购买
下载掌阅APP,畅读海量书库
立即打开
畅读海量书库
扫码下载掌阅APP

第三节
胆囊息肉样病变

胆囊息肉样病变主要包括胆固醇性息肉、炎症性息肉和腺瘤样息肉。临床多无症状,少数可有轻微消化道症状。

1.超声典型声像图特征

(1)大小及数目:

胆固醇性息肉大小一般在10mm以下,常为多发性。腺瘤性息肉大小可超过10mm,常为单发性,如息肉大小超过10mm,癌变的概率较高(3%~13%)。

(2)形态:

胆固醇性息肉多呈桑葚状或颗粒状,基底部较窄;腺瘤性息肉一般表面平滑,基底部较宽,可带蒂;炎症性息肉基底较宽,无蒂。

(3)回声特征:

胆固醇性息肉多呈高回声,较小者可呈强回声伴彗星尾征(图2-3-1);腺瘤性息肉多呈等回声(图2-3-2);炎症性息肉少见,多合并胆囊炎或胆石症。胆囊息肉一般后方无声影,不随体位改变而移动。

图2-3-1 胆固醇性息肉灰阶超声图像
箭头所示息肉为高回声,形态规则,边界清楚

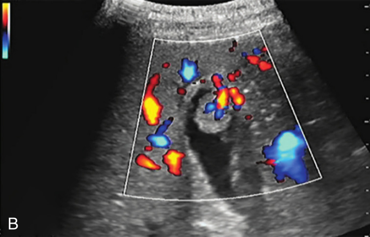
(4)CDFI:

对于较小的息肉,CDFI一般无明显血流显示。较大的息肉或腺瘤性息肉,CDFI可显示点状或从底部进入的细条状动脉血流。

2.超声鉴别诊断要点

(1)胆囊结石:

胆囊结石多表现为强回声或高回声,后方可伴声影,随体位改变而移动。附壁小结石多为胆囊腺肌症表现之一,可帮助鉴别。

(2)胆囊癌:

腺瘤性息肉应与息肉型胆囊癌鉴别。后者形态不规则,内部回声不均匀,表面回声模糊、欠光滑,基底部较宽,胆囊壁层次不清,黏膜层高回声不连续;病灶内部见粗大且不规则的血流信号;超声造影呈快进快退,内部可见粗大树枝状血管,胆囊壁层次不清。

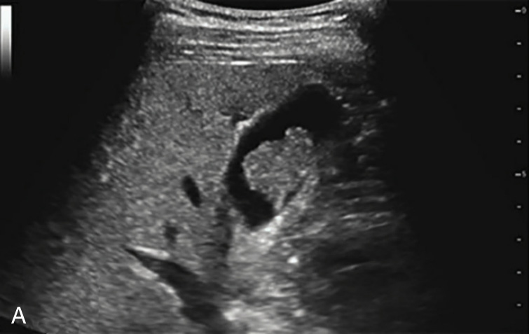
图2-3-2 腺瘤样性息肉常规超声图像
A.胆囊体部单个结节状中等回声,内部回声欠均匀;B.病灶内部分支状血流信号

(3)胆囊腺肌症:

胆囊息肉样病变应与节段型胆囊腺肌症鉴别。后者多无蒂、基底部较宽,同时有胆囊壁显著增厚,壁内蜂窝状小无回声区和点状强回声伴彗星尾征。 qZzMFxzlV2UuSyanVob2FbL/xZ6fROmYGpEfFY45e4HKAJuc4MVH2SlF2t0Ln29e

点击中间区域
呼出菜单
上一章
目录
下一章
×