



胆囊癌早期无特异性临床表现,晚期患者可出现上腹部持续性疼痛,腹部包块,黄疸、消瘦等,部分晚期患者可因门静脉侵犯而有消化道出血、腹水以及肝功能衰竭表现。临床上根据病变形态将胆囊癌分为结节型、肿块型、厚壁型和混合型。
(1)结节型:
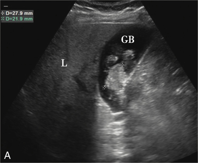
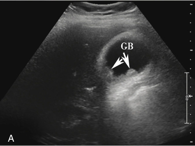
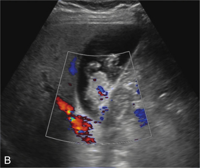
病变向腔内突出形成结节状突起,通常直径>1.0cm,基底部较宽,呈分叶状或蕈伞状,病变内回声不均匀,部分病例CDFI可检测到血流信号(图2-5-1)。
(2)肿块型:
胆囊窝处表现为不均匀回声的实性肿块,胆囊腔内的无回声消失或基本消失。CDFI可见血流信号。
(3)厚壁型:
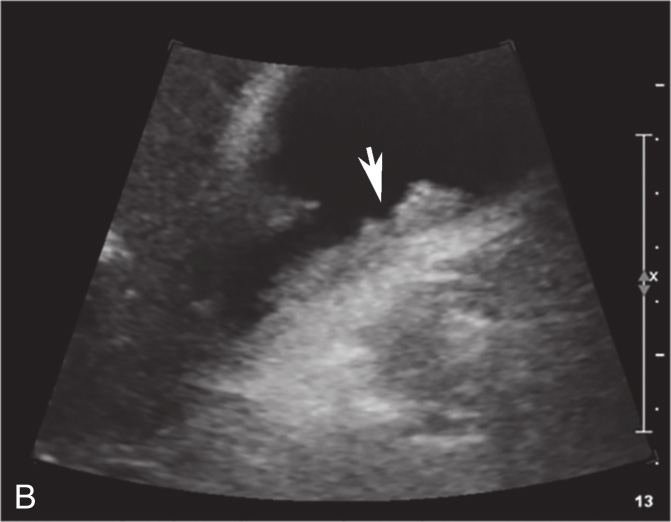
胆囊壁呈局限性或弥漫性不均匀增厚,常见于颈部或体部。灰阶超声多数表现为高回声,增厚处胆囊壁形态不规则,黏膜层不光滑或连续性中断(图2-5-2)。
(4)混合型:
厚壁型和结节型同时存在,具有上述两型图像表现。
厚壁型胆囊癌需要与胆囊炎鉴别,后者胆囊壁增厚程度较轻,胆囊壁毛糙、不光滑,胆囊体积可缩小。超声造影能够有效提高胆囊癌与胆囊炎鉴别诊断准确率。
图2-5-1 结节型胆囊癌常规超声图像
A.胆囊壁可见高回声结节,最大径2.8cm;B.CDFI显示结节内可见血流信号
图2-5-2 厚壁型胆囊癌灰阶超声图像
A.胆囊颈部壁局限性增厚,回声不均(箭头所示)
图2-5-2(续)
B.局部放大图像显示增厚处胆囊壁不光滑、形态不规则(箭头所示)