



目前,术前病理诊断在甲状腺结节的诊断和治疗中有非常重要的作用。甲状腺穿刺活检技术包括细针抽吸活检(FNAB)和针穿活检(CNB),可以通过超声引导经皮穿刺活检,达到对甲状腺结节细胞学及组织学的诊断,并可以进行免疫组织化学(简称“免疫组化”)及基因检查,为患者提供微创精准的诊断依据,减少了不必要的外科手术切除。
流行病学数据提示甲状腺结节是门诊、体检人群中常见的阳性发现之一,并有逐年增高趋势。据报道,国内女性甲状腺结节的发病率约4%,其中90%以上属良性结节,从众多的甲状腺结节中筛选出甲状腺癌,尤其需要外科干预的甲状腺癌是临床的重要任务。WHO肿瘤分类及诊断标准系列《内分泌器官肿瘤病理学和遗传学》认为,在甲状腺结节的诊断和选择治疗手段方面,甲状腺肿块细针抽吸细胞病理学(fine-needle aspiration cytopathology,FNAC)检查是值得选用的方法。随着FNAC的使用,甲状腺癌的外科受益从15%提高到40%左右。在判断甲状腺占位是否需要手术或保守治疗方面,FNAC已被美国甲状腺协会(ATA)和美国国家综合癌症网络(NCCN)指南认为是最经济、可靠的检查方法。
FNAC检查是指利用细针穿刺病变部位,吸取其组织、细胞成分制作成涂片、细胞蜡块等,观察病变的残留组织结构、细胞形态、间质变化及免疫、分子病理学等改变,从而推断病变性质的细胞病理学检查方法。甲状腺肿块FNAC检查的目的及鉴别诊断主要包括:①非肿瘤性疾病与肿瘤;②良性肿瘤与恶性肿瘤;③恶性肿瘤的组织学类型;④原发性癌与转移性恶性肿瘤。
随着检查技术的成熟和经验的积累,尤其是新技术、新方法的应用及从业人员素质的提高,甲状腺FNAC检查的特异性和敏感性也越来越高,但也存在部分诊断困难的病例,主要原因为:①穿刺标本细胞数量少,制片不满意;②肿瘤与非肿瘤性疾病之间细胞病理学特点有重叠;③良恶性肿瘤及各类型肿瘤间的细胞病理学特点有重叠;④同时存在肿瘤与非肿瘤或多发性肿瘤;⑤囊性、坏死性、血管性、有钙化被膜或硬化性病变或肿瘤;⑥缺乏操作及诊断经验。
WHO在甲状腺肿瘤分类及诊断标准中指出,FNAC检查对甲状腺癌的诊断敏感性为70%~96%,特异性为72%~100%,假阴性率为1%~11%,假阳性率为0~7%。所以甲状腺FNAC检查与临床医生的协调极为重要:一方面细胞病理学医生必须密切结合相关临床、实验室材料,不能确认或疑似病例尽可能予以描述镜下所见或作出提示性诊断,并提出建议或解释结果;另一方面临床医生应尽可能提供详细的临床信息,必要时参与病例讨论,对于FNAC检查已确认病变性质但与临床极不符合的病例及时沟通非常关键,同时需要临床医生配合做好对FNAC检查假阴性、假阳性患者的解释工作。
近30年有关甲状腺肿块的FNAC检查规范或指南层出不穷,如1996年巴氏细胞病理学会(Papanicolaou Society of Cytopathology,PSCO)、2006年美国临床内分泌医师学会(American Association of Clinical Endocrinologists,AACE)、2007年英国甲状腺协会(British Thyroid Association,BTA)的甲状腺病理指南均包含对甲状腺细针抽吸术(FNA)所取标本的满意度评价,分层诊断系统及推荐的FNA后处理方法,但内容存在差异,甚至矛盾,大多缺少高质量的随机对照试验。为此2007年10月,美国国家癌症研究所(National Cancer Institute,NCI)在马里兰州的Bethesda讨论通过了新的甲状腺细胞病理学Bethesda报告系统(Bethesda System for Reporting Thyroid Cytopathology,BSRTC)指南,旨在加强甲状腺FNA相关的多学科间信息沟通及教育培训,2015-2016年NCI又对2007版BSRTC的文献进行了回顾性讨论,并在2016年第19届国际细胞学大会上进行了专题讨论,于2017年推出了新版的甲状腺病变细胞学检查BSRTC报告方式,目前已经获得ATA/NCCN等机构的联合推荐。
1.适应证
一般情况下无论是触诊还是影像学发现的甲状腺结节,需确诊结节的良恶性以进一步决定是否外科治疗都是进行FNAC检查的适应证。
(1)触诊发现的结节:
通常触诊发现的结节一般直径≥1cm,如果为孤立性结节则具有临床意义,可成为FNAC检查的适应证;如为多发结节,则应在超声评估后决定是否穿刺及穿刺的结节部位。
(2)影像学检查发现的结节:
临床触诊未检出,影像学偶尔发现者,又称意外瘤,主要指超声发现的结节。
1)最大径>1.5cm的实性结节恶性比例为10%~15%,需行FNAC检查,除外单纯囊性结节,或有间隔无实性区域的囊性肿块。
2)最大径为1.0~1.5cm的交界性结节,如超声明显偏向为良性(超声TI-RADS分级在3级或以下)可定期随访;否则应进行FNAC检查。
3)所有超声疑为恶性的结节:表现为微钙化,低回声实质结节,不规则、分叶状边界,结节内血管生成,淋巴结转移或包膜外播散等,TI-RADS分级在四级及以上者不论大小,包括最大径<1.0cm的微小癌。
2.禁忌证
通常直视下或超声引导下的甲状腺FNAC属于微创性检查,不良反应或并发症少,但以下情况下慎用此项检查。
(1)出凝血功能严重障碍。
(2)中重度心绞痛、心肌梗死、心力衰竭、重度高血压及脑血管病变。
(3)严重哮喘、呼吸衰竭。
(4)精神障碍、极度紧张及重度癫痫。
3.并发症
甲状腺FNAC检查为微创性检查,在严格遵守操作规范的情况下并发症通常少而轻。
(1)出血、血肿形成:由于甲状腺部位特殊,局部组织疏松,穿刺后在血肿大时可引起压迫症状。
(2)局部疼痛。
(3)针吸部位感染、脓肿形成。
(4)一过性头痛、头昏、晕厥(晕针)。
(5)诱发癫痫发作、心绞痛等。
以上并发症多为一过性,短暂休息并进行相应处理后多能恢复,但也要注意尽量避免,尤其在穿刺术前掌握适应证,术后告知患者注意事项,特别是对穿刺部位的压迫止血和观察。
在甲状腺FNAC检查过程中,必须严格执行操作规范和技术要求,把握好检查的方法与质控规范十分重要,这是确保此项检查的质量及检查顺利进行的前提。
1.操作间准备
甲状腺FNAC检查的操作间必须先进行空气消毒,并具备基本的硬件设备如诊断床、穿刺椅;有完善的照明、通风、采光条件;准备穿刺操作用具储藏橱柜,固定、染色等制片设备,专用的医疗垃圾存放设备,医用离心机、初检用显微镜等。
2.术前病史了解及必要的检查
细胞病理学检查是一门与临床医学关系非常密切的交叉性学科,在行甲状腺FNAC检查前非常有必要详细了解患者的临床病史及相关检查资料,通常包括:患者身份信息;肿块大小、位置等(详细的颈部体检);周围淋巴结情况;既往甲减、桥本甲状腺炎(HT)、抗甲状腺抗体阳性、毒性甲状腺肿(其间质细胞易误为异形细胞)病史等; 131 I治疗和放射线照射史(可导致细胞核变化),以及治疗日期;肿瘤史及甲状腺癌家族史(尤其MTC和PTC);血清TSH水平(低TSH水平,患甲状腺恶性肿瘤风险较低);出凝血时间;详细的术前头颈部超声检查结果及核医学检查结果。
3.检查前告知并签署知情同意书
术前必须告知患者相关的检查情况,并嘱其签署知情同意书。一般来说知情同意书应该包括以下内容:细胞病理诊断是以细胞形态学为基础的诊断项目,其结果作为临床医生确定病变性质、指导治疗方法的重要依据,有较高的临床意义;此项检查属微创性检查,具有一定的缺陷和不足;适应证与禁忌证;可能出现的并发症和预防治疗措施;检查前后的注意事项;检查的特殊性,也就是检查的敏感性、特异性、假阳性和假阴性;进修医生和实习医生可能参与操作的情况;患者或委托人的签字及时间;主治医生签字及时间等。
严格遵守操作规范及相关规定是保证甲状腺肿块FNAC检查质量的重要前提,同时也是减少穿刺并发症的重要条件,对保护医患双方权益、确保医疗安全具有十分重要的意义。
1.人员资质及准备
甲状腺FNAC检查操作一般由具有执业医师资格的临床医生或细胞病理学医生完成,在进行独立操作前需进行专业培训并获得相应的资质,严重呼吸道感染或有开放性伤口的人员避免进入操作间,针吸操作医生需戴口罩、帽子及无菌手套,动作轻柔,并做好相应的解释工作。
2.穿刺方式及选择
甲状腺FNAC检查方式包括直接细针抽吸和超声引导下细针抽吸,两者的特点见表4-1。
表4-1 甲状腺不同细针抽吸细胞病理学检查方式比较
 
   3.针具选择
一般而言,“细针”的标准是指内径≤0.9mm的针具(国内标号≤9号,国外标号≥20G)。甲状腺FNAC检查用针多选择22~25G,推荐使用口径为23G以上的针具,国内多用小于7号的干燥一次性无菌注射器,小口径针具可显著减少针吸操作的出血量。针具长度多在3cm以内。依个人习惯可以配合使用各种持针器具,如手柄及助吸装置;也可采用专用的FNAC检查针具,如一次性专用针吸针筒;也可以有选择性地使用槽式切割式针吸器具,但虽然可取得组织学标本,其敏感性和特异性并不比细针抽吸有优势,且成功率相对较低,风险及费用较高,故应慎重选择。此外,还有些实验室在针吸操作时为了保证负压及吸引方便而使用各种类型的注射器手柄,但由于操作手腕离开肿块的距离加大,使得精细动作变得困难,在不需要大负压的甲状腺FNA中不提倡应用手柄。
4.操作流程
穿刺操作前,以穿刺点为中心进行皮肤消毒(直径>5cm),如无特殊情况不铺设洞巾。
甲状腺等体表肿块FNA一般不需要麻醉,但也有医生使用局部麻醉,深部和不可触及的肿块穿刺因耗时长可用麻醉,但针穿活检需用麻醉,一般为局部麻醉,1%或2%的利多卡因配成0.5ml溶液皮下注射。需注意局部麻醉后可导致表皮肿胀而使肿块触诊不清。
选择进针部位的原则:选择最近路线垂直进针,注意避开浅表静脉及动脉搏动明显处,扁平形肿块可以采用斜行进针。
在对甲状腺肿块穿刺时常采用两种不同的吸取方法:①负压吸取。一般只需要少量负压持续吸取,通常拉动针管1~2ml即可。质韧病变需较大的负压,如纤维性甲状腺炎或软组织肿瘤。②无负压吸取。操作时仅用穿刺针而不连接注射器,通过穿刺针上下提插的虹吸作用吸取细胞和组织碎片。优点是操作简单,动作精细,出血量少,适合组织较脆的甲状腺肿块,因此应用广泛;缺点是细胞量相对减少,而且不适合对囊性病变的操作。
甲状腺FNAC检查的成功与否很大程度上取决于穿刺操作的成功与否,所以穿刺操作是整个检查的前提。熟练地掌握操作技巧,积累操作经验很重要。FNA的操作技巧如下。
(1)针尖进出过程中充分利用针尖斜口的切割作用很关键,可显著增加细胞吸出量。
(2)可在切割吸取的同时转动针尖,使针尖斜口“刮取”组织。
(3)在同一穿刺点,穿刺针进入组织后通常在不同方向针吸2~3次;每个部位穿刺次数建议<3次。
(4)针吸过程中固定肿块的左手必须明确肿块的具体位置。
(5)尽量避免刺穿时穿刺针进入肿块后方的组织。
(6)吸出足量的细胞后退针前务必去除针筒内负压,通常将针头与针筒分离一下后再接上即可。
(7)退针后分离针头、针筒,快速将针头内吸出的成分推到玻片或保存液中。
(8)在实际操作中还要注意:①囊性肿块应尽量吸尽囊液后再检查原肿块部位,若仍有实性占位则需再次吸取,以免遗漏病变;②针吸时密切注意患者反应,询问其感受,有明显不适时暂停操作或立即退针;③退针后应用无菌棉球压迫穿刺点,范围应达到针刺点周围3cm以上,时间应>15分钟,随后贴无菌敷贴;④针吸完毕后建议患者在穿刺室休息区休息半小时后离开,出现不适反应时及时处理;⑤穿刺次数因肿块性质而异,血供丰富的肿块应减少穿刺次数避免术后较多出血,有现场评价者评估细胞量已足够可穿刺2次,无现场评价者穿刺2~5次。
5.制片
在针吸完成后通常直接手工制作涂片,一般3~4张,可以直接针尖推涂或采用推片法制作(图4-1)。
 
    图4-1 手工涂片
液基薄层制片技术现在已越来越广泛地应用于细胞病理学领域,其诸多优点如及时固定、细胞结构清晰、清除红细胞等有利于FNAC的制片和诊断,但其在FNAC中的应用也存一定争议,最大的问题在于液基制作后人为分散了细胞团,使细胞片内的残留组织学图像明显减少,同时也使一些有诊断价值的间质黏液、炎症细胞及特殊结构消失而增加了诊断的难度,故建议将液基制片技术作为辅助技术与常规细胞制片方法联合应用(图4-2)。
 
    图4-2 液基制片
细胞块(cell block,CB)制作技术目前已经被认为是最有潜力和应用前景的细胞病理学技术。CB是指通过FNAC检查后将取得的普通制片后剩余标本用生理盐水或95%酒精冲刷,将冲刷液中的全部细胞离心浓缩后处理成块状,石蜡包埋成细胞蜡块并切片、染色等再进行观察的细胞病理学技术,在某种程度上具有组织切片的特点。CB的优点:①最大限度保留了残存的组织结构,细胞及小组织残片相对集中,可提供更多的诊断信息;②由于可重复切片为进一步开展特殊染色、免疫组化及分子检测等(如甲状腺刚果红染色,免疫细胞化学TG、TTF-1及BRAF [1] 等分子病理学检测)提供了平台;③可永久保存标本,制片背景清晰,血细胞、炎症细胞数量减少等。CB的缺点是对穿刺操作要求高,需要有一定的细胞量,制作过程较烦琐、复杂,制作成功率一般为60%~80%,故一般在满足常规涂片制作的基础上再进行CB制作(图4-3)。
 
    图4-3 细胞块切片
无论采用何种制片方法,取得的标本除采用Diff-Quick染色外必须立即固定,推荐使用95%酒精或乙醚-乙醇液(无水酒精和95%酒精以1︰1混合);普通涂片,液基薄片的固定时间通常为15分钟,而CB则需3小时以上。
常规的染色方法是巴氏染色,在床边评价时通常进行Diff-Quick染色,国内HE染色应用也十分广泛。
6.标本快速现场评价(rapid on site evaluation, ROSE)
对内镜下标本(特别是TBNA标本)、超声引导下甲状腺肿等穿刺标本、细胞量较少的标本进行取样后即刻ROSE,是近年来发展较为迅速的技术。ROSE对保证取样、制片质量、缩短检查时间具有十分重要的临床意义。
通常ROSE技术是指临床或超声医生在支气管镜下纵隔、肺门等部位进行淋巴结穿刺和超声引导下甲状腺结节穿刺后,病理科人员现场快速染色,镜下判定取样质量,决定是否需要再次取样,这一过程大大提高了这些检查的敏感性。有研究结果证实:经过专业培训的肺科、超声科医生如果具备细胞病理学基础知识,可以直接床旁评估而避免日常诊疗过程中病理科医生介入,缩短取样时间,并减少患者检查费用,提高TBNA等穿刺的有效率。
7.甲状腺癌FNA的辅助检查
临床应用最广泛的主要为免疫组化染色及原位杂交技术,随着CB技术的推广,免疫组化在FNAC中的应用日渐广泛,在甲状腺恶性肿瘤中的主要标志物如下。
(1)MTC:
Calcitonin,TG,CEA,CHGA。
(2)ATC:
CK,galectin-3。
(3)乳头状增生和PTC:
galectin-3,CK19,HBME-1。
(4)甲状旁腺肿瘤:
PTH,TTF-1。
甲状腺FNAC检查尚无公认统一的报告系统或报告方式的指南,目前国内外应用较多的是2017年推出的Bethesda报告系统(BSRTC),本部分以此为依据简单介绍BSRTC的主要内容。
甲状腺癌FNAC检查的关键之一是能否获得合格的细胞标本。合格标本是指取样及制片过程中细胞固定及时,染色对比度清楚,包含的细胞量及细胞成分代表性好且足以确定诊断的标本。目前对合格标本尚无统一的意见,NCI在讨论中提出以下指导性意见。
(1)并非简单评价细胞多少,不同类型肿块满意度标准不一。
(2)不同类型肿块均需达到的满意度:细胞保存质量好;制片质量好。有异形细胞者,无论满意度如何,均属可诊断的标本。
(3)实性肿块满意标本的一般概念为每张涂片至少含5~6团滤泡上皮细胞,每团至少有10个细胞,最少2张涂片;而在WHO的甲状腺肿瘤分类及诊断标准系列中提出,对肿瘤性病变的FNAC检查满意标本标准是至少6组滤泡上皮细胞,每组应含有15~20个滤泡细胞,呈片状或滤泡样结构。
(4)以下三类标本虽然不满足上述标准,但属于满意标本:①炎症性病变,如HT,不需要评价滤泡上皮细胞数量;②富于胶质的肿块,不需要评价滤泡上皮细胞数量;③含有任何数量的不典型滤泡上皮细胞。
(5)囊性病变如无细胞或细胞过少,应报告为“不具诊断意义”或“不满意”,注明仅见囊液,并可建议结合临床及影像学检查结果。
BSRTC是一个六级分级诊断的系统,并提出了相应的细胞形态学标准,在此介绍如下。
1.Bethesda Ⅰ级
不能作出诊断(nondiagnostic,ND)或标本不满意(unsatisfactory,UNS)。
(1)以下情况报告ND/UNS:①除炎症性病变、富于胶质的肿块、含有任何数量的不典型滤泡上皮细胞的滤泡上皮细胞数量不足;②血液掩盖,细胞观察不清;③固定保存细胞不良,细胞明显退变;④仅含有囊性成分,ND/UNS,仅见囊液,此时临床意义很大程度上取决于影像学改变,如果提示单纯囊性,则考虑为良性,如果影像学可疑,则此次FNAC被认为不具代表性。
(2)ND/UNS的恶性风险:①计算困难,大多ND/UNS不进行手术治疗;②2007版Bethesda报告系统推出后最初几年的ND/UNS切除标本恶性风险报道为9%~32%,近几年文献报道总体恶性风险是5%~10%;③由于结合超声检查,手术标本的恶性比例高于总体ND/UNS恶性风险。
(3)ND/UNS一般建议重复穿刺,但过去认为间隔3个月再进行穿刺,ATA目前认为不需要,间隔时间较长会导致患者进一步焦虑,反复FNAC提示ND/UNS的结节建议手术切除。
2.Bethesda Ⅱ级
良性(benign)。分级为良性的病种包括但不限于结节性甲状腺肿、淋巴细胞性甲状腺炎及甲状腺肿中的增生性/腺瘤样结节,其恶性发生风险较低,一般来说<1%,通常临床随访,定期影像学检查,如肿块增大可复查FNAC。常见病种及诊断标准如下。
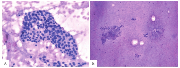
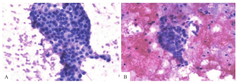
1)结节性甲状腺肿(图4-4):
①大量水样胶质;②滤泡上皮细胞成单层蜂窝片状排列,可形成巨滤泡,或单个散在出现;③滤泡上皮细胞小而圆,核具有细颗粒状均匀分布的染色质,深染致密,细胞质少量至中等量,脆且易碎;④有囊性变者可见散在吞噬细胞;⑤罕见微滤泡结构。
在上述特征不完全出现或部分缺乏时,常报告为良性滤泡性结节(benign follicular nodule,BFN)。
 
    图4-4 结节性甲状腺肿 1
A.背景中大量水样胶质及片状平铺的滤泡上皮细胞;B.散在组织细胞及大量水样胶质,并见片状平铺的滤泡上皮细胞。
1 本书参照国际惯例不标注病理图的放大倍数。
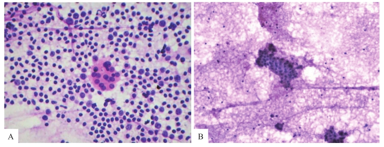
2)自身免疫性甲状腺炎/慢性淋巴细胞性甲状腺炎/桥本甲状腺炎(HT)(图4-5):
①见少量胶质;②淋巴细胞数量多少不一,滤泡中心细胞多见,较常见的是小淋巴细胞、浆细胞及中心母细胞,有时病变中甚至仅可见淋巴细胞,缺少上皮成分,此时易误诊为淋巴瘤,但也有发展为淋巴瘤的病例,建议变换角度再行FNAC或流式细胞检测;③滤泡上皮细胞没有最低数量要求,胞质嗜酸,核可大小不一,甚至可能出现类似毛玻璃样改变及出现核沟,PTC应谨慎诊断,但HT合并PTC的病例非常多见;④许特莱细胞(Hurthle细胞)常见,颗粒状胞质丰富,细胞核大,有明显核仁。
 
    图4-5 桥本甲状腺炎
A.各个转化阶段的淋巴细胞及小团嗜酸性变滤泡上皮细胞;B.散在的淋巴细胞及成团嗜酸性变滤泡上皮细胞。
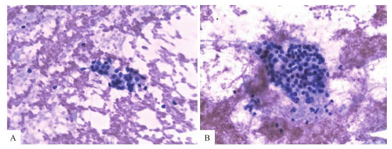
3)肉芽肿性甲状腺炎(亚急性甲状腺炎)(图4-6):
①见大量不同大小的多核巨细胞,其属于异物型巨细胞,核表现为类上皮样,有时可出现郎格罕斯细胞;②胶质肉芽肿形成;③变性的滤泡上皮细胞,多表现为胞质嗜酸性改变,并可出现空泡旁颗粒改变,甚至出现嗜酸细胞;④不等量的炎症细胞;⑤非干酪性坏死的细胞碎片;⑥要注意与HT(表4-2)及间变性癌鉴别。
 
    图4-6 亚急性甲状腺炎
A.吞噬大量胶质的异物巨细胞(组织切片);B.吞噬大量胶质的异物巨细胞(细胞涂片)。
表4-2 桥本甲状腺炎和亚急性甲状腺炎的鉴别
 
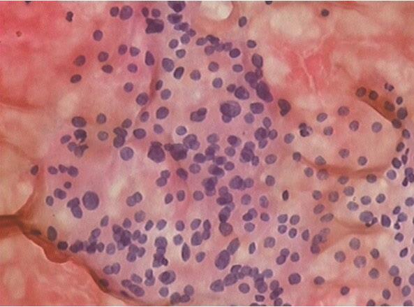
   4)毒性甲状腺肿(图4-7):
①吸出物为胶样颗粒状物;②滤泡上皮细胞“核大浆宽”,细胞间界限欠清,胞质丰富染色较红,胞质边缘常见滴状或火焰状突出,即“火焰细胞(flame cell)”,治疗后消失;③细胞核常见一定程度的异型性,核大小差异明显,常深染;④结合较为特异的临床表现。
 
    图4-7 毒性甲状腺肿
“核大浆宽”改变的滤泡上皮细胞。
3.Bethesda Ⅲ级
意义不明确的非典型细胞(atypia of undetermined significance,AUS)或意义不明的滤泡性病变(follicular lesion of undetermined significance,FLUS)。
(1)定义:标本中的细胞具有结构和/或细胞核不典型性,但不足以诊断可疑滤泡性肿瘤(suspicious follicular neoplasm,SFN)或黏膜下肿瘤(submucosal tumor,SMT)。
(2)使用范畴
1)AUS:意义不明确的非典型细胞,范围较广。
2)FLUS:意义不明确的滤泡性病变,代表非典型滤泡上皮细胞,不能用在非滤泡病变。
(3)AUS/FLUS的风险等级:计算同样困难,因为大多不手术,而手术者大多是因为影像学怀疑,所以按手术病理AUS/FLUS计算恶性风险会被高估。2017版Bethesda报告系统认为:①如果甲状腺伴乳头状癌核特征性的非浸润性滤泡性甲状腺肿瘤(NIFTP)等于癌,风险等级10%~30%;②如果NIFTP不等于癌,风险等级6%~18%。
(4)属于排除性诊断,作为诊断的最后选择2007版;Bethesda报告系统建议报告AUS/FLUS的比例小于7%,2017版建议在10%以下(报道为5%~30%)。
(5)临床处理
1)在标本量充足的前提下,建议对此类标本进行分子检测。
2)细胞数量不足,建议重新FNAC。
5)如果影像学提示恶性可能,也可以进行腺叶切除。
(6)AUS/FLUS镜下诊断特点(图4-8)
1)见到数量明显的微滤泡团,但不够滤泡性肿瘤(follicular neoplasm,FN)的诊断标准。
2)细胞和胶质均少,但嗜酸细胞较多。
3)制片不良,影响滤泡细胞非典型性的判断。
4)风干导致细胞核轻度增大,不规则,核质模糊。
5)细胞凝块导致细胞拥挤。
6)背景主要为良性改变(如HT、毒性甲状腺肿、良性滤泡病变),局部细胞具有PTC的部分特征。
7)少量滤泡细胞核增大,常伴有明显核仁。
8)放射性碘、卡比马唑或其他药物治疗后。
9)出血、囊性变等引导的修复性改变。
10)出现非典型性淋巴细胞,但不足以诊断可疑非霍奇金淋巴瘤(non-Hodgkin lymphoma,NHL)。
 
    图4-8 意义不明确的滤泡性病变
伴有轻度核改变及微滤泡样排列的滤泡上皮细胞(A、B)。
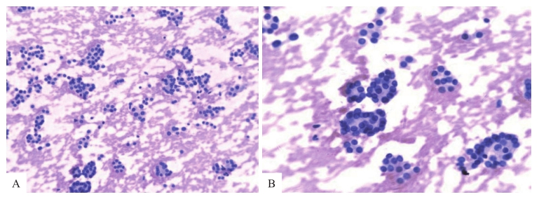
4.Bethesda Ⅳ级
滤泡性肿瘤(FN)/可疑滤泡性肿瘤(SFN)。两个名称含义相同,建议使用一个,推荐使用SFN,因为大量的(约35%)FN/SFN不是真性肿瘤,而是滤泡上皮细胞增生改变最常见的是结节性甲状腺肿。
(1)恶性风险度:如果NIFTP不等于癌,风险降低(10%~40%/25%~40%),最大径≥3.5cm的嗜酸细胞肿瘤恶性风险增高。
(2)考虑到NIFTP,2017版Bethesda报告系统对此分类进行了重新定义,并修订了诊断标准,主要适用于非乳头状FN和嗜酸细胞肿瘤。
(3)临床处理:甲状腺腺叶切除或半甲状腺切除,推荐使用分子检测,明确诊断要待术后病理(腺瘤结节、腺瘤或癌)。
(4)该术语包括滤泡性腺瘤、滤泡癌、滤泡型乳头状癌、腺瘤样结节。FNAC不能区别滤泡性腺瘤/滤泡癌及非浸润性滤泡性肿瘤(non-invasive follicular thyroid neoplasm,NIFTP)/滤泡型甲状腺乳头状癌(follicular variant of papillary thyroid carcinoma,FVPTC)。
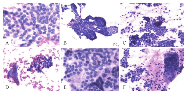
(5)FN/SFN常规类型的诊断标准(图4-9)
1)基本特点:细胞丰富,胶质稀少(细胞性结节)。
2)滤泡细胞拥挤重叠,呈立体状,可见三种结构(“滤泡”前提):①三维团;②微滤泡团(<15个细胞,花环状排列);③小梁状团,明显的核重叠、拥挤、疏密不均,显示为立体结构。
3)滤泡细胞类型单一,增生态,部分核有非典型性(单一结构)。
4)其他有一定意义的诊断线索:①单个散在的细胞常见;②部分病例在细胞丛中有毛细血管穿过现象;③只有当细胞类型单一、细胞黏附团状排列、核重叠、拥挤明显,背景浓稠胶质取代水样胶质时,才能诊断FN;④值得注意的是核的不典型性不是诊断癌的标准。
 
    图4-9 滤泡性肿瘤
A.丰富的微滤泡排列的上皮细胞团,形态单一;B.典型的微滤泡结构。
5)关于“微滤泡”的定义:排列拥挤、平铺的滤泡细胞团,每团细胞少于15个,排列成1圈(至少见到2/3圈)。如果细胞量少,虽然以微滤泡为主,但也不能诊断FN,而应为“AUS/FLU注意:甲状腺旁腺肿瘤与FN相似,鉴别困难”。
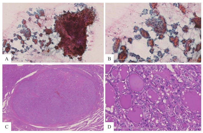
6)NIFTP细胞病理学特征(图4-10):最近国内外对NIFTP研究较多,国内刘志艳等在结合大量文献的基础上提出了相应的细胞学诊断标准:①可见中等数量滤泡样结构的滤泡细胞团,缺乏乳头样结构,细胞排列较松散,中度核重叠;②背景中无巨噬细胞、炎性病变、砂粒体或坏死;③肿瘤细胞核不规则,中度增大,染色质细腻,核沟少见或不明显,细胞核拥挤、重叠和变形;④核内假包涵体少见或无,偶可见核内空泡,核仁小而模糊、不明显。
 
    图4-10 甲状腺伴乳头状癌核特征性的非浸润性滤泡性甲状腺肿瘤
A.乳头状癌样细胞核改变,同时可见微滤泡结构;B.乳头状癌样细胞核改变,同时可见微滤泡结构;C.镜下典型的包裹性结构;D.镜下典型的乳头状癌样细胞核改变并表现为滤泡样结构。(由日本奈良医科大学医学院Kennichi Kakudo惠赠)
7)嗜酸细胞肿瘤(图4-11):①细胞丰富,胶质极少;②细胞类型单一,几乎均为嗜酸细胞,胞质丰富,呈细颗粒状(DQ染色呈蓝灰色或红色;Pap染色呈绿色;HE染色呈粉红色),核圆且大,居中或偏位,核仁明显,常见非典型性;③有两种细胞,小细胞的核/浆比高,大细胞的核大小至少相差2倍;④细胞排列主要表现为单个散在,也可拥挤呈片状;⑤背景胶质缺乏或极少,缺乏淋巴浆细胞。
 
    图4-11 嗜酸细胞肿瘤
丰富的嗜酸性胞质的滤泡上皮细胞,核伴有轻度不典型性(A、B)。
8)透明变梁状肿瘤(图4-12):根据肿瘤细胞核的特征,极易误认为PTC。由于长形的肿瘤细胞和透明变物质,偶尔也误诊为MTC。在基质凹凸不平的基底膜物质沉积为重要的诊断线索。
 
    图4-12 透明变梁状肿瘤
A.梁状、条索状排列的滤泡上皮细胞团,可见透明玻璃样物;B.可见类似乳头状癌样细胞核改变。(北京大学国际医院任玉波惠赠)
5.Bethesda Ⅴ级
可疑恶性(suspicious for malignancy,SFM)肿瘤。
(1)分级定义:主要包括4方面。①可疑乳头状癌;可疑FVPTC或NIFTP(不同于FN的是出现包涵体/砂粒体,但细胞数量少且不典型);②可疑MTC(适用于标本量有限,不足以进行降钙素免疫组化染色,细胞学报告应注明需进行血清降钙素的检测);③可疑其他恶性肿瘤,包括可疑淋巴瘤(建议重复穿刺行流式细胞计数检测)、可疑转移癌/甲状腺继发肿瘤;④可疑肿瘤,因为肿瘤细胞全部坏死(如ATC)。但应注意不包括可疑滤泡肿瘤或嗜酸细胞肿瘤。
(2)可疑甲状腺乳头状癌(SPTC)(图4-13):50%~75%为滤泡型乳头状癌,主要包括以下几种情况。
1)斑片状核改变:细胞较丰富,良性滤泡细胞为主,散在非典型性细胞团(有部分PTC核表现)。
2)核改变不充分:细胞或多或少,但核的改变达不到PTC诊断标准。
3)细胞量不足:具有多项PTC细胞学特征,但细胞量极少。
4)囊性变:具有囊性变特征,细胞量少,有部分PTC核表现。
 
    图4-13 可疑乳头状癌
A、B.成团密集排列滤泡上皮细胞,染色质细腻似可见核沟。
(3)可疑甲状腺髓样癌(MTC):可用于受标本数量限制而无法用免疫组化方法检测降钙素的病例,细胞学报告中应建议检查血清降钙素水平。
1)具有MTC的基本改变。
2)细胞散在,形态单一,小或中等大小,核/质比高(淋巴细胞样或髓样癌样),核偏位,浆细胞样。
3)可有小片无定形物质(淀粉样物或胶质)。
4)核质不清(制片不良),或胞质无颗粒,或缺乏典型淀粉样物质。
(4)怀疑其他原发或继发性恶性肿瘤,主要包括可疑恶性淋巴瘤;仅见“肿瘤性”坏死而被怀疑为肿瘤,如ATC等。
6.Bethesda Ⅵ级
恶性肿瘤(malignant tumor,MT)。恶性风险97%~99%时NIFTP为癌,恶性风险94%~96%时NIFTP不为癌;包含所有类型的甲状腺恶性肿瘤,甲状腺结节FNAC检查的主要目的就是明确结节的良恶性。
(1)甲状腺乳头状癌(PTC)及其变异型:
是甲状腺结节FNAC诊断最敏感和特异的组织学类型,由于其占所有甲状腺癌的比例最大,对其诊断标准的掌握十分重要。
1)基本定义:
滤泡上皮来源的恶性肿瘤,诊断基于细胞核的特征,可出现乳头状结构,但并非必须。
2)主要诊断标准(图4-14)
①主要特征
细胞核:普遍增大、拥挤、重叠;椭圆形或杆状、柱状;核不规则、纵向核沟;核内假包涵体;染色质细、淡染毛玻璃样,核膜明显增厚;多个偏心的微小核仁。
细胞质:多为轻度嗜酸的均质细胞质。
细胞团:乳头断片状;合胞拥挤细胞团;砂粒体核心细胞团等。
次要特征:带有纤维血管轴心的乳头状团;单层合体团(核拥挤、重叠、镶嵌);细胞漩涡样结构;深染鳞样细胞质;泡泡糖样胶质;砂粒体;多核巨细胞;组织样细胞。
②PTC必备特点(三者至少具备一个):经典核内假包涵体,砂粒体,真性乳头(如果缺乏,建议SPTC或SFN)。
 
    图4-14 甲状腺乳头状癌
A.典型的毛玻璃样细胞核、核沟、核内包涵体;B.典型的含残留纤维血管轴心的真性乳头;C.典型的毛玻璃样细胞核,并见砂粒体;D.小团典型乳头状癌细胞核特征的滤泡上皮细胞及浓缩胶质;E.典型的毛玻璃样细胞核、核沟、核内包涵体;F.乳头状癌涂片中常见的多核巨细胞。
3)各亚型特点:
PTC的组织学亚型众多,详见前文组织病理阐述,在FNAC检查中,尽管部分亚型有一定的细胞学特征,并且部分亚型的临床预后与经典型不同,但总体来说鉴别不同亚型是困难的,好在PTC最初的处理原则相同(通常为甲状腺切除术),所以在甲状腺结节穿刺阶段不需要鉴别。以下简述部分常见亚型的细胞学特点。
①滤泡亚型PTC(图4-15):具有微滤泡状排列结构的PTC,鉴于其较难与滤泡性腺瘤/腺癌鉴别,尤其是几乎不能与NIFTP鉴别,所以在BSRTC中诊断为FN也可以被接受,诊断要点:A.细胞丰富,微滤泡结构常见,轮廓相对模糊;B.PTC特征性核改变包括毛玻璃样核、核沟、核内包涵体等常不显著,几乎不能与NIFTP鉴别;C.黏稠浓厚的胶质团,尤其出现在微滤泡内;D.其他的PTC特征缺乏,尤其是乳头状片段。
 
    图4-15 滤泡亚型乳头状癌
伴有典型微滤泡结构及乳头状癌核特点的滤泡上皮细胞(A、B)(需要与NIFTP鉴别)。
②柱状细胞亚型PTC(图4-16):A.细胞丰富而缺乏胶质;B.乳头状、簇状或片状排列,可见小管结构;C.细胞核拉长且复层;D.PTC细胞核常局灶出现,染色偏深,一般无多核巨细胞。
 
    图4-16 柱状细胞亚型乳头状癌
高柱状排列的具有典型乳头状癌核特征的滤泡上皮细胞(A、B)。
③Warthin亚型PTC:A.嗜酸细胞,乳头状或散在分布;B.确定的PTC细胞核特点,HT中的嗜酸细胞核规则呈圆形,有单个较大核仁,应加以鉴别;C.可见淋巴细胞背景,浸润于纤维血管轴心。
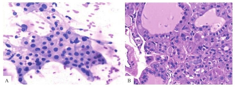
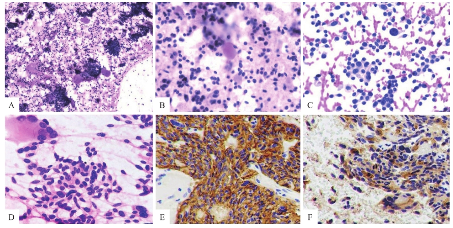
(2)甲状腺髓样癌(MTC)(图4-17):
MTC来自甲状腺滤泡旁细胞(C细胞),起源于外胚层神经嵴;分泌降钙素,95%以上患者血清降钙素水平上升;在甲状腺癌占比小于5%,死亡率占13.5%,提示其临床预后相对较差,80%~85%为散发病例,多位于甲状腺中到上外1/2区域,极少累及两极及峡部;此外MTC 10%~20%为家族性,合并其他类型的神经内分泌异常,属于常染色体显性遗传,伴有10号染色体的原癌基因 RET 点突变。
 
    图4-17 甲状腺髓样癌
A.丰富团片状及弥散状分布的上皮细胞,并可见片状嗜酸性无结构物;B.丰富团片状及弥散状分布的上皮细胞,并可见片状嗜酸性无结构物;C.浆细胞样上皮细胞间散在分布的异型瘤巨细胞;D.梭形纤维样肿瘤细胞,可见典型的“盐加胡椒粉样”染色质;E.免疫细胞化学染色降钙素阳性;F.免疫细胞化学染色突触素(Syn)阳性。(图4-17D、图4-17E、图4-17F由首都医科大学附属北京友谊医院余小蒙惠赠)
MTC的主要细胞病理学特点:中等到大量的细胞数;多数散在单个分布,也可疏松堆状分布;细胞呈轻度到中度异型性;同一病例中细胞形态大小多不一致,并夹杂少数瘤巨细胞,双核或多核瘤细胞,其中浆细胞样、卵圆形或梭形肉瘤样细胞核最常见;细胞核常偏位,有特征性的“盐和胡椒”表现;淀粉样物及胞质内颗粒常见,尤其在Diff-Quick和Romanowsky染色中易见,但是非诊断必须;部分病例可见双核、多核及核内假包涵体,核仁多不明显;免疫组化降钙素、CEA、CgA、Syn及TTF-1阳性表达,而TG通常为阴性;血清降钙素水平检测有助于诊断。
(3)甲状腺低分化癌(poorly differentiated thyroid carcinoma, PDTC)(图4-18):
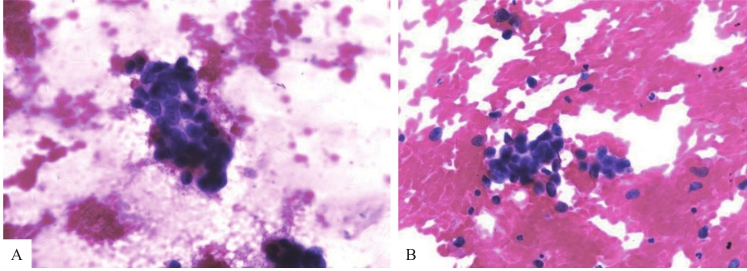
是介于分化性甲状腺癌与ATC之间的一类具有较强侵袭性临床表现的一类甲状腺恶性肿瘤,由Carcangiu等首先提议作为一个独立类型。PDTC组织学结构独特,多表现为排列成大而圆的“岛状”肿瘤细胞(部分可不明显)。患者预后较差,5年平均生存率约为50%。
PDTC的细胞学特征:细胞丰富,可见岛状、实性、梁状排列;滤泡细胞样细胞,类型单一,胞质稀少;核/浆比高,有不同程度的核异型;可见核分裂、核凋亡;常见坏死,而缺乏胶质。
 
    图4-18 甲状腺低分化癌
A.小团中重度异型肿瘤细胞;B.成团及散在中重度异型上皮细胞。
PTCD不易与转移性癌、滤泡性肿瘤相鉴别,WHO《内分泌器官肿瘤病理学和遗传学》认为对PDTC仅可在组织学水平作出诊断。
(4)甲状腺未分化(间变性)癌[undifferentiated (anaplastic)thyroid carcinoma, UTC](图4-19):
是一种高度侵袭性恶性肿瘤,多见于50岁以上女性,肿瘤生长迅速,患者大多6~12个月内因侵犯附近重要解剖结构而死亡。此外,部分患者有长期结节性甲状腺肿病史,部分患者是原有分化性甲状腺癌去分化而致。
 
    图4-19 甲状腺未分化癌
A、B.瘤巨细胞及大片坏死。
UTC的细胞形态学特点:瘤细胞丰富,呈单个散在、合体状、松散片状;细胞异型显著,有三种类型,分别为梭形细胞、巨细胞、上皮样细胞,其中巨细胞呈明显多形性和间变性;可见分化性肿瘤细胞团,需除外原发性鳞状细胞癌和转移癌;背景较多坏死物和中性粒细胞,瘤细胞常见中性粒细胞侵入,可见破骨样巨细胞;一些病例坏死和硬化广泛,可致标本不能诊断;如果老年人甲状腺FNA背景广泛坏死和炎症,偶见多形性瘤细胞,应排除UTC;免疫组化为Tg和TTF-1阴性,vimentin阳性,CK阳性占80%。
(5)其他类型恶性肿瘤
1)恶性淋巴瘤:
大细胞淋巴瘤的针吸涂片中可见典型的丰富的互不黏合的细胞,这些细胞的特征与其他部位的大细胞淋巴瘤的瘤细胞很相似。典型的边缘带淋巴瘤含有混杂的小的非典型淋巴细胞、中心型细胞、单核细胞样B细胞、免疫母细胞和浆细胞。因为这些混杂的细胞类型,边缘带淋巴瘤应与反应性过程相鉴别,但通过细胞学制备的标本无法鉴别,通常需要分子学研究确定诊断。免疫组化染色及分子病理学技术如流式细胞技术对诊断有一定的帮助。
2)转移性恶性肿瘤:
以肺、乳腺、食管、喉等部位的癌最为常见,细胞形态学特点与原发病变类似。
(徐海苗)
[1] ADENIRAN A J, THEOHARIS C, HUI P. Reflex BRAF testing in thyroid fine-needle aspiration biopsy with equivocal and positive interpretation: a prospective study. Thyroid, 2011, 21(7) : 717-723.