



胸锁关节是由锁骨胸骨端、胸骨柄的锁切迹及第1肋软骨的关节面构成。关节面形似鞍状,关节腔内有关节盘,成为球窝状关节,周围关节囊坚韧。胸锁关节后方有锁骨下动静脉、气管和食管等重要结构。
任何胸锁关节病变引起的顽固性疼痛,通过保守治疗不能缓解时,可行超声引导下胸锁关节腔注射治疗。此外,当怀疑疼痛由肩锁关节病变引起但缺乏诊断依据时,可在肩锁关节腔注射利多卡因以明确诊断。
● 使用高频线阵探头。
● 穿刺针:22~25G。
● 注射药物:1~2ml类固醇激素、局麻药和生理盐水的混合液。
坐位或仰卧位,上臂自然外展(图2-5-1)。
▲ 图2-5-1 超声引导下胸锁关节腔介入治疗操作图
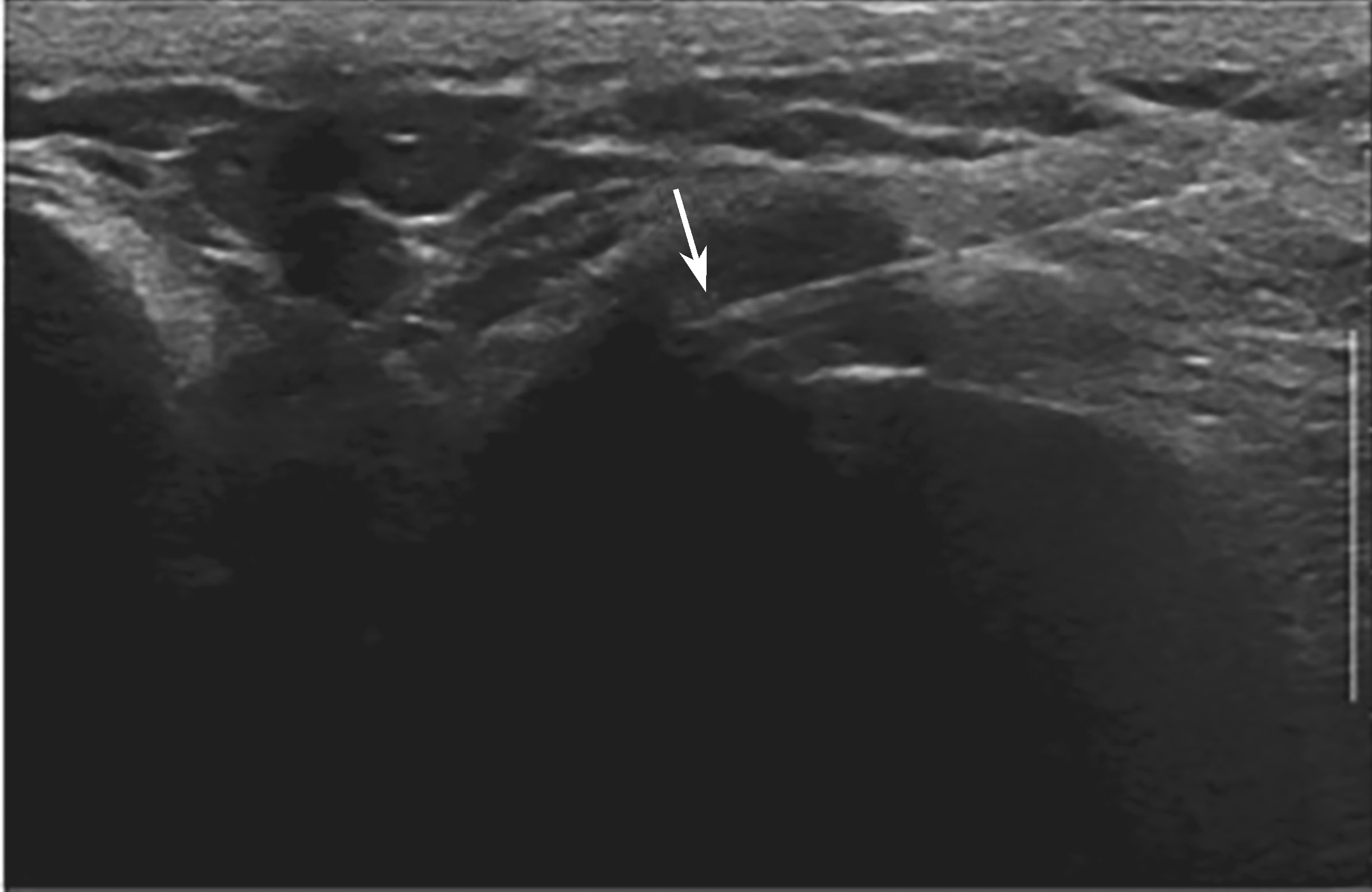
平面内进针法
探头放置于胸锁关节前方(图2-5-1)。
平面内进针法,引导针尖进入胸锁关节腔(图2-5-2)。
▲ 图2-5-2 超声引导下胸锁关节腔介入治疗超声图
平面内进针法;箭头:穿刺针进入胸锁关节
避免穿刺针穿透胸锁关节腔刺伤其后方重要结构。与肩锁关节一样,胸锁关节腔较小,药物用量不宜过多,防止溢出。