



女性,48岁,体检发现甲状腺右叶结节1年,无压痛,无发热等症状。体格检查:甲状腺肿大,右叶扪及2cm×2cm结节,质硬,活动度可,无压痛。实验室检查:A-TP>400IU/ml,A-Tg 21.15IU/ml,TSH 4.12mIU/L,FT3 5.99pmol/L,FT4 13.54pmol/L,CT 3 101.40。
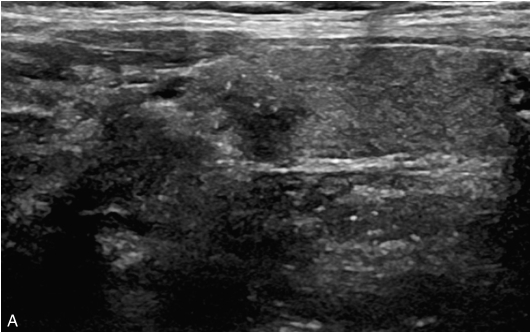
甲状腺右叶中部可见一个肿块,大小约为2.6cm×1.8cm×1.8cm,形状尚规则,边界尚清楚,内部为低回声,分布不均匀,后方回声无变化,CDFI显示肿块内可见丰富的血流信号,见图1-9-1。
图1-9-1 甲状腺髓样癌常规超声图像
A.甲状腺右叶低回声结节纵切面灰阶超声图像;B.甲状腺右叶低回声结节横切面灰阶超声图像;C.CDFI图像
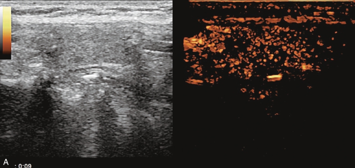
注射造影剂后,10s病灶早于周围甲状腺组织开始增强,呈不均匀高增强,13s达峰值,19s开始减退,至增强晚期病灶减退呈不均匀稍低增强。见图1-9-2、ER1-9-1。
甲状腺髓样癌常见超声造影表现为低增强、不均匀低增强及向心性低增强。但若病灶内血管分化较多,也可能出现高增强表现。
(1)典型甲状腺髓样癌的超声表现与甲状腺乳头状癌具有相同的声像图特征:低回声、实性结构、边界不清、形态不规整、纵横比>1及钙化等,一般不易误诊。
(2)不典型甲状腺髓样癌不具有典型恶性征象极易误诊为良性病变,主要表现为:①病灶内部为实性低回声,周边无声晕;②结节相对较大,病灶大部分位于中上部;③主要呈混合型且周边血流信号无环绕趋势,呈断续样;④易发生颈部淋巴结及远处转移。不典型甲状腺髓样癌需要与甲状腺腺瘤、结节性甲状腺肿和甲状腺乳头状癌等鉴别。
图1-9-2 甲状腺髓样癌造影图像
A.造影后10s;B.造影后13s;C.造影后19s;D.增强晚期
ER1-9-1 甲状腺髓样癌超声造影视频
女性,54岁,因“发现颈部肿物1个月余”就诊。平素患者有面部潮红、腹泻、乏力、心慌、手抖症状。1年前有直肠癌根治术史。降钙素>2 000pg/ml;CEA 50.49ng/ml。甲状腺全切及颈部淋巴结清扫术后,降钙素136.63pg/ml;CEA 28.95ng/ml。颈部淋巴结穿刺病理显示神经内分泌癌转移。
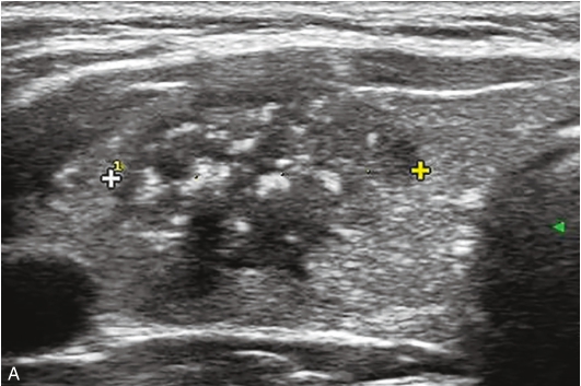
甲状腺左叶上极及下极分别可见一个低回声,大小约为0.8cm×0.9cm×0.6cm,边缘模糊,纵横比>1,内可见多发点状强回声;CDFI示结节内均未见明显血流信号。双侧颈部可见多发肿大淋巴结,其中左侧Ⅲ区可见一个大小为2.2cm×0.8cm、形态规则、淋巴门回声偏心、皮质回声增厚的结节;CDFI示淋巴结内可见丰富血流信号,见图1-9-3。
图1-9-3 甲状腺髓样癌及颈部淋巴结常规超声图像
A.甲状腺左叶上极低回声结节灰阶超声图像;B.CDFI示未见明显血流信号;C.左侧Ⅲ区结节灰阶超声图像;D.CDFI示结节内可见丰富血流信号
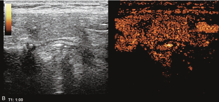
甲状腺髓样癌超声造影图像,见图1-9-4、ER1-9-2。
图1-9-4 甲状腺髓样癌超声造影图
A.动脉早期;B.达峰时;C.增强晚期
ER1-9-2 甲状腺髓样癌超声造影视频
视频注解:甲状腺左叶上极及下极病灶超声造影表现为增强晚于周围甲状腺组织,达峰时呈不均匀低增强
甲状腺髓样癌结节增强开始时间晚于周围组织,由周边向中心灌注,呈“向心性”增强,达峰时呈不均匀低增强。
结节内造影剂晚于周围甲状腺组织,先于结节周边部分增强,而后达到中央区,呈“向心性”强化特点,达峰时呈不均匀低增强。与甲状腺髓样癌超声造影鉴别困难,需结合实验室检查。
超声造影时多表现为与周围正常甲状腺组织同步或稍早于周围甲状腺组织,呈弥漫性均匀性等增强均匀或高增强。
女性,56岁,体检发现甲状腺结节1周。
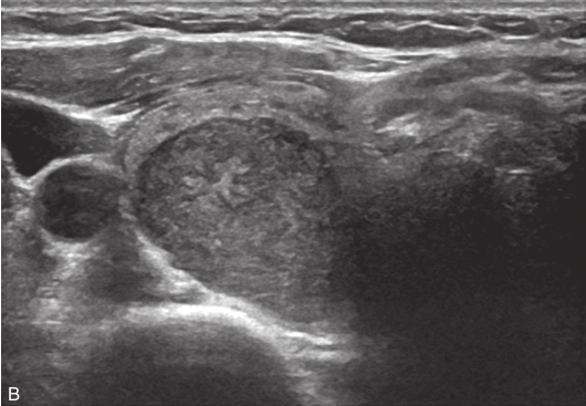
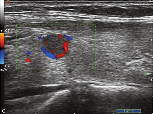
甲状腺右叶中上部见一低回声结节,大小约0.7cm×0.7cm×0.8cm,边界清楚,形态尚规则,内可见少许点状强回声。CDFI示结节内及周边可见较丰富血流信号,见图1-9-5。
图1-9-5 甲状腺髓样癌常规超声声像图
A.甲状腺右叶结节横切面;B.甲状腺右叶结节纵切面;C.甲状腺右叶结节CDFI血流图
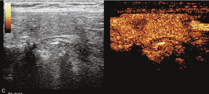
甲状腺右叶上部结节超声造影后早于周围组织开始出现增强,达峰时呈偏低增强表现,边界不清,范围未见明显扩大,之后快速消退,晚期呈明显低增强,结节旁甲状腺被膜增强完整,见图1-9-6、ER1-9-3。
造影后结节内呈不均匀偏低增强表现,增强边界不清,增强晚期快速消退。
甲状腺髓样癌来源于甲状腺滤泡旁C细胞,可分为散发性和家族性,具有特殊的病理特征、高复发率和高淋巴结转移率,因此,早期及时诊断意义重大。
图1-9-6 甲状腺髓样癌超声造影图
A.动脉早期;B.达峰时;C.增强晚期
ER1-9-3 甲状腺髓样癌超声造影视频
髓样癌体积较小时与乳头状癌的鉴别存在困难,内部丰富血流是髓样癌的主要特点,超声造影表现为中等偏低增强,与乳头状癌明显的低增强表现有别。
常规超声表现类似,超声造影后腺瘤常边界清楚,周边可见规则环状增强。实验室检查中降钙素、CEA升高对于髓样癌的确诊具有重要意义。
女性,29岁,自觉颈部肿大3天。无发热、咳嗽。
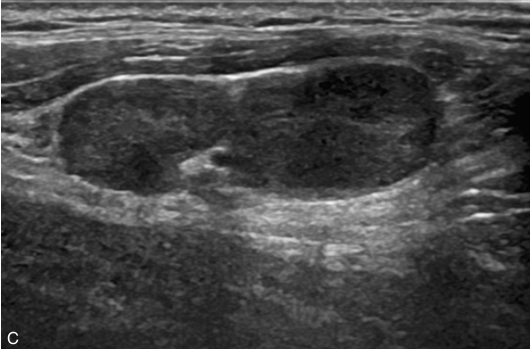
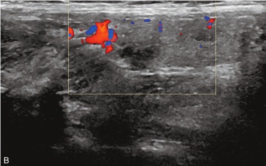
甲状腺右叶中部见一低回声结节,大小约2.0cm×0.9cm×1.7cm,部分边界不清楚,形态不规则,内可见多发点状强回声。CDFI结节内及周边可见较丰富血流信号,见图1-9-7。
图1-9-7 甲状腺髓样癌常规超声声像图
A.甲状腺右叶结节横切面;B.甲状腺右叶结节纵切面;C.甲状腺右叶结节CDFI血流图
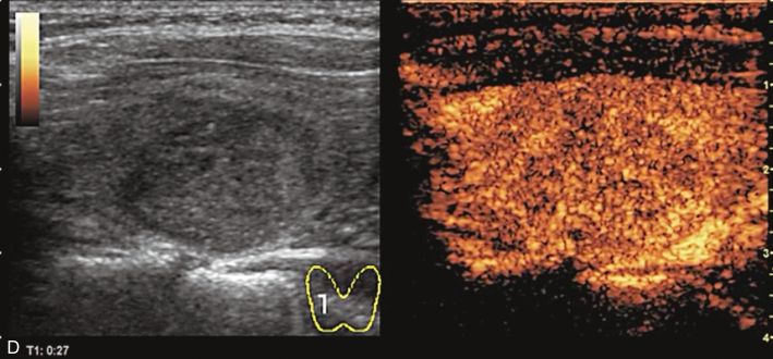
甲状腺右叶中部结节超声造影后早于周围组织开始,自周边向中心逐渐增强,达峰时呈不均匀等增强,增强范围较常规超声增大,周边可见不规则环状高增强,结节前方甲状腺被膜连续性中断,之后消退呈明显低增强,见图1-9-8。
图1-9-8 甲状腺髓样癌超声造影图
A.动脉早期;B.达峰时;C.增强晚期
甲状腺右叶中部低回声结节伴有多发钙化,边界不清,形态不规则,血流丰富;超声造影后呈不均匀低增强,周边可见不规则环状高增强结节增强范围较常规超声增大,结节前方甲状腺被膜连续性中断,上述特征均提示恶性。
甲状腺髓样癌超声表现多样,微小结节时与乳头状癌表现类似(特别是伴有钙化时),结节较大时与腺瘤表现类似,内部液化与丰富的血流信号是其鉴别点,边缘分叶状也是其常见的表现类型,超声造影时结节可呈高增强、等增强及稍低增强,周边不规则环状增强及范围扩大可进行良恶性鉴别,本例结节前方甲状腺被膜连续性中断,提示甲状腺前被膜受侵,得到术后病理证实。实验室检查中降钙素、CEA升高对于确诊具有重要意义。