



肝脏创伤性病变常见于车祸伤、坠落伤、利器性肝外伤或医源性损伤等。可分为肝包膜下血肿、肝中央破裂和真性肝破裂等。外伤性肝创伤常发生于肝右叶包膜下及实质内。临床上患者可表现为肝区肿胀、疼痛,肝大,继发感染时可形成脓肿,严重时可发生腹腔内出血及休克等。
(1)肝包膜下血肿:
肝表面破裂,局部隆起,包膜完整,肝包膜及肝实质间可见条带状或梭形极低回声区或无回声区,后方回声可增强,肝实质受压内陷。血肿机化后,内部呈不规则回声点或低回声团,内伴条索影。
(2)肝中央破裂:
肝实质破裂,包膜完整。局部挫伤未形成血肿前,超声检查部分可无明显异常,部分表现为肝内不规则的回声增强带;血肿形成后,肝内可见边界不清的不规则低回声区,内伴无回声区及不规则回声增高区,周围肝组织回声不均。
(3)真性肝破裂:
肝包膜及肝实质均破裂,肝包膜连续性中断,肝实质内可见肝中央破裂的回声改变。同时肝周及腹腔内可见游离液体(图1-12-1、图1-12-2)。
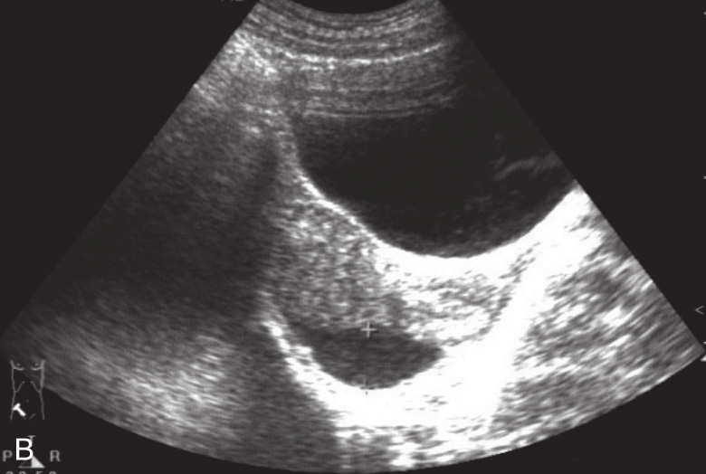
图1-12-1 真性肝破裂灰阶超声图像
A.肝右叶近被膜处片状低回声区;B.肝下积液
图1-12-2 真性肝破裂灰阶超声图像
A.肝右叶片状低回声区,其内血流信号不明显;B.盆腔少量积液
超声造影显示肝创伤灶内动脉期、门脉期和延迟期均表现为低增强或无增强,与周围正常肝实质界限清晰或不清晰。活动性出血时表现为创伤灶内部或周边异常高增强区,呈“条状”“结节状”或“梅花状”。累及包膜的活动性出血表现为造影剂自包膜破裂口流向包膜外,表现为“喷泉”“涌泉”状,或在肝周形成异常增强区。
(1)肝脓肿:
肝中央破裂形成血肿时与肝脓肿相鉴别,结合临床病史可进行鉴别。
(2)空腔脏器破裂:
对于空腔脏器破裂所致腹腔胀气肝脏显示不清时,需结合CT等其他影像学检查,避免贻误病情。