



肝囊肿是肝内最为常见的占位性病变,可分为潴留性和先天性两大类。潴留性肝囊肿由于肝内小胆管慢性、不完全性阻塞,常因炎症、结石阻塞或瘢痕收缩等所致,囊内多含一定浓度的胆汁;先天性肝囊肿常为多发,囊内不含胆汁。一般小的肝囊肿多无症状,当囊肿较大压迫周围组织时,可出现上腹胀满感或隐痛。当囊肿合并出血或感染时,可有发热畏寒等炎症表现。
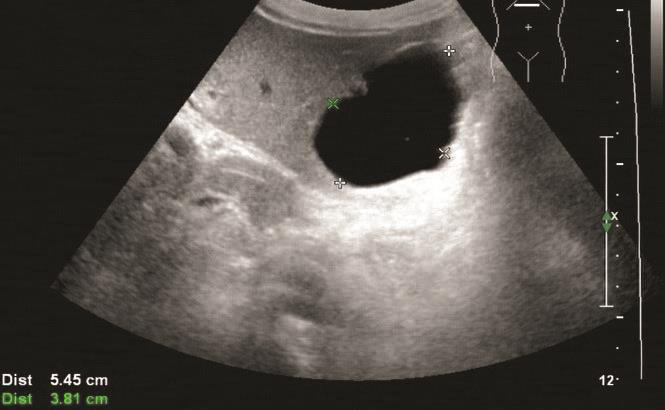
(1)典型肝囊肿,呈边界清晰的圆形或椭圆形,囊壁薄而清晰,内部均匀无回声,后方回声增强,可伴侧方声影,囊壁无彩色血流信号(图1-9-1、图1-9-2)。
(2)多房性肝囊肿囊腔内可见多条高回声分隔。
(3)肝脏形态大小一般无明显变化,较大肝囊肿可致肝脏变形,位于肝包膜下者可致肝包膜局限性隆起。
(4)当囊肿合并感染、出血时,囊腔内可见漂浮的密集点状低回声,囊壁厚,边缘不光滑。
图1-9-1 肝内多发囊肿灰阶超声图像
图1-9-2 肝内多发囊肿灰阶超声图像
(1)肝内正常管道横切面:
结合纵切面可见其两端与肝内相应管道连续。
(2)肝内局灶性低回声占位:
如肝内良性小血管瘤、肝癌或转移瘤等,在二维灰阶超声上难以鉴别时,需结合CDFI或能量多普勒进行鉴别,或采用超声造影及其他影像学检查方法进行鉴别诊断。
(3)肝脓肿与感染的肝囊肿:
囊壁回声模糊、增厚、轮廓欠清,与液化较好的肝脓肿鉴别有一定的困难。结合临床病史及症状,以及肝内异常回声的动态变化过程,可进行鉴别诊断。
(4)肝外伤后形成的囊性病灶:
囊液可为血液或胆汁等,内透声较单纯性囊肿差,囊壁回声欠光整,同时结合外伤史或手术史可进行鉴别诊断。
(5)肝包虫囊肿:
包虫感染病史,同时肝包虫囊肿内可出现“囊中囊”“水上浮莲”等特异性声像图改变,可进行鉴别诊断。
(6)肝外囊性肿物:
以位于肝右后叶居多,需与腹膜后及右肾囊肿相鉴别,扫查可发现囊肿位于肝包膜外,如鉴别困难,可结合CT等影像学检查。
(7)腹水:
局限于右上腹的腹水需与大的肝右叶囊肿相鉴别,腹水内可见漂浮的肠管回声,而肝囊肿内不会探及肠管回声,追踪扫查可发现囊肿位于肝包膜内。
(8)胆总管囊肿:
位于肝门部,胆囊窝旁肝囊肿要区别于胆总管囊肿,后者囊壁较厚,两端或一端与胆总管相连。