



肩袖是由冈上肌、冈下肌、小圆肌和肩胛下肌的肌腱组成,肩袖钙化性肌腱炎是指钙化物质沉积肩袖肌腱内引起的肌腱炎,其中最常受累的是冈上肌腱,钙化灶常常位于肌腱远端近肱骨大结节或小结节附着处。钙化也可发生在相邻的滑囊内。钙化性肌腱炎按照进程分为钙化形成期和钙化吸收期,多数患者疼痛发生于吸收期,而此阶段肌腱内的钙质沉积往往不伴声影或伴浅淡声影,而且处于高压力状态,有利于抽吸。
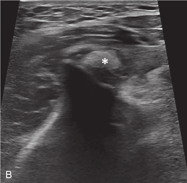
对物理治疗和口服药物治疗无效的钙化性肌腱炎,可行超声引导下钙化灶冲洗抽吸治疗,缓解疼痛和改善患者的活动功能。吸收期的钙化灶往往无明显声影,呈弱回声或稍强回声(图 2-2-1)。
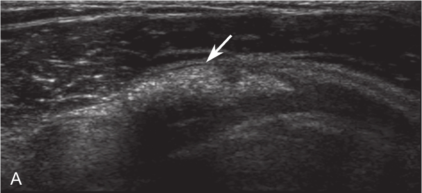
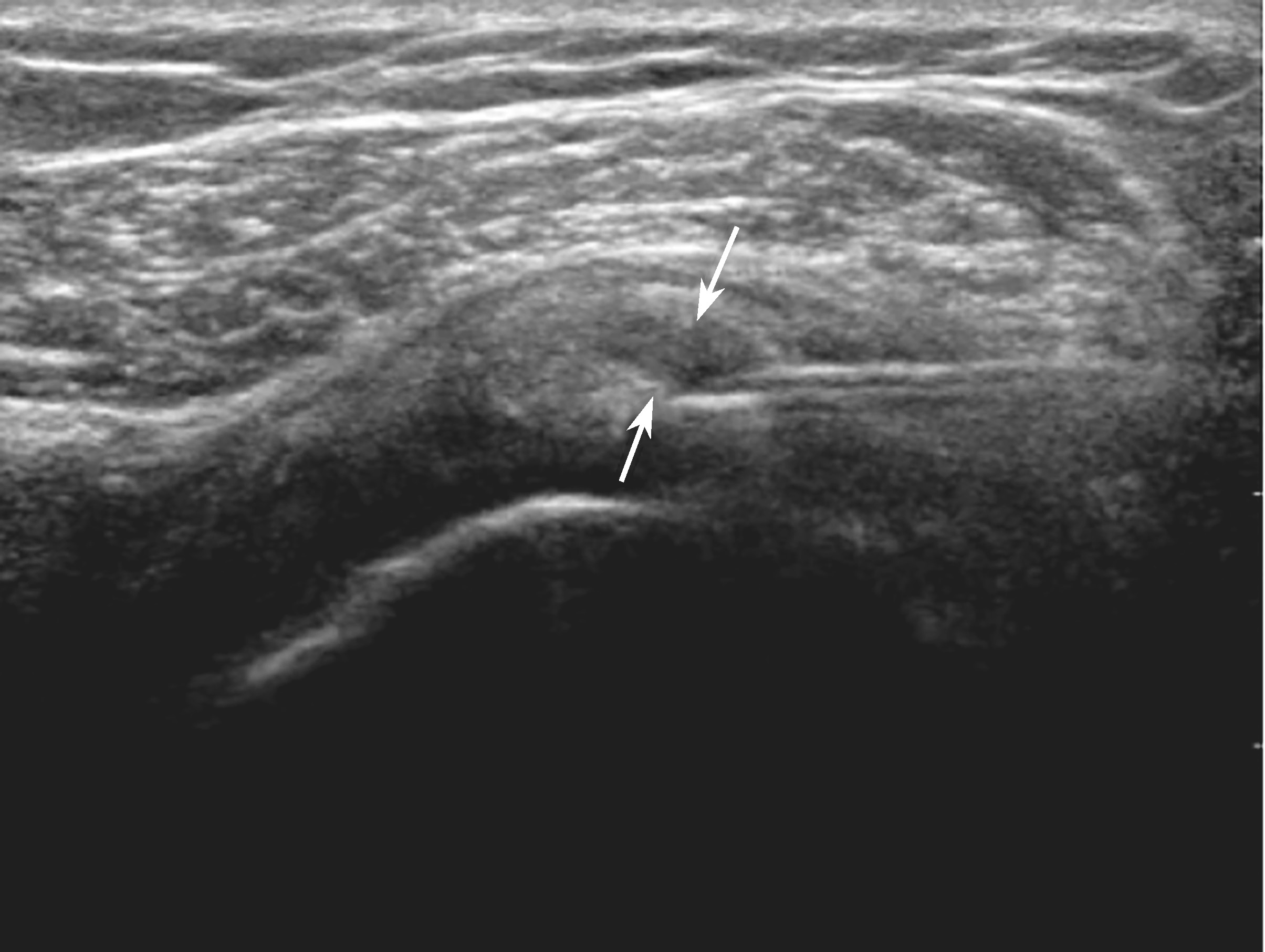
▲ 图2-2-1 钙化性肌腱炎超声图
星号:钙化灶;箭头:肩峰下-三角肌下滑囊;Del:三角肌;SUP:冈上肌腱;HH:肱骨头
● 使用高频线阵探头。
● 穿刺针:16~18G。
● 药物:5~20ml生理盐水,1~2ml利多卡因,1ml皮质类固醇注射液。
一般取坐位或仰卧位。
根据钙化灶所在部位,选择能最佳显示钙化灶长轴的切面。
平面内进针法(图2-2-2)。
▲ 图2-2-2 超声引导下肩袖钙化性肌腱炎治疗操作图
(1)在超声实时监视下(图2-2-3),将穿刺针一次性刺入钙化灶中心部位(图2-2-4),将针管内的生理盐水和利多卡因混合液(比例5∶1)不断推注和抽吸,此时可见钙化灶中心空洞形成(液体回声,图2-2-5),且冲洗过程中呈“鱼嘴”样开闭,由于压力作用可见乳白色物质被吸入注射器内(图 2-2-6)。
▲ 图2-2-3 超声引导下肩袖钙化性肌腱炎介入治疗操作图
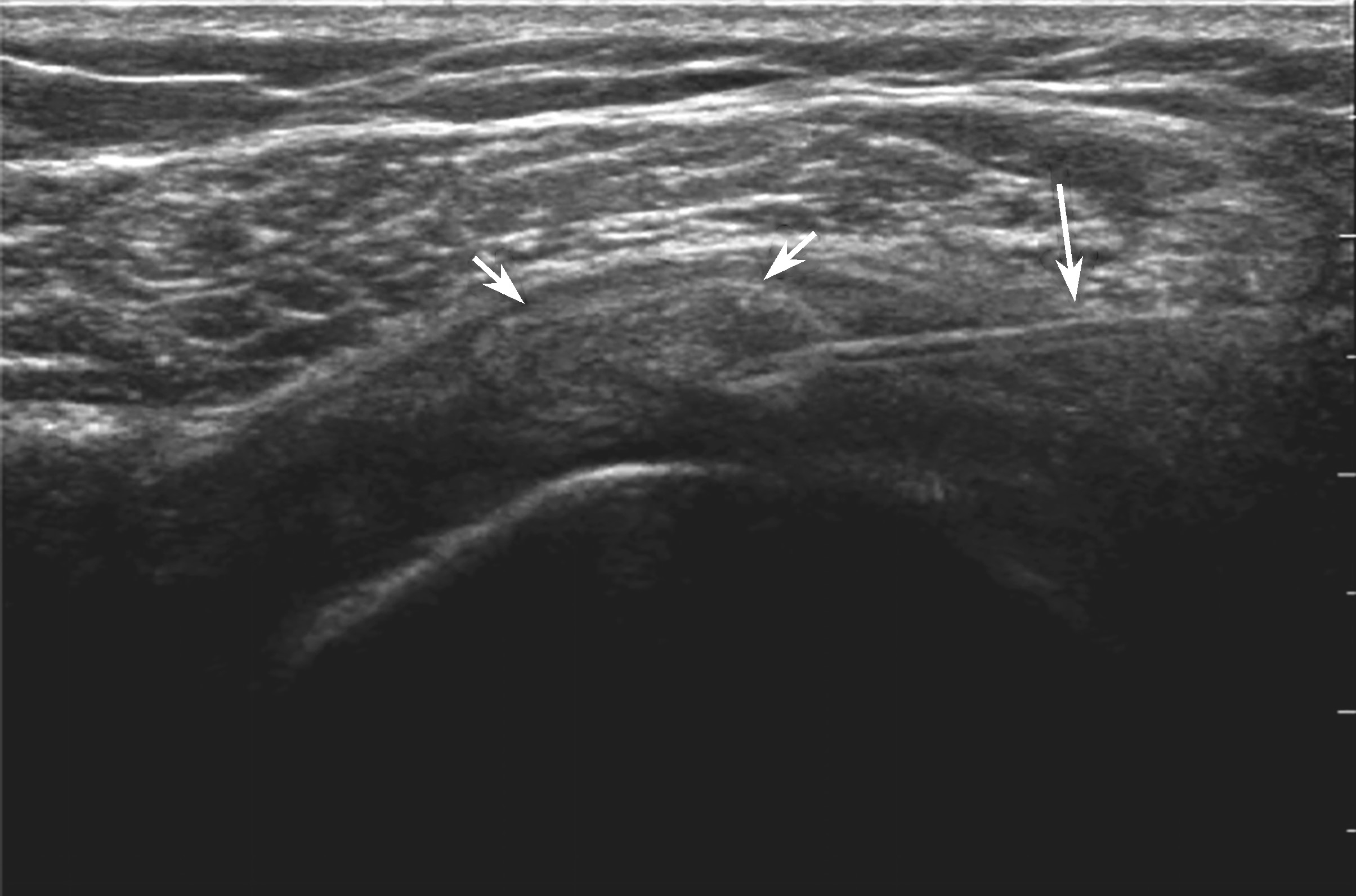
▲ 图2-2-4 超声引导下肩袖钙化性肌腱炎介入治疗超声图
短箭头:钙化灶;长箭头:穿刺针
(2)可更换新的混合液体重复上述步骤,直至针管内的液体清亮(图2-2-6)。
(3)对过于黏稠的钙化灶或硬度大的钙化灶,可选择16G的穿刺针头,用针尖将其捣碎后再冲洗抽吸。
(4)治疗后,在滑囊内注入类固醇激素、利多卡因和生理盐水混合液(比例1∶1∶1)1~3ml,目的是消炎、止痛,同时也适用于肩峰下滑囊内同时有钙化灶的患者。
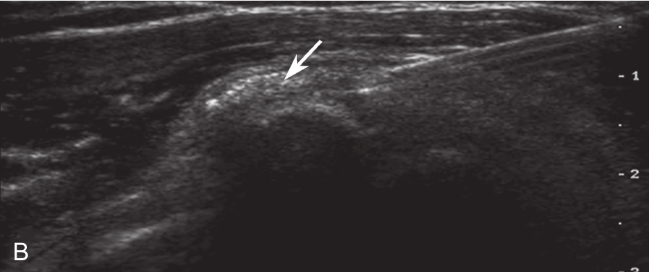
▲ 图2-2-5 超声引导下肩袖钙化性肌腱炎介入治疗超声图
箭头:冲洗过程中钙化灶内空洞形成
▲ 图2-2-6 超声引导下肩袖钙化性肌腱炎冲洗治疗
A.右侧冈上肌腱内钙化灶;B.超声引导下穿刺冲洗;C.注射器内为抽出的钙化灶,呈乳白色黏稠液体;D.生理盐水反复多次冲洗,可见冲洗液体逐渐变清亮;E.介入治疗前钙化灶X线片;F.治疗后钙化灶明显缩小;箭头:钙化灶
(1)操作过程中应避免注入空气,以免影响操作。
(2)治疗后1~3天由于炎性刺激,肩关节疼痛有可能加重,可口服止痛药,疼痛会逐渐缓解,此情况应向患者解释说明。
(3)冲洗抽吸治疗后,肩峰下滑囊内注入1~2ml类固醇、利多卡因及生理盐水混合液可减少患者疼痛,避免注入到肌腱内。
(4)对不易抽吸或捣碎的钙化灶,针刺加生理盐水反复冲洗后仍不能抽吸的钙化灶,可行多次治疗。
(5)其他部位的钙化性肌腱炎治疗方式同上(图2-2-7,图2-2-8)。
▲ 图2-2-7 超声引导下股四头肌钙化性肌腱炎介入治疗
A.操作图;B.超声图;星号:钙化灶;箭头:穿刺针
▲ 图2-2-8 超声引导下髂肌钙化性肌腱炎介入治疗
A.操作图;B、C.超声图;星号:钙化灶;箭头:穿刺针;D.穿刺出的乳白色黏稠钙化物质