购买
下载掌阅APP,畅读海量书库
立即打开
畅读海量书库
扫码下载掌阅APP

第二节
胆囊炎

根据病程可分为急性胆囊炎和慢性胆囊炎。急性胆囊炎是胆石症最常见的并发症。病理表现可分为单纯性、化脓性和坏疽性三种类型。慢性胆囊炎多继发于急性胆囊炎,严重时胆囊壁广泛钙化,称为“瓷器样”胆囊。病理表现为胆囊壁炎症、增厚、纤维组织增生,甚至胆囊萎缩。慢性胆囊炎的临床表现可有右上腹隐痛,也可无明显症状。

1.超声典型声像图特征

(1)急性胆囊炎

1)胆囊增大,胆囊壁弥漫性增厚,不光滑,呈“双边征”,胆囊壁内可见较丰富血流信号(图2-2-1)。

图2-2-1 急性胆囊炎常规超声图像
A.胆囊壁弥漫性明显增厚,不光滑,呈“双边征”;B.胆囊壁内较丰富的血流信号

2)胆囊腔内可见弱回声或点状回声,与脓性胆汁或黏稠胆汁有关。合并胆囊结石时,可见结石声像特征。合并胆囊穿孔时,胆囊周围可见无回声区,并有腹膜炎表现。

3)胆囊颈部或胆囊管结石嵌顿时,可压迫肝总管造成肝内胆管扩张,称为Mirizzi综合征。

(2)慢性胆囊炎:

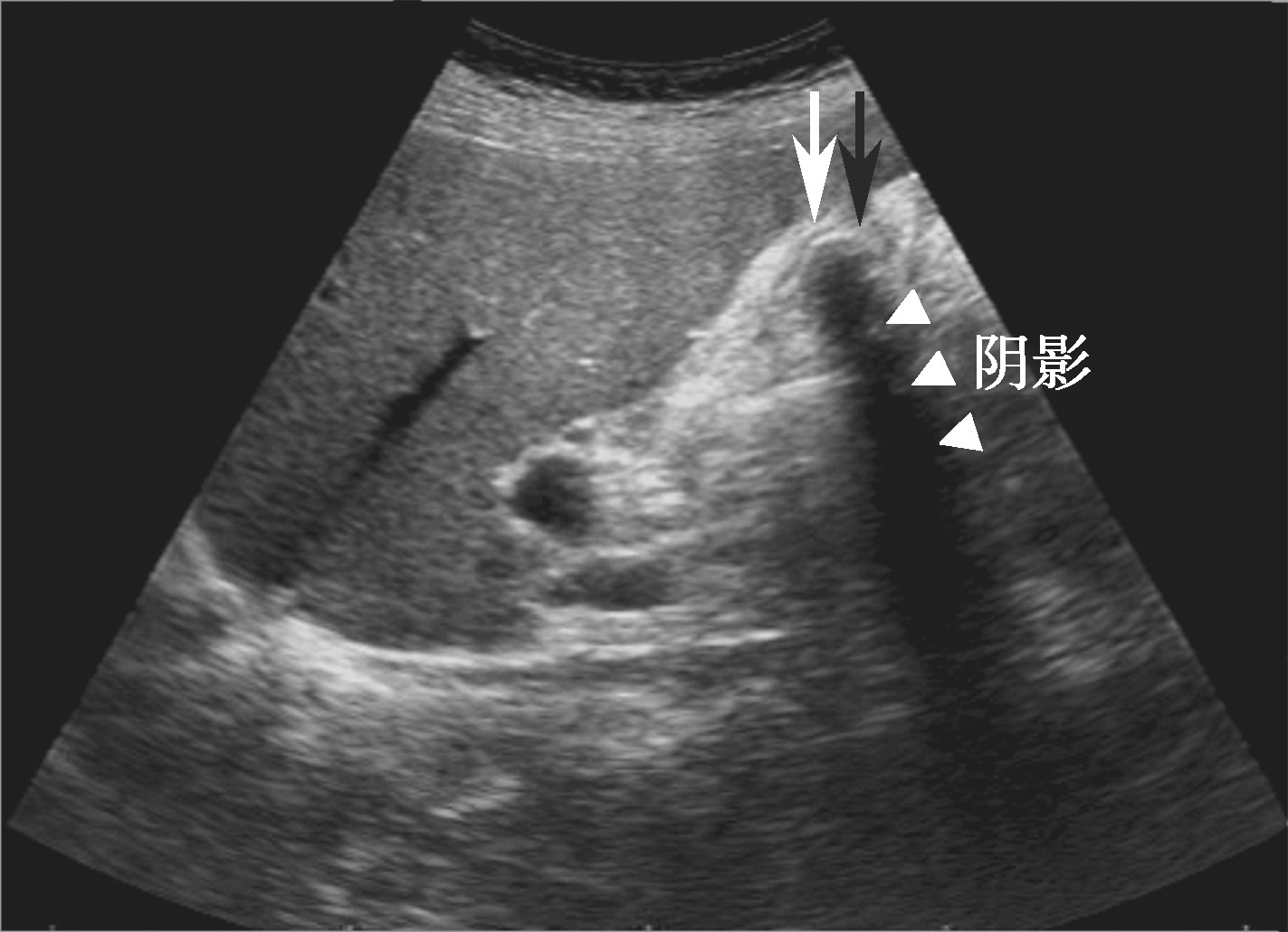
①胆囊萎缩或正常大小,胆囊壁不光滑,回声增高,可弥漫性增厚。②合并胆囊结石时,可见结石声像特征。但胆囊内充满结石时,表现为特征性的囊壁——结石——声影三合征,即WES征(图2-2-2)。③胆囊收缩功能减退。

2.超声鉴别诊断要点

(1)弥漫型胆囊腺肌症:增厚的胆囊壁内可见小无回声区和强回声点伴彗星尾征。胆囊炎时收缩功能减退;而胆囊腺肌症时胆囊收缩功能亢进。

图2-2-2 胆囊充满型结石WES征
白色箭头为胆囊壁,黑色箭头为结石强回声,三角箭头为结石声影

(2)胆囊癌:慢性胆囊炎需与厚壁型胆囊癌鉴别。后者胆囊壁多呈不均匀增厚,黏膜面回声连续性中断。增厚的胆囊壁内可见较丰富的血流信号,可探及高阻动脉频谱,而慢性胆囊炎血流信号不丰富。超声造影显示增厚的胆囊壁动脉期呈不均匀高增强,静脉期快速消退呈低增强。此外,胆囊癌还可侵及周围肝脏组织及相邻胆管。

(3)急性胆囊炎胆囊增大还需与其他原因引起的胆囊增大鉴别,如长期空腹或静脉营养、胆道梗阻、糖尿病患者长期使用胰岛素等。

(4)慢性胆囊炎胆囊壁增厚还需与低蛋白血症、急性胆囊炎等疾病引起的胆囊壁弥漫增厚相鉴别,结合病史及临床表现有利于鉴别。 0qaEoi2zDUWP03BJyBDMfwO9OrHqnjbzsim3NjqUOseqQ/SEjtDGG55YPZFtOKTN

点击中间区域
呼出菜单
上一章
目录
下一章
×