



肝细胞腺瘤是一种较少见的良性肿瘤,具恶变倾向。单发或多发,直径1~20cm,好发于青壮年。病变较小时常无明显临床表现,当肿瘤直径增至8~10cm以上时,可压迫周围脏器,出现右上腹胀痛等;瘤内出血时,多为急性腹痛。病理改变主要为肝细胞瘤样增生,周边可见较薄或不完整的包膜。
(1)形态:
呈类圆形或椭圆形,肝脏可有局限性增大,位于肝表面者可向外隆起。病灶边界清晰光滑,但一般无完整包膜。
(2)回声特征:
较小的腺瘤为较均匀或不均匀的低或稍高回声,较大的腺瘤内常伴出血、坏死和液化,瘤体内出现不规则高回声、无回声区,构成混合回声结构(图1-5-1A)。
(3)彩色血流特征:
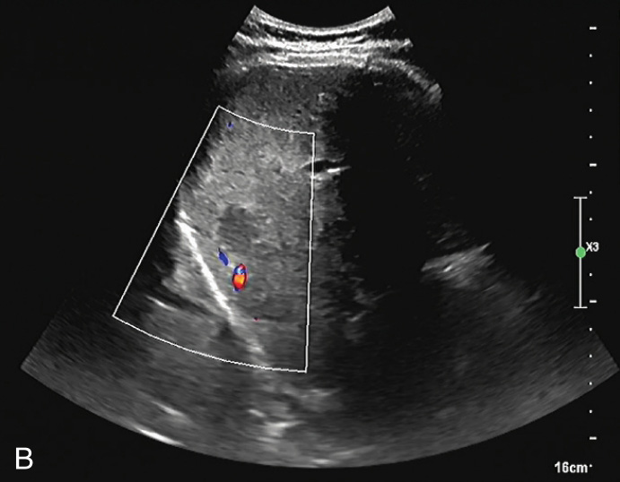
肝腺瘤的血供较丰富,病灶内部及周边可见线状或分枝状血流信号(图1-5-1B)。较大病灶周边可探及粗大迂曲的动脉血流进入病灶内,且阻力指数(resistance index,RI)<0.60。
(4)超声造影:
肝腺瘤动脉期为均匀快速高增强,动脉早期可显示瘤周的滋养血管,呈环状伸入病灶内部,与FNH灌注方向相反。病变较大时动脉期可见无增强区。门脉期及延迟期表现为持续高或等增强,少部分病变延迟期造影剂逐渐廓清,表现为低增强(图1-5-2)。
(1)小的肝腺瘤多呈边界清楚的类圆形病变,需与肝脏局灶性结节性增生相鉴别;肝腺瘤内无中央动脉血流显示,肝脏局灶性结节性增生病灶内部可见中央瘢痕,内部可探及轮辐状彩色血流。
图1-5-1 肝细胞腺瘤常规超声图像
A.肝左外叶低回声结节,内可见条索状稍高回声,边界清晰;B.CDFI示其内可见点状血流信号
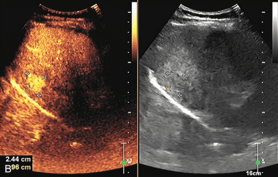
图1-5-2 肝细胞腺瘤超声造影图像
A.动脉期病变快速增强,病灶周边有灌注的环状高回声并伸入病灶内部
图1-5-2(续)
B.门脉期始终呈高增强;C.延迟期始终呈高增强
(2)大的肝腺瘤形态多不规则,需与肝癌鉴别,在难以确诊或高度怀疑恶性肿瘤时,可采用超声造影进行鉴别诊断。