购买
下载掌阅APP,畅读海量书库
立即打开
畅读海量书库
扫码下载掌阅APP

第七节
原发性肝癌

原发性肝癌主要包括肝细胞癌、肝内胆管细胞癌和混合型三种类型。

一、肝细胞癌

肝细胞癌占原发性肝癌的90%以上,多数患者早期无典型症状,中晚期多以肝区疼痛、消瘦乏力、腹部包块、黄疸等为主要表现。80%患者常伴肝硬化表现。肝细胞癌大体分三型。①块状型:肝内单发的病灶,肿块直径≥5cm,直径>10cm者称为巨块型。②结节型:肝内多发的结节样病灶,每个癌结节<5cm。③弥漫型:癌结节<1cm,数目众多且弥漫性分布于整个肝脏。此外,存在直径<3cm的单发结节或2个结节直径之和<3cm的结节称为小肝癌。

超声典型声像图特征如下:

(1)部位:肝细胞癌可以发生在肝脏的任何部位。

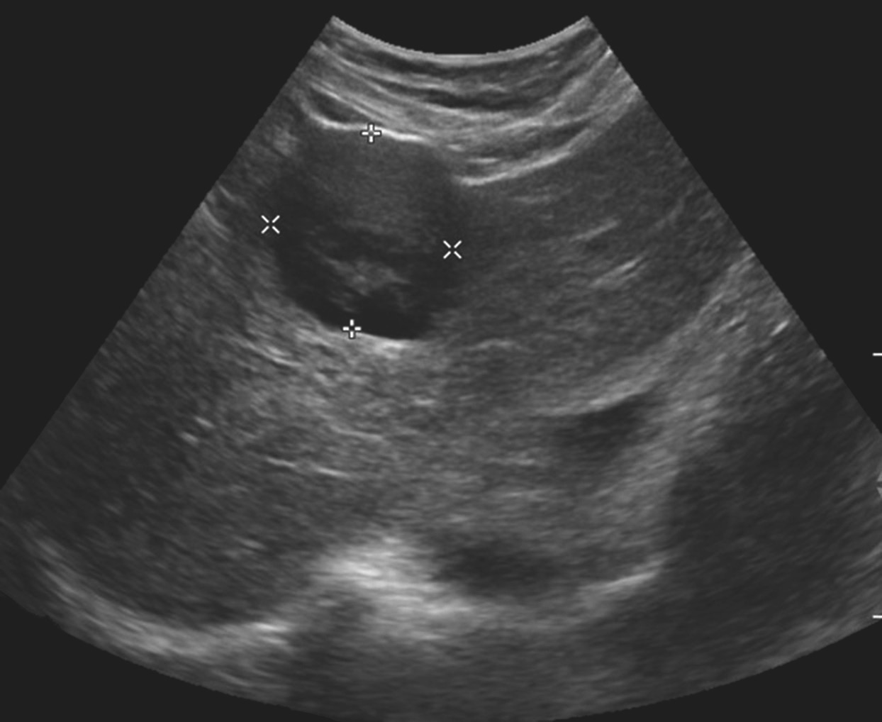
(2)形态:多数病变为形态规则的圆形、类圆形或不规则形团块,大多数癌结节具有完整的包膜,边界清楚,少数癌结节可无包膜,与周围组织界限不清(图1-7-1)。

(3)回声特征:肝实质内单发或多发的肿块,肿块内部回声复杂,可表现为不均匀低、等、高回声或混合回声,分为三种类型。

1)巨块型肝癌:肿块内多呈高回声,粗而不均匀,高回声中多见不均质低回声,部分可见坏死性液化腔,有时瘤内可见“块中块”表现。

2)结节型肝癌:肿块内部回声多样,直径较小者癌结节以低回声多见,而较大的癌结节多呈混合回声或高回声,部分癌结节中心液化坏死则中心呈不规则无回声,肿块周围可见薄的低回声晕环,此外部分癌结节周围可伴有侧方声影,后方回声可有轻度增强。

3)弥漫型肝癌:肝实质回声不均匀,可见团状或斑片状高回声弥漫而不均匀分布于肝实质内,有时可见低回声结节混合在高回声区内,部分小高回声结节周围可见低回声晕环。

图1-7-1 肝细胞癌灰阶超声图像
病灶呈低回声,内回声不均匀,向肝被膜外凸出

(4)大多数肝细胞癌常伴肝硬化声像图表现。此外,除肿瘤直接征象外,亦可见门静脉、肝静脉或胆管内癌栓,肝内胆管受压,腹腔及腹膜后淋巴结增大等间接征象。

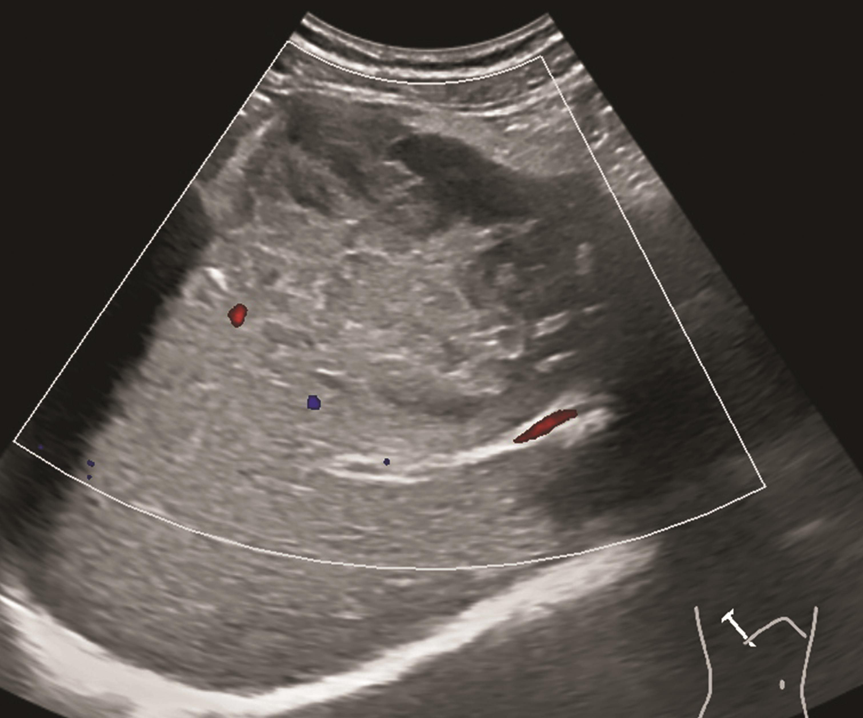
(5)彩色血流特征:多数肝癌结节周围可见血管包绕,结节内可见丰富的彩色血流信号,分布呈线状、点状或树枝状;少数肝癌结节周围仅见血管包绕或无彩色血流,癌结节内部仅见点状或片状血流信号(图1-7-2)。

图1-7-2 肝细胞癌CDFI图像
CDFI显示癌结节内部及周边未见明显血流信号

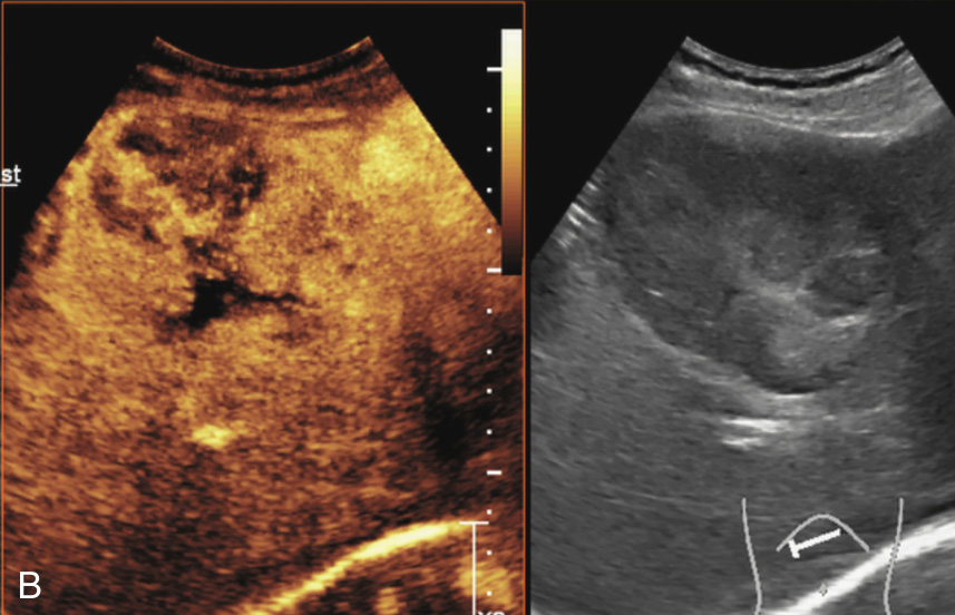
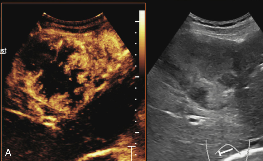
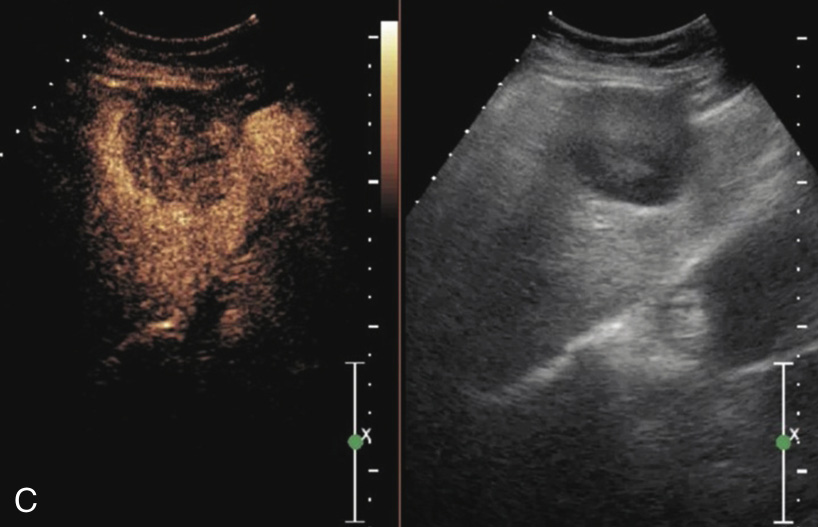
(6)超声造影:表现为“快进快出”,即注射造影剂后动脉期病灶呈均匀或不均匀高增强,门脉期或延迟期呈低增强(图1-7-3)。

图1-7-3 肝细胞癌超声造影图像
A.动脉期呈不均匀高增强;B.动脉期16s达峰;C.门脉期造影剂消退呈低增强

二、肝内胆管细胞癌

肝内胆管细胞癌起源于二级胆管及二级以上的肝内胆管上皮细胞,较肝细胞癌少见,占原发性肝癌的10%~15%。常见病因为肝胆管结石,常不伴肝硬化,偶有胆汁性肝硬化。起病隐匿,早期无明显症状,部分表现为上腹疼痛、消化道症状、黄疸、发热等。本病好发于中老年患者,50~60岁多见,男性发病率高于女性。

1.超声典型声像图特征

(1)部位:

可发生于肝脏的某一叶或一段。

(2)形态:

肝内较大的实性肿块,形态多不规则,边界欠清。

(3)回声特征:

病灶以实质性低回声为主,也可呈高回声或等回声,分布不均匀。肝内局部区域的胆管内径增宽,部分病例可不出现胆管扩张(图1-7-4)。

图1-7-4 肝内胆管细胞癌灰阶超声图像
肝右叶见较大混合回声,形态不规则,边界欠清

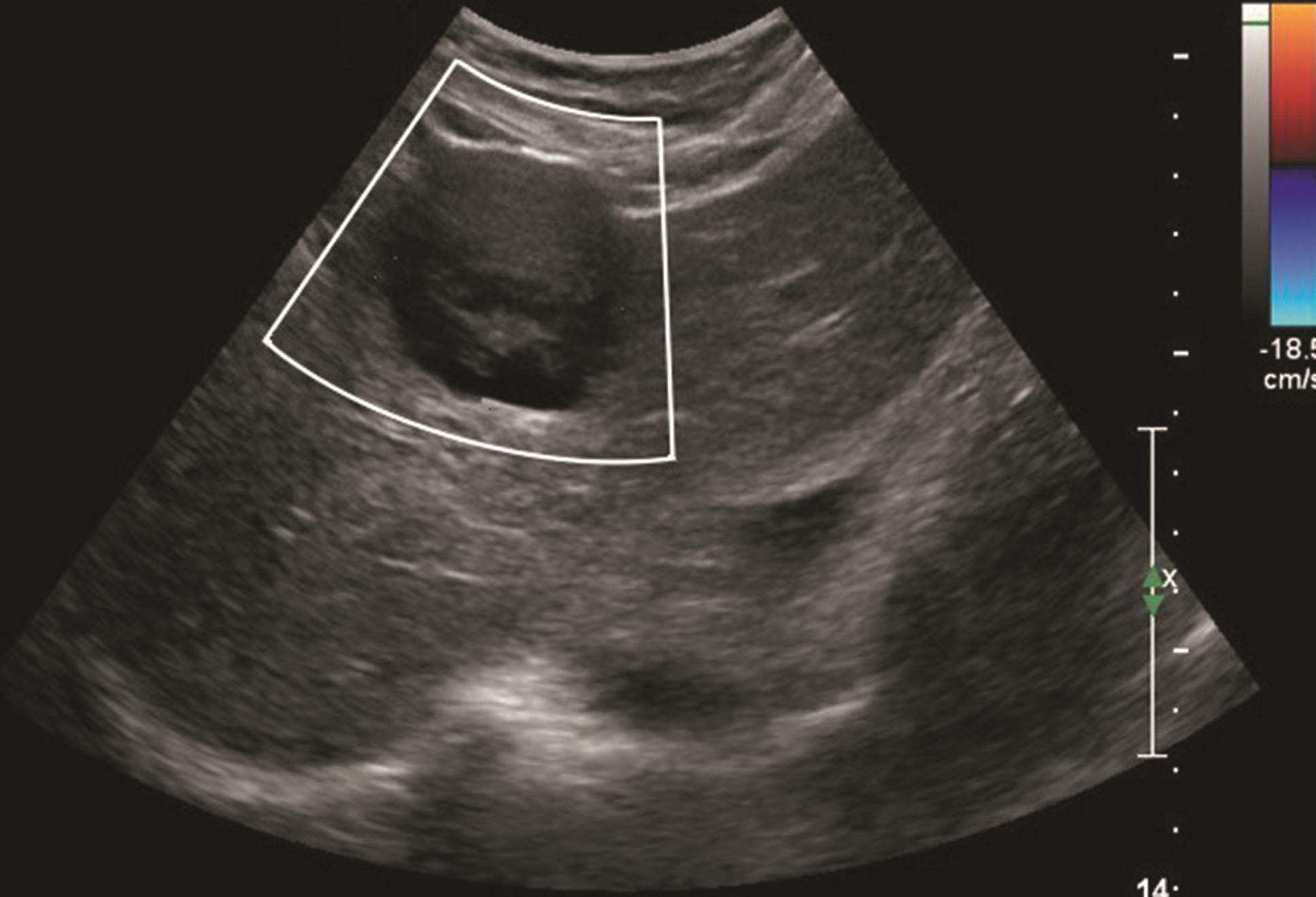
(4)彩色血流特征:

胆管细胞癌大部分为乏血供,CDFI可显示肿块内零星分布的点状血流信号(图1-7-5)。

(5)超声造影:

动脉早期病灶呈周边环状增强或整体高增强,门脉早期病灶内造影剂消退呈低增强(图1-7-6)。

图1-7-5 肝内胆管细胞癌CDFI图像
CDFI显示病灶周边可见点状血流信号

图1-7-6 胆管细胞癌超声造影图像
A.造影剂注入14s周边不规则环状增强;B.35s病灶内造影剂开始消退呈低增强

图1-7-6(续)
C、D.门脉期及延迟期造影剂持续消退呈低增强

2.超声鉴别诊断要点

(1)肝血管瘤:

低回声肝血管瘤周边回声增强,内部可呈网格样改变,回声较均匀;高回声肝血管瘤边缘清晰,内部呈筛网状,超声造影有助于鉴别。

(2)肝脏局灶性结节性增生:

以等回声多见,病变中央有高回声瘢痕,CDFI示轮辐状血流有鉴别诊断价值。

(3)肝脓肿:

肝脓肿周围常见炎症反应,呈环状,回声由高到低,超声造影显示蜂窝状增强,具有鉴别意义。同时结合临床病史可进行鉴别诊断。

(4)转移性肝癌:

有些转移性肝癌具有特殊声像图表现,如“牛眼征”多为胃肠道癌的肝转移,有些转移性肝癌与原发性肝癌鉴别较困难,可根据病史、症状、体征及相关辅助检查加以鉴别。 11cJ+9Mfa+SDBMNEcemN/hP84yi+BgIEeZQKjAOuMaJH3LLN+E9dsdopjYd2PiDX

点击中间区域
呼出菜单
上一章
目录
下一章
×