



甲状腺体弥漫肿,
低密结节位其中。
多发大小可不等,
包膜完整表面隆。
斑点钙化散分布,
结节强化各不同。
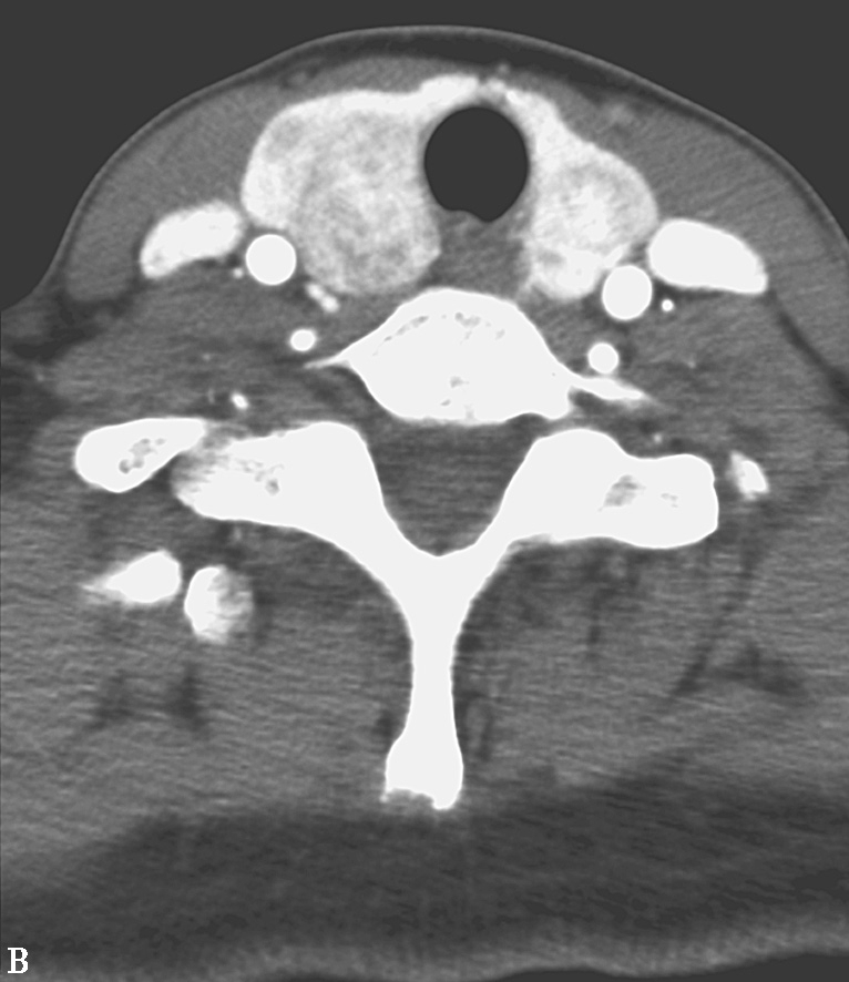
缺碘引起的弥漫性甲状腺肿大若未经及时治疗,病变发展可使扩张的滤泡集成多个大小不等的结节,逐渐形成结节性甲状腺肿。临床症状主要是肿大的结节增大后,压迫气管、食管和血管,引起呼吸困难、吞咽障碍和头面血液回流障碍的表现。CT和MRI检查都对结节性甲状腺肿大的诊断有重要价值,但相比而言,MR检查目前应用不如CT普及。CT平扫甲状腺弥漫性肿大,包膜完整,腺体表面隆起可呈浅分叶状。增大甲状腺可见多个大小不等低密度结节(图2-14A)。结节边缘可见弧样或粗斑点状钙化,增强扫描结节呈不同形式、不同程度的强化(图2-14B)。
图2-14 多结节性甲状腺肿
A.CT平扫横轴位;B.增强扫描,示双侧甲状腺增大,边缘规则,内可见多个散在的低密度结节,增强后结节呈不均匀强化