购买
下载掌阅APP,畅读海量书库
立即打开
畅读海量书库
扫码下载掌阅APP

第四节
胆囊腺肌症

胆囊腺肌症又称胆囊腺肌增生症,是一种以腺体和肌层增生为主的良性胆囊疾病。胆囊黏膜及肌层过度增生,胆囊壁增厚,增生的黏膜上皮伸入肌层,形成多数小囊状突出,称为罗-阿窦。分为弥漫型、节段型与局限型三种类型。临床表现有上腹隐痛、消化不良、嗳气等类似胆囊炎、胆石症的症状。

1.超声典型声像图特征

(1)局限型胆囊腺肌症:

好发于胆囊底部,灰阶超声图像通常呈边界清楚的低回声(图2-4-1A)。病变内部回声不均匀,能够观察到小片状无回声区,部分病变内可见点状高回声后伴彗星尾征(图2-4-1B)。CDFI通常无明显血流信号,部分病变内的点状高回声后方可见“快闪伪像”(图2-4-1C)。

(2)节段型胆囊腺肌症:

好发于胆囊体部,胆囊壁呈节段型增厚,向腔内突入,灰阶超声图像呈“三角征”(图2-4-2)。

(3)弥漫型胆囊腺肌症:

又称广泛型,胆囊壁呈广泛性增厚(图2-4-3),部分病例胆囊壁上可见多发点状强回声。

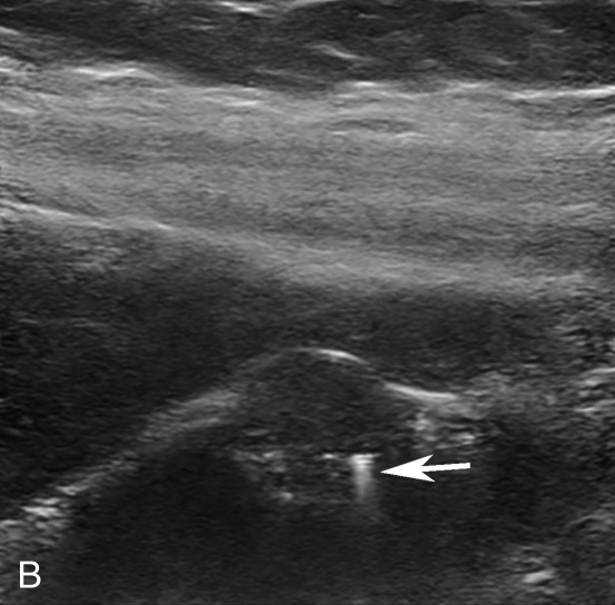
图2-4-1 局限型胆囊腺肌症常规超声图像
A.胆囊底部低回声结节(箭头所示),边界清楚,形态规则;B.结节内可见点状高回声后伴彗星尾征(箭头所示);C.CDFI示结节内可见“快闪伪像”
GB:胆囊

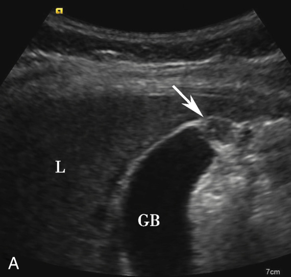
图2-4-2 节段型胆囊腺肌症灰阶超声图像
A.灰阶超声显示胆囊体部壁增厚(箭头所示),呈葫芦形;B.采用高频探头显示增厚处胆囊壁(箭头所示)

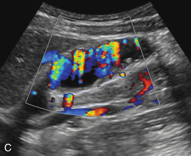
图2-4-3 弥漫型胆囊腺肌症常规超声图像
A.胆囊壁呈弥漫性增厚;B.高频超声显示增厚的胆囊壁上可见多发点状强回声;C.CDFI显示“快闪伪像”

超声造影表现为病变处动脉期与周围胆囊壁同步增强,呈不均匀等——低增强,分布不均匀,静脉期消退呈低增强,胆囊壁连续、完整。

2.超声鉴别诊断要点

胆囊癌:胆囊癌囊壁不规则增厚,超声造影显示胆囊癌早于周围胆囊壁开始增强,动脉期呈高增强,病变处胆囊壁结构完整性破坏。 qRnT1emKNdu8te28fyn892uTbGEy2BlicJzf6bLJCI8bZDofB8MAajzmiYpjARkP

点击中间区域
呼出菜单
上一章
目录
下一章
×