



胆囊结石是最常见的胆囊疾病。根据结石的化学成分,通常分为三类:胆固醇结石,胆色素结石和混合性结石。其临床表现与结石的大小、数量、位置及有无合并感染等密切相关,可以无症状或仅有上腹部不适、消化不良等胃肠道症状。当结石嵌顿于Hartmann袋时,可出现典型的胆绞痛,疼痛向右肩部放射,病情发展至化脓性胆囊炎可有发热或菌血症表现。
(1)典型胆囊结石
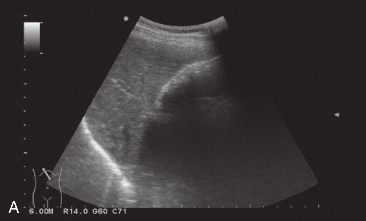
1)胆囊腔内出现团状强回声,一般较大而孤立分布的强回声多呈新月形、半圆形或圆形强回声;体积较小的多发结石,堆积于胆囊后壁时形成一片强回声带,不易分辨结石数目(图2-6-1)。
2)强回声结石后方伴声影(图2-6-2),结石的声影边缘锐利,宽度与结石的宽度基本一致,此特征可与胃肠气体形成的声影相鉴别。
3)强回声结石随体位改变而移动。
图2-6-1 典型胆囊结石灰阶超声图像
图2-6-2 典型胆囊结石灰阶超声图像
箭头所示为声影
(2)非典型胆囊结石
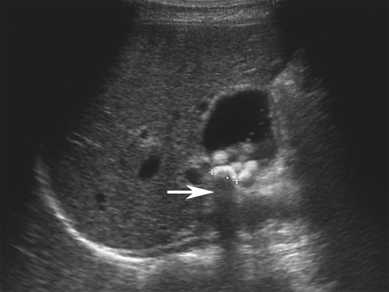
1)充满型胆囊结石:
胆囊内胆汁较少或无胆汁,声像图表现为胆囊前壁呈弧形或半月状的强回声带,后方伴较宽声影,致使胆囊的后壁不显示。另外,此型胆囊结石还有一种特征性的声像图表现:WES征,前方为增厚的低回声胆囊壁,包绕中间的结石强回声带,后方伴声影(图2-6-3A)。
2)胆囊颈部结石:
胆囊颈部结石未嵌顿时,结石在周围胆汁的衬托下易于显示,表现为强回声后方伴有声影;胆囊颈部结石嵌顿时,周围无胆汁的衬托,结石显示不清楚,造成诊断困难(图2-6-3B)。
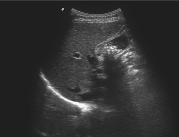
图2-6-3 非典型胆囊结石灰阶超声图像
A.充满型胆囊结石;B.胆囊颈部结石;C.泥沙样胆囊结石;D.胆囊壁内结石
3)泥沙样胆囊结石:
主要成分为胆色素,由于结石质地较松软,常呈泥沙样。声像图表现为沿胆囊后壁分布的厚薄不一的强回声带及后方较宽的声影(图2-6-3C)。
4)胆囊壁内结石:
胆囊壁多增厚,壁内可见单发或多发的微小强回声斑,后方出现多重反射回声,类似彗星尾,改变体位时结石不移动(图2-6-3D)。
(1)正常胆囊组织结构:
正常胆囊的交界皱襞或颈部粗大的黏膜皱襞可能使声束发生反射,在某一断面形成较强的回声并有声影,貌似结石,但多切面扫查即可消失。
(2)胆囊内非结石回声:
如胆泥、组织碎屑、脓性团块、凝血块、肿瘤、息肉等,后方均无声影,改变体位无移动,或移动较结石慢,一般容易鉴别。
(3)胆囊切除术后胆囊内钛夹:
胆囊床可见多个钛夹,呈强回声,并伴有声影。
(4)胆囊钙化:
当声束不能穿透胆囊壁时,胆囊不能显示,仅表现为胆囊床强回声伴声影,与充满型胆囊结石不易鉴别。但X线检查可显示有胆囊形态的钙化环或缩小的致密胆囊影,有助于鉴别。
(5)钙乳胆汁:
长轴断面声像图与充满型胆囊结石相似,往往被误诊。但是由于钙乳胆汁的比重大,有沉积的特征,在垂直断面上,表现出絮状沉积的特征。
胆管结石较常见,占胆系结石一半以上。约15%的胆囊结石合并胆总管结石。根据结石的部位分为肝内胆管结石和肝外胆管结石,后者包括胆囊管结石。
(1)肝外胆管结石
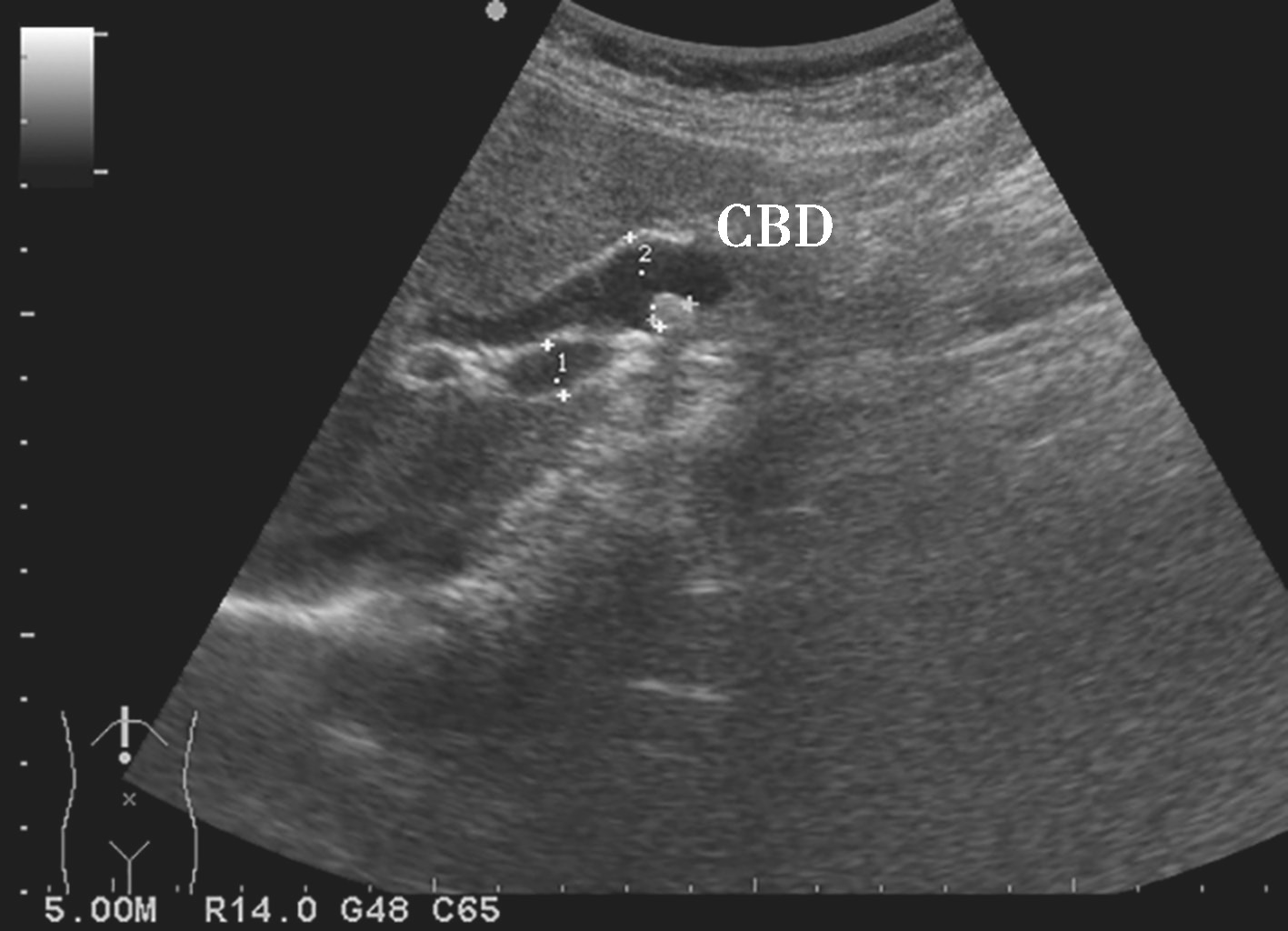
1)胆管腔内存在伴有声影的恒定团状强回声(图2-6-4),个别呈中等或低回声(图2-6-5)。
图2-6-4 肝外胆管强回声结石灰阶超声图像
图2-6-5 肝外胆管中等回声结石灰阶超声图像
CBD:胆总管
2)结石的近端胆管由于梗阻出现不同程度扩张。胆管壁增厚,回声增强。胆囊各径可增大,胰管可扩张。
3)团状强回声与胆管壁之间分界清楚,结石周围可见细窄无回声带环绕。
4)脂肪餐或变换体位后观察到结石强回声可发生移动。
5)部分结石由于结构松散、较小或呈泥沙样,可呈中等或较低回声,后方声影不明显。
6)胆总管下段若受腹腔气体影响明显,可嘱患者喝消泡剂继续扫查。
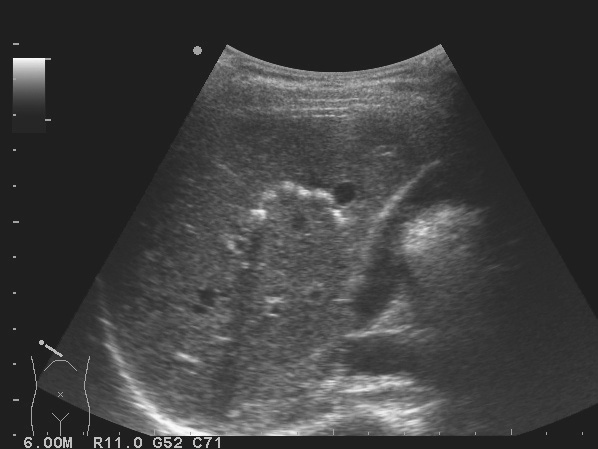
(2)肝内胆管结石
1)肝内出现点状或团状强回声后方伴声影,强回声沿肝内胆管分布(图2-6-6)。
图2-6-6 肝内胆管结石灰阶超声图像
2)结石近端的肝内胆管可有不同程度扩张,扩张的肝内胆管与伴行的门静脉形成平行管征。
3)结石强回声周围可见细窄无回声区环绕。结石处胆管前后壁显示清楚。
4)结石一般不随体位改变而移动。结石可引起胆管梗阻、胆汁淤积或炎症感染,进而出现肝大,肝实质回声增粗,内部回声不均匀,或可见多发肝脓肿、肝实质萎缩变性等表现。
(1)肝外胆管结石的鉴别诊断:
回声较强的胆管内肿瘤酷似结石,但无声影,可见局部管壁连续性破坏。此外,壶腹部肿瘤、胰腺炎、胰腺肿瘤及胆总管末段狭窄等引起的胆管扩张,亦容易被误诊为胆总管结石。
(2)肝内胆管结石的鉴别诊断:
①肝内钙化灶多孤立存在,不与门静脉伴行,无近端小胆管梗阻扩张和周围胆汁淤积的声像特征。②胆管积气:胆管积气常发生于胆肠吻合术后和Oddi括约肌松弛以及胆道产气菌感染者。胆管气体强回声形态不稳定,有闪烁感,后方缺乏“干净”的声影,常有多重伪像,可呈彗星尾征。连续动态观察,其分布、形态、数量可有较大变化。