



多囊肝是一种先天性多发性肝囊肿,为常染色体显性遗传病,常合并多囊肾、多囊胰或多囊脾。由于肝内多余胆管未发生退化吸收而导致囊状或分节状扩张,可全肝分布或局限于肝叶。病理上囊壁由上皮细胞构成,囊肿之间肝组织受压,产生纤维化。早期可无明显症状,后期可出现腹部膨隆,肝肿大、肝功能异常等。
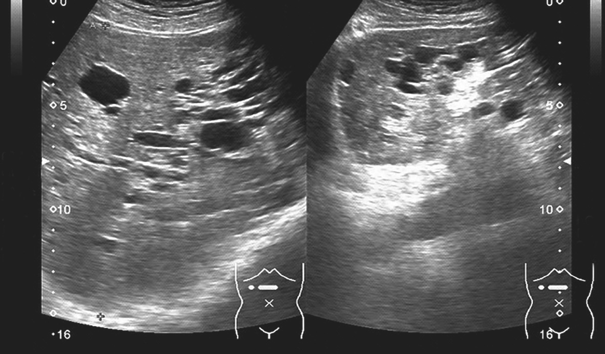
(1)肝脏肿大、形态失常,明显肿大者可推移周围组织。
(2)囊肿大小不一,形态不一,内部透声好,后方回声增强可不明显,囊肿之间肝组织因纤维化改变回声可增强(图1-10-1、图1-10-2)。
(3)囊肿合并感染时,囊内透声欠佳或差,可见絮状回声。
(4)当发现多囊肝时,需对肾脏、胰腺及脾等进行扫查。
(5)因肝内布满多发囊性无回声,正常肝内管道结构常受压难以显示,CDFI检查可显示肝内血管。
图1-10-1 先天性多囊肝灰阶超声图像
图1-10-2 先天性多囊肝灰阶超声图像
多囊肝声像图典型,较易诊断,必要时可与卡罗利病进行鉴别。后者为肝内胆管多发囊状或节段性扩张,常伴有胆道感染的症状及体征。声像图上可见多发囊状扩张的无回声与胆管相连通。多囊肝尚需与多发性肝囊肿进行鉴别。