



肱二头肌位于上臂前侧,有长、短二头肌腱。肱二头肌长头腱经肱骨外侧大、小结节构成的结节间沟后经肩峰下间隙前部,进入关节腔止于肩胛骨的盂上粗隆。在肩关节活动时,肱二头肌长头腱在肱骨结节间沟内呈被动滑动,长期磨损易发生肱二头肌长头腱鞘退变、粘连。肱二头肌长头腱鞘与肩关节腔相通。
对于肱二头肌长头肌腱炎/腱鞘炎,或肱二头肌腱区域局部疼痛,经保守治疗无效的患者,可行超声引导下肱二头肌长头腱鞘注射治疗,但90%以上的肱二头肌长头腱鞘炎是由冻结肩所致,应行冻结肩生理盐水扩张治疗(见本章第六节)。
● 使用高频线阵探头。
● 穿刺针:18~25G。
● 注射药物:1~2ml皮质类固醇注射液、利多卡因及生理盐水混合液(比例1∶1∶1)。
(1)坐位,肘关节屈曲90°,前臂放在同侧大腿上,手掌面朝上。
(2)仰卧位,肩关节自然中立位,手掌面朝上。
探头放在肱骨结节间沟处,通过横切(图2-3-1、图2-3-2)或纵切(图2-3-3)选择液体较多的地方为靶目标。
(1)平面内进针法,在肱二头肌长头腱短轴切面,引导针尖进入腱鞘内液体较多处(图2-3-4)。
(2)平面内进针法,在肱二头肌长头腱长轴切面,引导针尖进入腱鞘内液体较多处。
▲ 图2-3-1 超声引导下肱二头肌长头腱鞘介入治疗操作图(一)
探头横切,显示肱二头肌长头腱短轴,穿刺针由外向内平面内进针
▲ 图2-3-2 超声引导下肱二头肌长头腱鞘介入治疗操作图(二)
探头横切,显示肱二头肌长头腱短轴,穿刺针由内向外平面内进针
▲ 图2-3-3 超声引导下肱二头肌长头腱鞘介入治疗操作图(三)
探头纵切,显示肱二头肌长头腱长轴,穿刺针由上向下平面内进针法
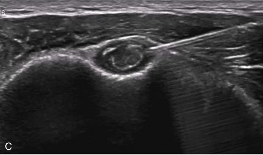
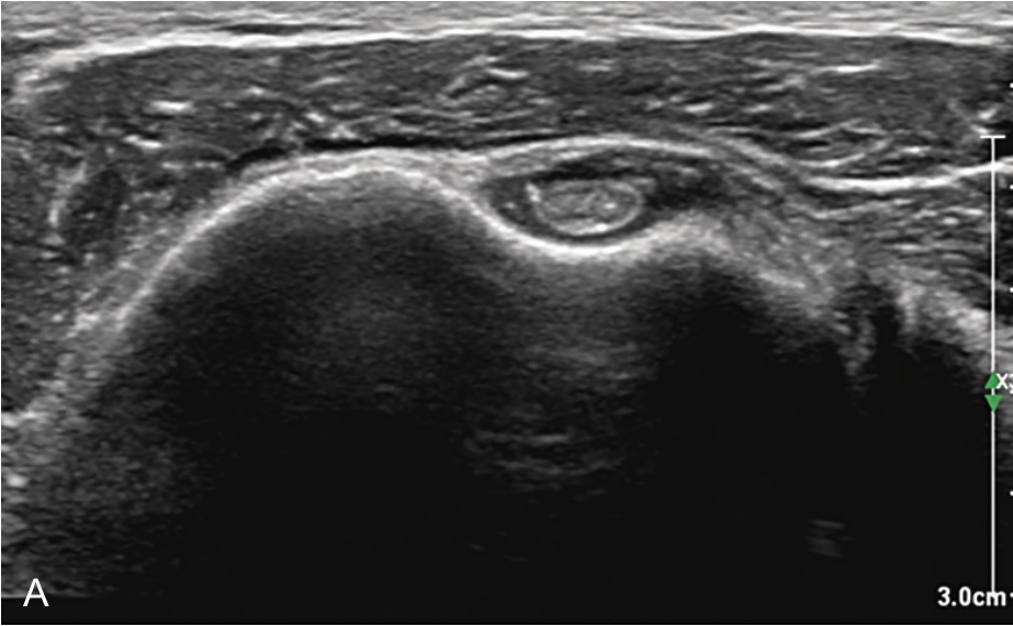
▲ 图2-3-4 超声引导下肱二头肌长头腱鞘介入治疗超声图(一)
A.二维超声:肱二头肌腱鞘内少量积液及滑膜增生;B.超声多普勒:肱二头肌腱鞘内及周围血流较丰富;C.平面内进针法,针尖进入肱二头肌长头腱鞘内;D注射治疗后腱鞘液体增多
(1)操作过程中要避免穿刺针尖损伤肱二头肌腱,尽量在液体量较多或肌腱两旁进针(图2-3-5)。
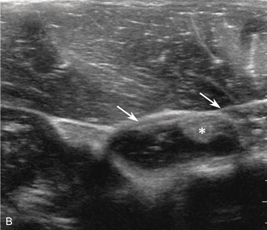
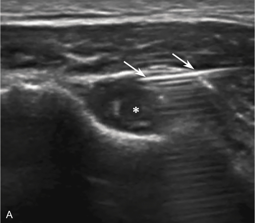
▲ 图2-3-5 超声引导下肱二头肌长头腱鞘介入治疗超声图(二)
A、B.超声引导下平面内进针法,针尖进入腱鞘内;箭头:穿刺针;星号:肌腱
(2)避免将类固醇激素混合液注入肌腱内导致肌腱断裂等并发症。
(3)注射完毕后,需对肱二头肌长头腱进行横切面和纵切面超声扫查,确认药物在腱鞘内分布。