



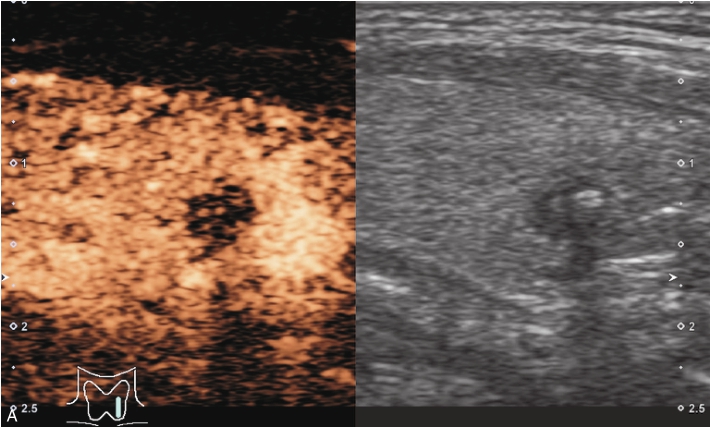
女性,51岁,因乏力就诊,无颈前区不适。
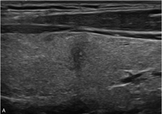
甲状腺囊肿常规超声表现为边界清晰、形态较规则的无回声结节,内可见点状强回声,后伴“彗星尾”征,CDFI内部无明显血流信号,见图1-3-1。
图1-3-1 甲状腺囊肿常规超声声像图
A.甲状腺左叶纵切面;B.CDFI血流图
注入造影剂后结节始终呈无增强,边界清晰,周围腺体呈均匀等增强,见图1-3-2、ER1-3-1。
(1)结节内部始终无造影剂灌注,表现为边界清晰、形态规则的无增强区。
(2)结节周边被膜连续完整。
(3)超声造影可以鉴别单纯囊肿与内部为极低回声的甲状腺实性结节,单纯囊肿造影时内部始终呈无增强,边界清,实性结节在造影过程中可见造影剂灌注,边界不清。
甲状腺单纯囊肿需与甲状腺腺瘤囊性变相鉴别,后者常为囊实性改变,液化不全为其特征。超声造影鉴别点在于:单纯囊肿周围为正常腺体,因此其周围增强程度较均匀,无增强区边界清,形态规则;而腺瘤囊性变囊性区多形态不规则,周围腺瘤组织增强程度多高于周围正常腺体,结合常规超声及CDFI特征有助于鉴别。
图1-3-2 甲状腺单纯囊肿超声造影图
A.注入造影剂后10s;B.腺体增强达峰时(15s)图像;C.注入造影剂后19s,结节内部始终呈无增强
ER1-3-1 甲状腺单纯囊肿超声造影视频
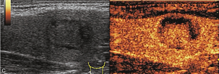
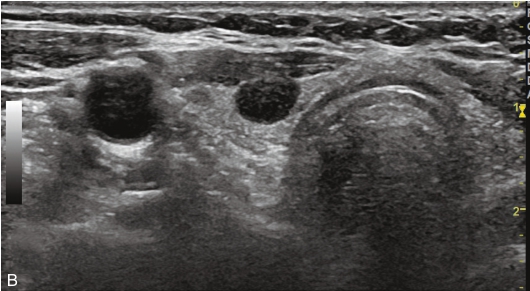
女性,60岁,自觉颈部肿大3个月余。2年前常规超声提示甲状腺多发囊实性结节。
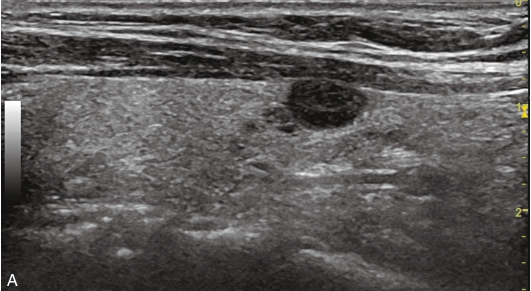
甲状腺左叶明显增大,可见一囊性为主的囊实性结节,该结节体积较2年前明显增大,挤压周围甲状腺组织,结节内部回声欠均匀,见多发点、条状强回声,结节后方回声增强;CDFI显示结节内部未见明显血流信号,见图1-3-3。
图1-3-3 甲状腺囊肿伴出血常规超声声像图
A.甲状腺左叶横切面;B.CDFI血流图
注入造影剂后甲状腺左叶囊实性结节内始终呈无增强,边界清晰,结节周围甲状腺被膜完整,见图1-3-4、ER1-3-2。
(1)周围囊壁呈均匀高增强,边界清,内部始终无造影剂灌注。
(2)结节周边被膜连续且完整。
甲状腺囊肿伴出血需要与甲状舌管囊肿、淋巴管囊肿相鉴别。超声造影显示囊肿周围是否有增强的甲状腺腺体,结合常规超声可以鉴别其来源。
图1-3-4 甲状腺囊肿伴出血超声造影图
A.注入造影剂后17s图像;B.注入造影剂后28s图像,结节内部始终呈无增强
ER1-3-2 甲状腺囊肿伴出血超声造影视频
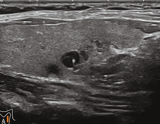
体检发现颈前肿物1周。无颈前牵拉感,无咽痛,无声嘶。
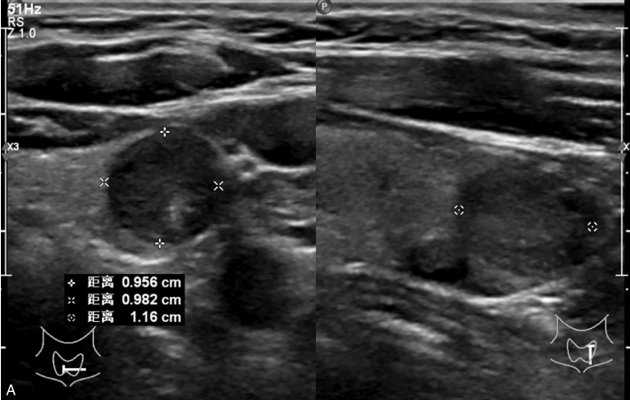
甲状腺左叶下极可见一低回声结节,大小约1.2cm×1.0cm×1.0cm,边界清楚,内未见强回声。CDFI显示甲状腺左叶下极结节内部及周边均未见血流信号,见图1-3-5。
图1-3-5 常规超声声像图
A.甲状腺左叶横切面超声图像;B.甲状腺左叶纵切面超声图像
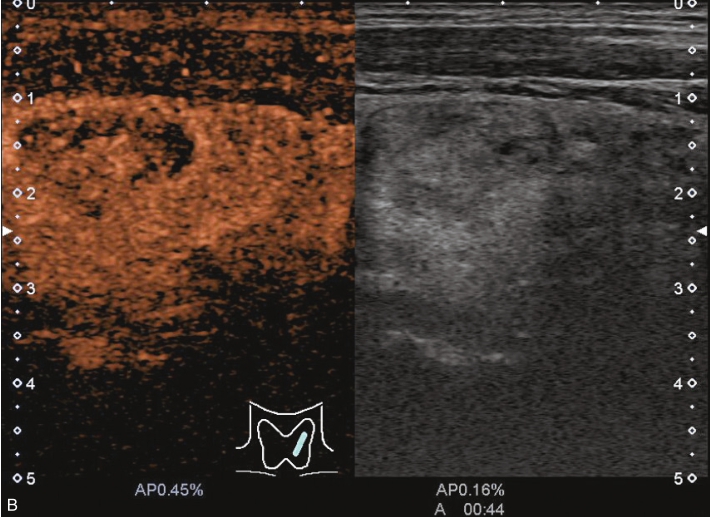
甲状腺左叶下极结节超声造影全程呈整体无增强,病灶边界清楚,无增强面积等于灰阶超声所示,见图1-3-6、ER1-3-3。
(1)病灶增强的边界清楚。
(2)一般为圆形或者椭圆形。
(3)病灶为整体无增强。
(4)无增强范围等于灰阶超声所示。
图1-3-6 超声造影声像图
ER1-3-3 甲状腺囊肿伴出血超声造影视频
常为多发性,内部回声多为等回声,合并坏死囊变时的结节性甲状腺肿超声造影表现内部可见无增强区域,但是,结节内部实性成分在增强晚期表现为等增强或高增强。
患者常常有上呼吸道感染病史,甲状腺区域可有疼痛及压痛,不同于甲状腺囊肿伴出血,亚急性甲状腺炎的病灶超声造影边界不清楚,内部表现为低增强。
患者有消融治疗的病史,虽然消融灶也表现为整体无增强,但是,无增强区域的边界为消融治疗后的特征性改变,结节内部紧邻甲状腺包膜处可出现等增强区域,该区域对应于结节周边残留活性腺体。
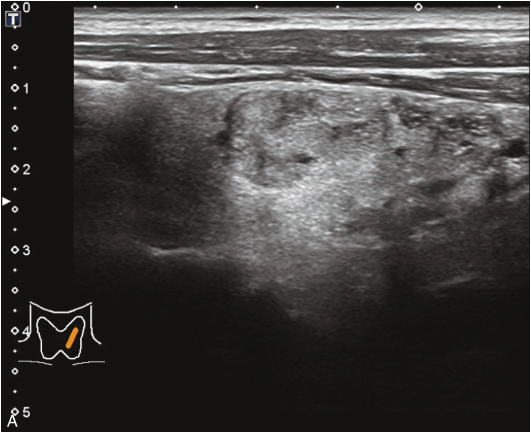
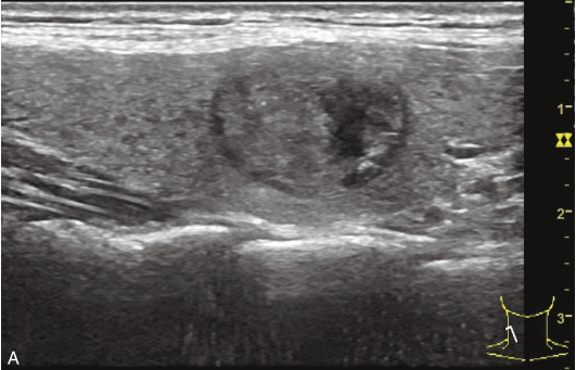
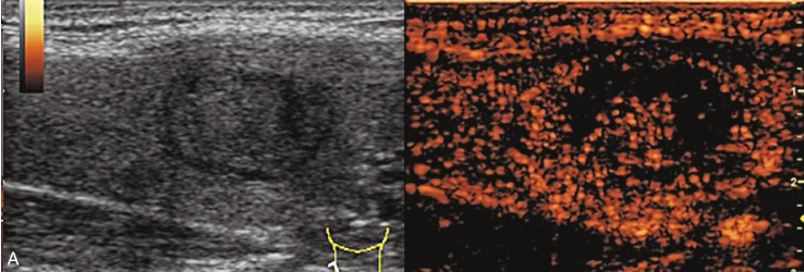
女性,56岁,体检超声发现甲状腺结节1周,无不适。甲状腺功能正常,实验室检查:FT3 3.76pmol/L,FT4 11.68pmol/L,TSH 2.8414μIU/ml。手术病理提示结节性甲状腺肿。
甲状腺形态基本正常,甲状腺实质回声稍增粗,分布尚均匀,甲状腺包膜尚光滑。甲状腺两叶内见多发结节,较大者位于左叶上极,呈类椭圆形,边界清楚,形态规则,纵横比<1,内部回声均匀,未见钙化,后方回声稍增强。CDFI显示左叶较大结节边缘可见丰富的条状血流信号,内部可见条状、点状血流信号,见图1-3-7。
图1-3-7 结节性甲状腺肿常规超声表现
A.常规超声图像;B.CDFI超声图像
甲状腺左叶上极较大结节增强早期呈稍高增强,自结节外周向中央灌注,增强晚期呈等增强,结节内部可见不均匀低增强区,见图1-3-8、ER1-3-4。
图1-3-8 结节性甲状腺肿超声造影图像
ER1-3-4 结节性甲状腺肿的超声造影
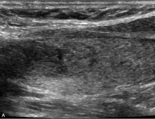
男性,64岁,体检发现甲状腺结节1天。体格检查:甲状腺无明显肿大。
甲状腺左叶中部实性中等回声,边缘光整,纵横比<1,内未见明显强回声,CDFI:结节内见血流信号,见图1-3-9。
图1-3-9 结节性甲状腺肿常规超声声像图
A.甲状腺左叶纵切面;B.CDFI血流图
甲状腺左叶中部结节15s开始增强。增强早期与周围正常甲状腺组织呈同步等增强,内部增强不均匀,增强后结节边界清,形态规则,周边可见环状高增强,增强晚期呈不均匀性低增强,见图1-3-10、ER1-3-5。
结节性甲状腺肿超声造影表现为病变多与周围正常甲状腺组织呈同步等或高增强,增强多较均匀,伴有囊性变者,内部可见无增强区,增强后结节边界清,周边可见环状增强,增强晚期呈等或稍高增强,也可呈稍低增强。
多早于周围正常甲状腺组织增强,从周边向中心快速充盈,呈均匀性高增强,增强后结节边界清,形态较规则,周边亦可见环状增强。
造影后结节大多呈同进或慢进,以不均匀性低增强多见,也可呈等或高增强,增强后结节边界不清,形态不规则,增强晚期可呈低增强或等增强。
图1-3-10 结节性甲状腺肿超声造影图
A.增强早期结节呈同步不均匀性等增强;B.增强晚期呈不均匀性低增强
ER1-3-5 结节性甲状腺肿超声造影视频
女性,67岁,体检发现甲状腺右叶结节1年。体格检查:颈软,气管居中,无压痛,双侧甲状腺未触及明显肿块。实验室检查:A-TP 10.00IU/ml,A-Tg 45.40IU/ml,TSH 3.26mIU/L,FT3 5.13pmol/L,FT4 15.35pmol/L。
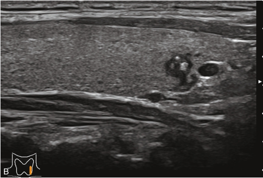
甲状腺右叶下极可见一低回声结节,紧贴甲状腺包膜,突出于甲状腺包膜,大小约0.82cm×0.72cm×0.55cm,呈椭圆形,边界清楚,内部为低回声,分布不均匀,后方回声稍增强,CDFI显示结节内未见明显血流信号,弹性成像示弹性评分为3分,见图1-3-11。
图1-3-11 甲状腺“木乃伊”结节
A、B、C、D.甲状腺“木乃伊”结节常规超声图像
经肘正中静脉团状注射造影剂SonoVue1.2ml后,13s周围甲状腺组织开始增强,病灶边缘部呈稍增强,病灶内部始终呈无增强,在整个造影过程中病灶内始终呈无增强,见图1-3-12、ER1-3-6。
“木乃伊”结节超声造影表现为无增强。
部分良性甲状腺结节囊液吸收后超声表现为低回声、缩小,超声表现为可疑恶性征像,二维超声表现与甲状腺乳头状癌难以鉴别,超声造影可以明确病灶内有无增强,提高诊断准确性。
图1-3-12 甲状腺“木乃伊”结节造影图像
A.造影示低回声结节呈无增强;B.增强晚期仍呈无增强
ER1-3-6 甲状腺“木乃伊”结节造影视频
男性31岁,超声发现甲状腺结节2年余,无不适。既往右侧颈前区可扪及3cm×2cm包块,质韧,无压痛,可随吞咽动作运动。2年内自觉颈前区包块逐渐缩小,1年前包块消失。
第一次常规超声检查:甲状腺右叶形态失常,中部可见一个类椭圆形混合回声结节,大小约2.5cm×2.2cm×2.4cm,边界清楚,形态规则,内部回声不均匀,以无回声为主,内见稍低回声实性成分,后方回声增强。CDFI显示结节周边可见少量点条状血流信号,内部无回声区及实性成分均未见血流信号,见图1-3-13。
第二次常规超声检查:甲状腺右叶形态基本正常,中部见一个低回声结节,大小:0.5cm×0.7cm×0.5cm,边界欠清,边缘不规则,纵横比>1,内部回声不均匀,可见小片状强回声,后方回声衰减。结节大小较第一次超声检查明显缩小。CDFI显示结节边缘可见点状血流信号,内部未见血流信号,见图1-3-14。
图像描述:甲状腺右叶中部结节增强早期大部分无增强,仅见内部线样等增强;增强晚期内部线样增强逐渐廓清,全结节呈无增强,见图1-3-15、ER1-3-7。
图1-3-13 甲状腺右叶结节第一次常规超声检查
A.甲状腺右叶结节灰阶超声图像;B.甲状腺右叶结节CDFI超声图像
图1-3-14 甲状腺右叶结节第二次常规超声检查
A.甲状腺右叶结节灰阶超声图像;B.甲状腺右叶结节CDFI图像
图1-3-15 甲状腺右叶“木乃伊”结节超声造影图像
A.增强早期结节内大部分无增强,仅中央少量线状等增强;B.增强晚期结节呈完全无增强
ER1-3-7 木乃伊结节的超声造影
女性,35岁,自述“两年前体检发现甲状腺左叶囊实性结节”,2个月前复诊提示甲状腺左叶实性结节伴钙化,为进一步明确诊断就诊。
甲状腺左叶下部见一低回声结节,边界清,形态尚规则,内见多发斑状强回声,后方伴声影,CDFI内未见明显血流信号,见图1-3-16。
注入造影剂后结节内实性部分大部分呈无增强,其周边可见少许点状造影剂灌注,结节边界清,形态较规则,周边甲状腺被膜完整,见图1-3-17、ER1-3-8。
(1)结节内部呈无增强或低增强。
(2)结节边界清晰,形态较规则。
(3)结节周边被膜连续完整。
甲状腺“木乃伊”结节既往常规超声多表现为囊实混合性回声,边界清晰,经过一段时间后,结节萎缩塌陷,呈实性低回声,部分内有钙化。超声造影结节内部多呈无增强或低增强,呈低增强时则难与乏血供的甲状腺恶性肿瘤鉴别,鉴别要点为超声造影“木乃伊”结节与腺体分界较为清晰,无被膜浸润征象,且需要结合既往常规超声检查及动态随访。
图1-3-16 甲状腺“木乃伊”结节常规超声声像图
A、B.甲状腺左叶纵切面示甲状腺左叶下部低回声结节,边界清,形态不规则,内可见多发斑状强回声;C.CDFI血流图示结节内未见明显血流信号。
图1-3-17 甲状腺“木乃伊”结节超声造影图
A.注入造影剂后16s图像;B.注入造影剂后42s图像
ER1-3-8 甲状腺“木乃伊”结节超声造影视频
男性,52岁,外院发现甲状腺结节,为求进一步诊治收入我院。
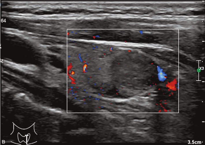
甲状腺左叶中下部见一混合回声结节,边界清,形态规则,中心部可见斑状强回声,CDFI显示周边可见环状血流信号,其内可见丰富血流信号,见图1-3-18。
该结节早于周围腺体组织增强,结节内部呈高增强表现,可见部分无增强区;结节晚于周围腺体组织消退,仍呈高增强表现;结节周边可见均匀高增强环,甲状腺被膜未见明显中断,见图1-3-19、ER1-3-9。
(1)结节增强早期早于腺体增强或与腺体同步增强,增强晚期晚于腺体消退或与腺体同步消退。
(2)结节内部呈均匀或不均匀弥漫性等增强或高增强,增强水平通常高于周围腺体。
(3)结节与周围腺体分界清晰,形态较规则。
(4)部分结节周边可见均匀高增强环。
(5)结节周边被膜连续完整。
甲状腺滤泡性腺瘤通常为富血供病灶,其增强水平等于或高于周围腺体,并呈现“早增强,晚消退”的特点,重点需要与滤泡性腺癌鉴别,腺瘤多边界清晰、形态较规则,造影时结节周围的高增强环厚薄一致、较为均匀,结节周边被膜连续完整、无浸润表现,颈部淋巴结无异常肿大等。而滤泡性腺癌边界不清、呈浸润性生长表现,周边高增强环消失或厚薄不均,如发现颈部异常肿大淋巴结及被膜连续性中断等,需要高度警惕甲状腺恶性肿瘤。
图1-3-18 甲状腺滤泡性腺瘤常规超声声像图
A.甲状腺左叶纵切面超声图像;B.结节内部点状及斑状强回声;C.CDFI血流图
图1-3-19 甲状腺滤泡性腺瘤超声造影图
A.注入造影剂后9s;B.注入造影剂后11s;C.注入造影剂后16s;D.注入造影剂后27s
ER1-3-9 甲状腺滤泡性腺瘤超声造影视频
女性,32岁,体检发现甲状腺右叶结节1个月余。体格检查:甲状腺无明显肿大,双侧甲状腺未触及明显异常,颈软,气管居中,无压痛。实验室检查:A-TP 10.60IU/ml,A-Tg 9.57IU/ml,TSH 2.65mIU/L,FT3 4.40pmol/L,FT4 11.35pmol/L。
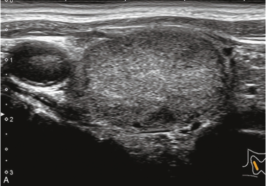
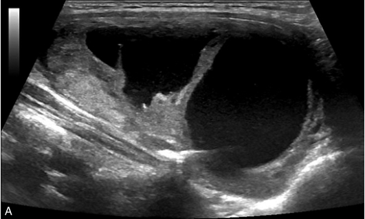
甲状腺右叶中部可见一囊实性结节,大小约2.1cm×1.8cm×1.5cm,形状尚规则,边界尚清楚,分布不均匀,后方回声无变化,CDFI显示结节内可见丰富的血流信号,见图1-3-20。
图1-3-20 甲状腺腺瘤伴囊性变示意图
A.甲状腺右叶纵切面示甲状腺右叶中下部囊实性结节,形态规则,边界清楚;B.CDFI显示其内部分可见丰富的血流信号,部分未见血流信号
注射造影剂后,12s病灶实性部分稍晚于周围甲状腺组织开始增强,病灶增强模式为等增强,增强形态为不均匀增强,15s病灶实性部分增强达峰值,20s病灶实性部分增强开始减退,35s病灶实性部分呈不均匀低增强,整个造影过程中病灶内囊性部分始终呈无增强,见图1-3-21、ER1-3-10。
(1)病灶内实性部分同步或先于周围甲状腺组织开始增强。
(2)病灶内实性部分增强为高增强或等增强。
(3)病灶内囊性部分在造影过程中始终呈无增强。
甲状腺腺瘤囊性变超声表现为实性或混合回声,腺瘤囊性变在囊液吸收后,体积逐渐缩小,超声显像时,回声会从混合回声变为低回声,超声表现易与甲状腺癌混淆,超声造影可以明确病灶内始终无增强,从而提高诊断准确性。
图1-3-21 甲状腺腺瘤伴囊性变造影图像
A.注入造影剂12s;B.注入造影剂15s;C.注入造影剂20s;D.注入造影剂35s
ER1-3-10 甲状腺腺瘤伴囊性变造影视频
女性,65岁,发现“右侧颈部肿块2年余”就诊,其他无特殊。
甲状腺腺瘤伴囊性变常规超声图像,见图1-3-22。
图1-3-22 甲状腺腺瘤伴囊性变常规超声示意图
A.灰阶图像示甲状腺右叶内可见以囊为主的混合回声,边缘光滑,纵横比<1,实性部分呈等回声,回声均匀;B.CDFI血流成像示结节内部及边缘可见丰富血流信号
甲状腺腺瘤伴囊性变超声造影图像,见图1-3-23、ER1-3-11。
甲状腺腺瘤伴囊性变超声造影表现为病变内实性部分与周围正常甲状腺组织同步或稍早于周围甲状腺组织,呈弥漫性均匀性等增强或稍高增强,与周围正常甲状腺组织同步消退。病灶囊性部分呈无增强。病灶边缘可见环状高增强。
实性部分超声造影多表现为呈均匀或不均匀等增强,结节边缘无环状高增强。
实性部分超声造影达峰时多表现为不均匀低增强。
图1-3-23 甲状腺腺瘤伴囊性变超声造影图
A.增强早期;B.达峰时;C.增强晚期
ER1-3-11 甲状腺腺瘤伴囊性变超声造影视频
视频注解:在造影剂注射后10s病灶实质部分与甲状腺实质同步增强、同步廓清呈等增强,囊性部分呈无增强,结节周边可见环状高增强
患者71岁女性,因“发现甲状腺包块1.5年,颈部疼痛5个月”入院。5个月前间断出现吞咽后梗阻,颈部疼痛。
图像描述:右叶中下部见一等回声结节,边界清,形态规则,周边见低回声晕,内回声欠均;结节内见较丰富点条状血流信号,周边见环状血流信号,见图1-3-24。
图像描述:甲状腺右叶中下部结节早于周围腺体组织增强,达峰后呈不均匀高增强,周边见高增强环,消退与周围腺体组织同步,仍呈稍高增强,见图1-3-25。
甲状腺嗜酸细胞腺瘤超声造影与其他腺瘤表现基本一致,呈膨胀性生长,包膜完整。因供应其生长的动静脉被增大的瘤体挤压至周边形成丰富的包绕血管,并向内部逐级发出分支。因此超声造影常从周边开始向内部不均匀增强,可见周边环状增强,内部轻度增强或等增强,强度小于周边,达峰时结节整体呈高增强,而廓清时结节通常晚于相邻甲状腺实质呈缓慢消退。
图1-3-24 甲状腺嗜酸性细胞腺瘤常规超声声像图
A.甲状腺右叶等回声结节纵切面灰阶超声图像;B.甲状腺右叶等回声结节CDFI图像
结节内造影剂稍晚于周围正常甲状腺组织增强,从周边向中心充填,达峰时呈不均匀性等增强或低增强,增强后结节边界不清,形态不规则,结节较二维增大,与周围组织同步消退,少部分可早于周围组织消退。
大部分与正常甲状腺组织同步增强,也有部分早于或晚于正常甲状腺组织,达峰时呈均匀等增强或高增强,达峰呈不均匀性增强,大小较二维超声无明显变化,与正常甲状腺组织同步消退或稍晚消退。
图1-3-25 甲状腺嗜酸性细胞腺瘤超声造影图
A.甲状腺结节造影后12s图像;B.甲状腺结节造影后16s图像;C.甲状腺结节造影后30s图像
女性,73岁,发现颈部肿胀1个月,伴多汗、心悸、睡眠不佳。甲状腺功能检查:FT3 8.21nmol/L,FT4 20.14nmol/L,TSH 0.001 1μIU/ml。 131 I核素扫描结果提示高功能腺瘤。
甲状腺大小形态失常,左叶增大。甲状腺左叶内见一个等回声结节,边界清楚,形态规则,内部呈均匀等回声,纵横比<1,结节内未见钙化,后方回声无明显变化。CDFI显示结节内有丰富的血流信号,以周边供血为主,见图1-3-26。
图1-3-26 甲状腺高功能腺瘤常规超声表现
A.甲状腺左叶等回声结节纵切面灰阶超声图像;B.甲状腺左叶等回声结节CDFI图像
图像描述:甲状腺左叶结节增强早期呈周边环状增强,向中央逐渐扩张,增强晚期呈均匀稍高增强,见图1-3-27。
图1-3-27 甲状腺高功能腺瘤超声造影图像