



钙化结节常多数,
室管膜下散分布。
肾脏伴发错构瘤,
皮脂腺瘤生面部。
癫痫发作智力低,
偶有结节见于骨。
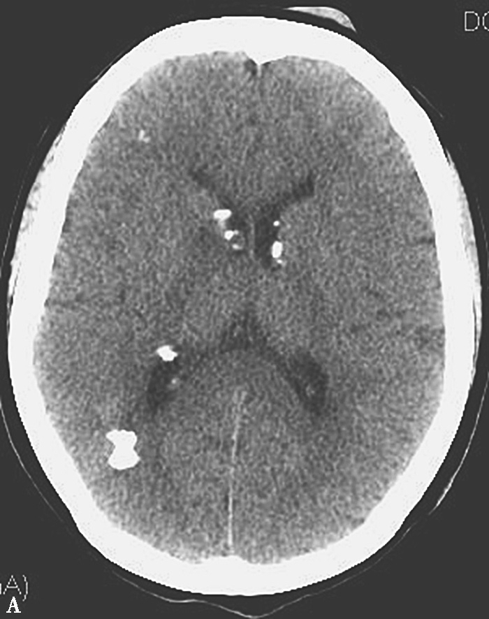
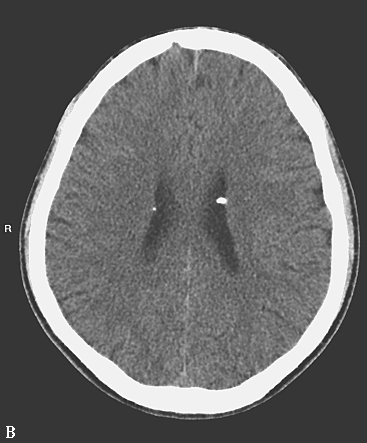
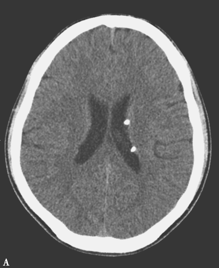
结节性硬化又称为Bourneville病,是一种常染色体显性遗传病,以发生在人体的任何器官的错构瘤或结节为特征。本病多见于儿童,主要临床特征为面部皮脂腺瘤、癫痫发作和智力低下。病理特征主要为大脑皮质、白质,基底核及室管膜下多发性神经胶质增生性结节,其数目、大小不一,结节内常有钙盐沉着,以室管膜下结节钙化最常见,结节可转变为胶质瘤,室管膜下者可演变为巨细胞星形细胞瘤,也可合并其他器官畸形和肾脏错构瘤。CT表现为室管膜下多发钙化结节,常突入脑室内(图1-6,图1-7A),此外大脑各部、小脑、脑干甚至骨骼(图1-7B)也可发生钙化或非钙化性结节,通常结节不强化,结节强化提示室管膜下巨细胞星形细胞瘤。MRI显示皮层、皮层下和室管膜下多发的结节影,T 1 WI呈等或低信号,T 2 WI呈高信号或中央低信号周边环形高信号,增强扫描无强化,可伴阻塞性脑积水。
图1-6 结节性硬化
A、B.CT平扫,示双侧侧脑室室管膜下可见多发钙化结节,部分突入脑室内
图1-7 结节性硬化
A.CT平扫;B.腰椎矢状位重组,示双侧侧脑室室管膜下、右额叶及右枕叶多发大小不一钙化结节,下胸椎及腰椎椎体内可见类似结节灶