



肩关节由肩胛骨关节盂和肱骨头构成,也称盂肱关节,是典型的多轴球窝关节,为全身最灵活的关节。关节囊较松弛,附着于关节盂周缘和解剖颈。关节囊外有韧带、肩袖等加固肩关节的稳定性。
对于类风湿性肩关节炎、粘连性关节囊炎(冻结肩)等引起的顽固性肩关节疼痛和活动受限,经休息、口服药物和康复理疗等治疗无效的患者,可选择超声引导下肩关节腔注射治疗。
● 使用高频线阵探头或中频凸阵探头。
● 穿刺针:18~22G。
● 注射药物:一般情况下,肩关节的炎症需在肩关节腔注射3~5ml肾上腺皮质激素、局麻药和生理盐水混合液,其中类固醇1ml,利多卡因1ml,生理盐水1~3ml。对于冻结肩患者的治疗,除了注射3~5ml混合液,还需加注10~20ml生理盐水松解扩张关节囊。
以下为后方入路的操作步骤。
(1)坐位,患侧肩关节中立位或将手搭在对侧肩关节上(图2-6-1)。
(2)健侧卧位,患肩朝上(推荐使用,图 2-6-2)。
探头放在盂肱关节后方,探头长轴平行于冈下肌腱纤维走行方向(图2-6-3)。
平面内进针法,引导针尖进入肱骨头和后盂唇之间的关节腔(图2-6-3)。
(1)针尖进入关节腔后,操作者可有“突破感”,此时仔细观察针尖,位于关节腔内,可推注少量液体,若阻力大则可能针尖抵住了骨软骨面,需调整针尖位置或方向。
▲ 图2-6-1 超声引导下肩关节腔介入治疗操作图
坐位,平面内进针法
▲ 图2-6-2 超声引导下肩关节腔介入治疗操作图
健侧卧位,平面内进针法
(2)若推注无阻力,则可继续推注药物,同时能观察液体在关节腔内分布(图2-6-4);若推注阻力大且超声显示周围肌肉组织水分离,则说明针尖不在关节腔内;或者关节腔内压力较大,提示有粘连(图 2-6-5,图 2-6-6)。
(3)对于冻结肩患者,注射类固醇混合液完毕后,可接着缓慢推注10~20ml生理盐水扩张关节囊,第1次注射以直至注射器难以推动或患者疼痛明显时停止。
(1)在扩张关节囊过程中,患者可有轻微的胀痛感,应向患者说明,并询问能否忍受。
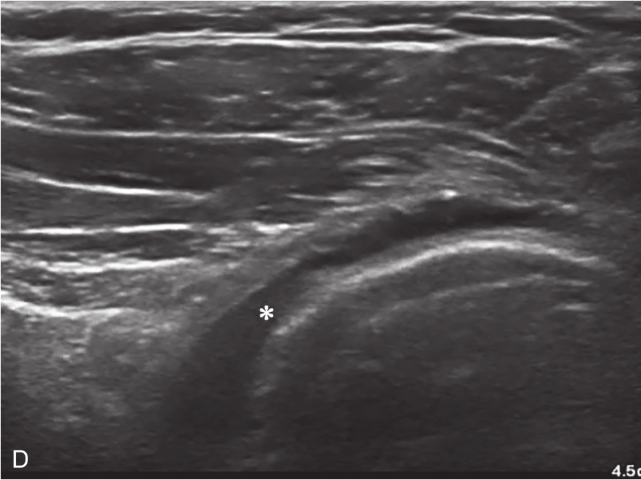
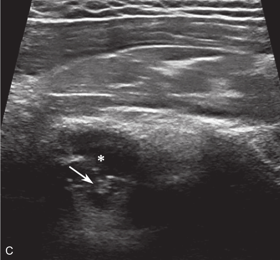
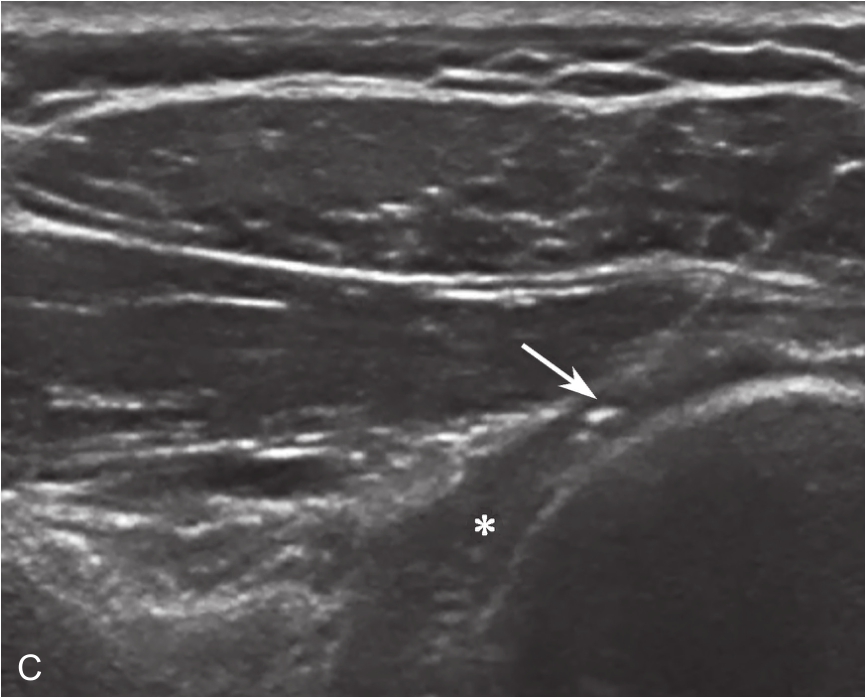
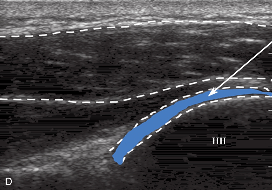
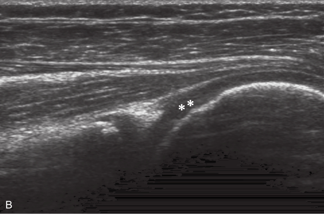
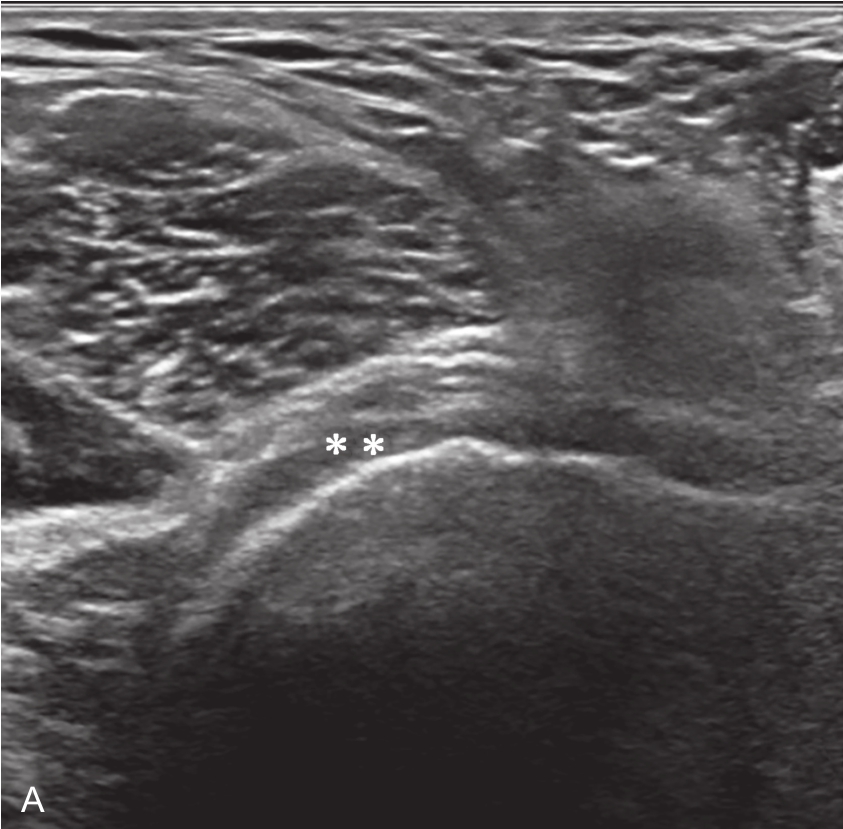
▲ 图2-6-3 超声引导下肩关节腔介入治疗超声图(一)
A、B.二维超声显示肩关节腔少量积液,滑膜增厚;C.超声引导针尖进入关节腔;D.超声示意图,虚线蓝色区域:后关节腔;单星号:腋下关节囊;双星号:后关节腔;短箭头:穿刺针;长箭头:穿刺针路径;L:盂唇;HH:肱骨头
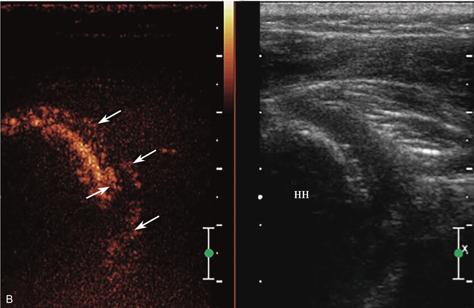
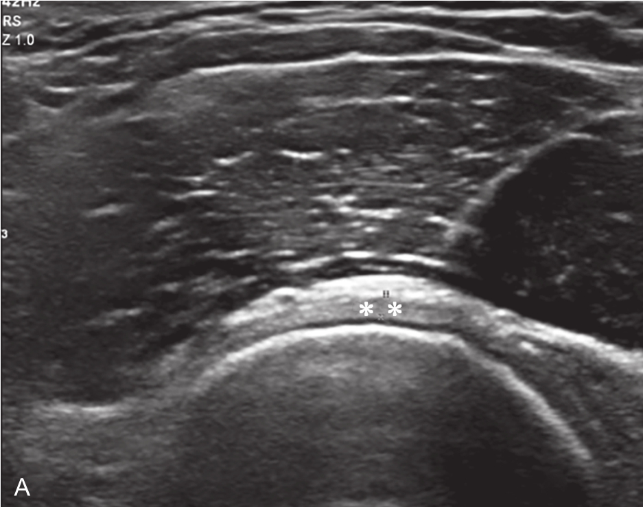
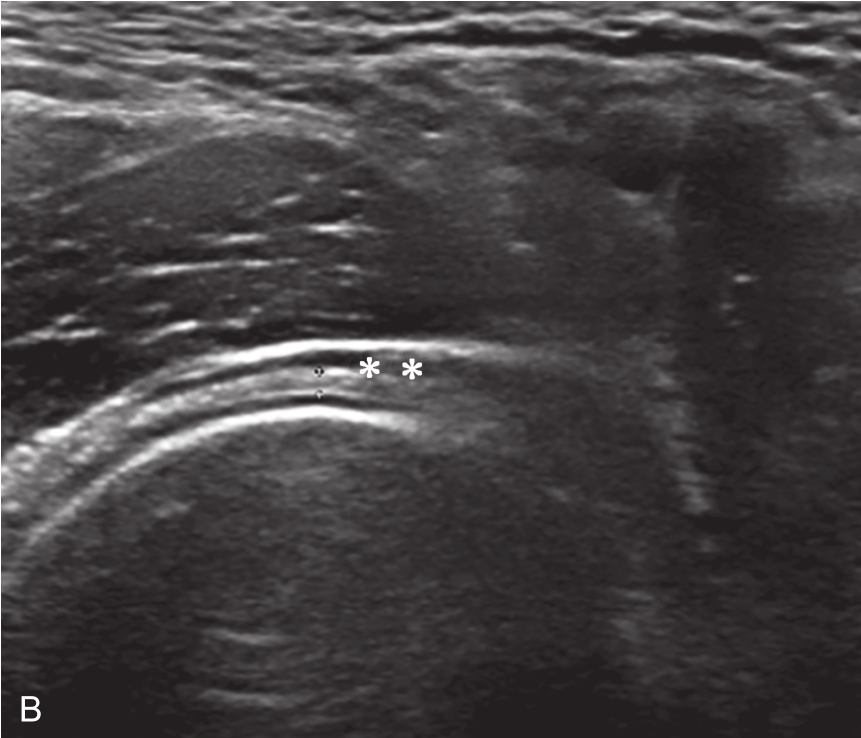
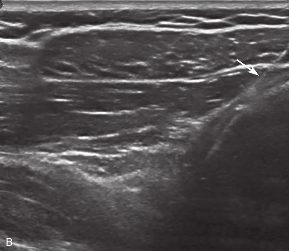
▲ 图2-6-4 超声引导下肩关节腔介入治疗超声图(二)
A.肩关节下关节囊增厚;B.超声引导下穿刺针进入盂肱关节腔
▲ 图 2-6-4(续)
C.超声引导下类固醇及生理盐水注射;D.注射治疗后关节腔扩张;双星号:增厚关节囊;箭头:穿刺针;单星号:关节腔
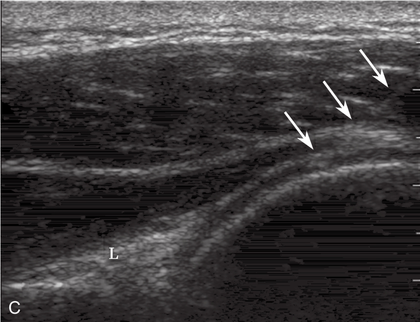
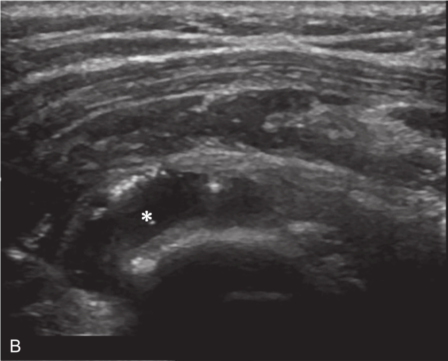
▲ 图2-6-5 超声引导下肩关节腔介入治疗超声图(三)
A.患侧肩关节下关节囊增厚;B.对侧正常关节囊;C、D.注射治疗后扩张的关节腔内粘连带;双星号:关节囊;箭头:粘连带;单星号:关节腔
▲ 图2-6-6 超声引导下肩关节腔介入治疗超声图(四)
A.超声引导下穿刺针进入盂肱关节;B.注射治疗后扩张的关节腔;C.注射治疗后关节腔内粘连带;单星号:关节腔;三星号:关节腔内粘连带;箭头:穿刺针
(2)对于病程长或症状明显的冻结肩患者,常需进行多次关节腔注射和扩张治疗,一般完成连续3次(约1~2周一次)治疗后,患者症状基本能达到完全缓解。
(3)对于冻结肩患者,注射后次日可自行开展“爬墙”“画圈”“摸耳”等锻炼,促进肩关节功能恢复。
(4)在扩张关节囊时,若在生理盐水中混入少量超声造影剂行超声引导下关节腔造影(图2-6-7),还可观察关节腔充盈情况,判断关节囊有无增厚、有无粘连带形成(图2-6-8)等情况。
(5)除了后方入路法,操作者还可根据经验选择前方入路法,但前入路要在超声引导下,避开臂丛神经等,可视化注射更精准。
▲ 图2-6-7 超声引导下盂肱关节腔造影
A.患者侧卧位,从后入路进针;B.超声造影显示穿刺针准确进入关节腔;箭头:穿刺针;G:关节盂;H:肱骨
▲ 图2-6-8 超声引导下关节腔造影
A.注入生理盐水及造影剂混合液后关节腔内充盈缺损(增厚的关节囊,箭头所示);B.关节腔内粘连带形成(箭头所示);虚线:关节囊;HH:肱骨头;Del:三角肌