



肩峰下-三角肌下滑囊(subacromial-subdeltoid bursa,SASDB),又称肩峰下滑囊或三角肌下滑囊,是全身最大的滑囊之一,位于肩峰、喙肩韧带和三角肌深面筋膜的下方,肩袖和肱骨大结节的上方(图2-1-1)。因肩关节急性炎症或慢性劳损,滑囊容易发生炎症,表现为滑囊增厚、滑膜炎或积液,引起肩部疼痛和活动受限。正常情况下,该滑囊是一个封闭的囊袋样结构,不与肩关节腔相通,当肩袖发生滑囊面或全层撕裂时,滑囊往往与关节腔相通。
▲ 图2-1-1 肩峰下-三角肌下滑囊解剖示意图
对于肩峰下撞击综合征、肩峰下滑囊炎、肩袖损伤等引起的肩关节疼痛,可在SASB内注射肾上腺皮质激素和利多卡因等药物进行治疗。当临床怀疑肩峰下撞击综合征,也可在滑囊内注射利多卡因,观察撞击试验是否由阳性变为阴性,有助于疾病的诊断和鉴别诊断。
● 使用高频线阵探头。
● 根据滑囊性质选择不同型号的穿刺针,22~25G。
● 药物:1ml类固醇注射液、1ml利多卡因、2~4ml生理盐水混合后注射,也可联合使用玻璃酸钠注射液,有利于滑囊的消炎和润滑。
● 药物内加入少量(0.2~0.5ml)超声造影剂,可在治疗疾病的同时,观察有无肩袖滑囊面或完全的撕裂,判断撕裂程度和范围。
坐位或仰卧位,手背在身后或手放在臀部裤袋内。
横放在肩关节前方,选择肩峰滑囊较厚或囊液较多处为靶目标(图2-1-2)。
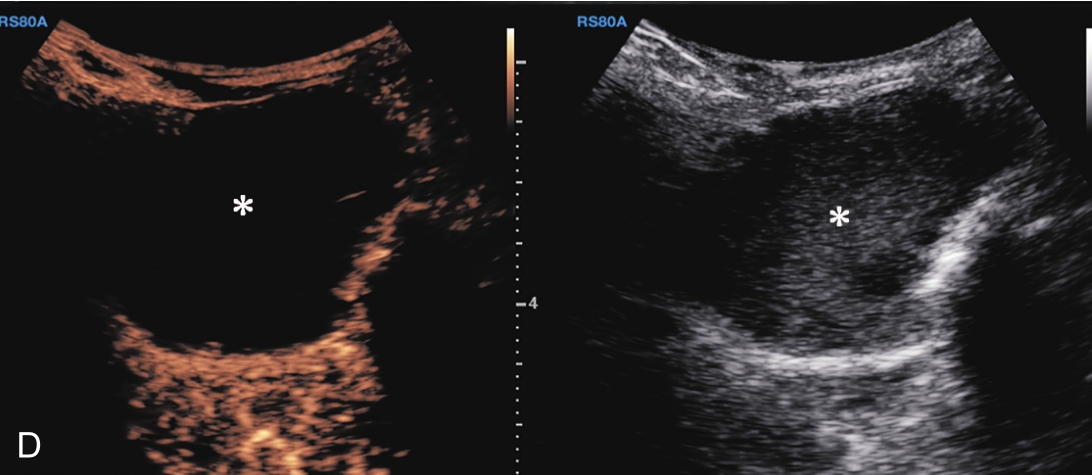
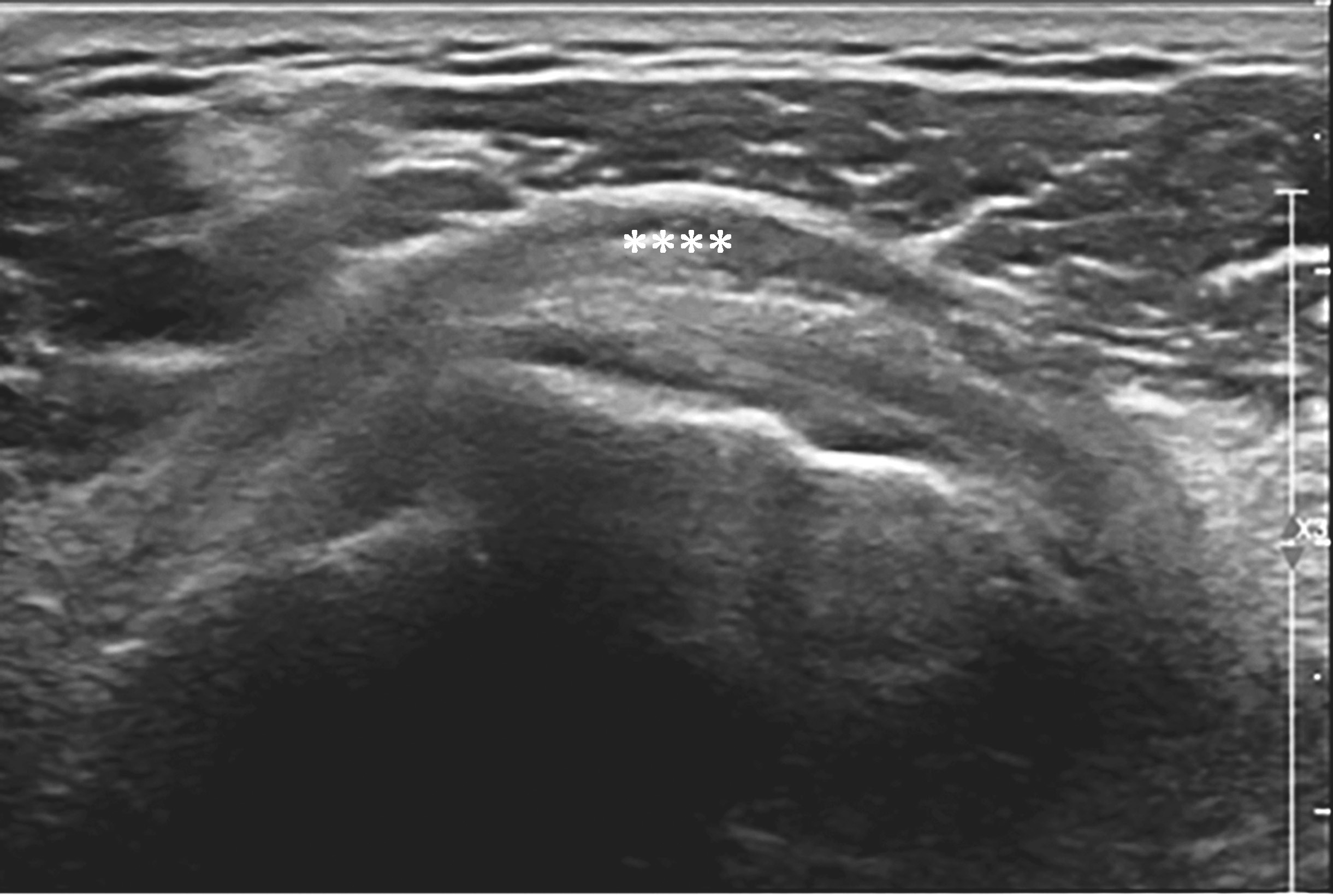
▲ 图2-1-2 肩峰下-三角肌下滑囊炎超声图
星号:肩峰下滑囊增厚伴滑膜增生
平面内进针法,从内向外或从外向内引导针尖进入滑囊后进行药物注射(图2-1-3、图 2-1-4)。
▲ 图2-1-3 超声引导下肩峰下-三角肌下滑囊注射操作图
▲ 图2-1-4 超声引导下肩峰下-三角肌下滑囊注射治疗超声图
箭头:穿刺针;星号:滑囊
1.正常肩峰下-三角肌下滑囊厚度<2mm,当滑囊发炎、增厚,厚度≥2mm时,内有时可见积液、滑膜增生,急性期滑膜内学流信号丰富,此刻,肩峰撞击试验往往呈阳性。
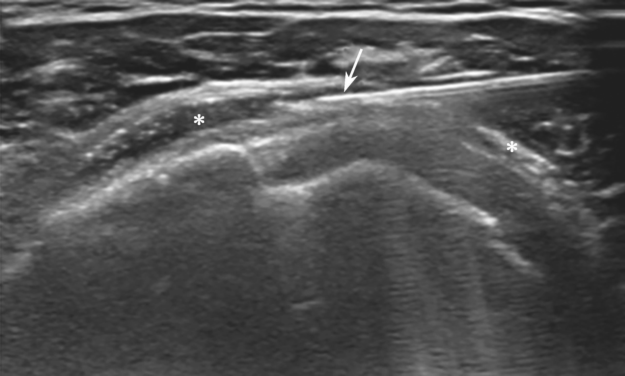
2.当针尖进入滑囊后(图2-1-5),可推注少量药物,若推注顺利可观察到滑囊扩张及药物的弥散(图2-1-6),同时也表明针尖准确位于滑囊内,可继续推注混合药物3~5ml。若推注受阻,原因有可能是针尖在滑囊组织内,需重新调整针尖,也可能是滑囊内粘连明显所致,可加大力度,利用液体推注的压力松解粘连,松解后可见粘连带呈线状稍强回声(图2-1-7),也可在粘连远端重新选择部位注入药物,这类患者可能需要多次治疗才能达到较好的疗效。
▲ 图2-1-5 超声引导下肩峰下-三角肌下滑囊穿刺治疗超声图
箭头:显示穿刺针尖进入滑囊;星号:冈上肌腱;H:肱骨头
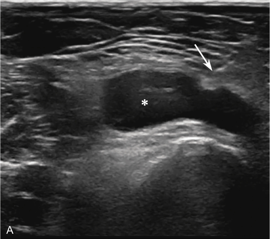
▲ 图2-1-6 肩峰下-三角肌下滑囊穿刺治疗后超声图
星号:药物注射后在滑囊内均匀弥散;H:肱骨
3.当肩袖回声不均匀,有可疑的滑囊面撕裂或全层撕裂,行超声引导下肩峰下-三角肌下滑囊造影检查,可提高对肩袖撕裂的诊断率。方法:将2~5ml生理盐水与0.5ml的超声造影剂混合后,注入肩峰下-三角肌下滑囊,无撕裂的滑囊呈线状高增强(图2-1-8),肩袖滑囊面部分撕裂可见造影剂混合液从滑囊进入肩袖肌腱内而未达肱骨头表面(图2-1-9),若观察到其进入肩关节腔或肱二头肌长头腱鞘,则诊断肩袖全层撕裂(图2-1-10)。
▲ 图2-1-7 超声引导下肩峰下-三角肌下滑囊穿刺治疗超声图
箭头:扩张后滑囊内的粘连带呈线状稍强回声
▲ 图2-1-8 超声引导下肩峰下-三角肌下滑囊造影图(一)
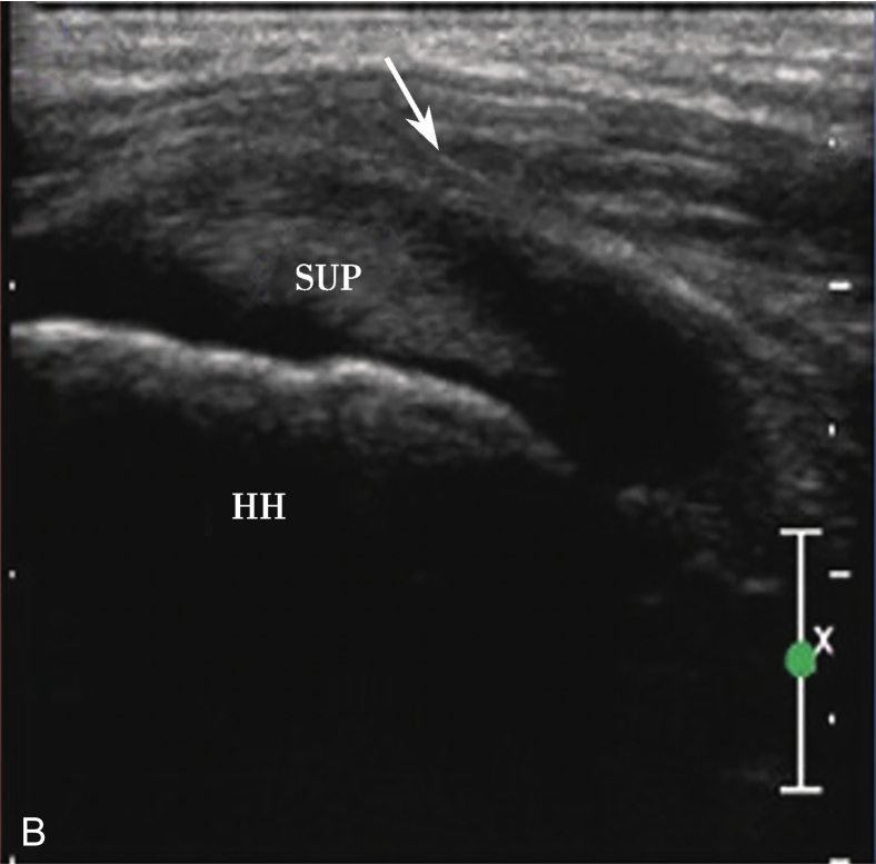
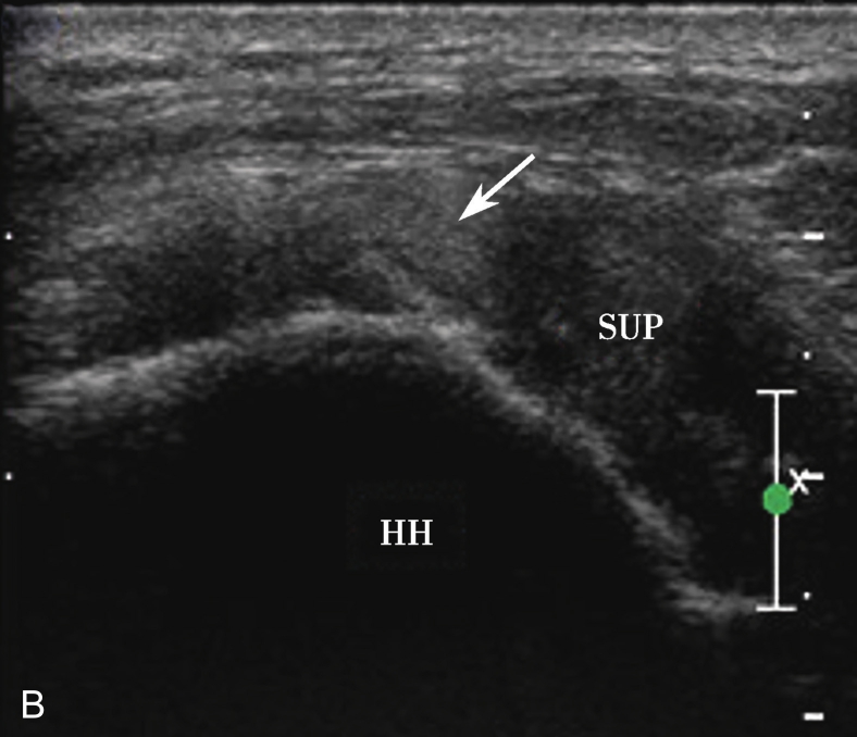
A.超声引导下滑囊内注入超声造影剂后,滑囊呈线状高增强(箭头);B.注入造影剂后的滑囊(箭头),冈上肌腱(SUP)连续性好,未见撕裂,HH:肱骨头
▲ 图2-1-9 超声引导下肩峰下-三角肌下滑囊造影图(二)
A.超声引导下滑囊内注入超声造影剂后,滑囊呈线状高增强,肌腱内可见局限性高增强,提示肌腱滑囊面部分撕裂(箭头);B.二维超声显示冈上肌腱(SUP)回声不均匀(箭头),但未见明显撕裂,HH:肱骨头
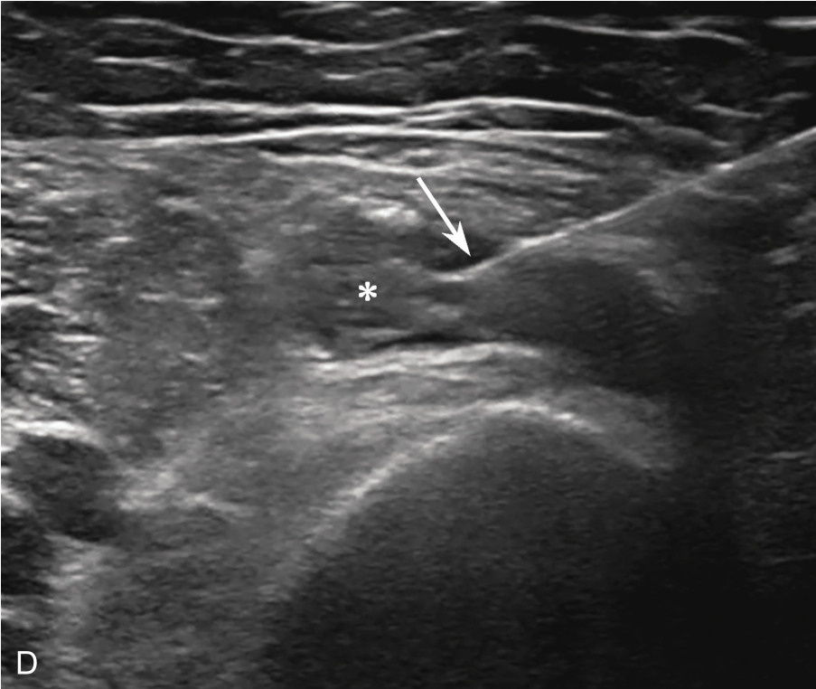
▲ 图2-1-10 超声引导下肩峰下-三角肌下滑囊造影图(三)
A.造影剂从滑囊(单箭头)及冈上肌腱撕裂处达肱骨头表面(双箭头),星号:滑囊撕裂处;B.冈上肌腱(SUP)回声不均匀,箭头:连续的滑囊,星号:滑囊回声中断,HH:肱骨头;C肱二头长头腱鞘内可见造影剂高增强(箭头);D:肱二头肌肌腱横断面(星号),腱鞘内造影剂(箭头);Del:三角肌;LT:肱骨小结节;GT:肱骨大结节
4.肩峰下滑囊积液明显者,可先将液体抽吸干净后注射药物。
5.肩关节周围有多个滑囊,发生滑囊炎时可见关节周围多个囊性暗区。滑膜囊肿是指附着于关节囊、腱鞘或滑液囊的良性、局限性囊性包块,病因不明,可能与慢性损伤有关,可继发于其他关节疾病,囊肿是无色的、透明或者轻微发红,往往与关节相通。肩关节的滑膜囊肿应与肩峰下-三角肌下滑囊积液进行鉴别。肩关节周围滑膜囊肿时,可以选择液体较多地方,避开血管和神经进行抽吸治疗(图2-1-11)。肩袖完全撕裂导致关节腔积血,可形成周围滑膜囊肿(图2-1-12),诊断性抽吸有助于明确诊断。
▲ 图2-1-11 超声引导下肩关节周围滑膜囊肿抽吸治疗超声图
A.超声引导下穿刺针进入滑囊前;B.穿刺针进入滑囊内;C.液体抽吸后,滑囊变小;D.超声引导下药物注射;星号:滑膜囊肿;箭头:穿刺针
▲ 图2-1-12 超声引导下右侧肩关节周围滑膜囊肿穿刺治疗
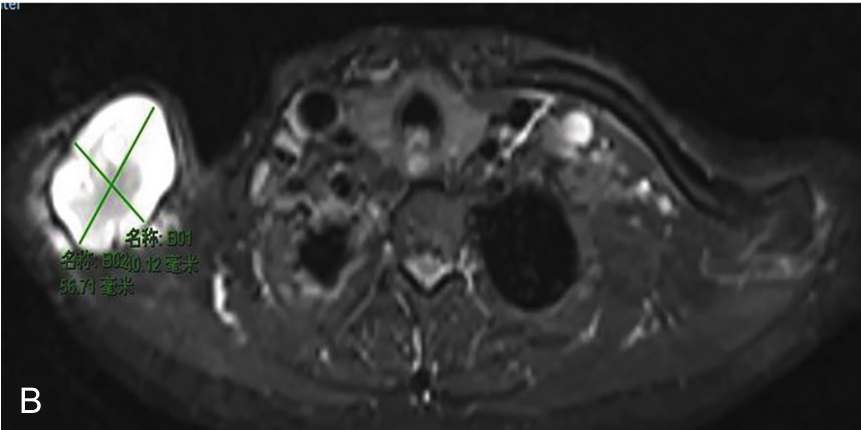
A~B.患者肩关节MRI,星号及测量键:滑膜囊肿
▲ 图 2-1-12(续)
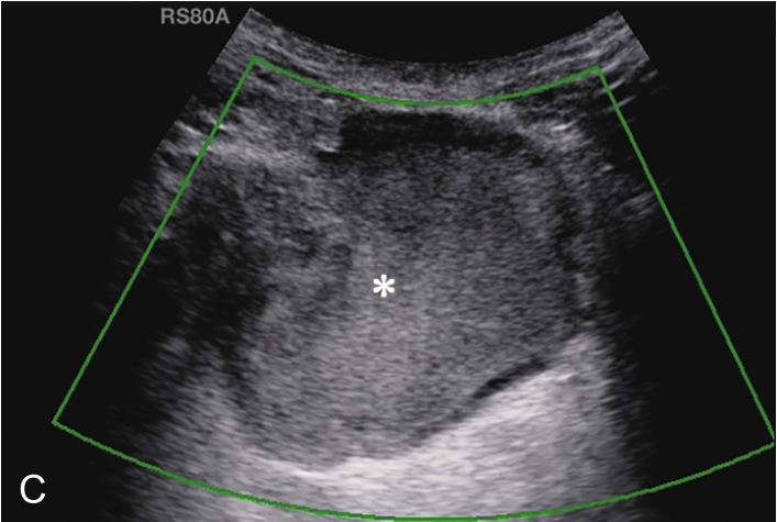
C.彩色多普勒显示囊性团块(星号)内无血流信号;D.超声造影显示囊性团块内呈无增强;E.冈上肌腱完全断裂,关节腔积血(星号);F.超声引导下穿刺液体抽吸及药物注射治疗,箭头示穿刺针