



肩锁关节是由肩胛骨肩峰关节面与锁骨肩峰端关节面构成的可动关节。肩锁关节属平面关节,前方关节腔比后方关节腔宽。关节囊较松弛,附着于关节面的周缘。
对于各种急、慢性肩锁关节损伤如外伤、类风湿性关节炎、骨性关节炎等引起的顽固性疼痛,通过改善活动、口服止痛药、功能锻炼等仍不能缓解者,可行肩锁关节腔注射治疗。此外,当依靠病史、查体和影像学检查仍不能找到疼痛原因时,可在肩锁关节腔注射利多卡因以明确诊断。
● 使用高频线阵探头。
● 穿刺针:22~25G。
● 注射药物:1~2ml类固醇激素、局麻药和生理盐水的混合液。
坐位,上臂自然外展(图2-4-1)。
探头放在肩锁关节前方(图2-4-1)。
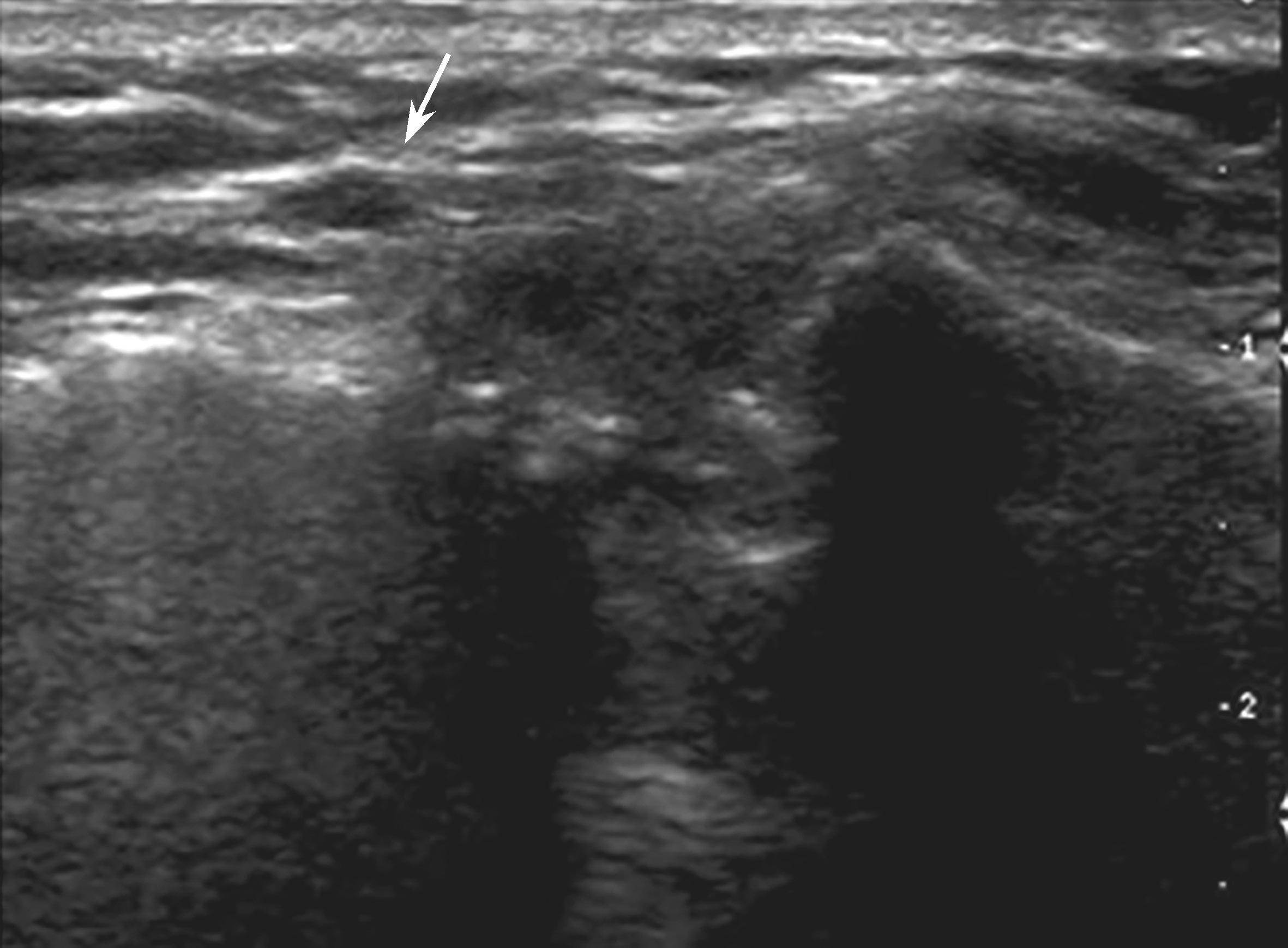
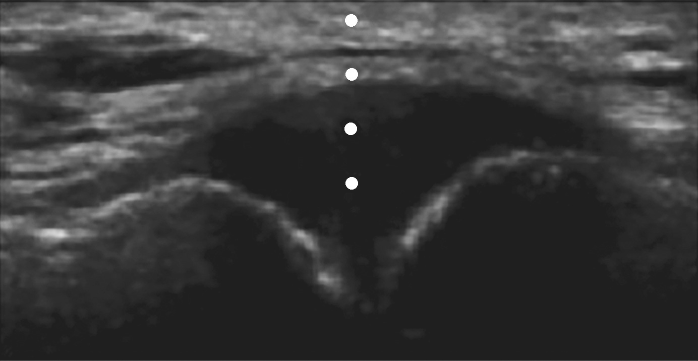
平面内进针法(图2-4-2)或平面外进针法(图2-4-3),引导针尖进入前方肩锁关节腔。
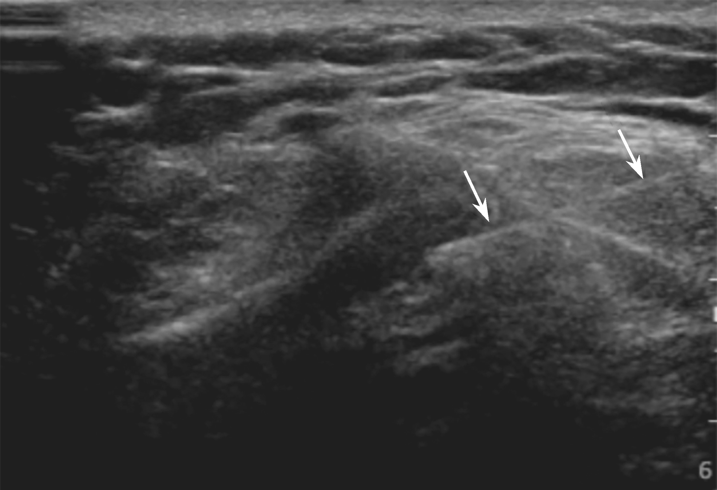
当选择平面外法进针时,一定要注意针尖的位置,可通过调整探头方向用平面内进针法确定针尖位置(图2-4-4)。肩锁关节腔较小,药物用量不宜过多,否则溢出关节腔,类固醇可导致皮肤及皮下组织萎缩。
▲ 图2-4-1 超声引导下肩锁关节腔介入治疗操作图
平面内进针法
▲ 图2-4-2 超声引导下肩锁关节腔介入治疗超声图(一)
平面内进针法,箭头:穿刺针
▲ 图2-4-3 超声引导下肩锁关节腔介入治疗超声图(二)
平面外进针法,圆点:进针过程中针尖出现的位置
▲ 图2-4-4 超声引导下类风湿肩锁关节炎伴骨侵蚀介入治疗超声图
箭头:穿刺针