购买
下载掌阅APP,畅读海量书库
立即打开
畅读海量书库
扫码下载掌阅APP

第二节
胆系结石

一、胆囊结石

胆囊结石(gallbladder stones)是最常见的胆囊疾病。胆囊结石形成的原因复杂,一般认为与胆系感染、胆汁的理化性质改变、胆汁滞留及寄生虫病等有密切关系。胆囊结石往往合并胆囊炎,且互为因果,最终胆囊缩小,囊壁增厚,腔内可充满结石。

1.病理概要 胆囊结石按所含主要化学成分不同可分为3类。

(1)胆固醇结石。其主要成分为胆固醇,结石多为单发,呈球形或类球形,直径较大,白色或黄色,因钙含量较少,X线平片可不显影。其比重较小,可漂浮在胆汁中。

(2)胆色素结石。其主要成分为胆色素,呈松软的泥沙状,棕色或橘红色,一般数目较多,X线平片常不显影,称为阴性结石。

(3)混合性结石。其主要成分为胆固醇、胆色素和钙盐,颗粒较小,表面光滑,呈多面体,常为多发,因钙含量较多,一般X线平片可显影。

2.临床表现 当结石还是泥沙状或很软时,一般没有明显症状,或仅有轻微的右上腹不适、嗳气。当结石长到一定大小,质地比较硬,在某种原因(如进食)作用下引起胆管收缩,才会出现右上腹疼痛,有时右上腹疼痛可呈持续性,并向右肩部或背部放射。发生梗阻时可出现右上腹胆绞痛、黄疸;合并感染时可伴寒战、发热。部分患者胆绞痛发作时可引起心电图改变(胆心综合征)。查体可见墨菲征阳性,肝区叩痛。

3.超声表现

(1)典型的胆囊结石具有三大特征。

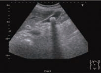
1)胆囊腔内高/强回声团。胆囊结石与周围液性胆汁声阻抗差较大,使得胆囊结石的边界可清楚显现。由于结石本身的形状、结构和成分不同,其回声形态可有较大差别。结构较致密且表面较光滑的结石,表现为新月形强回声(图5-6);结构较松散的结石,由于透声性好,结石的全貌均可被显示,呈满月形强回声(图5-7);数个堆积在一起的小结石可产生堆积状、沙堆状强回声(图5-8)。

图5-6 胆囊致密结石(新月形)及声影

图5-7 胆囊疏松结石(满月形)及声影

图5-8 胆囊多发结石(堆积状、沙堆状)及声影

2)强回声团伴有声影。结石强回声后方,与声束入射方向一致的无回声暗带,即声影(图5-7)。它是结石对声能的吸收及反射的综合效应。典型的声影对确定胆结石比强回声更具有特异性。直径<0.3 cm的小结石,由于腹部探头声束波长产生绕射,声影不明显。

3)强回声团随体位改变而移动。由于结石的密度与胆汁不同,患者体位变动时胆囊结石会迅速或者缓慢移动,以此诊断胆结石的准确率接近100%,也可用于与胆囊赘生物的鉴别诊断。部分患者的结石与胆囊壁有轻度粘连,通过探头加压振动,有可能使其分离。

(2)非典型胆囊结石的声像图表现。

1)充填型胆囊结石。位于胆囊窝的正常胆囊液性透声腔消失,胆囊轮廓的前壁呈弧形或半月形光带,胆囊腔被不规则的强回声及后方的宽大声影取代,胆囊的后壁完全不显示。这种现象简称为囊壁结石声影三合征,即WES征(图5-9)。注意不要与肠气回声相混淆造成漏诊、误诊。

2)胆囊颈结石。当结石嵌顿于胆囊颈部时,由于囊壁螺旋襞与结石紧密接触,其间无胆汁衬托,强回声减弱,声影混淆,检查者若不留意,容易漏诊,需多切面扫查,通过胆囊肿大和颈部的声影进行诊断;若颈部结石尚未嵌顿,周围有胆汁衬托,在横断面上出现靶环征,则较易诊断(图5-10)。

图5-9 充填型胆囊结石(WES征)

图5-10 胆囊颈结石(声影区)合并急性胆囊炎

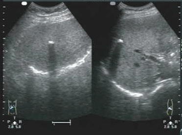
3)胆囊泥沙样结石。泥沙样结石沉积在胆囊最低位置,呈层状分布的高回声带,后方有弱声影,如颗粒较粗或沉积较厚时,不难诊断。如结石细小、沉积层较薄时,可能无明显声影,仅表现为胆囊后壁较粗糙,回声稍增强,极易与胆囊后壁的增强效应相混淆。借助移动体位,实时观察结石的移动,对诊断泥沙样结石有较大的帮助(图5-11)。

图5-11 胆囊泥沙样结石

A:平卧位;B:左侧卧位,胆囊内泥沙样结石向重力方向移位并铺平。

4)胆囊壁间结石。在胆囊壁上附着一个或多个强回声光点,其后方伴有彗星尾征,改变体位时不移动(图5-12)。胆固醇性息肉也表现为囊壁强回声斑并有彗星尾征,且较胆囊壁间结石常见,所以胆囊壁间结石超声诊断较少。

5)胆囊切除术后胆囊颈管扩张伴结石。胆囊切除后,残存的胆囊管膨大,可复发结石。超声声像图中确认胆囊切除后,在胆囊窝内发现类圆形无回声腔,一般腔很小,腔内见强回声,伴声影(图5-13)。

图5-12 胆囊壁间结石(箭头所指:后方伴彗星尾征)

图5-13 胆囊切除术后胆囊颈管扩张伴结石及声影

4.鉴别诊断 依据超声声像图中胆囊内的强回声并伴有声影,以及随体位改变而移动的特点,可以对绝大多数胆囊结石作出正确诊断,其准确率>95%。对非典型胆囊结石应注意排除假阳性和假阴性的干扰。

二、胆管结石

胆管结石(bile duct stones)临床比较常见,占胆系结石发病者的一半以上,其发病机制与人体代谢、寄生虫感染及慢性炎症密切相关,极易引发梗阻性黄疸。依发生部位不同可分为肝外胆管结石和肝内胆管结石。

(一)肝外胆管结石

肝外胆管结石是指位于肝总管和胆总管的结石,约占胆系结石的50%。临床症状主要出现在发病之初,主要表现为上腹部阵发性胆绞痛,有胆管感染者可出现寒战、发热,24 h后出现黄疸,重症可致中毒性休克而危及生命。少数患者(特别是老年人)在结石发作间歇期,无明显症状或仅有轻度的上腹不适。

1.病理概要 肝外胆管结石分为原发性与继发性两种。前者为在肝外胆管内形成的结石,后者为源自肝内胆管或胆囊内的结石。发生结石时,肝外胆管呈不同程度的扩张,胆管壁由于结石反复刺激,产生炎症性充血、水肿、增生,以至纤维化增厚,在超声声像图上表现为扩张的、增厚的胆管壁高回声,管腔内部可见数量不等的结石高/强回声团。结石在胆管内可移动,亦可发生嵌顿而导致完全性梗阻,引起黄疸、化脓性胆管炎,严重者出现查科三联征,即腹痛、高热寒战、黄疸。

2.超声表现

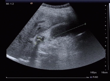
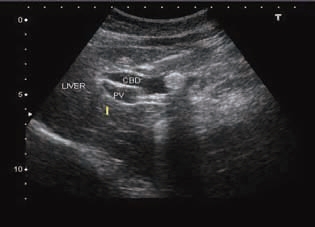
(1)肝外胆管扩张,与门静脉主干形成双筒猎枪征(图5-14)。扩张的胆管壁可增厚,回声增强,内壁欠光滑。结石部位在胆囊管以上者胆囊不增大;结石部位在胆囊管内或以下胆管者胆囊增大;结石在胆总管则可以引起整个胆管系统的扩张。

(2)管腔内出现形态稳定的高/强回声团,与胆管壁间分界清楚。

(3)强回声团后方可见声影。

图5-14 胆总管结石(强光团处)并扩张呈双筒猎枪征

CBD:胆总管;PV:门静脉;LIVER:肝。

(4)部分胆管扩张明显的患者,在改变体位时强回声团可移动。

3.鉴别诊断 超声检查对肝外胆管结石诊断的准确率为80%~90%。胆总管下段结石需与十二指肠气体、蛔虫残骸和回声较强的胆管肿瘤相鉴别。可通过多切面扫查进行鉴别诊断,十二指肠气体形成的强回声形态不固定,周围无连续性管壁回声;蛔虫残骸有节段性的等号样回声;肿瘤后方无声影,胆管壁连续性被破坏。CDFI及超声造影对于肿瘤具有较高的鉴别诊断价值。

(二)肝内胆管结石

临床上,多数肝内胆管结石患者无自觉症状,结石较多且位置较低者可出现肝区和胸背部深在的持续性隐痛。当发生化脓性胆管炎时,可出现寒战、发热、肝区触痛,黄疸较轻或不出现黄疸。

1.病理概要 肝内胆管结石全部为以胆色素为主的混合性结石,好发于左、右肝管汇合区及左肝管,常多发,严重者可致胆管炎性脓肿、胆管狭窄及肝实质萎缩、纤维化。

2.超声表现

(1)肝内沿胆管分支走向出现圆形(图5-15)、泥沙样、团块样、条索状、柱状、树枝状、铸型(图5-16)高/强回声团,结石数量不一。泥沙样及团块样结石可随体位轻微移动;条索状、铸型结石数量大,填塞肝内胆管,无移动性,胆管内通常无胆汁暗区。

(2)大多数结石后方伴有声影,部分结石质地松散,混合炎性渗出,声影不明显,仅表现为中等回声团块或呈条索状。

(3)当有淤滞的胆汁充盈在肝内胆管时,可见光团出现在扩张的胆管内,结石周围有宽窄不等的无回声暗区,胆管前后壁的亮线清晰;若胆管内无淤滞的胆汁,则胆管壁界线显示不清,此时注意伴行的门静脉分支,有助判断。

图5-15 肝内胆管结石(单发圆形)

(4)强回声团远端小胆管轻至中度扩张,出现平行管征(图5-17)。

图5-16 肝内胆管结石(多发性、条索状、柱状、树枝状、铸型)

图5-17 肝内胆管扩张(箭头所指:平行管征)

(5)超声检查对肝内胆管结石的检出率>95%,目前已成为胆管结石的首选诊断方法。既往胆管手术,可造成肝内胆管积气,气体强回声对结石诊断会产生一定程度干扰,需要有经验的超声医师比对形态及其他间接征象加以鉴别诊断。

3.鉴别诊断 肝内胆管结石有时需与肝内胆管积气相鉴别,后者多有手术史,强回声形态不稳定,气体密度较小,始终位于胆管腔的上方,呈薄层状、连续或断续的强回声,细小胆管内呈分布均匀的短等号征,可随体位改变发生轻微移动,后方常有彗星尾征。

(三)胆管扩张的超声表现

1.肝内胆管扩张 在正常情况下,目前包括超声在内的各种影像学检查对于二级以上的肝内胆管尚难以清楚显示。正常左、右肝管内径一般<2 mm,或<伴行的门静脉的1/3,若>3 mm则提示有胆管扩张。若左、右肝管内径为3~4 mm,可诊断为轻度扩张,5~6 mm为中度扩张,≥7 mm为重度扩张。此时扩张的胆管腔内呈无回声暗区,CDFI显示无血流信号。由于二级以上的正常肝内胆管一般情况下显示不清楚,故二级以上末梢支肝胆管内径显示达2 mm即应考虑为轻度扩张而需予以重视;若左、右肝管超过伴行门静脉支宽度的1/3,或达到其宽度呈平行管征时,则应诊断为肝内胆管扩张。

肝内胆管重度扩张时,胆管腔扩张明显超过伴行的门静脉支或压迫使之显示不清呈树杈状、放射状或丛状向肝门部汇集,扩张的胆管后方回声增强,管壁不规则,管道多叉,一直延伸到肝周边。上述情况多见于恶性肿瘤阻塞引起的肝内胆管扩张,尤其是位于高位肝门处的肿瘤。

2.肝外胆管扩张 正常人胆总管内径≤6.0 mm,胆总管内径>7.0 mm提示肝外胆管扩张,但胆囊切除或有胆系手术史的患者除外,因其肝外胆管上段测值常为7.0~10.0 mm。肝外胆管内径>11 mm为明显扩张,尤其是在脂肪餐后,胆管内径仍>10 mm对于确定肝外胆管存在梗阻性病变较为可靠。扩张的肝外胆管多为均匀性扩张,与伴行的门静脉内径相近时,超声声像图呈两条平行的管道,称之为双筒猎枪征。

研究显示,肝外胆管发生梗阻后,胆管的扩张先于黄疸的出现,因为胆管梗阻压力升高时先引起管道扩张,在压力进一步升高导致胆汁逆流后才出现临床黄疸,称为无黄疸性胆管扩张,该现象可见于肿瘤早期或结石不全梗阻状态时。

(四)胆管梗阻部位的判断

1.检查时的判断指标

(1)肝内胆管有无扩张。

(2)单侧或双侧的左、右肝胆管有无扩张。

(3)肝门处胆管有无扩张。

(4)胆囊有无肿大。

(5)胰管有无扩张。

2.判断胆管梗阻部位 根据上述指标,判断梗阻所在部位(图5-18)。

(1)肝门处胆管正常或不显示,而肝内胆管或左、右肝管仅一侧扩张,提示肝门部梗阻。

(2)胆总管扩张且扩张长度>3.5 cm,提示胆管下段梗阻(若扩张长度>9 cm,提示梗阻在壶腹部及乳头部)。

(3)仅有胆囊肿大,而胆管正常,提示胆囊颈部阻塞或胆囊本身有病变。

(4)一般情况下,胆囊肿大提示其胆囊管开口处以下梗阻;胆囊无肿大则提示开口处以上梗阻。

(5)胆管全程扩张,同时有胰管扩张,则提示壶腹部水平阻塞。

图5-18 胆管梗阻部位的判断

(五)阻塞性黄疸病因的鉴别诊断

1.鉴别要点 阻塞性黄疸90%以上是由结石、胆管癌、胰头部肿瘤引起的,由于结石和肿瘤的性质、治疗方案和预后完全不同,故鉴别诊断显得尤其重要。此外,少数阻塞性黄疸的病因还包括炎性胆管狭窄、胆管血栓、胆管癌栓。

(1)胆管结石黄疸发生的时间较短,多有腹部胆绞痛史,声像图表现为形态较规则的强回声团,于扩张的胆管腔内,后方有声影,与胆管壁之间分界清楚,扩张程度相对较轻,尤其是小结石所致的胆管不全梗阻,在发病初期或缓解期,肝外胆管可无明显扩张。

(2)软组织肿瘤黄疸为渐进性,多无腹部胆绞痛史,声像图多为低回声团,其形态不规则,后方无声影,不移动。恶性病变者,低回声团与胆管壁分界不清,或胆管壁连续性中断、残缺,胆管呈进行性扩张,持续性加重,即重度胆管扩张征象,此情况多见于恶性肿瘤引起的梗阻。

(3)胆管癌栓病灶呈低回声、条索状、不移动,肝内或近端胆管内有肿瘤病灶。

(4)胆管血栓有胆管出血的临床表现,超声表现与胆管癌栓相似,一般回声偏高。

(5)胆管扩张的病理征象也有助于鉴别诊断。例如:①胆管扩张的形状。均匀扩张者为胆管阻塞,囊状或节段性柱状扩张者多为先天性异常(如先天性胆总管囊肿和先天性肝内胆管囊状扩张症)。②胆管壁的异常。炎症时管壁毛糙增厚、范围广,肿瘤时多呈局限性管壁增厚、狭长、堵塞。③扩张胆管腔内的异常。胆管结石及胆管蛔虫有特异征象;炎症时可出现絮状沉积物回声;肿瘤者呈乳头状实性光团,移动体位不可变形。

需要注意的是,堆积状或泥沙样结石、胆泥,或陈旧性、炎性胆汁团后方可无声影而与软组织肿块相似;有时胆管癌与胆管结石并存,或少数胆管癌出现较弱的声影,以及个别的胆管积脓也可出现类似结石的回声及声影,从而导致与结石鉴别困难。此时可通过CDFI检测血流信号,以及超声造影观测病灶信号有无增强,或经腔内超声探查等方法加以鉴别。

2.超声诊断阻塞性黄疸的临床价值 超声检查为诊断阻塞性黄疸的首选方法,超声声像图能清楚显示扩张的肝内胆管、肝外胆管,肿大的胆囊及扩张的胰管,对于梗阻部位的判断准确率可达95%,病因诊断符合率达70%~80%。近年来,随着介入性超声诊断技术的发展和广泛应用,超声引导下经皮经肝胆管造影术(PTC)、经皮经肝胆管引流术(PTCD)及经皮经肝胆道镜取石术(PTCSL)等诊断和治疗性技术为临床提供了良好的帮助。

(六)肝内胆管结石相关的肝超声改变

肝内胆管结石病史较长、病情较重时,可导致胆管的完全梗阻,引发胆汁淤积合并感染,胆管壁发生炎症、水肿、增生、纤维化,超声表现为胆管壁增厚、回声增强。结石区域的肝组织(肝叶或肝段)受累,超声显示实质回声增粗,肝段、肝叶萎缩,肝形态异常,比例失常。 iIRj/SYHlG52qIUG76ttX3u3KqYNtxqm7oywUOWxl4YnpJW9YfYyWg/BE5dEcGCa

点击中间区域
呼出菜单
上一章
目录
下一章
×