



胆道系统包括胆囊和胆管。
胆囊位于胆囊窝内,呈梨形或椭圆形,分为底、体和颈部。胆囊壁由黏膜层、黏膜下层、肌层和浆膜层构成。胆囊颈与胆囊管连接处呈囊性扩大,称Hartmann袋。胆囊管由胆囊颈延伸而成,其内壁黏膜形成螺旋状黏膜皱襞,称为螺旋襞(又称Heister瓣)。
(1)肝外胆管
肝外胆管包括肝总管和胆囊管。肝总管由左、右肝管汇合而成,与胆囊管汇合而成胆总管。胆总管按其行程和毗邻关系可分为四段:十二指肠上段、十二指肠后段、胰腺段、十二指肠壁内段。胆总管在十二指肠壁内段与主胰管汇合并膨大形成Vater壶腹,并向十二指肠腔内突出,使十二指肠黏膜隆起形成乳头。Vater壶腹、胆总管和胰管的末端均有括约肌环绕,称为Oddi括约肌,控制和调节胆总管和胰管开口,防止十二指肠内容物反流入胆道。
(2)肝内胆管
肝内胆道主要包括左、右肝管,肝叶及肝段胆管。左、右肝管为一级胆管,左内叶、左外叶、右前叶、右后叶胆管为二级胆管,各肝段胆管为三级胆管。
1.胆囊的位置、大小、形态,胆囊腔及胆囊壁回声表现。
2.胆囊病变检出及鉴别诊断。
3.肝内、外胆管走行、形态、是否扩张。
4.胆管病变检出及鉴别诊断。
5.胆道手术术前评估与术后随访。
6.胆道系统介入性超声检查。
采用CDFI诊断仪,依据受检者年龄、体型选择适当的探头及频率。常用腹部凸阵探头,频率2~5MHz,儿童及婴儿可选择5MHz或更高频率。对于体型较瘦者,探查胆囊时也可采用高频线阵探头。术中超声可采用7.5~10MHz频率的专用探头。
仪器调节:经腹扫查时,将增益调至低于肝脏条件,使胆汁呈无回声,囊壁或胆管壁清晰可见。聚焦设置于目标区域。扫查胆囊时可采用组织谐波,尽量去除伪像。
受检者禁食8h以上。小儿或不合作者,可使用镇静药,在睡眠状态下检查。较小的婴幼儿,无需严格禁食。
常用仰卧位、右前斜位。还可采用坐位或站立位,胸膝位或俯卧位。
1)胆囊:
探头置于右肋缘下或右肋间,连续扫查胆囊长轴及短轴切面,主要观察胆囊体部及底部,右肋间扫查时,通过肝实质声窗重点观察胆囊颈部及胆囊管。
2)胆管:
扫查肝内胆管时,先寻找与其伴行的门静脉,在附近寻找相应的各级肝内胆管。扫查肝总管及上段胆总管(即肝外胆管上段)时,采用右肋间扫查可显示位于门静脉主干及右支前方胆管;扫查胆总管或肝外胆管下段时,先显示胰腺长轴切面,在胰头后外方寻找胆总管胰头段短轴图像,再旋转探头显示胆总管下段长轴切面。
肋缘下斜切面、肋缘下纵切面、肋缘下横切面、肋间切面、剑突下横切面。
(1)胆囊长轴切面的灰阶超声图像。
(2)胆囊短轴切面的灰阶超声图像。
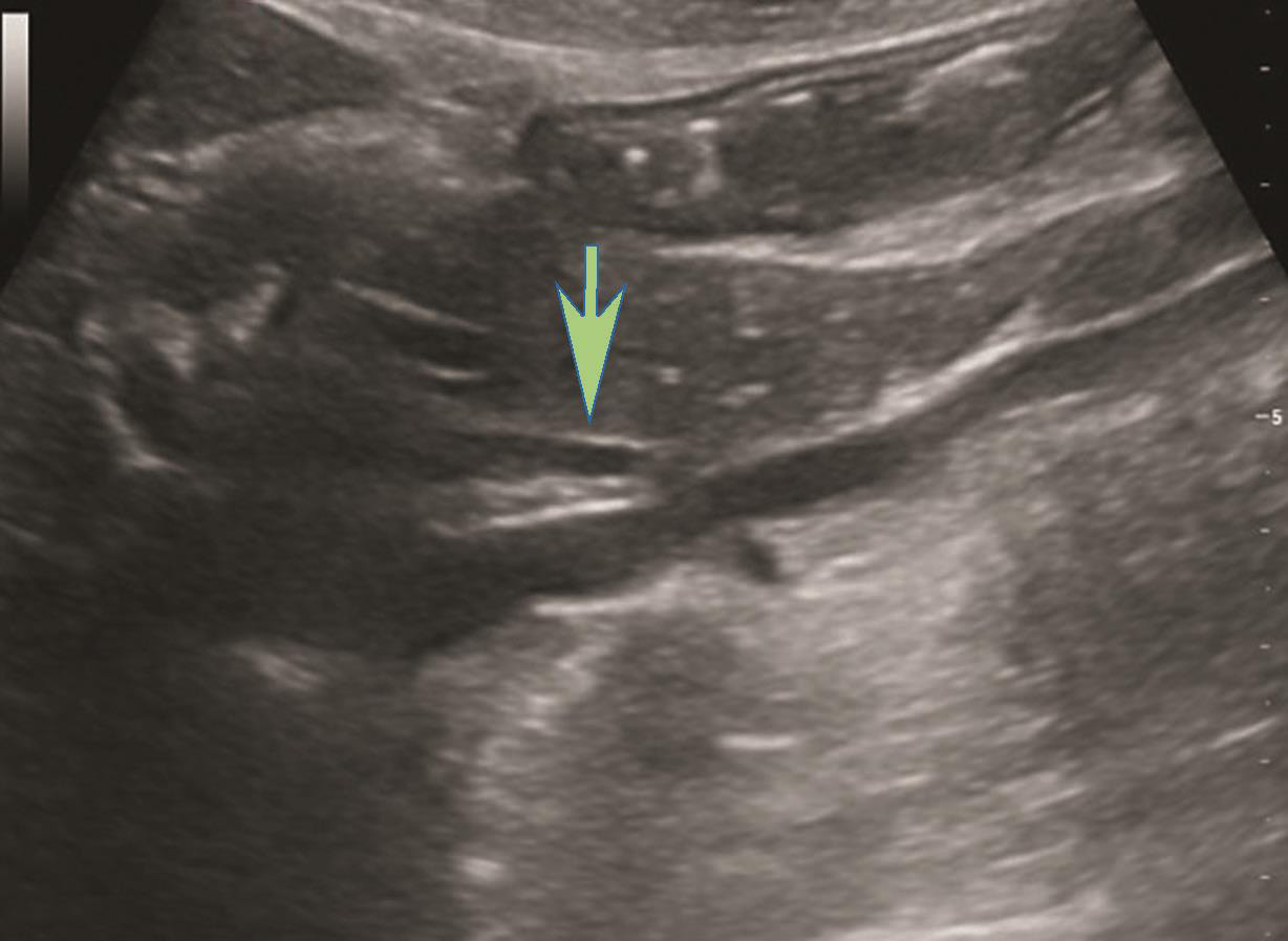
(3)左肝内胆管及门静脉横部前方左右肝管汇合处灰阶超声图像(图2-1-1)。
图2-1-1 左右肝管汇合处灰阶超声图像
图示蓝色箭头示右肝管,绿色箭头示左肝管
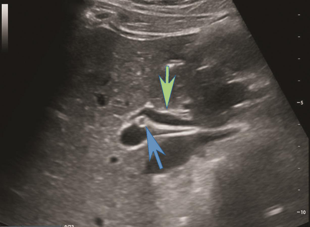
(4)肝门部肝外胆管上段灰阶超声图像及CDFI图像(图2-1-2,图2-1-3)。
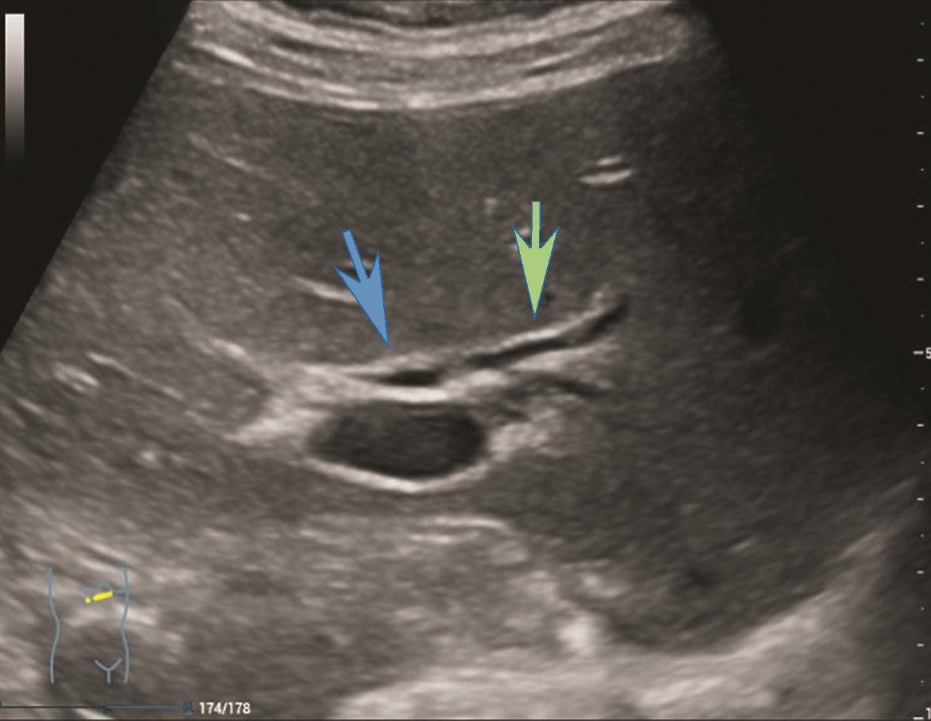
(5)肝外胆管下段长轴切面灰阶超声图像(图2-1-4)。
(6)胆囊或胆管病变相互垂直切面的灰阶超声图像。
(7)病变CDFI血流图像,必要时留存频谱多普勒超声图像。
图2-1-2 肝门部肝外胆管上段灰阶超声图像
图示绿色箭头所示为肝外胆管上段,蓝色箭头所示圆形管状结构为肝动脉的横断面
图2-1-3 肝门部肝外胆管上段CDFI图像
肝外胆管(绿色箭头)内未见血流信号充盈,后方门脉主干内可见蓝色血流信号充盈(蓝色箭头)
图2-1-4 肝外胆管下段灰阶超声图像
箭头所示为胰头后方肝外胆管下段长轴切面
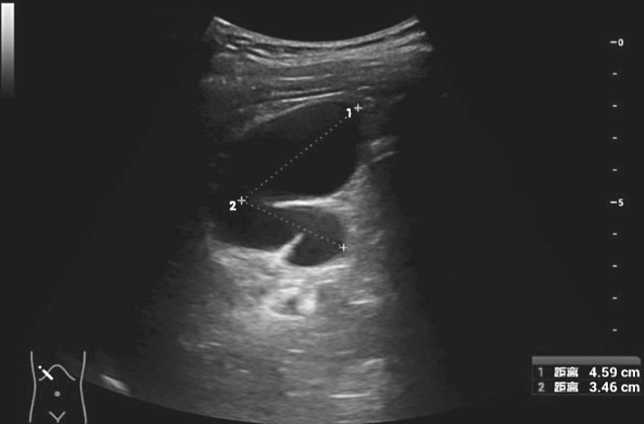
(1)胆囊大小
1)测量切面:
胆囊的最大长轴切面。
2)测量部位及方法:
①胆囊长径:测胆囊颈部至胆囊底部内腔最大长径,如胆囊明显折叠,则分别测颈部至折叠、折叠至底部两段径线并相加(图2-1-5)。②胆囊横径:与胆囊长径垂直的径线。
图2-1-5 胆囊长径测量
当胆囊出现褶皱时,测量两个径线后相加
(2)胆囊壁厚度
1)测量切面:
需在胆囊长轴切面测量。
2)测量部位及方法:
于胆囊体底部前壁测量,尽量选择与声束垂直处测量最大厚度(图2-1-6)。
(3)正常胆囊测量参考值:
成人胆囊长径≤9cm,短径≤4cm。儿童胆囊长径<7cm,短径<3.5cm。1岁以下的婴儿和新生儿胆囊的长径1.5~3.0cm。胆囊壁厚度≤3mm。
(1)肝外胆管最大直径
1)测量切面:
肋间或肋缘下斜切面显示肝门部与门静脉伴行的肝外胆管上段。
图2-1-6 胆囊壁厚度测量
2)测量部位及方法:
由于难以确认胆囊管汇入肝总管处,难以分辨肝总管与胆总管,故测肝外胆管最大内径。
(2)正常胆管测量参考值:
肝外胆管最大内径一般不超过8mm,可随年龄增长而增宽,65岁以上正常人最大内径可达10mm。婴幼儿肝外胆管最大内径一般不超过2mm,较大儿童一般不超过4mm。左、右肝管内径<3mm,或小于伴行门静脉内径的40%。肝内胆管二级以上分支一般较难显示。