



肿瘤常见成年人,
小脑半球好发生。
典型大囊小结节,
结节强化有特征。
部分肿块呈实性,
可见血管病灶伸。
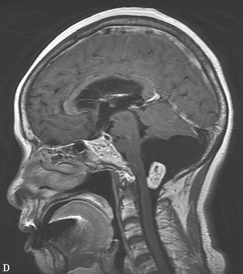
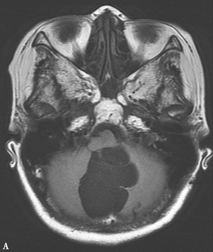
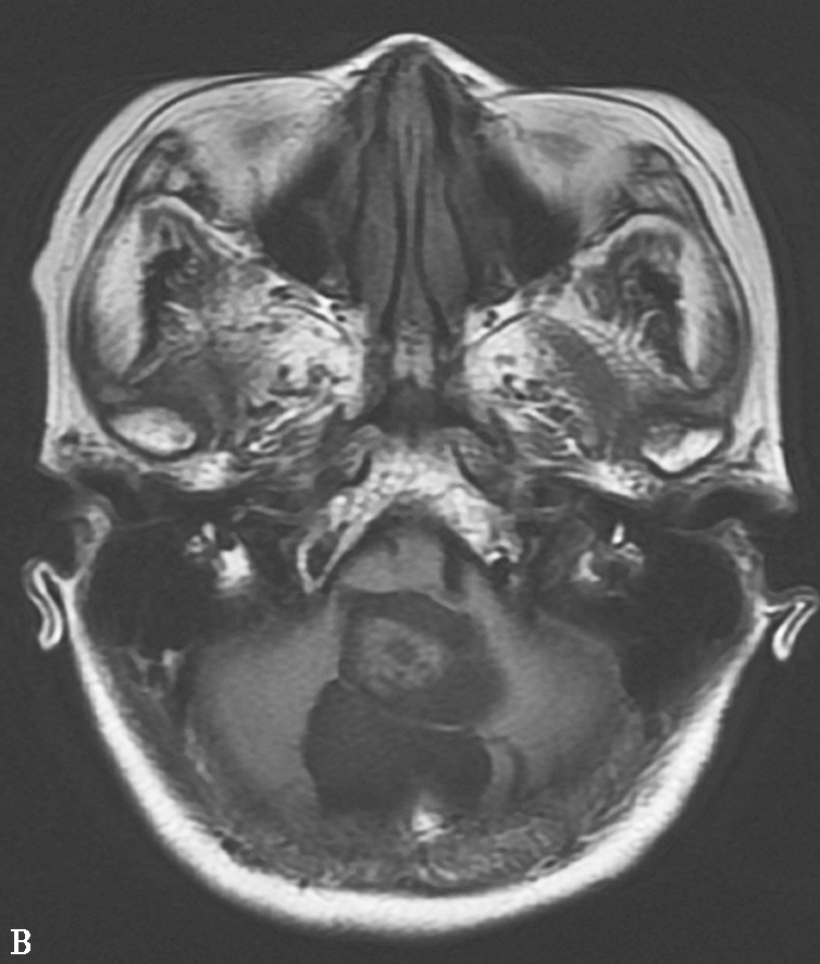
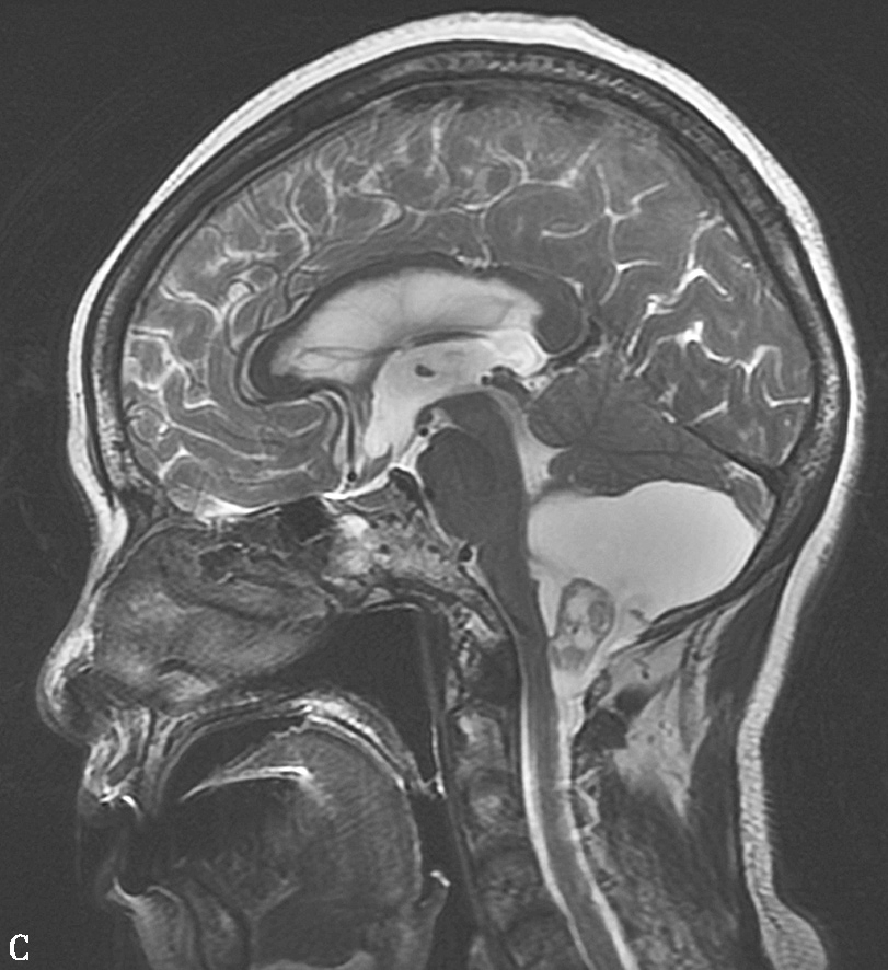
血管母细胞瘤又称血管网织细胞瘤,可发生于任何年龄,但以成年人多见。90%以上病变位于小脑,以小脑半球最多,也可发生于下蚓部,偶见于脑干和幕上。临床常以小脑功能障碍及颅内高压症状就诊。CT或MRI显示小脑半球内薄壁囊性病灶,边界清楚,其内囊液密度高于脑脊液,或呈长T 1 、长T 2 液性信号,囊壁有圆形等密度或等信号结节,典型者呈“大囊伴小附壁结节”表现,增强扫描壁结节显著强化,囊壁不强化(图1-12)。肿瘤除大部分呈囊实性外,少数肿瘤可呈实性肿块,病灶周边常有一根或数根较粗大的蛇形血管伸入病灶,具有一定特征性。
图1-12 血管母细胞瘤
A.MRI T 1 WI横轴位;B.T 1 WI横轴位
图1-12 血管母细胞瘤(续)
C.T 2 WI矢状位;D.T 1 WI增强,示小脑蚓部见一囊性肿块,其内囊液呈长T 1 、长T 2 液性信号,囊壁有卵圆形等信号结节,呈“大囊伴小附壁结节”表现,增强扫描壁结节显著强化,囊壁不强化