓塞,以及心脏压塞、气胸、血管穿刺并发症等。
血管迷走神经反射是射频消融术中及术后最常见的并发症之一。
精神紧张、血容量不足、疼痛刺激、尿潴留是其常见诱发因素;射频消融术后导管撤出时速度过快、拔除留置鞘管、按压止血及穿刺部位弹性绷带包扎过紧等亦可引起血管迷走神经反射。
常表现为面色苍白、出冷汗、恶心、呕吐、心率减慢、血压急剧下降,以及短暂的心脑缺血甚至晕厥,严重时可致心脏停搏。
严密监测患者术中及术后的生命体征,尤其是心率、血压的变化。一旦发生血管迷走神经反射,应遵医嘱快速静脉补液或静脉注射硫酸阿托品注射液、重酒石酸间羟胺注射液或盐酸多巴胺注射液等药物以提高心率、血压,积极安慰患者、消除其焦虑心理有助于改善血管迷走神经反射的症状。注意要使患者平卧,头偏向一侧,防止呕吐物误吸。
房室传导阻滞是射频消融术的严重并发症之一,其发生率为0.2%~1%。
房室传导阻滞可见于对房室结折返性心动过速患者进行房室结改良,对间隔部位旁道、游离壁部位旁道、间隔部位房速和室速(消融部位邻近希氏束)等心动过速的消融,以及导管机械损伤房室结或希氏束、原有束支阻滞因消融或机械损伤导致另一束支阻滞。
患者常自觉头晕、胸闷,严重者可发生阿-斯综合征(心源性晕厥),心电监护可见三度房室传导阻滞及室性异搏心律。
(1)严密监测术中及术后的心律、心率的变化。如出现P-R间期延长,超出原来的50%或出现房室分离,应警惕三度房室传导阻滞(图2-2-4)的发生。
图2-2-4 三度房室传导阻滞心电图
(2)对于消融后心肌水肿导致的暂时性房室传导阻滞,可遵医嘱给予琥珀氢化可的松钠静脉滴注以尽快消除水肿;同时遵医嘱予异丙肾上腺素静脉滴注,注意根据心律、心率的变化调节滴速。
(3)对于消融术所致完全性房室传导阻滞,应协助医生行人工临时起搏器安置术。观察起搏、感知功能是否良好,指导患者进行正确的肢体制动及活动,防止发生电极脱位、脱落和电极穿孔,确保患者安全。
肺栓塞是射频消融治疗中比较严重的并发症。
术中鞘管肝素冲洗不及时,管内血凝块形成,冲入静脉;导管操作时间长未及时追加肝素;股动脉、股静脉穿刺部位加压过重,包扎过久;术后肢体制动时间过长,原有下肢静脉曲张,老年和高凝状态等因素均能促使下肢静脉血栓形成并导致肺栓塞。
患者常有呼吸困难、胸痛、晕厥、烦躁、咯血、咳嗽、心悸等表现,可见呼吸急促、心动过速、血压下降、发绀、颈静脉充盈、肺内细湿啰音。
(1)严密监测患者术中及术后的生命体征,尤其是呼吸、血氧饱和度的变化。
(2)手术时间较长时应遵医嘱适当补液,及时追加肝素。
(3)术后观察患者肢体活动情况。观察有无下肢肿胀、疼痛及皮肤温度、感觉改变等,警惕深静脉血栓形成。在解除制动后患者活动时血栓可发生脱落,严重者可出现肺栓塞,一旦发生肺栓塞,应积极配合医生予抗凝、溶栓治疗,同时加强患者的生活护理。
(詹惠敏、李国琪、李启龙)