



血肿密度逐日降,
周边吸收融冰样。
占位水肿渐减轻,
密度不变在中央。
部分可伴脑积水,
环形强化于增强。
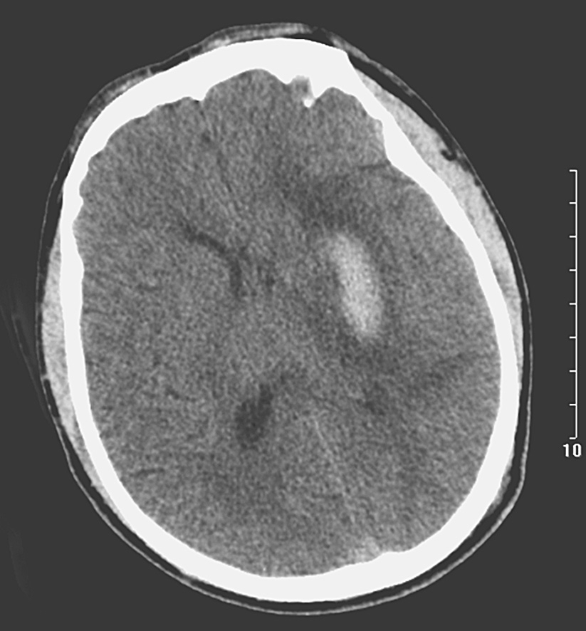
亚急性脑出血是指脑出血后3~14天时间内形成的出血性病变。CT检查显示血肿密度逐渐降低,每日下降约1.5Hu,可出现下列征象:①血肿周边吸收呈融冰样(图1-28),中心密度不变仍呈高密度。②占位效应和灶周水肿由明显而逐步减轻。③部分可出现脑积水。④增强扫描,病灶呈现环形或梭形强化,若中央部分血肿未吸收时,可呈“靶征”。
图1-28 亚急性脑出血
与图1-27为同一患者,CT平扫示左侧基底核血肿周围吸收呈融冰样,中心仍为高密度区,灶周仍为低密度水肿带,可见占位效应